Plattenepithelkarzinom
| Klassifikation nach ICD-10 | |
|---|---|
| C80.9[1] | Bösartige Neubildung, nicht näher bezeichnet |
| ICD-10 online (WHO-Version 2019) | |
Plattenepithelkarzinome (kurz PEK, englisch Squamous cell carcinoma (SCC)), auch als spinozelluläres Karzinom, Spinaliom, Stachelzellkrebs, Epithelioma spinocellulare oder Plattenepithelkrebs, früher auch Kankroid, bezeichnet, sind von den Epithelien der Haut und der Schleimhäute ausgehende bösartige (maligne) Tumoren aus der Gruppe der Karzinome. Sie können auch von anderen Geweben ausgehen, die selbst kein Plattenepithel besitzen, aber Epithelien mit der Fähigkeit zur Plattenzellmetaplasie haben. Das Plattenepithelkarzinom ist der zweithäufigste bösartige Hauttumor.
Lokalisationen
Plattenepithelkarzinome kommen vorwiegend in Körperregionen vor, die natürlicherweise von Plattenepithel bedeckt sind. Dazu gehören die äußere Haut und mechanisch stärker beanspruchte Schleimhäute wie Mundhöhle, Rachen, Stimmlippen, Speiseröhre, Vagina, Gebärmutterhals und Analregion. Weiterhin können Plattenepithelkarzinome über die Plattenepithelmetaplasie auch an anderen Stellen auftreten, z. B. in der Lunge.
Ursachen
Plattenepithelkarzinome der Haut entwickeln sich in erster Linie auf dem Boden schwer lichtgeschädigter Haut bei bereits vorhandenen aktinischen Keratosen. In selteneren Fällen entstehen sie aus chronischen Wunden, Verbrennungsnarben oder anderen Hauterkrankungen. Der Sari-Hautkrebs bei indischen Frauen wird zum Beispiel durch ständige Reizung der Haut durch die traditionelle Kleidung ausgelöst.[2] Das Plattenepithelkarzinom der Haut ist das Paradebeispiel für einen durch Sonnenlicht ausgelösten Tumor. Hierbei spielt offensichtlich die kumulative Sonnenexposition („UV-Lebenszeitkonto“) eine entscheidende Rolle. Besonders gefährdet sind Personen, bei denen das Immunsystem etwa infolge einer medikamentösen Therapie nach Organtransplantationen geschwächt ist.
Antibiotika aus der Gruppe der Fluorchinolone sind photogenotoxische Substanzen mit klastogenen Eigenschaften,[3][4] welche tierexperimentellen Ergebnissen zufolge in Verbindung mit UVA-Strahlung gut- und bösartige Hauttumoren, insbesondere Plattenepithelkarzinome, verursachen.[5][6] Klinische Beobachtungen legen nahe, dass Fluorchinolone wie Ciprofloxacin speziell bei langfristiger Behandlung immunsupprimierter Patienten hochaggressive, metastatische und rezidivierende Plattenepithelkarzinome induzieren können.[7] Als pathophysiologische Ursache Fluorchinolon-induzierter Hautläsionen werden Schädigungen der DNA-Reparaturproteine und Mitochondrien diskutiert.[8][9]
Plattenepithelkarzinome der Cervix uteri, aber auch des HNO-Traktes und anderer Körperregionen sind teilweise HPV-assoziiert und entwickeln sich über Krebsvorstufen.
Plattenepithelkarzinome der Lunge und der oberen Atemwege können durch Rauchen bedingt sein.
Pathologie
_squamous_cell_carcinoma_histopathology.jpg)
.jpg)



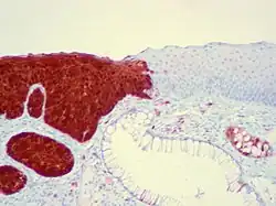
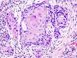
Plattenepithelkarzinome wachsen warzenartig (verrukös) oder ulzerierend und ahmen das verhornende oder nicht-verhornende Plattenepithel in unterschiedlichem Umfang nach. Typisch für sie ist ein Zytoskelett aus Zytokeratin (CK). Hochdifferenzierte Karzinome dieser Entität verhornen und bilden, da die Hornschuppen im Tumorinneren liegen und nicht abgeschilfert werden können, zwiebelschalenartig geschichtete Hornkugeln (Hornperlen), die mikroskopisch meist eindeutig diagnostizierbar sind. Gering differenzierte Karzinome verlieren die Fähigkeit zur Hornbildung. Sie bilden sehr polymorphe (vielformige), solide Tumoren. Sehr stark entdifferenzierte (anaplastische) Plattenepithelkarzinome können in der spindelzelligen (fusiformen) Variante wie Sarkome aussehen.
Als invasiv und damit metastasierungsfähig gelten Plattenepithelkarzinome, wenn sie die Basalmembran durchbrochen haben. Meist lässt sich dann auch eine desmoplastische Stromareaktion (reaktives Bindegewebe) nachweisen. Weitere Zeichen der Invasion sind Einbrüche in Blut- und Lymphgefäße, Perineuralscheideninvasion, destruierendes Wachstum und Metastasen.
Nicht-Invasive Krebsvorstufen werden als Plattenepitheldysplasie, intraepitheliale Neoplasie (IEN) oder squamöse intraepitheliale Läsion (SIL) bezeichnet und in Schweregrade eingeteilt. Carcinoma in situ (Cis) ist gleichbedeutend mit schwerer Dysplasie bzw. high grade IEN / SIL. Leichtgradige Dysplasien können sich spontan zurückbilden, bei schweren Dysplasien ist der Übergang in ein invasives Karzinom jederzeit möglich.
Immunhistochemisch zeigen Plattenepithelkarzinome meist eine Reaktivität mit Antikörpern gegen die nukleären Marker p40 und p63 sowie gegen die zytoplasmatischen Marker CK 5/6 und CK 14. Eine zytoplasmatische Reaktivität auf p16 ist bei HNO-Tumoren TNM-relevant und hilft diagnostisch bei Krebsvorstufen z. B. an der Cervix uteri (schwere Krebsvorstufen sind meist positiv). Ggf. kann auch p53 aberrant exprimiert sein. Mittels in-situ-Hybridisierung lässt sich bei Bedarf eine HPV Infektion nachweisen.
Das Plattenepithelkarzinom ist mit mutierter mitochondrialer DNA assoziiert, die als prädiktiver Marker dienen kann und ein mögliches therapeutisches Angriffsziel darstellt.[10][11][12][13][14]
Differentialdiagnostisch kommen bei schlecht differenzierten Plattenepithelkarzinomen z. B. Adenokarzinome, Melanome, Mesotheliome, Sarkome u. a. in Betracht.
Therapie
Standardtherapie ist die vollständige operative Entfernung des Tumors. Bei Karzinomen mit einem sehr hohen Risiko der Bildung von Tochtergeschwülsten (Metastasen) kann eine vorbeugende Operation der angrenzenden Lymphknoten notwendig sein. Ist eine Operation etwa aus medizinischen Gründen nicht möglich oder liegen sehr ausgedehnte Frühformen des Karzinoms vor, gibt es eine Vielzahl von Therapiealternativen. Hierzu zählen in erster Linie oberflächlich zerstörende Maßnahmen wie Kürettage, Elektrodesikkation, Kryotherapie (Vereisung), photodynamische Therapie, eine lokale Chemotherapie (5-Fluorouracil-Creme), eine lokale Immuntherapie (Imiquimod-Creme), Elektrochemotherapie und Strahlentherapie. Neben der klassischen und eher umfassenderen Bestrahlung mittels Röntgenweichstrahlen kommen auch Formen der lokalen epidermalen Radioisotopentherapie, eine Form der Brachytherapie, zum Einsatz. Diese eignen sich insbesondere für schwierig zu operierende Lokalisationen oder wenn durch eine Operation die Funktionalität beeinträchtigt wird und/oder das ästhetische Ergebnis von besonderer Bedeutung ist.[15]
Tumoren im fortgeschrittenen Stadium (Lymphknotenbefall und/oder Metastasen in anderen Organen) können neben der Operation mit systemischer, also im ganzen Körper wirkender Chemotherapie sowie Immuntherapie (Interferon-alpha) behandelt werden.
Plattenepithelkarzinome der Haut sprechen in der Regel zunächst gut auf eine Chemotherapie an, neigen allerdings sehr häufig zu Rückfällen (Rezidiven), so dass eine Heilung zumeist nicht möglich ist.
Seit den 2010er Jahren wird eine therapeutische „off-label“-Anwendung des 9-valenten HPV-Impfstoffs diskutiert. Der Impfstoff wird dabei direkt in verschiedene Hauttumoren des Patienten injiziert. Besonders bei älteren Menschen mit aggressiver Form des Plattenepithelkarzinoms kann dies eine Option sein. Im Juli 2018 wurde über die vollständige Heilung einer älteren Frau von über 90 Jahren berichtet. Sie hatte mehrere aggressive inoperable Plattenepithelkarzinome.[16]
Krankheitsverlauf
Je früher Plattenepithelkarzinome der Haut erkannt und behandelt werden, desto besser ist ihre Prognose. Tumoren mit einer Größe unter 2 cm metastasieren selten und haben die besten Heilungschancen. Die meisten Plattenepithelkarzinome werden in diesem Stadium erkannt und können daher gut behandelt werden. Wenn sich Tochtergeschwülste ausgebildet haben, ist die Prognose deutlich ungünstiger.
Nachsorgeuntersuchungen finden je nach Metastasen- oder Rückfallrisiko alle drei bis sechs Monate statt. Obwohl die meisten Rückfälle und Metastasen innerhalb der ersten zwei Jahre auftreten, sollte die Nachsorge grundsätzlich über fünf Jahre hinweg durchgeführt werden. Die Patienten sollten darüber hinaus den Risikofaktor UV-Licht meiden und ihre Haut regelmäßig selbst kontrollieren. Bei unklaren Hautveränderungen sollte immer ein Hautarzt aufgesucht werden.
Die Zahl der Hautkrebsfälle in Deutschland hat sich in den letzten zehn Jahren (vor 2013) auf jährlich ca. 235.000 Neuerkrankungen verdoppelt:
- An erster Stelle steht das Basaliom (Basalzellenkrebs) mit jährlich ca. 137.000 Fällen.
- An zweiter Stelle folgt das Plattenepithelkarzinom (Spinaliom) mit ca. 70.000 Neuerkrankungen im Jahr.
- An dritter Stelle steht das maligne Melanom (schwarzer Hautkrebs) mit jährlich ca. 28.000 Fällen in Deutschland.[17]
Internationale Experten machen insbesondere UV-bedingte Hautschäden, die in der Kindheit und Jugend erworben wurden, für diesen Trend verantwortlich.
Berufserkrankung und Meldepflicht
Seit dem 1. Januar 2015 sind „Plattenepithelkarzinome oder multiple aktinische Keratosen der Haut durch natürliche UV-Strahlung“ als BK Nr. 5103 in Anlage 1 der Berufskrankheiten-Verordnung (BKV) aufgenommen und damit an die zuständige Berufsgenossenschaft zu melden.[18]
Plattenepithelkarzinome bei Tieren
Neben dem Menschen erkranken auch Tiere an Plattenepithelkarzinomen.[19] Besonders bei unseren Haustieren Katze, Hund, Pferd[20] und Rind spielen diese Tumoren an unterschiedlichen Lokalisationen eine Rolle. Bei Wildtieren werden ebenfalls Plattenepithelkarzinome beobachtet und auch Meeressäuger können davon betroffen sein.[21] Wie beim Menschen gibt es auch beim Tier teilweise einen unmittelbaren Zusammenhang zu UV-Exposition. Ein Beispiel hierfür sind die in südlichen Ländern häufig auftretenden Plattenepithelkarzinome auf dem Nasenspiegel oder den Ohren von Katzen.[22]
Literatur
- Ursus-Nikolaus Riede, Hans-Eckart Schaefer: Allgemeine und spezielle Pathologie. Thieme, Stuttgart 1999, ISBN 3-13-683304-X.
- Dirk Hasselmann: Heller Hautkrebs: Erkennen. Behandeln. Sich schützen. 1. Auflage, ISBN 978-3-7450-4315-0
Einzelnachweise
- ↑ Alphabetisches Verzeichnis zur ICD-10-WHO Version 2019, Band 3. Deutsches Institut für Medizinische Dokumentation und Information (DIMDI), Köln, 2019, S. 702
- ↑ S. Lal, Jayanta Bain, A. K. Singh, P. K. Shukla: Saree Cancer: The Malignant Changes in Chronic Irritation. In: Journal of Clinical and Diagnostic Research. Band 6, Nr. 4 (PDF).
- ↑ T. Yamamoto, Y. Tsurumaki, M. Takei, M. Hosaka, Y. Oomori: In vitro method for prediction of the phototoxic potentials of fluoroquinolones. In: Toxicology in vitro: an international journal published in association with BIBRA. Band 15, Nr. 6, Dezember 2001, ISSN 0887-2333, S. 721–727, PMID 11698174.
- ↑ Helen J. Reavy, Nicola J. Traynor, Neil K. Gibbs: Photogenotoxicity of Skin Phototumorigenic Fluoroquinolone Antibiotics Detected Using the Comet Assay. In: Photochemistry and Photobiology. Band 66, Nr. 3, 1. September 1997, ISSN 1751-1097, S. 368–373, doi:10.1111/j.1751-1097.1997.tb03160.x (wiley.com [abgerufen am 15. April 2018]).
- ↑ G. Klecak, F. Urbach, H. Urwyler: Fluoroquinolone antibacterials enhance UVA-induced skin tumors. In: Journal of Photochemistry and Photobiology. B, Biology. Band 37, Nr. 3, Februar 1997, ISSN 1011-1344, S. 174–181, PMID 9085564.
- ↑ Markus Mäkinen. P. Donald Forbes, Frej Stenbäckack: Quinolone antibacterials: A new class of photochemical carcinogens. In: Journal of Photochemistry and Photobiology B: Biology. Band 37, Nr. 3, 1. Februar 1997, ISSN 1011-1344, S. 182–187, doi:10.1016/S1011-1344(96)07425-8 (sciencedirect.com [abgerufen am 15. April 2018]).
- ↑ A. D. Katsambas, T. M. Lotti, C. Dessinioti, A. M. D'Erme (Hrsg.): European Handbook of Dermatological Treatments. 3. Auflage. Springer, Berlin / Heidelberg 2015, S. 242.
- ↑ Matthew Peacock, Reto Brem, Peter Macpherson, Peter Karran: DNA repair inhibition by UVA photoactivated fluoroquinolones and vemurafenib. In: Nucleic Acids Research. Band 42, Nr. 22, 16. Dezember 2014, ISSN 0305-1048, S. 13714–13722, doi:10.1093/nar/gku1213, PMID 25414333, PMC 4267641 (freier Volltext).
- ↑ G. Ouédraogo, P. Morlière, R. Santus, null Miranda, J. V. Castell: Damage to mitochondria of cultured human skin fibroblasts photosensitized by fluoroquinolones. In: Journal of Photochemistry and Photobiology. B, Biology. Band 58, Nr. 1, Oktober 2000, ISSN 1011-1344, S. 20–25, PMID 11195848.
- ↑ S. L. Prior, A. P. Griffiths, J. M. Baxter, P. W. Baxter, S. C. Hodder: Mitochondrial DNA mutations in oral squamous cell carcinoma. In: Carcinogenesis. Band 27, Nr. 5, Mai 2006, ISSN 0143-3334, S. 945–950, doi:10.1093/carcin/bgi326, PMID 16407369.
- ↑ The role of mitochondrial DNA alterations in esophageal squamous cell carcinomas. In: The Journal of Thoracic and Cardiovascular Surgery. Band 139, Nr. 1, 1. Januar 2010, ISSN 0022-5223, S. 189–197.e4, doi:10.1016/j.jtcvs.2009.04.007 (sciencedirect.com [abgerufen am 15. April 2018]).
- ↑ Katsuhiro Uzawa, Takao Baba, Fumihiko Uchida, Masanobu Yamatoji, Atsushi Kasamatsu: Circulating tumor-derived mutant mitochondrial DNA: a predictive biomarker of clinical prognosis in human squamous cell carcinoma. In: Oncotarget. Band 3, Nr. 7, 25. Juli 2012, ISSN 1949-2553, S. 670–677, PMID 22832574, PMC 3443250 (freier Volltext).
- ↑ Emine C. Koc, Ebru Haciosmanoglu, Pier Paolo Claudio, Allison Wolf, Luigi Califano: Impaired mitochondrial protein synthesis in head and neck squamous cell carcinoma. In: Mitochondrion. Band 24, September 2015, ISSN 1872-8278, S. 113–121, doi:10.1016/j.mito.2015.07.123, PMID 26238294.
- ↑ Daisuke Takeda, Takumi Hasegawa, Takeshi Ueha, Akiko Sakakibara, Teruya Kawamoto: Decreased mitochondrial copy numbers in oral squamous cell carcinoma. In: Head & Neck. Band 38, Nr. 8, 1. August 2016, ISSN 1097-0347, S. 1170–1175, doi:10.1002/hed.24194 (wiley.com [PDF; abgerufen am 15. April 2018]).
- ↑ Paolo Castellucci, F. Savoia, A. Farina, G. M. Lima, A. Patrizi u. a.: High dose brachytherapy with non sealed 188Re (rhenium) resin in patients with non-melanoma skin cancers (NMSCs): single center preliminary results. In: European Journal of Nuclear Medicine and Molecular Imaging. 2. November 2020, ISSN 1619-7089, doi:10.1007/s00259-020-05088-z.
- ↑ Andrew D. Bowser: HPV vaccine: New therapeutic option for SCC? In: mdedge.com. 3. Juli 2018, abgerufen am 10. August 2018.
- ↑ Pressemeldung Deutsche Krebshilfe e. V. In: www.krebshilfe.de. Abgerufen am 16. Dezember 2021.
- ↑ https://beruflicher-hautschutz.de/w/BK-Nr._5103
- ↑ Martin Kessler: Kleintieronkologie, 2. Auflage, ISBN 978-3-8304-1208-3, S. 196
- ↑ Derek C. Knottenbelt et al.: Clinical Equine Oncology, ISBN 978-0-7020-4266-9
- ↑ Ohsaki, H, Ueda, K, Minakawa, T et al. Cytologic features of oral squamous cell carcinoma in an Indo-Pacific bottlenose dolphin (Tursiops aduncus): Papanicolaou stain and immunocytochemistry using liquid-based cytology. Vet Clin Pathol. 2021; 50: 404– 409. doi:10.1111/vcp.12996
- ↑ Robert Klopfleisch: Veterinäronkologie kompakt, 1. Auflage, ISBN 978-3-662-54986-5, S. 77