Blasenmole
| Klassifikation nach ICD-10 | |
|---|---|
| D39.2 | Invasive Blasenmole |
| O01.0 | Klassische Blasenmole |
| O01.1 | Partielle oder inkomplette Blasenmole |
| O01.9 | Blasenmole, nicht näher bezeichnet |
| ICD-10 online (WHO-Version 2019) | |
| Klassifikation nach ICD-11 | |
|---|---|
| JA02 | Molenschwangerschaft |
| JA02.0 | Komplette Blasenmole |
| JA02.1 | Partielle oder inkomplette Blasenmole |
| JA02.Y | Sonstige näher bezeichnete Molenschwangerschaft |
| JA02.Z | Molenschwangerschaft, nicht näher bezeichnet |
| ICD-11: Englisch • Deutsch (Entwurf) | |
_complete_type.jpg)
Die Blasenmole (Mola cystica) oder Traubenmole (Mola hydatidosa) ist eine Störung der Embryonalentwicklung in der Schwangerschaft. Durch eine Erweiterung der kleinen Plazentagefäße kommt es zu einer blasenartigen Umwandlung der Plazentazotten mit Einschmelzung des umgebenden Bindegewebes. Der Trophoblast zeigt eine gesteigerte Proliferationsaktivität.
Es wird zwischen teilweiser (90 %) und vollständiger (10 %) Blasenmole unterschieden. Die Übergänge zwischen der destruierenden (invasiven) Blasenmole und dem Chorionepitheliom sind fließend und in der Literatur nicht einheitlich. Begleitend zu einer Blasenmole treten bis kindskopfgroße Luteinzysten des Eierstocks auf, die sich infolge der hohen Sekretion von Gonadotropin (hCG) im Sinne eines Überstimulationssyndroms bilden.[1]
Pathogenese
Zur kompletten (vollständigen) Blasenmole kommt es, wenn der mütterliche einfache Chromosomensatz der Eizelle (durch einen noch unbekannten Mechanismus) verlorengeht und der väterliche Chromosomensatz verdoppelt wird. Es resultiert also ein doppelter Chromosomensatz ohne mütterliches Erbgut. Hieraus entwickelt sich lediglich Trophoblastgewebe, jedoch kein embryonales Gewebe. In 20 % der Fälle kommt es zu einer malignen Entartung.
Zur inkompletten (partiellen) Blasenmole kommt es, wenn eine Eizelle, die einen einfachen DNA-Satz enthält, von zwei Spermien oder aber von einem Spermium mit doppeltem Chromosomensatz befruchtet wird. Es resultiert eine Triploidie väterlichen und mütterlichen Ursprungs. Hieraus entwickeln sich dann Trophoblastgewebe und embryonales Gewebe.
Anzeichen und Diagnose



Anzeichen für eine Blasenmole können ein besonders schnell wachsender Uterus (Gebärmutter), ein hoch positiver Schwangerschaftstest, das Fehlen der fetalen Herztöne sowie besonders starke Schwangerschaftsübelkeit sein.
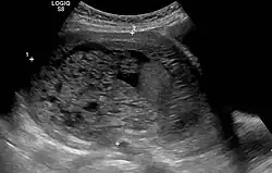
Die Diagnose wird über erhöhte Werte für das humane Choriongonadotropin (β-hCG) sowie über die Darstellung der verdickten Plazenta in Ultraschalluntersuchungen gestellt.
Auswirkungen
Beim Vorhandensein eines Embryos oder einer Embryonalanlage ist die Folge einer teilweisen Blasenmole der Fruchtabort. Bei der vollständigen Blasenmole ist aufgrund der Pathogenese (siehe oben) und dem uniparentalen doppelten Chromosomensatz, der also ausschließlich vom Vater stammt, eine normale Entwicklung des Embryos nicht möglich. Dies liegt an unterschiedlicher Aktivierung bzw. Inaktivierung von Genen durch Imprinting. Bei väterlich uniparentalem Chromosomensatz sind einzelne Gene vollständig inaktiviert, ohne dass auf dem homologen mütterlichen Allel eine funktionsfähige Kopie vorliegt. Andere Beispiele für Imprintingfehler nur einzelner Chromosomen sind das Prader-Willi-Syndrom und das Angelman-Syndrom.
Bei fehlender Embryonalanlage findet ein gesteigertes Wachstum des Trophoblasten statt (teilweise auch zerstörend in das Gewebe der Gebärmutter), welches eine intakte Schwangerschaft vortäuschen kann.
Behandlung
Aufgrund der gegebenen Entartungsgefahr der Blasenmole muss eine Ausschabung oder Absaugung der Mole erfolgen. Dieser Eingriff sollte so bald wie möglich nach Diagnosestellung durchgeführt werden. Danach werden die Blutspiegel des humanen Choriogonadotropins (hCG) kontrolliert, bis dieses nicht mehr nachweisbar ist. Invasive Blasenmolen werden z. T. auch mittels einer Chemotherapie behandelt, wobei sie oftmals gut auf eine Monotherapie mit Methotrexat ansprechen. Das Wiederholungsrisiko liegt bei etwa 1 %.
Literatur
- Manfred Stauber, Thomas Weyerstahl: Gynäkologie und Geburtshilfe (= Duale Reihe). 3. Auflage. Georg Thieme Verlag, Stuttgart 2007, ISBN 978-3-13-125343-9.
Einzelnachweise
- ↑ Hamid Emminger, Thomas Kia (Hrsg.): Exaplan: Das Kompendium der klinischen Medizin. 5. Auflage. Urban & Fischer in Elsevier, München 2007, ISBN 978-3-437-42462-5, S. 1833 (eingeschränkte Vorschau in der Google-Buchsuche).