Paragangliom
| Klassifikation nach ICD-10 | |
|---|---|
| D44.7 | Glomus aorticum und sonstige Paraganglien |
| ICD-10 online (WHO-Version 2019) | |

Ein Paragangliom (syn. Chemodektom, chromaffiner Tumor) ist ein meist gutartiger, neuroendokriner Tumor, der aus einem autonomen Ganglion (Paraganglion) entsteht. Ursprung kann sowohl das parasympathische als auch das sympathische Nervensystem sein. Je nach Lokalisation sind 10 bis 40 % der Paragangliome bösartig und können zu Tumorabsiedelungen (Metastasen) führen. Es gibt keine verlässlichen Kriterien, die ein malignes Verhalten vorhersagen können. Es besteht eine familiäre Häufung, da das Paragangliom einem autosomal-dominanten Erbgang mit maternalem (mütterlichem) Imprinting folgt.
Lokalisation
Je nach betroffenem Ganglion unterscheidet man:
- Glomus caroticum – Karotisgabeltumor, Glomustumor: an der Karotisgabel
- Glomus jugulare: am parasympathischen Paraganglion in der Fossa jugularis
- Glomus tympanicum: im Mittelohr, in den Nervus tympanicus eingelagertes Paraganglion
- Nervus vagus – vagales Paragangliom: am Foramen jugulare der Schädelbasis
- Glomus aorticum (mediastinales Paragangliom): im vorderen Mediastinum, an Arteria pulmonalis oder Aorta
- Bauchhöhlenganglien – retroperitoneales Paragangliom: an der Bauchaorta
- Innere Organe – viszerales Paragangliom: an den inneren Organen (vor allem Harnblase)
Symptome
Symptome eines vom Glomus tympanicum ausgehenden Paraganglioms können einseitige Hörminderung bis Taubheit und ein pulssynchrones Ohrgeräusch sein. Spätsymptome sind Blutungen aus dem betroffenen Ohr und bei Ausdehnung des Tumors in die hintere und mittlere Schädelgrube Paresen der Hirnnerven VII (Nervus facialis), IX (Nervus glossopharyngeus), X (Nervus vagus), XI (Nervus accessorius) und XII (Nervus hypoglossus).
Diagnose
In der Kernspintomografie unter T2-Gewichtung stellen sich die Tumoren vorwiegend hyperintens zum Rückenmark und anderen umgebenden Organstrukturen dar.
Nuklearmedizinisch ist eine Ganzkörper-Darstellung mit einer 18F-Dopa-PET (Positronen-Emissions-Tomographie) mit sehr hoher Sensitivität möglich.
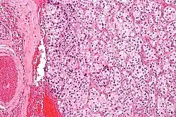
Makroskopisch sind sie vorwiegend rund-ovale, rotbraune bekapselte Gebilde, die gelegentlich den Knochen infiltrieren. Histopathologisch bestehen sie aus Zellballen, die von einem feinen kapillaren Netzwerk umgeben sind. Immunhistochemisch enthalten die Zellen Chromogranin A und Synaptophysin. Um die Zellballen liegen teilweise sogenannte Sustentakularzellen, die S100-Protein enthalten.
Therapie
Die Therapie erfolgt durch chirurgische Entfernung. Die Operation von intrakraniellen Glomustumoren gilt, aufgrund des Blutreichtums und des infiltrativen Wachstums, als schwierig. Bei Notwendigkeit einer Neck-Dissection sollte die Operation mit Hilfe eines in der Halschirurgie erfahrenen Arztes (z. B. endokriner Chirurg oder HNO-Arzt bzw. MKG-Chirurgen) erfolgen. Die Strahlentherapie mittels „external beam radiation therapy“ gilt als gute Alternative zur risikoreichen Operation.[1] Der Erfolg einer Chemotherapie bei Glomustumoren ist umstritten.[2]
Siehe auch
Weblinks
- Pathohistologie auf Pathorama
Einzelnachweise
- ↑ Charles Dupin et al.: Treatment of Head and Neck Paragangliomas With External Beam Radiation Therapy. Abgerufen am 13. April 2018.
- ↑ M. Schirmer: Neurochirurgie, 10. Auflage, ISBN 3-437-43600-7, S. 222