Dysplastischer Nävus
| Klassifikation nach ICD-10 | |
|---|---|
| D22 | Dysplastischer Nävus |
| ICD-10 online (WHO-Version 2019) | |

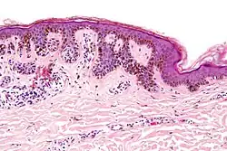
Ein Dysplastischer Nävus (auch Dysplastischer melanozytärer Nävus, Clarks Nävus oder Atypischer Nävus) ist eine gutartige (benigne), erworbene, pigmentierte (melanozytische) Neubildung (Neoplasie) der Haut, die wahrscheinlich eine proliferative Phase im Lebenszyklus eines gewöhnlichen erworbenen Muttermals ist und damit eine Variante dieser.[1] Im Aussehen teilen sie sich einige Eigenschaften mit dem Melanom, dem schwarzen Hautkrebs: Asymmetrie, unregelmäßige Ränder, verschiedene Farben innerhalb des Hautflecks und Durchmesser von mehr als fünf Millimeter, was ihre Unterscheidung vom Melanom klinisch und histologisch erschweren kann. In der feingeweblichen Untersuchung (Histologie) zeigen sich architektonische Unordnung, zelluläre Atypien und unterschiedliche Grade an Entzündungen und Fibrosen.[2] Dysplastische Nävi entstehen sporadisch oder im Rahmen einer familiären Häufung. UV-Strahlen und genetische Faktoren spielen in ihrer Entstehung eine entscheidende Rolle.[1]
Dysplastische Nävi sind, insbesondere für Personen mit zahlreichen Nävi und/oder mit Melanomen in der familiären Vorgeschichte, ein starker phenotypischer Marker für ein erhöhtes Melanomrisiko. Jedoch entwickeln sich dysplastische Nävi, im Hinblick auf die Gesamtbevölkerung, nur in sehr seltenen Fällen zu einem Melanom.
Geschichte
Größere und atypische melanozytäre Nävi wurden ursprünglich im Jahr 1978 von Wallace H. Clark jr. und Mitarbeitern bei Patienten mit familiären Melanomen beschrieben. Sie wählten zunächst den Namen „B-K-mole-Syndrom“, bestehend aus den Anfangsbuchstaben der Patienten. Später wurden solche atypischen Nävi ebenso bei sporadischen Melanomen gefunden. David Elder und Clark wählten dafür den Begriff „dysplastische Nävi“. Sie betrachteten diese als Vorläuferversionen und notwendiges Durchgangsstadium zum Melanom, was aus heutiger Sicht nicht mehr zutrifft. Circa zwei Drittel aller Melanome entstehen de novo (von neuem) und circa ein Drittel auf bereits existierenden Nävi, welche nicht vom dysplastischen Typ sein müssen.[1]
Terminologie
Die Begriffe „Clark-Nävus“, „atypischer Nävus“ und „dysplastischer Nävus“ werden synonym verwendet.[3]
Im Jahr 1992 empfahlen die US-amerikanischen National Institutes of Health den histologischen und klinischen Terminus „dysplastischer Nävus“ durch „atypischen Nävus“ zu ersetzen. Auch sollten histologische Befunde solcher Läsionen besser als „nevi with architectural disorder“, begleitet von einer Beschreibung des Grades der melanozytären Atypie, bezeichnet werden.[4]
Die früheren englischen Begriffe „B-K mole“ und „B-K mole syndrome“ werden nicht mehr verwendet.[3]
Epidemiologie
Bei weißen Menschen kommen dysplastische Nävi mit einer Häufigkeit (Prävalenz) von zwei bis zehn Prozent vor.[5][6][7][8] Diese Schwankungsbreite wird teilweise mit Unterschieden in den Diagnosekriterien erklärt. Bei Patienten, die bereits an einem Melanom erkrankt waren, liegt die geschätzte Prävalenz für dysplastische Nävi bei 30 bis 60 Prozent.[9]
Klinik
Dysplastische Nävi entstehen meist am Rumpf oder den Extremitäten. Sie können jedoch grundsätzlich an allen Stellen der Haut entstehen. Die Nävi teilen sich im Aussehen einige Charakteristiken mit Melanomen.
Merkmale des Erscheinungsbildes, die für einen dysplastischen Nävus sprechen:
- Durchmesser von mehr als fünf Millimeter
- Prominente Anteile des Flecks, gelegentlich mit Papel in der Mitte
- Pflastersteinartige Oberfläche
- Asymmetrie in Farbe und Form
- gekerbte, unregelmäßige oder undefinierte Ränder, die fließend in das Nachbarhautgewebe übergehen
- Vielfarbig, mit Pink, (Dunkel-)Braun oder Beige. (Andere Farben wie Rot, Blau oder Weiß deuten eher auf ein Melanom hin)
Der sehr seltene Übergang in ein Melanom kann sich als neue, punktartige, dunklere Pigmentation oder als leichte Erhebung manifestieren.[10]
Das Erkennen von auffälligen Leberflecken („Hässliches Entlein“) zur Hautkrebsvorsorge, bei dem nach untypischen Flecken gesucht wird, die von der Mehrzahl der anderen Flecken abweichen, gilt genauso für Personen mit vielen dysplastischen Nävi.[11]
Verlauf und Prognose
Von Bedeutung bei dysplastischen Nävi sind ihr Zusammenhang mit einem erhöhten Melanomrisiko.[6] Personen mit dysplastischen Nävi haben ein drei bis 20-fach höheres Melanomrisiko als Personen ohne diese Hautveränderung.[12]
Das Melanomrisiko steigt wie bei einer Dosis-Wirkungs-Kurve mit der Anzahl an dysplastischen Nävi. Es ist dabei am größten für Personen mit dysplastischen Nävi und gleichzeitig einer Melanomvorerkrankung oder gleichzeitig familiärem Vorkommen von Melanomen.[13]
In einer Metaanalyse von Observationsstudien aus dem Jahr 2005 war das relative Melanomrisiko beim Vorhandensein von fünf dysplastischen Nävi um das rund sechsfache erhöht, im Vergleich zu keinem dysplastischen Nävus.[13]
Therapie
Die Therapie umfasst eine gründliche Hautuntersuchung und gegebenen Falls eine Dermatoskopie oder Ganzkörperfotografie.
Das prophylaktische Exzidieren von dysplastischen Nävi wird generell nicht empfohlen. Das Risiko, dass ein individuelles dysplastisches Nävus sich zum Melanom entwickelt, ist insgesamt sehr gering.[14] Die meisten Melanome entstehen „de novo“, also unabhängig von dysplastischen Nävi.[14]
Dysplastische Nävi, die sich in irgendeiner Weise verändern, neu auftreten oder solche, die nach ärztlicher Untersuchung unter Melanomverdacht stehen, sollten chirurgisch exzidiert und feingeweblich untersucht werden. Dysplastische Nävi müssen lebenslang – in Zeitabständen je nach individuellem Risiko – vom Hautarzt kontrolliert werden. Eckpfeiler der Behandlung sind ebenso das Anleiten zur Selbstuntersuchung der Haut und der allgemeine Schutz vor Sonnenstrahlung.
Literatur
- Claus Garbe, Helmut Kerl, Lorenzo Cerroni: Kapitel Melanozytäre Nävi und Melanom. In: Lorenzo Cerroni, Claus Garbe, Dieter Metze, Heinz Kutzner, Helmut Kerl (Hrsg.): Histopathologie der Haut. 2. Auflage. Springer, Berlin / Heidelberg 2016, ISBN 978-3-662-45132-8, S. 609–668, doi:10.1007/978-3-662-45133-5.
- S3-Leitlinie Prävention von Hautkrebs der Deutschen Krebsgesellschaft e. V. (DKG) und Deutschen Dermatologischen Gesellschaft e. V. (DDG). In: AWMF online
Einzelnachweise
- ↑ a b c Lorenzo Cerroni, Claus Garbe, Dieter Metze, Heinz Kutzner, Helmut Kerl (Hrsg.): Histopathologie der Haut. 2. Auflage. Springer, Berlin / Heidelberg 2016, ISBN 978-3-662-45132-8, S. 614–615, doi:10.1007/978-3-662-45133-5.
- ↑ D. E. Elder: Dysplastic naevi: an update. In: Histopathology. Band 56, Nummer 1, Januar 2010, S. 112–120, doi:10.1111/j.1365-2559.2009.03450.x, PMID 20055909 (Review).
- ↑ a b R. Hofmann-Wellenhof, A. Blum, I. H. Wolf, I. Zalaudek, D. Piccolo, H. Kerl, C. Garbe, H. P. Soyer: Dermoscopic classification of Clark's nevi (atypical melanocytic nevi). In: Clinics in dermatology. Band 20, Nummer 3, 2002 May-Jun, S. 255–258, doi:10.1016/s0738-081x(02)00217-1, PMID 12074861 (Review).
- ↑ Diagnosis and Treatment of Early Melanoma – National Institutes of Health – Consensus Development Conference Statement – January 27-29, 1992. In: consensus.nih.gov. National Institutes of Health, 27. Januar 1992, abgerufen am 24. August 2022 (englisch).
- ↑ M. Piepkorn, L. J. Meyer, D. Goldgar, S. A. Seuchter, L. A. Cannon-Albright, M. H. Skolnick, J. J. Zone: The dysplastic melanocytic nevus: a prevalent lesion that correlates poorly with clinical phenotype. In: Journal of the American Academy of Dermatology. Band 20, Nummer 3, März 1989, S. 407–415, doi:10.1016/s0190-9622(89)70050-5, PMID 2918113.
- ↑ a b M. A. Tucker, A. Halpern, E. A. Holly, P. Hartge, D. E. Elder, R. W. Sagebiel, D. Guerry, W. H. Clark: Clinically recognized dysplastic nevi. A central risk factor for cutaneous melanoma. In: Journal of the American Medical Association. Band 277, Nummer 18, Mai 1997, S. 1439–1444, PMID 9145715.
- ↑ T. Schäfer, J. Merkl, E. Klemm, H. E. Wichmann, J. Ring: The epidemiology of nevi and signs of skin aging in the adult general population: Results of the KORA-survey 2000. In: The Journal of investigative dermatology. Band 126, Nummer 7, Juli 2006, S. 1490–1496, doi:10.1038/sj.jid.5700269, PMID 16645597.
- ↑ A. Augustsson, U. Stierner, M. Suurküla, I. Rosdahl: Prevalence of common and dysplastic naevi in a Swedish population. In: The British journal of dermatology. Band 124, Nummer 2, Februar 1991, S. 152–156, doi:10.1111/j.1365-2133.1991.tb00424.x, PMID 2003997.
- ↑ A. C. Halpern, D. Guerry, D. E. Elder, B. Trock, M. Synnestvedt, T. Humphreys: Natural history of dysplastic nevi. In: Journal of the American Academy of Dermatology. Band 29, Nummer 1, Juli 1993, S. 51–57, doi:10.1016/0190-9622(93)70151-i, PMID 8315078.
- ↑ J. L. Bolognia, A. Lin, P. E. Shapiro: The significance of eccentric foci of hyperpigmentation ('small dark dots') within melanocytic nevi. Analysis of 59 cases. In: Archives of dermatology. Band 130, Nummer 8, August 1994, S. 1013–1017, PMID 8053697.
- ↑ A. Scope, S. W. Dusza, A. C. Halpern, H. Rabinovitz, R. P. Braun, I. Zalaudek, G. Argenziano, A. A. Marghoob: The "ugly duckling" sign: agreement between observers. In: Archives of dermatology. Band 144, Nummer 1, Januar 2008, S. 58–64, doi:10.1001/archdermatol.2007.15, PMID 18209169.
- ↑ C. M. Olsen, H. J. Carroll, D. C. Whiteman: Estimating the attributable fraction for cancer: A meta-analysis of nevi and melanoma. In: Cancer prevention research. Band 3, Nummer 2, Februar 2010, S. 233–245, doi:10.1158/1940-6207.CAPR-09-0108, PMID 20086181.
- ↑ a b Sara Gandini, Francesco Sera, Maria Sofia Cattaruzza, Paolo Pasquini, Damiano Abeni, Peter Boyle, Carmelo Francesco Melchi: Meta-analysis of risk factors for cutaneous melanoma: I. Common and atypical naevi. In: European journal of cancer. Band 41, Nr. 1, Januar 2005, S. 28–44, doi:10.1016/j.ejca.2004.10.015, PMID 15617989 (englisch, Review).
- ↑ a b R. Marks, A. P. Dorevitch, G. Mason: Do all melanomas come from "moles"? A study of the histological association between melanocytic naevi and melanoma. In: The Australasian journal of dermatology. Band 31, Nummer 2, 1990, S. 77–80, doi:10.1111/j.1440-0960.1990.tb00656.x, PMID 2095738.