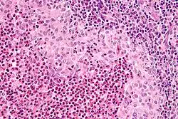
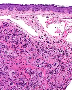
Histiozytose
| Klassifikation nach ICD-10 | |
|---|---|
| C96.0 | Multifokale und multisystemische (disseminierte) Langerhans-Zell-Histiozytose [Abt-Letterer-Siwe-Krankheit] – Histiozytose X, multisystemisch |
| C96.5 | Multifokale und unisystemische Langerhans-Zell-Histiozytose – Hand-Schüller-Christian-Krankheit – Histiozytose X, multifokal |
| C96.6 | Unifokale Langerhans-Zell-Histiozytose – Eosinophiles Granulom – Histiozytose X, unifokal – Histiozytose X o.n.A. – Langerhans-Zell-Histiozytose o.n.A. |
| D76.3 | Sonstige Histiozytose-Syndrome |
| ICD-10 online (WHO-Version 2019) | |


Die Histiozytosen sind eine heterogene Gruppe seltener Erkrankungen mit tumorähnlichen Läsionen, die durch eine abnorm hohe Zahl (Proliferation) an histiozytären Zellen charakterisiert sind.[1]
Vorkommen und Häufigkeit
Die Häufigkeit wird mit 1 zu 200.000 Neugeborenen angegeben. Während die Erkrankung auch erst beim Erwachsenen auftreten kann, werden die meisten bereits im Kindesalter diagnostiziert.[2] Gemäß dem Deutschen Kinderkrebsregister beträgt die Häufigkeit 1–2 auf 1 Mio. Neugeborene. Das männliche Geschlecht ist etwas häufiger betroffen.[1]
Einteilung
Die Weltgesundheitsorganisation unterscheidet drei Formen:[3]
- I Langerhans-Zell-Histiozytose (LCH)[4] Bestimmte Formen wurden bezeichnet als
- Eosinophiles Granulom, Synonym: chronische und lokalisierte Langerhans-Zell-Histiozytose[5]
- Hand-Schüller-Christian-Syndrom, Synonyme: chronische und multifokale Langerhans-Zell-Histiozytose; Granulom, eosinophiles multifokales
- "Letterer-Siwe Krankheit", Synonym: akute und disseminierte Langerhans-Zell-Histiozytose[6]
- II
- Juveniles Xanthogranulom (JXG)
- Hämophagozytische Lymphohistiozytose (HLH)[7]
- Niemann-Pick-Krankheit
- Seeblaue Histiozytose[8]
- Erdheim-Chester-Erkrankung
Weitere Formen sind:
- Rosai-Dorfman-Erkrankung, Synonym: Sinushistiozytose mit massiver Lymphadenopathie[9]
- Hashimoto-Pritzker-Syndrom, Synonym: kongenitale Langerhans-Zell-Histiozytose[10]
- Pulmonale Langerhans-Zell-Histiozytose des Erwachsenen, Synonym: Pulmonale Histiozytose X[11]
- Gruppe der Nicht-Langerhans-Zell-Histiozytosen
- Histiozytose der indeterminierten Zelle[12]
- Benigne zephale Histiozytose[13]
- Generalisierte eruptive Histiozytose[14]
- Hereditäre muzinöse progressive Histiozytose[15]
- Noduläre progressive Histiozytose[16]
- Primäres kutanes anaplastisches großzelliges Lymphom, Synonym: Regressive atypische Histiozytose[17]
- Multizentrische Retikulohistiozytose[18]
Tiermedizin
Beim Hund spielt die Maligne Histiozytose eine Rolle.
Einzelnachweise
- ↑ a b Emedicine.Medscape
- ↑ Histiocytosis Association of America ( des vom 9. November 2019 im Internet Archive) Info: Der Archivlink wurde automatisch eingesetzt und noch nicht geprüft. Bitte prüfe Original- und Archivlink gemäß Anleitung und entferne dann diesen Hinweis.
- ↑ N. L. Harris, E. S. Jaffe, J. Diebold, G. Flandrin, H. K. Muller-Hermelink, J. Vardiman, T. A. Lister, C. D. Bloomfield: The World Health Organization classification of neoplastic diseases of the hematopoietic and lymphoid tissues. Report of the Clinical Advisory Committee meeting, Airlie House, Virginia, November, 1997. In: Annals of Oncology. Band 10, Nummer 12, Dezember 1999, S. 1419–1432, PMID 10643532.
- ↑ Eintrag zu Langerhans-Zell-Histiozytose. In: Orphanet (Datenbank für seltene Krankheiten)
- ↑ Eintrag zu OBSOLET: Granulom, eosinophiles. In: Orphanet (Datenbank für seltene Krankheiten)
- ↑ Eintrag zu OBSOLET: Letterer-Siwe-Krankheit. In: Orphanet (Datenbank für seltene Krankheiten)
- ↑ Eintrag zu Lymphohistiozytose, hämophagozytische, familiäre Form. In: Orphanet (Datenbank für seltene Krankheiten)
- ↑ Eintrag zu Histiozytose, seeblaue. In: Orphanet (Datenbank für seltene Krankheiten)
- ↑ Eintrag zu Rosaï-Dorfman-Krankheit. In: Orphanet (Datenbank für seltene Krankheiten)
- ↑ Eintrag zu OBSOLET: Hashimoto-Pritzker-Syndrom. In: Orphanet (Datenbank für seltene Krankheiten)
- ↑ Eintrag zu OBSOLET: Langerhans-Zell-Histiozytose, pulmonale, des Erwachsenen. In: Orphanet (Datenbank für seltene Krankheiten)
- ↑ Eintrag zu Histiozytose der indeterminierten Zelle. In: Orphanet (Datenbank für seltene Krankheiten)
- ↑ Eintrag zu Histiozytose, benigne zephale. In: Orphanet (Datenbank für seltene Krankheiten)
- ↑ Eintrag zu Histiozytose, eruptive generalisierte. In: Orphanet (Datenbank für seltene Krankheiten)
- ↑ Eintrag zu Histiozytose, progressive, muzinöse, hereditäre. In: Orphanet (Datenbank für seltene Krankheiten)
- ↑ Eintrag zu Histiozytose, progressive, noduläre. In: Orphanet (Datenbank für seltene Krankheiten)
- ↑ Eintrag zu Primäres kutanes anaplastisches großzelliges Lymphom. In: Orphanet (Datenbank für seltene Krankheiten)
- ↑ Eintrag zu Retikulohistiozytose, multizentrische. In: Orphanet (Datenbank für seltene Krankheiten)
Weblinks
- www.histio.net Die offizielle Seite der europäischen Referenz- und Expertenzentren für Histiozytose.
- Leitlinie Histiozytose