Papillärer glioneuronaler Tumor

Als papillärer glioneuronaler Tumor wird ein seltener gutartiger Hirntumor bezeichnet, der im Jahre 2007 in die WHO-Klassifikation der Tumoren des zentralen Nervensystems aufgenommen und als Grad 1 eingeordnet wurde.[1] Die Entität wurde erstmals 1998 beschrieben;[2] histopathologisch ähnliche Tumoren sind zuvor auch als pseudopapilläres Ganglioglioneurozytom oder pseudopapilläres Neurozytom mit glialer Differenzierung angesprochen worden.[3]
Epidemiologie und Klinik
Papilläre glioneuronale Tumoren sind sehr selten. Sie treten über einen weiten Altersbereich hin auf, wobei das mittlere Alter bei Diagnosestellung 27 Jahre beträgt. Die Tumoren sind typischerweise im Bereich der Temporallappens lokalisiert. In der Kernspintomographie stellen sich glioneuronale papilläre glioneuronale Tumoren als gut abgegrenzte Raumforderungen mit Kontrastmittelaufnahme dar.
Neuropathologie


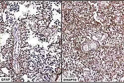
Histopathologisch handelt es sich um glioneuronale Tumoren, in denen GFAP-positive astrozytäre Tumorzellen pseudopapilläre Strukturen um hyalinisierte Blutgefäße ausbilden; dazwischen finden sich Gruppen Synaptophysin-positiver neurozytär oder ganglioid differenzierter Tumorzellen.
Differentialdiagnostik
Abzugrenzen ist u. a. ein Rosettenbildender glioneuronaler Tumor (RGNT).
Behandlung und Prognose
Nach operativer Entfernung des Tumors sind Rezidive außerordentlich selten.
Einzelnachweise
- ↑ Louis DN, Ohgaki H, Wiestler OD, et al.: The 2007 WHO classification of tumours of the central nervous system. In: Acta Neuropathol. 114. Jahrgang, Nr. 2, August 2007, S. 97–109, doi:10.1007/s00401-007-0243-4, PMID 17618441, PMC 1929165 (freier Volltext).
- ↑ Komori T, Scheithauer BW, Anthony DC, et al.: Papillary glioneuronal tumor: a new variant of mixed neuronal-glial neoplasm. In: Am. J. Surg. Pathol. 22. Jahrgang, Nr. 10, Oktober 1998, S. 1171–83, PMID 9777979.
- ↑ Kim DH, Suh YL: Pseudopapillary neurocytoma of temporal lobe with glial differentiation. In: Acta Neuropathol. 94. Jahrgang, Nr. 2, August 1997, S. 187–91, PMID 9255395.