Akustikusneurinom
| Klassifikation nach ICD-10 | |
|---|---|
| D33 | Gutartige Neubildung des Gehirns und anderer Teile des Zentralnervensystems |
| D33.3 | Hirnnerven |
| ICD-10 online (WHO-Version 2019) | |
| Klassifikation nach ICD-O-3 | |
|---|---|
| 9560/0 | Neurilemmom o. n. A. Neurinom Schwannom o. n. A. Akustikusneurinom (C72.4) ... |
| ICD-O-3, zweite Revision (2019) | |


Ein Akustikusneurinom (kurz AKN oder AN) ist ein gutartiger Tumor, der von den Schwann’schen Zellen des vestibulären Anteils des VIII. Hirnnerven, des Hör- und Gleichgewichtsnerven (Nervus vestibulocochlearis), ausgeht und im inneren Gehörgang, bei größerer Ausdehnung auch im Kleinhirnbrückenwinkel gelegen ist. Das Akustikusneurinom ist histologisch eigentlich als Vestibularis-Schwannom zu bezeichnen. Die Bezeichnung Akustikusneurinom ist aber klinisch üblich.[1] Es ist der häufigste Kleinhirnbrückenwinkeltumor.
Pathologie
Akustikusneurinome treten meistens sporadisch auf und manifestieren sich ab der vierten Lebensdekade. Gehäuftes Auftreten besteht bei den autosomal-dominant vererbten Neurofibromatosen, vor allem Typ 1 (Morbus Recklinghausen; Von-Recklinghausen-Syndrom) und Typ 2. Mehr als 95 % aller AKN sind einseitig, bei Vorliegen von Neurofibromatose Typ 2 tritt das Akustikusneurinom hingegen typischerweise beidseitig auf. Histologisch finden sich Antoni-A- und Antoni-B-Fasern, ausgehend meist vom oberen Anteil des vestibularen Anteils des VIII. Hirnnerven. Das histologische und klinische Erscheinungsbild ist gutartig, eine maligne Transformation ist sehr selten.
Symptome
Häufigste klinische Symptome sind Hörminderung, Tinnitus, Gleichgewichtsstörungen bis hin zu Schwindelanfällen. Seltener kann es zu Kopfschmerzen, Gesichtstaubheit, Doppelbildern, Übelkeit und Erbrechen, Ohrschmerzen, Geschmacksänderungen oder einer Fazialisparese kommen, bei der es durch Beeinträchtigung des VII. Hirnnerven (Nervus facialis) zu einer Lähmung der Gesichtsmuskulatur kommt.[2]
Dabei fällt meist zuerst eine einseitige Hörstörung vor allem für hohe Töne auf, z. B. beim Telefonieren. Der Schwindel ist meist unsystematisch, kein Drehschwindel wie bei einer Störung des Gleichgewichtsorgans. Auch entstehen die Symptome langsam. Mit Messgeräten ist dagegen zuerst die Gleichgewichtskomponente nachweisbar, da das AKN ja eigentlich nicht vom akustischen Anteil (N. cochlearis), sondern vom Gleichgewichtsanteil (N. vestibularis) des N. vestibulocochlearis ausgeht.
Ein weiteres Symptom ist eine Verminderung der Berührungs- und Drucksensibilität (Hypästhesie) des äußeren Gehörganges. Es wird als Hitselberger-Zeichen bezeichnet.[3]
Diagnose des Akustikusneurinoms

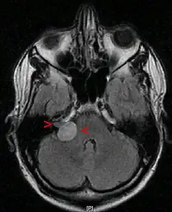
Eine sichere Diagnose liefert nur die histologische Untersuchung nach einer Gewebeentnahme. Erstmals röntgenographisch dargestellt wurden Akustikusneurinome mit Erweiterungen des inneren Gehörgangs durch Salomon Eberhard Henschen (1910) und Hendrik Willem Stenvers (1917).[4] Klinisch relevante Tumoren können heute mit einer Magnetresonanztomographie (MRT) zuverlässig detektiert werden.
Bei Schwindel werden zunächst akute Infektionen ausgeschlossen, die ähnliche Krankheitsbilder ergeben. Eine auffällige Hörminderung wird durch ein Tonaudiogramm festgestellt. Danach wird eine Messung der frühen akustisch evozierten Potenziale (FAEP) durchgeführt, vor allem, wenn eine seitendifferente oder einseitige Schallempfindungsschwerhörigkeit vorliegt. Bei der Messung der FAEP zeigt sich ein Akustikusneurinom in der Laufzeiterhöhung der Signale vom Innenohr zum Stammhirn. Das liegt daran, dass durch das AKN die Myelinscheide der Nervenbahn beschädigt ist und die elektrischen Impulse nur noch unter Verlusten transportiert werden können. Bei deutlich seitendifferentem Kurvenbild bzw. seitendifferenten Laufzeitunterschieden der Potentiale sollte eine Magnetresonanztomographie des Schädels mit und ohne Kontrastmittel durchgeführt werden, um mit ausreichender Sicherheit ein Akustikusneurinom ausschließen zu können.
Differentialdiagnose
Meningeome können in der Region des Kleinhirnbrückenwinkels wachsen und in der MRT in einigen Fällen nicht von einem Akustikusneurinom unterschieden werden. Auch komplett im inneren Gehörgang wachsende Meningeome wurden beschrieben.[5][6]
Weitere Differentialdiagnosen sind[7]
- Schwannome des Nervus facialis oder anderer Hirnnerven der Region
- Metastasen
- Lymphome
- Sarcoidose
- Tuberkulose
- Herpes zoster oticus
Therapie
Zur Therapie des Akustikusneurinoms stehen fünf verschiedene Optionen zur Verfügung:
- neurochirurgisch (erstmals erfolgreich durch Charles Alfred Ballance, mitgeteilt 1908[8]) bzw. mit niedrigerer Mortalität und besserer Schonung des Nervus facialis mikrochirurgisch,
- radiochirurgisch, z. B. mittels Gamma-Knife oder Cyberknife
- strahlentherapeutisch mit einem Linearbeschleuniger
- Chemotherapie
- zuwartendes Beobachten (sogenanntes watchful waiting)
Die Wahl der einzuleitenden Therapie hängt maßgeblich von Tumorgröße und Wachstumsverhalten, Gehörbeeinträchtigung, Alter und allgemeiner Gesundheit des Patienten und einem Zusammenhang mit Neurofibromatose ab. Eine pauschale Aussage über Tumorwachstumskontrolle und Komplikationsrate von den fünf Therapieformen kann nicht getroffen werden und hängt vom Einzelfall ab.[9][10] Da das Akustikusneurinom nicht bösartig ist und üblicherweise langsam über Jahre wächst, wurde vor allem bei älteren Patienten oft von einer Operation abgesehen und stattdessen zu einer regelmäßigen Beobachtung des Größenwachstums übergegangen. Heute ist hier immer alternativ auch die Möglichkeit der Radiochirurgie zu prüfen. Bei Kindern und Jugendlichen hingegen, bei denen außer im Rahmen der Neurofibromatose Hirnnervenneurinome äußerst selten sind, wird in der Regel eine sofortige Behandlung eingeleitet, da sich bei dieser Patientengruppe die Größe des Tumors rasant verändern kann und damit binnen kürzester Zeit lebensbedrohliche Zustände auftreten können.
Mikrochirurgie
Mikrochirurgisch können AKN über verschiedene Zugangswege teilweise oder komplett entfernt werden. Die Wahl des Zugangsweges hängt von Tumorgröße, Grad der Gehörschädigung sowie persönlicher Entscheidung von Chirurg und Patient ab. Klassische Zugangswege sind:[11]
- Retrosigmoidal und Varianten
- Translabyrinthär
- Subtemporal extradural
Wesentliche Komplikationen sind: Gehörverschlechterung, Gesichtslähmung und Liquorfisteln, welche einen starken Einfluss auf die Lebensqualität der Betroffenen haben können.[12] Auch nach kompletter Resektion sind regelmäßige MRT-Nachkontrollen notwendig.
Strahlentherapie
Die Strahlentherapie ist eine nicht invasive Behandlung. Eine spezielle Art der Strahlentherapie ist die Radiochirurgie, die meist ambulant in einer einzigen Behandlung vorgenommen wird, während die Strahlentherapie sonst in der Regel fraktioniert (d. h. in mehreren kleineren Strahlungsdosen) an mehreren Behandlungstagen durchgeführt wird. Hat der Tumor bereits eine Größe von über 3 Zentimetern, ist die Radiochirurgie meist nicht mehr indiziert. Bei Patienten mit Neurofibromatose ist die Behandlung mittels Gamma-Knife oder Linearbeschleuniger nicht oder nicht primär indiziert, da diese Patienten meist beidseitige Akustikusneurinome haben. Auch kann eine Bestrahlung bei diesen Patienten dazu führen, dass bei einer eventuell später notwendigen Operation das Tumorgewebe schlechter von gesundem Gewebe abgrenzbar ist und somit die Operation und deren Erfolg negativ beeinflusst werden könnten. Sowohl die chirurgische Behandlung als auch die Radiochirurgie haben nicht selten eine Schädigung der Nerven des inneren Gehörganges zur Folge, wenn diese nicht schon durch den Tumor geschädigt waren. Insgesamt sind die Nebenwirkungen bei Radiochirurgie und Strahlentherapie aber seltener und geringer als bei Mikrochirurgie. In Deutschland werden bisher Patienten allerdings noch unzureichend über diese beiden Therapien aufgeklärt, wie eine aktuelle Studie gezeigt hat.[13] Die Effektivität und Sicherheit einer Bestrahlung mittels Protonen wird derzeit in klinischen Studien untersucht.
Chemotherapie
Aufgrund der histologischen Gutartigkeit der Tumoren und des damit verbundenen schlechten Ansprechens der klassischen Chemotherapie ist dies bisher keine Standardoption. Allerdings wird derzeit Avastin(R), ein monoklonaler Antikörper gegen VEGF, bei Neurofibromatose-Typ-2-Patienten getestet.[14]
Zuwartendes Beobachten
Bei klinischer und radiologischer Stabilität des Tumors, vor allem bei älteren Patienten mit kleineren Tumoren, kann es sinnvoll sein, den Tumor ohne chirurgische oder strahlentherapeutische Therapie zu beobachten. Bei größeren AKN mit Hirnstammbedrängung ist dieses Vorgehen weitgehend kontraindiziert.
Einzelnachweise
- ↑ M. D. Bethesda: National Institutes of Health Consensus Development Conference: Acoustic neuroma: Consensus statement. NIH Consens Dev Conf Consens Statement. In: Public Health Service, U.S. Department of Health and Human Services. Band 9, 1991.
- ↑ S. G. Harner, E. R. Laws: Clinical findings in patients with acoustic neuromas. In: Mayo Clin Proc. Band 58, 1983, S. 721–728.
- ↑ Peter P. Urban: Erkrankungen des Hirnstamms: Klinik - Diagnostik - Therapie. Schattauer-Verlag, 2008, ISBN 978-3-7945-2478-5, S. 255.
- ↑ Wolfgang Seeger, Carl Ludwig Geletneky: Chirurgie des Nervensystems. In: Franz Xaver Sailer, Friedrich Wilhelm Gierhake (Hrsg.): Chirurgie historisch gesehen. Anfang – Entwicklung – Differenzierung. Dustri-Verlag, Deisenhofen bei München 1973, ISBN 3-87185-021-7, S. 229–262, hier S. 233.
- ↑ K. Asaoka, D. M. Barrs, J. H. Sampson, J. T. McElveen, D. L. Tucci, T. Fukushima: Intracanalicular meningioma mimicking vestibular schwannoma. In: AJNR. American journal of neuroradiology. Band 23, Nummer 9, Oktober 2002, S. 1493–1496, ISSN 0195-6108. PMID 12372737.
- ↑ R. Caylan, M. Falcioni, G. De Donato, S. Ferrara, A. Russo, A. Taibah, M. Sanna: Intracanalicular meningiomas. In: Otolaryngology – Head and Neck Surgery. Band 122, Nummer 1, Januar 2000, S. 147–150, ISSN 0194-5998. PMID 10629505. (Review).
- ↑ D. H. Yock: Magnetic Resonance Imaging Of CNS Disease. Mosby, St. Louis 2002, ISBN 0-323-01172-1.
- ↑ Wolfgang Seeger, Carl Ludwig Geletneky: Chirurgie des Nervensystems. In: Franz Xaver Sailer, Friedrich Wilhelm Gierhake (Hrsg.): Chirurgie historisch gesehen. Anfang – Entwicklung – Differenzierung. Dustri-Verlag, Deisenhofen bei München 1973, ISBN 3-87185-021-7, S. 229–262, hier S. 240.
- ↑ M. Samii, C. Matthies: Management of 1000 vestibular schwannomas (acoustic neuromas): Surgiceal management with an emphasis on complications and how to avoid them. In: Neurosurgery Band 40, 1997, S. 11–23.
- ↑ J. Lobato-Polo, D. Kndziolka, O. Zorro u. a.: Gamma knife radiosurgery in younger patients with vestibular schwannomas. In: Neurosurgery. Band 65, Nr. 2, 2009, S. 294–300; discussion S. 300–301.
- ↑ Mark S. Greenberg: Handbook of Neurosurgery. 7. Auflage. Thieme Verlag, 2010, S. 627–631.
- ↑ V. Sperl, T. Rhomberg, T. Kretschmer: Determinants of quality of life following resection of skull base tumors: a systematic review. In: Front. Oncol. Band 14, 2024, S. 1473261. doi:10.3389/fonc.2024.1473261
- ↑ Sabine Müller, Judith Arnolds, Ansel van Oosterhout: Decision-making of vestibular schwannoma patients. In: Acta Neurochirurgica. Band 152, Nr. 6, 2010, S. 973–984, (link.springer.com)
- ↑ S. R. Plotkin, A. O. Stemmer-Rachamimov, F. G. Barker u. a.: Hearing improvement after bevacizumab in patients with neurofibromatosis type 2. In: N Engl J Med. Band 261, Nr. 4, 2009, S. 358–367.
Weblinks
- Homepage der Interessengemeinschaft Akustikusneurinom mit ausführlichen Informationen zu Symptomen, Diagnose, Therapie und Reha mit angeschlossenem Forum (Projekt der Guido Fluri Stiftung)
- Homepage der Patienten-Selbsthilfeorganisation Vereinigung Akustikus Neurinom e. V.