Ganglioneuroblastom
| Klassifikation nach ICD-10 | |
|---|---|
| C47 | Bösartige Neubildung: Periphere Nerven und autonomes Nervensystem, |
| C47.1 | Periphere Nerven der oberen Extremität, einschließlich Schulter |
| C47.2 | Periphere Nerven der unteren Extremität, einschließlich Hüfte |
| C47.3 | Periphere Nerven des Thorax |
| C47.3 | Periphere Nerven des Abdomens |
| C47.5 | Periphere Nerven des Beckens |
| C47.9 | nicht näher bezeichnet |
| ICD-10 online (WHO-Version 2019) | |
| Klassifikation nach ICD-O-3 | |
|---|---|
| 9490/3 | Ganglioneuroblastom |
| ICD-O-3, zweite Revision (2019) | |

Das Ganglioneuroblastom (früher auch als malignes Ganglioneurom bezeichnet) ist ein seltener Tumor des Nervensystems, dessen Differenzierung zwischen Neuroblastom und Ganglioneurom einzuordnen ist. Nicht-neoplastische Schwann-Zellen und deren Vorläufer Zellen spielen eine entscheidende Rolle im Ausreifungsprozess von Neuroblastomen zu Ganglioneuroblastomen und Ganglioneuromen.[1]
Die meisten Tumoren sind im Rumpf, insbesondere im Retroperitonealraum entlang der sympathischen Ganglien beidseits der Wirbelsäule oder dem hinteren Mediastinum lokalisiert. Die Tumoren können oft verkalken.
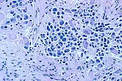
Morphologie und Biologie
Es werden zwei Formen unterschieden: Die schwannzell-stroma reiche (imperfekte) Variante mit allen Stufen einer neuronalen Differenzierung, sowie die Mischform aus schwannzell-stroma reichen und schwannzell-stroma armen Anteilen, bzw. unreife Variante. Letztere Variante hat eine etwas schlechtere klinische Prognose.[2] Im Gegensatz zur früheren Auffassung haben nicht-neoplastischen Schwann-Zellen und deren Vorstufen eine zentrale Rolle im Ausreifungsprozess von Neuroblastomen zu Ganglioneuroblastomen/Ganglioneuromen. Verschiedene Studien konnten nachweisen, dass diese Zellen maßgeblich zur Differenzierung der Tumorzellen beitragen. Diese Untersuchungen stellen eine in der Tumorbiologie außergewöhnliche Konstellation dar: Eine nicht-neoplastische Zellpopulation stimuliert die Differenzierung und den Zelltod von Tumorzellen.[3]
Differentialdiagnose
Der Tumor muss insbesondere von den differenzierenden Neuroblastomen abgegrenzt werden.
Weiterführende Literatur
- K. Koike, M. Iihara u. a.: Adult-type ganglioneuroblastoma in the adrenal gland treated by a laparoscopic resection: report of a case. In: Surgery today. Band 33, Nummer 10, 2003, S. 785–790, ISSN 0941-1291. doi:10.1007/s00595-003-2565-8. PMID 14513331. (Review).
- G. J. Lonergan, C. M. Schwab u. a.: Neuroblastoma, ganglioneuroblastoma, and ganglioneuroma: radiologic-pathologic correlation. In: Radiographics. Band 22, Nummer 4, 2002 Jul–Aug, S. 911–934, ISSN 0271-5333. PMID 12110723. (Review).
Weblinks
Einzelnachweise
- ↑ Ingeborg M. Ambros, Andrea Zellner, Borghild Roald, Gabriele Amann, Ruth Ladenstein, Dieter Printz, Helmut Gadner, Peter F. Ambros: Role of Ploidy, Chromosome 1p, and Schwann Cells in the Maturation of Neuroblastoma. In: New England Journal of Medicine. Band 334, Nr. 23, 6. Juni 1996, ISSN 0028-4793, S. 1505–1511, doi:10.1056/NEJM199606063342304 (nejm.org [abgerufen am 21. Juli 2025]).
- ↑ C. Aoyama, S. J. Qualman u. a.: Histopathologic features of composite ganglioneuroblastoma. Immunohistochemical distinction of the stromal component is related to prognosis. In: Cancer. Band 65, Nummer 2, Januar 1990, S. 255–264, ISSN 0008-543X. PMID 2295048.
- ↑ Garrett M. Brodeur: Schwann Cells as Antineuroblastoma Agents. In: New England Journal of Medicine. Band 334, Nr. 23, 6. Juni 1996, ISSN 0028-4793, S. 1537–1539, doi:10.1056/NEJM199606063342311 (nejm.org [abgerufen am 21. Juli 2025]).