Ganglioneurom
| Klassifikation nach ICD-10 | |
|---|---|
| D35 | Gutartige Neubildung sonstiger und nicht näher bezeichneter endokriner Drüsen |
| D35.0 | Nebenniere |
| D36 | Gutartige Neubildung an sonstigen und nicht näher bezeichneten Lokalisationen |
| D36.1 | Periphere Nerven und autonomes Nervensystem |
| ICD-10 online (WHO-Version 2019) | |
| Klassifikation nach ICD-O-3 | |
|---|---|
| 9490/0 | Ganglioneurom |
| ICD-O-3, zweite Revision (2019) | |

Ganglioneurome sind seltene, im Allgemeinen gutartige Tumoren des sympathischen Nervensystems, welche sich feingeweblich aus reifen Ganglienzellen, Schwann-Zellen, Bindegewebe und Nervenfasern zusammensetzen. Sie können prinzipiell überall dort entstehen, wo sich sympathisches Nervengewebe findet, insbesondere im Nebennierenmark, den sympathischen Ganglien beidseits der Wirbelsäule, dem hinteren Mediastinum, Kopf oder Hals. Seltene Lokalisationen umfassen die Harnblase, die Darm- oder Bauchwandung sowie die Gallenblase. Der Tumor entsteht entweder sporadisch oder durch Ausreifung aus den unreiferen Ganglioneuroblastomen oder Neuroblastomen.[1] Nicht-neoplastische Schwann-Zellen und deren Vorläufer Zellen spielen eine entscheidende Rolle im Ausreifungsprozess von Neuroblastomen zu Ganglioneuroblastomen und Ganglioneuromen.[2]
Selten soll eine Assoziation des Tumors mit syndromalen Erkrankungen wie der Neurofibromatose Typ 1, dem Beckwith-Wiedemann-Syndrom, dem Morbus Hirschsprung oder dem DiGeorge-Syndrom bestehen. Knapp 40 % der Ganglioneurome produzieren Katecholamine.[3] Während es sich bei Ganglioneuromen um Tumoren des peripheren Nervensystems handelt, ist die Bezeichnung Ganglioneurom des zentralen Nervensystems. eine obsolete Bezeichnung für einen seltenen gutartigen hirneigenen Tumor, das Gangliozytom.
Epidemiologie
Wenngleich sich Ganglioneurome in jedem Lebensalter manifestieren können, sind in der Mehrzahl der Fälle Kinder, Jugendliche und junge Erwachsene betroffen. Das mittlere Erkrankungsalter liegt bei 7 Jahren. In Einzelfällen wurden auch angeborene Ganglioneurome beschrieben.[4] Der Tumor zeigt keine deutliche Geschlechtsbevorzugung.
Morphologie
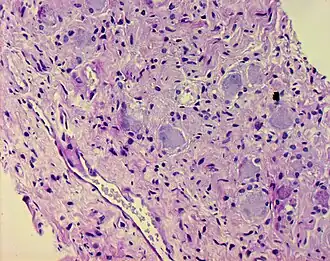
Ganglioneurome treten häufig als gut umschriebene, rundliche oder gelappte Tumoren von fester Konsistenz in Erscheinung. Die Schnittfläche erscheint grau-weiß bis gelb-grau und kann zystische oder verfettete Areale sowie Verkalkungen zeigen. Histologisch finden sich spindelige Zellproliferate (Schwann-Zellen) ähnlich wie bei einem Neurofibrom, wobei jedoch zusätzlich an Ganglienzellen erinnernde ganglioide Tumorzellen, häufig in Gruppen gelagert und mehrkernig, zu erkennen sind. Fokal werden häufig lymphozytäre Infiltrate sichtbar. Nekrosen fehlen üblicherweise.[5] Es wird als Zeichen der Gutartigkeit bewertet, dass die Tigroidschollen der ganglioiden Zellen noch erkennbar sind und somit keine Chromatolyse vorliegt.[6]
Klinische Symptomatik
Unabhängig von ihrer Größe sind Ganglioneurome häufig asymptomatisch und werden nicht selten zufällig im Rahmen von Routineuntersuchungen entdeckt. Mögliche Symptome sind Bauchschmerzen, Kurzatmigkeit, Husten oder eine tastbare Resistenz im Bauchraum. Hormonproduzierende Ganglioneurome können zu Bluthochdruck, Hautrötung oder Vermännlichung führen. Wässrige Durchfälle können aus einer Sekretion von vasoaktivem intestinalem Polypeptid (VIP) durch den Tumor resultieren.[7]
Diagnose
Zur Diagnose eignen sich bildgebende Verfahren wie die Magnetresonanztomographie (MRT), Computertomographie (CT) oder die MIBG-Szintigrafie. Bei letzterem Verfahren macht man sich die Tatsache zunutze, dass zumindest ein Teil der Ganglioneurome den Stoff MIBG aufnimmt und innerhalb der Tumorzellen anreichert. Eine Markierung durch ein radioaktives Jod-Isotop gewährleistet in diesen Fällen die Detektierbarkeit mittels Szintigraphie. Die MIBG-anreichernden Tumoren sind diejenigen Ganglioneurome, die auch Katecholamine produzieren. Eine Biopsie oder komplette Tumorentfernung mit anschließender histologischer Untersuchung des gewonnenen Gewebes kann zur definitiven Diagnosesicherung erforderlich sein. Im Falle einer Hormonproduktion durch den Tumor sind laborchemische Untersuchungen sinnvoll.
Therapie und Prognose
Therapie der Wahl ist in der Regel die chirurgische Entfernung des Tumors. Nur selten werden Rückfälle beobachtet, so dass üblicherweise von einer exzellenten Prognose auszugehen ist. Eine Metastasierung von Ganglioneuromen[8][9] wird ebenso wie die maligne Transformation in ein Ganglioneuroblastom oder Neuroblastom[10] in Einzelfällen beschrieben. Diskutiert wird die Möglichkeit, dass ganglioneuromtypisch differenzierte Metastasen auch durch gewebliche Ausreifung aus Absiedlungen von Neuroblastomen und Ganglioneuroblastomen entstehen könnten, so dass Ganglioneurome selbst möglicherweise kein metastatisches Potenzial besitzen.
Differentialdiagnose
Bei der Diagnose auszuschließen sind andere Tumoren von Nebenniere bzw. sympathischem Nervensystem, wie das Nebennierenadenom und -karzinom, das Neuroblastom und das Ganglioneuroblastom, neuroblastische Mischtumoren oder das Phäochromozytom.
Literatur
- A. R. Jedynak u. a.: Imaging in Ganglioneuroma and Ganglioneuroblastoma. 2008; (online auf: Medscape)
Weblinks
Einzelnachweise
- ↑ C. Dyke u. a.: Maturation of ganglioneuroblastoma to ganglioneuroma. In: Cancer. 2006; 20(8), S. 1343–1349.
- ↑ Ingeborg M. Ambros, Andrea Zellner, Borghild Roald, Gabriele Amann, Ruth Ladenstein, Dieter Printz, Helmut Gadner, Peter F. Ambros: Role of Ploidy, Chromosome 1p, and Schwann Cells in the Maturation of Neuroblastoma. In: New England Journal of Medicine. Band 334, Nr. 23, 6. Juni 1996, ISSN 0028-4793, S. 1505–1511, doi:10.1056/NEJM199606063342304 (nejm.org [abgerufen am 21. Juli 2025]).
- ↑ B. Geoerger u. a.: Metabolic activity and clinical features of primary ganglioneuromas. In: Cancer. 2001; 91(10), S. 1905–1913.
- ↑ M. A. Ponce-Camacho u. a.: A 5-year-old girl with a congenital ganglioneuroma diagnosed by fine needle aspiration biopsy : A case report. In: CytoJournal. 2008;5, S. 5.
- ↑ Mediastinum. auf: PathologyOutlines.com, 4. November 2007.
- ↑ Tigroidschollen. In: Hans Ulrich Zollinger: Pathologische Anatomie. Band 1: Allgemeine Pathologie. Georg Thieme, Stuttgart 1968, S. 276.
- ↑ P. G. Swift u. a.: Watery diarrhoea and ganglioneuroma with secretion of vasoactive intestinal peptide. In: Archives of Disease in Childhood. 1975; 50, S. 896–899.
- ↑ J. H. Garvin u. a.: Ganglioneuroma presenting with differentiated skeletal metastases. Report of a case. In: Cancer. 2006; 54(2), S. 357–360.
- ↑ A. Goya u. a.: Mediastinal ganglioneuroma with lymph node metastasis in a boy presenting upper airway infection. In: Journal of Chinese Clinical Medicine. 2006; 1(6), S. 326–329.
- ↑ A. V. Kulkani u. a.: Malignant transformation of ganglioneuroma into spinal neuroblastoma in an adult. Case report. In: Journal of Neurosurgery. 1998; 88(2), S. 324–327.