Enchondrom
| Klassifikation nach ICD-10 | |
|---|---|
| D16.- | Gutartige Neubildung des Knochens und des Gelenkknorpels |
| Q78.4 | Enchondromatose |
| ICD-10 online (WHO-Version 2019) | |
Ein Enchondrom ist ein häufiger, gutartiger und vom Knorpelgewebe abstammender Tumor. Er findet sich meist im 20. bis 40. Lebensjahr im Markraum der langen Röhrenknochen. Multiple Enchondrome finden sich bei verschiedenen Syndromen, wobei hier die Gefahr einer Entartung besteht.

Klinik
Die Läsionen sind in der Regel schmerzlos und langsam wachsend. In der Regel handelt es sich um Zufallsbefunde bei einer Röntgenuntersuchung. Selten fallen Enchondrome durch pathologische Frakturen oder Schmerzen auf. Dann ist ein Malignom-Ausschluss obligat. Bei multiplen Enchondromen muss ein Syndrom ausgeschlossen werden, da syndromale Enchondrome entarten können (siehe Syndrome).
Lokalisation
Enchondrome finden sich zum überwiegenden Anteil in den langen Röhrenknochen der Finger (60 %). Seltener finden sich Enchondrome im Bereich der Fußknochen, des Femurs, des Humerus und der Beckenschaufel.
Die Lokalisation beeinflusst die Wahrscheinlichkeit einer malignen Entartung. So zeigen stammnahe Läsionen eine höhere Entartungswahrscheinlichkeit (s. Chondrosarkom). Insbesondere Enchondrome des Beckens sollten daher sehr sorgfältig entfernt werden.
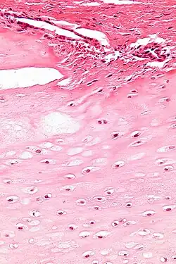
Pathologie

Makroskopisch handelt es sich in den meisten Fällen um grau-blaue Tumorknoten, die in der Regel unter drei Zentimeter groß und lobuliert sind. Diese liegen in der Regel im Markraum der langen Röhrenknochen. Histologisch handelt es sich bei Enchondromen um reifes Knorpelgewebe mit Knorpel-typischer hyaliner Matrix und histologisch gutartigen Knorpelzellen (Chondrozyten). Im Tumorrand findet sich in der Regel eine enchondrale Ossifikation. Auch das Tumorzentrum kann nach Nekrose verkalken. Das umgebende Knochengewebe wird in der Regel verdrängt, aber nicht zerstört.
In ätiologischer Hinsicht geht man heute davon aus, dass es sich um embryonale Reste der Wachstumsfuge handelt. Heilungen nach Frakturen könnten gegen die tumoröse Natur mancher Enchondrome sprechen.[1]
Diagnostik
Die Diagnose eines Enchondroms kann zumeist relativ sicher mit bildgebenden Methoden gestellt werden. Oftmals reicht bei klassischen Erscheinungen das Röntgenbild zur primären Diagnose und zur Verlaufskontrolle aus. In unklaren Fällen helfen die Schnittbildverfahren der Computertomographie und insbesondere der Magnetresonanztomographie entscheidend weiter. Neben der primären Diagnose kommt den bildgebenden Verfahren die Aufgabe zu, im Verlauf eine mögliche maligne Entartung eines Enchondroms zum Chondrosarkom frühzeitig zu erkennen. Dies kann mitunter schwierig sein. Wichtigster klinischer Hinweis auf eine Entartung ist das Auftreten von Schmerzen.
Röntgen


Im Röntgenbild stellt sich das klassische Enchondrom als zur Knochenachse längliche, ovaläre Läsion zentral im Markraum langer Röhrenknochen dar. Eine exzentrische Lage schließt ein Enchondrom jedoch nicht aus. Das Zentrum der Läsion liegt meist in der Metaphyse oder in der distalen Diaphyse eines Röhrenknochens. Ein kleiner oder kurzer Knochen kann vollständig ausgefüllt sein. Typisch für Enchondrome ist eine Ausdünnung der Kortikalis des Knochens von innen, das sogenannte Scalloping und im Falle einer Expansion über das Volumen des Knochens hinaus die Neubildung der Kortikalis (Neocortex). Eine Periostreaktion wird jedoch praktisch nie beobachtet. Das Erscheinungsbild eines Enchondroms wird des Weiteren hauptsächlich vom stark variierenden Ausmaß der Verkalkungen der primär knorpeligen Tumormatrix geprägt: diese können punktförmig, ring- und bogenförmig („rings and arcs“) und flockig sein. Oftmals imponiert das Bild Popcorn-artig. Die Verkalkungen treten häufiger und ausgeprägter in den langen Röhrenknochen auf, während die Läsionen in den kleineren Knochen der Finger und Füße weniger verkalken. Das Röntgen-Bild erfasst sicher nur die Verkalkungen und das Scalloping, so dass das wahre Ausmaß eines nur gering verkalkten Enchondroms mit dieser Methode unterschätzt werden kann. Verschwinden von vormals verkalkten Arealen innerhalb eines Enchondroms im Verlauf muss als Hinweis auf eine Entartung gedeutet werden.[2]
Computertomographie (CT)
Der Stellenwert der CT bezieht sich hauptsächlich auf die überlagerungsfreie Darstellung, so dass auch feinste Matrixverkalkungen erkannt werden können. Auch die Struktur der Kortikalis kann besser beurteilt werden.
Magnetresonanztomographie (MRT)
Da Enchondrome zu 95 % aus hyaliner Knorpelmatrix bestehen, stellt sich das Enchondrom im MRT auf T2-gewichteten Sequenzen homogen hell dar. Dadurch kommt insbesondere auch das typische Muster vieler Enchondrome („popcorn-like“, „rings and arcs“) deutlich heraus. Zudem ist die MRT die beste Methode, das Ausmaß eines Enchondroms exakt zu beurteilen. Dies ist zur Planung vor operativer Entfernung von entscheidender Bedeutung.
Szintigraphie
Szintigraphisch reichern die Läsionen in der Regel an, so dass die Unterscheidung zu einem Malignom schwierig sein kann. Allerdings ist die Aktivität der Speicherung niedriger als bei malignen ossären Prozessen. Auch findet sich in der 3-Phasen-Szintigraphie keine verstärkte Perfusion. Die Speicherung ist abhängig vom Ossifizierungsgrad, somit ist ein Vergleich zum Röntgenbefund erforderlich.
Biopsie
Die Biopsie der Läsion wird in der Regel notwendig, wenn ein maligner Tumor nicht ausgeschlossen werden kann. Nach Möglichkeit sollte der gesamte Tumor exzidiert werden, da auch bösartige und gutdifferenzierte Chondrosarkome Bereiche enthalten können, die histologisch einem Enchondrom ähneln.
Therapie
Bei typischem und gutartigem Röntgenbild und fehlenden klinischen Symptomen ist eine Therapie nicht unbedingt notwendig (En Bloc-Exzision oder Kürettage). Kann ein bösartiger Tumor nicht sicher ausgeschlossen werden, sollte der Tumor entfernt oder engmaschig kontrolliert werden. Symptomatische Läsionen werden in der Regel chirurgisch exzidiert. Enchondrome an den seltenen Lokalisationen bedürfen ebenfalls gründlicher Abklärung.
Syndrome
Syndrome mit multiplen Enchondromen werden als Enchondromatosen bezeichnet.
Maffucci-Syndrom
Beim Maffucci-Syndrom (synonym Dyschondroplasia haemangiomatosa) finden sich multiple, asymmetrische Enchondrome vor allem der Gliedmaßen in Kombination mit multiplen Hämangiomen der Haut und innerer Organe. Diese Enchondrome entarten häufig. Patienten neigen außerdem zur Entwicklung anderer bösartigen Tumoren (z. B. Angiosarkom). Es handelt sich um eine komplexe Entwicklungsstörung des Mesoderms.
Ollier-Syndrom
Beim Ollier-Syndrom (synonym Hemichondrodysplasia Typ Ollier, auch Enchondromatose Ollier)[3] handelt es sich um eine halbseitige Enchondromatose multipler langer Röhrenknochen. Diese führt zu Wachstumsstörungen und Frakturen. Die Ursache ist ungeklärt.
Die multiplen Enchondrome neigen im höheren Alter häufig (ca. 25–30 %) zu einer Entartung (siehe Chondrosarkom).
Differentialdiagnose
Nach radiologischen Kriterien kommt – bei älteren Patienten und metaphysärem Befall langer Röhrenknochen – nur das Chondrosarkom in Frage.
Literatur
- J. Freyschmit, H. Ostertag, G. Jundt: Knochentumoren. Springer, 2003, ISBN 3-540-40364-7.
- C. Adler: Knochenkrankheiten. Springer, 1983, ISBN 3-540-62836-3.
Weblinks
- Diagnostik und Therapie der Enchondrome. tumororthopaedie.org
- Leitlinie für gutartige Knochentumore. ( vom 29. September 2007 im Internet Archive) uni-duesseldorf.de
Einzelnachweise
- ↑ Rüdiger Döhler: Multiple Chondrome – Heilung nach pathologischer Fraktur. In: Fortschritte auf dem Gebiet der Röntgenstrahlen und Nuklearmedizin (RöFo), 1984, 141, S. 716 f.
- ↑ R. Döhler, G. Heinemann, W. Busanny-Caspari, M. D. Farrar: Chondrosarcoma of the first metatarsal - primary or secondary to enchondroma? In: Archives of Orthopaedic and Traumatic Surgery, 1979, 95, S. 221–225.
- ↑ Barbara I. Tshisuaka: Ollier, Louis Xavier Edouard Léopold. In: Werner E. Gerabek, Bernhard D. Haage, Gundolf Keil, Wolfgang Wegner (Hrsg.): Enzyklopädie Medizingeschichte. De Gruyter, Berlin / New York 2005, ISBN 3-11-015714-4, S. 1069.