Hämangiom
| Klassifikation nach ICD-10 | |
|---|---|
| D18.0 | Hämangiom, jede Lokalisation |
| ICD-10 online (WHO-Version 2019) | |

Ein Hämangiom, auch Blutschwämmchen oder Erdbeerfleck genannt, ist ein embryonaler Tumor mit Endothel-Proliferation und sekundärer Ausbildung von Gefäßlumen. Typischerweise sind Hämangiome bei Geburt noch sehr klein und nehmen dann in manchen Fällen (ca. 10 Prozent) vor allem im ersten Lebensjahr deutlich an Größe zu. Einige Formen treten nach dem 3. Lebensjahrzehnt auf.
Häufigkeit und Lokalisation
Die Häufigkeit der Hämangiome liegt bei 3–5 Prozent bei Säuglingen, Frühgeborene sind bis zu 10-mal öfter betroffen, somit repräsentieren die Hämangiome die häufigsten Tumoren im Kindesalter. Bei Mädchen treten die Hämangiome zwei bis dreimal häufiger auf als bei Jungen.[2]
Hämangiome können am ganzen Körper und auch an inneren Organen auftreten, in 60 Prozent der Fälle kommen sie jedoch im Kopf- und Halsbereich vor. In der Leber ist etwa ein Drittel der Hämangiome lokalisiert. Von Angiomatose spricht man beim Befall großer Flächen oder ganzer Extremitäten.
Hämangiome sind meist angeboren, zeigen unterschiedliche Wachstumstendenzen und bilden sich zum Teil von alleine wieder zurück. Sie entarten in der Regel nicht.
Herkunft
Die Herkunft der infantilen Hämangiome ist unbekannt. Es gibt jedoch Hinweise darauf, dass die Gefäßwand-Zellen der kapillären Gefäße eine gewisse Übereinstimmung mit der Plazenta in ihrer Expression von Genen aufweisen. Das selbstlimitierende Wachstum der Hämangiome könnte daher die eingeschränkte Wachstumszeit einer Plazenta widerspiegeln.
Formen, Verlauf und Therapie
Kapilläres Hämangiom


Das kapilläre Haemangiom (lat. Haemangioma capillare) besteht aus kapillären Blutgefäßen und macht 30 bis 40 % aller Gefäßtumore aus. Es kann sich auf der Haut als eine hellrote erhabene Gefäßanomalie äußern. Das kapilläre Hämangiom ist mit einer auf 200 Geburten recht häufig und tritt meist kurz nach der Geburt auf. Es wächst in der Regel in den ersten Lebensmonaten. Mehr als 70 Prozent der kapillären Hämangiome verschwinden bis zum 7. Lebensjahr fast vollständig unter narbiger Rückbildung. Bei unkomplizierten Hämangiomen ist keine Therapie erforderlich. Befindet sich das Hämangiom im Gesicht oder im Ano-Genitalbereich, sollte eine frühzeitige Therapie erfolgen, ansonsten bei eindeutiger Wachstumstendenz. Es lässt sich nicht vorhersagen, ob ein kapilläres Hämangiom bösartig entarten wird, die Geschwindigkeit ist dann aber hoch und kann sich großflächig darstellen. Die Therapie erfolgt per Lasertherapie, mit Kryotechnik (Kältetherapie), bei sehr großen kapillären Hämangiomen erfolgt eine Behandlung mit Steroiden, Chemotherapeutika und seit 2008 auch mit β-Blockern (Propranolol).[3] Die chirurgische Intervention bleibt Einzelfällen vorbehalten. Seltene Assoziation mit dem Kasabach-Merritt-Syndrom.
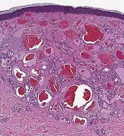
Histologie
- lobuläres Gefäßmuster des vaskulären, kanalisierten Tumors
- fokale Mikrothromben
- mittelkalibrige, arborisierende Gefäße
Kavernöses Hämangiom
→ Hauptartikel: Kavernom
Das kavernöse Hämangiom (lat. Haemangioma cavernosum) oder Kavernom ist eine hellrote bis purpurne Gefäßmissbildung mit großen, kavernösen Gefäßhohlräumen. Es ist manchmal schon bei der Geburt vorhanden, entsteht aber häufiger erst in den ersten Lebenstagen. Kavernöse Hämangiome lassen sich in kutane, kutan-subkutane und subkutane Hämangiome untergliedern. Die Rückbildungsrate der kavernösen Hämangiome liegt bei rund 80 Prozent.
Kavernöse Hämangiome können arteriovenöse Gefäßfehlbildungen enthalten und daher stark bluten. Weitere Komplikationen können Superinfektion, Nekrose und eine Verbrauchskoagulopathie (siehe Kasabach-Merritt-Syndrom) sein. Große kavernöse Hämangiome können bei Kindern das Wachstum einer Extremität beeinflussen und sollten dann therapeutisch angegangen werden. Therapeutisch kommt u. a. die Kryotherapie bei flachen, kleinen Hämangiomen in Frage. Bei größeren Hämangiomen steht die Lasertherapie im Vordergrund. Kavernöse Hämangiome werden wegen der guten Behandelbarkeit bei eindeutiger Wachstumstendenz heute in der Regel therapeutisch angegangen. In der Leber liegen kavernöse Hämangiome in der Regel direkt subkapsulär, sind in der Regel kleiner als 2 cm und von bläulicher Farbe. Sie können auch im Gehirn auftreten.
Trauben- bzw. beerenförmiges Hämangiom
Das Haemangioma racemosum ist das sog. Rankenangiom und tritt vor allem im Kopf-Hals-Rücken-Bereich auf. Es besteht aus geschlängelten und erweiterten Arterien oder Venen und stellt wahrscheinlich eine echte Neubildung (Neoplasie) dar. Das angeborene Haemangioma racemosum der Netzhaut tritt beim sogenannten Bonnet-Dechaume-Blanc-Syndrom auf.
Sklerosierendes Hämangiom
Dieses Hämangiom (Haemangioma cirsoideum) tritt vor allem im mittleren Erwachsenenleben auf. Es zeigt sich als relativ beweglicher, bis 1 cm großer und langsam wachsender Knoten in der Dermis und Subkutis. Der Tumor ist quasi ein gut vaskularisiertes Dermatofibrom und man findet histologisch Hämosiderin-positive Ablagerungen. Therapie ist die Exzision.
Haemangioma planotuberosum
Das Haemangioma planotuberosum ist ein flach erhabener, prall-elastischer und blau-roter Gefäßtumor, der von den Gefäßen unterhalb des Papillarkörpers der Haut ausgeht. Histologisch besteht der Tumor aus Kapillar-Sprossen und unreifen Endothelien.
Hämangiom der Augenhöhle
Das Haemangiom der Augenhöhle (lat. Orbita, deshalb auch: Orbitahaemangiom) im Unterschied zum Lidhämangiom (mit ae oder ä). Das Orbitahaemangiom, gelegentlich auch Orbitalhämangiom, ist der häufigste gutartige Tumor des Erwachsenen in der Orbita, einem durch Schädelknochen umgebenen Bereich mit vergleichsweise wenigen Tumoren. Relativ oft gibt es einen entsprechenden Zufallsbefund bei Schädeluntersuchungen. Erstes Symptom ist die Lageveränderung eines Augapfels. Sonst sind zur Diagnostik eine Angio-Magnetresonanztomographie und eine Computertomographie der Nasennebenhöhlen erforderlich.
Besonderheit beim Orbitahaemangiom ist das Auftreten im mittleren Lebensalter. Dabei lässt sich keine Geschlechtsbevorzugung feststellen; in einem Kollektiv entfielen rund 65 Prozent der Befunde auf Frauen.[4] Der Tumor führt üblicherweise zu langsam fortschreitendem Exophthalmus (74 Prozent), Visusreduktion (51 Prozent) und Aderhautfalten (32 Prozent), Hyperopie und Diplopie. Eine Therapie wird nur bei zunehmend progredienten Tumoren, die Symptome verursachen, angewandt. Therapieform ist dabei die chirurgische Exstirpation nach vorhergehender Verödung. Die Differentialdiagnose (DD) muss beachtet werden! Kleinere und asymptomatische Hämangiome bei typischen klinischen und radiologischen Befunden sollten wegen des fehlenden Nutzens und der möglichen OP-Komplikationen belassen werden. Dann genügen periodische Kontrollen. Es gibt auch Empfehlungen für eine frühe operative Intervention bei fehlender Symptomatik, um eine definitive histopathologische Diagnose zu erhalten und potentiellen Schaden durch weiteres Wachstum zu verhindern.[5]
Hämangiome der Wirbelsäule
Ein vertebrales Hämangiom ist der häufigste gutartige Tumor der Wirbelsäule und betrifft bis zu 10 % der Gesamtbevölkerung. Er wird meist zufällig bei Untersuchung der Brustwirbelsäule durch bildgebende Verfahren wie CT oder MRT entdeckt und ist dort besonders häufig zwischen den Wirbeln T3 bis T9 zu finden. Normalerweise symptomfrei, bedarf er im Allgemeinen keiner Behandlung. Die häufigste Form und Größe entspricht in etwa der Abgebildeten; kann jedoch auch den gesamten Wirbelkörper umfassen.

Hämangiome der Leber
→ Hauptartikel: Leberhämangiom
Hämangiome sind die häufigsten (gutartigen) Neoplasien der Leber. Sie werden oft als Zufallsdiagnose in der Sonographie entdeckt. Sie sind ungefährlich. Nur an der Oberfläche der Leber gelegene Hämangiome können aufreißen und bluten. Eine Entartung tritt nicht auf. Tiefer gelegene Hämangiome können jedoch zu einer intrahepatischen Abflussbehinderung der Gallenflüssigkeit führen.
Syndrome
Kasabach-Merritt-Syndrom
Beim Kasabach-Merritt-Syndrom kommt es zur Ausbildung von benignen, kavernösen und großen bis riesigen Hämangiomen. Überwiegend betrifft es Frauen. Auf Grund einer lokalisierten disseminierten intravasalen Gerinnung (DIC) mit Thrombenbildung innerhalb der Hämangiome kann eine Thrombozytopenie entstehen. Das Kasabach-Merritt-Syndrom kommt nicht bei klassischen Infantilen Hämangiomen, sondern eher beim Tufted Angiom und Kaposi-ähnlichen Hämangioendotheliom vor.
Siehe auch: Phakomatosen
Differentialdiagnose
Bei den Gefäßmissbildungen (Gefäßanomalien) ist zwischen Hämangiomen und vaskulären Malformationen (Gefäßmalformationen) zu unterscheiden. Hämangiome sind direkt nach der Geburt oft nur diskret vorhanden und können dann in den ersten Lebensmonaten an Größe deutlich zunehmen. Dahingegen bestehen Vaskuläre Malformationen häufig schon bei Geburt und werden proportional zum Körperwachstum größer.
Diese Unterscheidung ist insofern von Bedeutung, als die Therapie von Hämangiomen bei nachweislichem Wachstum sofort erfolgen muss. Bei vaskulären Malformationen kommt je nach Fall auch konservative Therapie in Frage.
Eine Differential-Diagnose kann auch das seltene Cobb-Syndrom darstellen.
Etymologie
Das Wort leitet sich vom altgriechischen αἷμα haima „Blut“ und ἀγγεῖον aggeion [gesprochen angeíon mit Betonung auf ei] „Gefäß“ ab.[6] Mit dem Suffix -om (auch -oma, -ma) enden im Altgriechischen viele Neutra; speziell in der Medizin werden damit Fachbegriffe gebildet, die Tumore bezeichnen (siehe Nomenklatur der Tumoren).
Literatur
- H. Ric Harnsberger, Patricia A. Hudgins u. a.: Kopf und Hals. Die 100 Top-Diagnosen; PocketRadiologist; Jena: Elsevier, Urban & Fischer, 2004; ISBN 3-437-23600-8; Philadelphia: Saunders, 2004; ISBN 0-7216-9697-X.
- Darin: H. Christian Davidson und Richard H. Wiggins, S. 123–137.
- Wolfram Wermke: Leberkrankheiten: Lehrbuch und systematischer Atlas; Köln: Deutscher Ärzte-Verlag, 2006; ISBN 978-3-7691-0433-2.
- Ulrike Ursula Ernemann, J. Hoffmann, E. Grönewäller, H. Breuninger, H. Rebmann, C. Adam, S. Reinert: Hämangiome und vaskuläre Malformationen im Kopf- und Halsbereich. Übersichtsartikel der Interdisziplinären Sprechstunde für Vaskuläre Anomalien am Universitätsklinikum Tübingen; in: Radiologe 43 (2003), S. 958–966.
- V. Petrovici: Hämangiome und vaskuläre Malformationen; in Serge Krupp (Hrsg.): Plastische Chirurgie – Klinik und Praxis; Landsberg/Lech: ecomed, 2000; ISBN 3-609-76210-1.
- J. B. Mulliken, A. E. Young: Vascular Birthmarks: Hemangiomas and Malformations; Philadelphia: Saunders, 1988.
- S2k-Leitlinie Hämangiome im Säuglings- und Kleinkindesalter der Deutschen Gesellschaft für Kinderchirurgie (DGKCH). In: AWMF online (Stand 2012)
- V. McAllister, B. Kendall, J. Bull: Symptomatic vertebral haemangiomas; Brain: a Journal of Neurology, 1975, S. 71–80
Weblinks
- Bilder und Kurzbeschreibung im Dermatologie Informations System (DermIS)
- C. M. Barnés et al.: Evidence by molecular profiling for a placental origin of infantile hemangioma. In: Proceedings of the National Academy of Sciences of the United States of America. Band 102, Nummer 52, Dezember 2005, S. 19097–19102, ISSN 0027-8424. doi:10.1073/pnas.0509579102. PMID 16365311. PMC 1323205 (freier Volltext). (englisch)
- Lebersonogramm
- Makroskopisches Präparat
- Histologie eines Hämangioms
- Vertebrales Hämangiom
Einzelnachweise
- ↑ M. Sand, D. Sand, C. Thrandorf, V. Paech, P. Altmeyer, F. G. Bechara: Cutaneous lesions of the nose. In: Head & face medicine Band 6, 2010, S. 7, ISSN 1746-160X. doi:10.1186/1746-160X-6-7. PMID 20525327. PMC 290354 (freier Volltext). (Review).
- ↑ H. Hamm, P.H. Höger: Hauttumoren im Kindesalter. In: Dt. Aerzteblatt 108, 20, 2011.
- ↑ Léauté-Labrèze et al.:Propranolol for severe hemangiomas of infancy. N Engl J Med. 2008;358(24):2649-51. PMID 18550886.
- ↑ McNab, 1989.
- ↑ JW Henderson, GM Farrow, JA Garrity, u. a. (1990) und A.-J Lemke, I. Kazi, u. a. (2004).
- ↑ Wilhelm Gemoll: Griechisch-Deutsches Schul- und Handwörterbuch. München/Wien 1965.