Netzhaut

Schema des Auges

1. Lederhaut (Sclera)
2. Aderhaut (Chorioidea)
3. Schlemm-Kanal (Sinus venosus sclerae)
4. Iriswurzel (Radix iridis)
5. Hornhaut (Cornea)
6. Regenbogenhaut (Iris)
7. Pupille (Pupilla)
8. Vordere Augenkammer (Camera anterior bulbi)
9. Hintere Augenkammer (Camera posterior bulbi)
10. Ziliarkörper (Corpus ciliare)
11. Linse (Lens)
12. Glaskörper (Corpus vitreum)
13. (Retina)
14. Sehnerv (Nervus opticus)
15. Zonulafasern (Fibrae zonulares)

Die Netzhaut oder Retina (von lateinisch rete ‚Netz‘[1]), auch Innere Augenhaut (Tunica interna bulbi) genannt, ist das mehrschichtige spezialisierte Nervengewebe, das die Innenseite der Augenwand bei Wirbeltieren sowie einigen Tintenfischen und Schnecken auskleidet. Im optischen Teil der Netzhaut wird das einfallende Licht – nachdem es die Hornhaut, die Linse und den Glaskörper durchquert hat – in Nervenimpulse umgewandelt. Dem abdunkelnden retinalen Pigmentepithel liegt von innen die Schicht der lichtempfindlichen Sinneszellen (Photorezeptoren) an. Deren Signale werden in weiteren, nach innen folgenden Netzhautschichten von Nervenzellen verarbeitet und weitergeleitet. Daneben enthält die Retina verschiedene unterstützende und versorgende Strukturen.

Vereinfacht ausgedrückt wird die Netzhaut damit zu einer Art Projektionsfläche für die Abbildung unserer Umgebung, ähnlich einer Leinwand oder einem lichtempfindlichen Film, und leitet die durch Lichtreize hervorgerufenen Erregungen weiter an Hirnregionen.

Die Struktur der Netzhaut hatte im 19. Jahrhundert der britische Anatom und Augenarzt William Bowman erkannt.[2]

Anatomie der Netzhaut des Menschen

Richtungs- und Lagebezeichnungen

Die Schichten der Netzhaut betreffend bezeichnet man als außen die Seite der Netzhaut, die näher zur Außenwand des Augapfels liegt. Als innen wird entsprechend die näher zur Augapfelmitte liegende Seite bezeichnet. Das durch die Pupille in den Augapfel eingefallene Licht erreicht also zunächst die inneren Netzhautschichten, und dann erst die äußeren; die äußerste Schicht der Netzhaut wird von einer Lage dunkel pigmentierter Zellen gebildet, dem retinalen Pigmentepithel.

Blick von hinten auf die vorderen Netzhaut- und Augenabschnitte (Zeichnung eines frontal geschnittenen menschlichen Auges)

Als vorn, anterior oder distal, bezeichnet man die Netzhautanteile, die den Strukturen des vorderen Augenabschnitts, der Iris und der Linse, nahe sind. Hinten, posterior oder proximal, heißen somit Netzhautanteile an jener der Linse gegenüber liegenden Augapfelwand. Für die Angabe von Richtungen in der Querachse werden die Ausdrücke nasenseitig (nasal) und schläfenseitig (temporal) gebraucht.

Abschnitte und Grenzen

Den weitaus größten Teil der Innenfläche des Augapfels bildet die Pars optica retinae genannte Neuroretina, welche die Photorezeptoren trägt. Nach vorne zu ist sie etwa 3 mm hinter dem Ziliarkörper (Corpus ciliare) mit einer zackenförmigen Grenze, der Ora serrata, von der Pars caeca retinae (lateinisch caecus ‚blind‘) abgesetzt, die ganz vorn als Pars ciliaris retinae den Ziliarkörper überzieht. Die vorderen Netzhautabschnitte können am intakten Auge bei der Kontaktglasuntersuchung mit einem Dreispiegelkontaktglas betrachtet werden.

Der Netzhaut liegt außen die Aderhaut (Choroidea) auf, welche per Diffusion die äußeren Netzhautschichten mit Nährstoffen versorgt. Innen liegt der Netzhaut der Glaskörper (Corpus vitreum) an. Hinten geht die Netzhaut in der Sehnervenpapille in den Sehnerv (Nervus opticus) über, der die Nervenfasern der Ganglienzellschicht enthält, mit denen die visuelle Information eines Auges weitergeleitet wird.

Dem Schutz der Netzhaut dient die sogenannte Blut-Retina-Schranke.

Augenhintergrund

Ansicht des Augenhintergrundes bei der Augenspiegelung.
Zentral die Makula, rechts die Papille

Beim Blick auf den Augenhintergrund (Fundus oculi oder Fundus) durch die Pupille schaut man durch die farblose und durchsichtige Neuroretina hindurch auf das dunkel pigmentierte retinale Pigmentepithel (RPE) und die darunterliegende, typabhängig mehr oder weniger dunkel pigmentierte Aderhaut. Als auffällige Landmarke findet man etwa 15° nasal von der optischen Achse die Austrittsstelle des Sehnerven mit seiner Papille (Papilla nervi optici). Sie hebt sich durch ihre rosa bis hellrote Farbe vom übrigen Braunorange des Fundus ab. Die Papille hat einen Durchmesser von durchschnittlich etwa 1,5 mm und ist mit individuell unterschiedlich ausgeprägtem Rand rund oder oval geformt.

Blinder Fleck

Als blinder Fleck wird im Gesichtsfeld die Stelle bezeichnet, auf die sich die Papille des Sehnerven projiziert (etwa 15° schläfenseitig vom Fixierpunkt). Dort, wo die Nervenfasern von Ganglienzellen der inneren Schicht zusammenlaufen und durch alle Netzhautschichten hindurchtretend den Augapfel verlassen, den Sehnerv bilden, befinden sich keine Lichtrezeptoren (siehe unten). Das Gebiet der Sehnervenpapille ist also wirklich lichtunempfindlich, „blind“.

Dass dieser „blinde“ Fleck auch bei einäugigem Sehen nicht wahrgenommen wird, liegt am sogenannten Ergänzungseffekt. Das visuelle System verwendet Informationen, die die Rezeptoren in der Umgebung der Papille liefern, um das Bild zu ergänzen.

Gefäße der Netzhaut

Auch die großen Netzhautgefäße, Arteriola und Venola centralis retinae, die wesentlich zum okulären Blutfluss beitragen, passieren die Augapfelwand und treten im Zentrum der Papille durch. Sie verzweigen sich hier in ein oberes und ein unteres Büschel und teilen sich meist noch einmal in einen nasalen und einen schläfenseitigen Ast auf. An ihrer unterschiedlichen Rottönung und am Kaliber lassen sich die Arteriolen von den Venolen unterscheiden.

Gelber Fleck

Die schläfenseitigen Gefäßzweige umrunden bogenförmig ein gefäßarmes und im Zentrum gefäßfreies Gebiet, das den gelben Fleck (Macula lutea) darstellt. Die gelbliche Färbung dieses im Durchmesser rund 3 mm großen Netzhautareals wird durch die hier eingelagerten Carotinoide Lutein und Zeaxanthin hervorgerufen. Diese filtern energiereiches (UV-)Licht und schützen die Netzhautzellen so vor photooxidativen Schäden. Inmitten der Macula lutea liegt eine seichte Vertiefung, die Fovea centralis, kurz Fovea oder Sehgrube genannt; um die Fovea centralis herum ist die Netzhaut zu einem flachen Wall verdickt. Diese Oberflächenform kommt durch Verlagerungen von Netzhautschichten zustande und kann bei Spiegelung des Augenhintergrundes an Lichtreflexen, dem sogenannten Wallreflex, erkannt werden.

Die Sehgrube im „gelben Fleck“ enthält die Stelle des schärfsten Sehens. Hier besitzt die Netzhaut die größte Auflösung, wie man sie etwa beim Lesen von Kleingedrucktem braucht. Die umgebende Netzhaut hat ein geringeres Auflösungsvermögen; diese peripheren Netzhautregionen dienen im Wesentlichen der Umfeldwahrnehmung, dem Erkennen von Dingen „aus den Augenwinkeln“, und sind die Grundlage des peripheren Gesichtsfeldes. Die zentrale Retina mit der Fovea centralis repräsentiert in der Foveola mit deren Mitte als motorischem Nullpunkt den Richtungswert geradeaus, auch Hauptsehrichtung genannt. Jeder periphere Netzhautpunkt besitzt ein anderes Richtungsempfinden, was zu entsprechend vielen Nebensehrichtungen führt.

Schwere Schädigungen der Macula lutea, z. B. durch die altersbedingte Makuladegeneration (AMD), können zu erheblichen Verlusten der Sehschärfe führen, sodass sie beispielsweise zum Lesen oder Autofahren nicht mehr ausreicht.

Nervenzellen der Netzhaut

Nervenzelltypen der Netzhaut im Schema (nach Cajal). Das ins Auge einfallende Licht quert verschiedene zellkernreiche Schichten (weiß unterlegt), bevor es die Stäbchen und Zapfen von Photorezeptorzellen in der äußeren Netzhautschicht erreicht; von links:
zunächst Ganglienzellen und deren Axone / grau: Innere plexiforme Schicht / Amakrine Zellen, Bipolarzellen, Horizontalzellen / gelb: Äußere plexiforme Schicht / Photorezeptorzellkörper / hellbraun: Außensegmente mehrerer Stäbchen und eines Zapfen

Ein Querschnitt der Netzhaut zeigt im Lichtmikroskop eine auffällige Schichtung, die durch abwechselnd zellkernreiche und -arme Lagen gebildet wird. Die Schichten besitzen charakteristische Zelltypen und subzelluläre Kompartimente. Die Nervenzellen der Netzhaut lassen sich in drei Gruppen gliedern:

  • Die lichtempfindlichen oder photorezeptiven Zellen, welche das eintreffende Licht in Nervenzellsignale umwandeln. Dazu gehören die Stäbchen und Zapfen und eventuell weitere Zelltypen.
  • Die zwischengeschalteten Zellen oder Interneurone, welche die gebildeten Signale einer ersten Verarbeitung innerhalb der Netzhaut unterziehen. Dazu gehören die Horizontalzellen, die Bipolarzellen und die Amakrinen Zellen.
  • Die Ganglienzellen, welche die verarbeitete Information an die nächste Schaltstelle außerhalb des Auges im Zwischenhirn weiterleiten.

Die Netzhaut ist entwicklungsgeschichtlich ein aus dem späteren Zwischenhirn hervorgehende Bildung. Sie entsteht auch beim menschlichen Embryo, indem sich dieser Vorderhirnanteil bläschenartig ausstülpt (Augenbläschen) und becherförmig einsenkt. Als Folge dieses Vorgangs ist die Netzhaut (invers) so aufgebaut, dass die eigentlichen lichtempfindlichen Sinneszellen die äußeren Netzhautschichten bilden, die vom Licht erst nach Passage der weiter innen gelegenen Strukturen erreicht werden.[3][4]

Photorezeptoren

Schematische Darstellung von Stäbchen und Zapfen in der Netzhaut

Unter den Zellen der Netzhaut kommt den für Licht empfindlichen Sinneszellen besondere Bedeutung zu. Die in den äußeren Netzhautschichten liegenden primären Lichtsinneszellen werden auch Photorezeptorzellen genannt. Es sind spezialisierte, polar gebaute Nervenzellen, deren Neurit in komplexen Synapsen endet. Ihr Zellkörper trägt gegenüber einen großen gegliederten Zellfortsatz mit innerem und äußerem Segment. In das Außensegment sind zahlreiche Moleküle eines spezifischen Photopigments (Sehfarbstoff) eingelagert, das sich bei Lichtempfang verändert und damit die Rezeptorzelle zur Signalbildung veranlasst. Nach Form und Aufbau ihres Fortsatzes als Stäbchen oder als Zapfen (englisch rods und cones) lassen sich Photorezeptoren in der Netzhaut von Säugetieren unterscheiden, die mosaikförmig verteilt sind.[5] Die Stäbchenzellen (mit Rhodopsin als Sehpigment) dienen dem Sehen bei Dämmerung und Nacht (skotopisches Sehen), die Zapfenzellen (Iodopsine als Sehpigmente) dienen dem Sehen von Farben bei Tageslicht (photopisches Sehen). Im menschlichen Auge finden sich etwa 120 Millionen Stäbchen und etwa 6 Millionen Zapfen, jedoch nicht gleichmäßig verteilt. Im Zentrum des Gelben Flecks (Macula lutea) liegt in der Sehgrube (Fovea centralis) der Bereich des schärfsten Sehens. Hier sind die Zapfenzellen mit etwa 150.000 pro Quadratmillimeter besonders dicht gepackt, während Stäbchenzellen fehlen. Diese erreichen jedoch eine ähnlich hohe Dichte in einem ringförmigen Areal am Makularand; zur Netzhautperipherie hin nimmt ihre Anzahl ab bis auf etwa 35.000/mm², wobei Zapfen hier noch rund zehnmal seltener vorkommen.

Eine andere Art lichtempfindlicher Nervenzellen sind die photosensitiven Ganglienzellen, die Melanopsin als Pigment enthalten. Diese Ganglienzellen der inneren Netzhautschicht senden Signale an den Nucleus suprachiasmaticus, in dem circadiane Rhythmen generiert werden (siehe Chronobiologie). Auf diese Weise wirken sie mit beim Entrainment der inneren Uhr, der Synchronisation des Tag-Nacht-Rhythmus, und bremsen die Bildung des Hormons Melatonin. Darüber hinaus sind sie am Pupillenreflex und der Steuerung der Pupillengröße beteiligt.

Empfindlichkeitsverteilung der drei menschlichen Zapfentypen. Zum Vergleich ist die der Stäbchen schwarz gestrichelt eingezeichnet.

Zum Farbensehen werden mehrere Zapfentypen mit unterschiedlicher spektraler Empfindlichkeit benötigt. Die meisten Säugetiere haben zwei, Menschen und die anderen Altwelt-Primaten sind aber Trichromaten, sie besitzen drei spektrale Zapfentypen unterschiedlicher Absorptionsmaxima, die vereinfacht auch Rot-, Grün- und Blauzapfen genannt werden. Kombination und Vergleich ihrer Signale im visuellen System bilden die Grundlage der Farbwahrnehmung. Die Lichtempfindlichkeit der Zapfen ist geringer als die von Stäbchen, weshalb sich bei abnehmender Helligkeit das Farbempfinden verändert (Purkinje-Effekt) und bei Dunkelheit erlischt (Nachts sind alle Katzen grau sagt ein Sprichwort).

Nachtaktive Säuger haben sehr viele Stäbchen und einen geringeren Anteil an Zapfen als die tagaktiven Säuger. Schon ein einziges Lichtteilchen (Photon) kann in einem Stäbchen ein schwaches Signal auslösen. Allerdings können erst mehrere Stäbchen gemeinsam nachgeordnete Nervenzellen so aktivieren, dass retinale Ganglienzellen der inneren Netzhautschicht Licht signalisieren. Beim Auftreffen eines Photons auf das in Membranstapel der Photorezeptoren eingelagerte Sehpigment, erfährt das Rhodopsin eine Konformationsänderung. Dies löst eine verstärkende Signaltransduktionskaskade aus, die zur Aktivitätsänderung der Photorezeptorzelle führt. Derart kann ein Lichtreiz in ein neuronales Signal überführt werden, das dann synaptisch zugeordneten Nervenzellen übermittelt wird. Für die Aufklärung der Bedeutung des Retinals bei diesem Vorgang bekam der amerikanische Biochemiker George Wald 1967 den Nobelpreis für Medizin.

Horizontalzellen, Bipolarzellen, Amakrinzellen

Zwei unterschiedliche Typen von Horizontalzellen verschalten die Photorezeptoren untereinander. Sie stehen selbst mit Nachbarzellen über Gap-Junction in Kontakt. Horizontalzellen dienen u. a. zur Kontrastverstärkung durch laterale Inhibition benachbarter Photorezeptoren.

Die Bipolarzellen werden durch die Photorezeptoren innerviert. In der Säugetierretina unterscheidet man je nach Tierart acht bis zwölf Typen von Bipolarzellen, die Zapfen kontaktieren (Zapfen-Bipolarzellen), und einen Bipolarzelltyp, der Stäbchen kontaktiert (Stäbchen-Bipolarzellen). Dabei unterscheidet man zwischen ON- und OFF-Bipolarzellen. ON-Bipolarzellen depolarisieren auf einen Lichtreiz, während OFF-Zellen mit einer Hyperpolarisation reagieren.

Die Bipolarzellen innervieren die Amakrinzellen. Amakrinzellen sorgen – ähnlich wie zuvor die Horizontalzellen – für eine sowohl laterale als auch vertikale Verschaltung des neuronalen Netzwerks in dieser Schicht der Netzhaut und tragen ebenfalls zur Modulation der Signalverarbeitung bei. Insgesamt gibt es über 30 verschiedene Amakrinzelltypen. Ein Typ, die sogenannte A2-Amakrinzelle, leitet Signale von Stäbchen-Bipolarzellen an die Zapfen-Bipolarzellen weiter und koppelt damit diese beiden Signalpfade. Ein anderer Typ der Amakrinzellen, die sogenannte Starburst-Zelle, ist am Bewegungssehen beteiligt.[6]

Ganglienzellen

Den Bipolar- und Amakrinzellen nachgeschaltet sind die Ganglienzellen. Sie sind die Ausgangsneurone der Netzhaut und leiten die visuelle Information über den Sehnerv (Nervus opticus) weiter zur nächsten Schaltstation im Gehirn, dem Corpus geniculatum laterale. Insgesamt lassen sich mindestens 30 Ganglienzelltypen unterscheiden.[7]

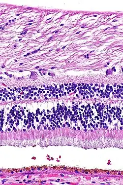
Schichten der Netzhaut

Histologisches Präparat einer Netzhaut

Das durch die Pupille einfallende Licht durchdringt Linse und Glaskörper als transparente Medien und passiert dann mehrere Schichten der Netzhaut, bevor es von den Photorezeptorzellen des Neuroepithels detektiert wird, die dem außen anliegenden Pigmentepithel zugewandt sind. Vom Glaskörper her zur Aderhaut hin, also bezogen auf das Auge von innen nach außen, zeigt die lichtempfindliche Netzhaut einen schichtartigen Aufbau aus Zellkörpern im Wechsel mit Zellfortsätzen. Hierbei lassen sich meist zehn Schichten unterscheiden, im Bereich der Sehgrube des Gelben Flecks sind einige seitwärts verlagert.

Innere Grenzmembran

Die innere Grenzmembran (Membrana limitans interna), englisch epiretinal membrane (ERM) oder internal limiting membrane (ILM) genannt, setzt die Retina vom Glaskörper ab. Diese innere Begrenzung der Netzhaut wird von der Basalmembran und der Plasmamembran der Müllerschen Zellen sowie möglicherweise anderer Gliazellen gebildet. Darüber hinaus besteht sie aus Kollagenfasern und Proteoglykosiden. Die im Lichtmikroskop homogen erscheinende Schicht bedeckt die gesamte Retina und geht vorne mit einer etwas vergröberten Struktur in die Zonulalamelle über.

Die älteren Histologen waren der Ansicht, dass die pinselartigen Endfüße der Müllerschen Stützfasern fest in der Grenzmembran verankert sind, letztere also als gliöses Produkt zu werten ist. Das Elektronenmikroskop konnte jedoch zeigen, dass die innere Grenzmembran den Charakter einer Basalmembran hat und von den Fußpunkten der Müllerschen Zellen klar abgegrenzt werden kann. Die klinisch nachweisbare starke Haftung der Membran an der Retina kommt wahrscheinlich durch die mit Kittsubstanz gefüllte Zwischenschicht zustande, welche die Gliafortsätze der Müllerschen Zellen mit der Grenzmembran verbindet.

Die innere Grenzmembran wird auch als periphere Verdichtung des Glaskörpergewebes aufgefasst, da sich ihre Faserlamellen schichtweise von der Retina abheben und in die Glaskörpermembran übergehen. Die Dicke der Grenzmembran beträgt ca. 2–3 µm.

Nervenfaserschicht

Die Nervenfaserschicht (Stratum neurofibrarum), englisch nerve fiber layer (NFL), besteht aus Nervenfasern mit den Axonen der Ganglienzellen und nimmt zum Blinden Fleck hin an Dicke zu. Sie leiten jeweils die Signale einer retinalen Ganglienzelle mit der aufgearbeiteten Information von Photorezeptoren eines umschriebenen Netzhautareals zu verschiedenen Gehirnregionen. Die Nervenfaserschicht eines Auges enthält beim Menschen etwa 1 Million Ganglienzellaxone. Bei ihm sind diese Nervenfasern marklos und erhalten ihre Myelinscheiden erst mit dem Austritt aus dem Bulbus am Discus nervi optici, der Sehnervenpapille. Zerstörungen eines Anteils der Nervenfaserschicht, beispielsweise durch eine Druckschädigung bei Grünem Star, haben hinsichtlich des betroffenen Netzhautgebiets eine irreparable Erblindung zur Folge.

In der Foveola der Sehgrube (Fovea centralis) ist die Nervenfaserschicht am geringsten, da sie seitwärts verlagert ist. Vom Wall der Sehgrube gehen Axone zunächst sternförmig aus und ziehen dann in einem mehr oder weniger ausgeprägten Bogen zur Austrittsstelle des Sehnervs (Papille). Zwischen Fovea und Papille laufen sie zusammen und bilden so das makulopapilläre Bündel. Alle übrigen Ganglienzellaxone laufen um dieses Bündel entweder oben oder unten bogenförmig herum. Hierbei überschreiten sie nie die horizontale Mittellinie.

Die Nervenfasern der vorderen Netzhaut, deren Ganglienzellkörper am weitesten von der Papille entfernt liegen, verlaufen am weitesten außen in der Faserschicht. So bleiben sie, wenn sie zur Papille ziehen, außen und nehmen deshalb auch eine mehr periphere Position im Sehnerv ein. Die Axone der Ganglienzellen, die dichter an der Papille liegen, verlaufen in der NFL oberflächennäher, dadurch kommen sie im Sehnerv auch eher zentral zu liegen.

Auch zentrifugale Fasern – vom Gehirn zur Retina – sind verschiedentlich in der Nervenfaserschicht beschrieben worden. Ihre Funktion und Bedeutung ist jedoch ungewiss. Einige Autoren ordnen ihnen Hemmfunktionen im Sehakt zu, andere bringen sie in Verbindung mit der Gefäßinnervation des retinalen Gefäßnetzes.

In der Nervenfaserschicht und der angrenzenden Ganglienzellschicht verlaufen auch die Aufzweigungen der zentralen Blutgefäße der Retina. Daneben sind in dieser Schicht auch Neurogliazellen vorhanden und versprengte Ganglienzellen zu finden. Die Dicke der Nervenfaserschicht beträgt ca. 20–30 µm.

Ganglienzellschicht

Schichten und Zelltypen der Säugetier-Retina
Legende linkerseits:
RPE retinales Pigmentepithel
OS Außensegmente der Photorezeptorzellen
IS Innensegmente der Photorezeptorzellen
ONL äußere nukleäre Schicht
OPL äußere plexiforme Schicht
INL innere nukleäre Schicht
IPL innere plexiforme Schicht
GC Ganglienzellschicht
Legende rechterseits:
BM Bruch-Membran, P Pigmentepithelzelle
R Stäbchen, C Zapfen
Pfeil: Membrana limitans externa
H Horizontalzelle, Bi Bipolarzelle
M Müller-Zelle, A Amakrinzelle
G Ganglienzelle, Ax Axone
Lichteinfall von innen (unten, GC) nach außen (oben, RPE)

Die Ganglienzellschicht (Stratum ganglionare), englisch ganglion cell layer (GCL), enthält die Zellkörper der retinalen Ganglienzellen.

Die Dendriten der Ganglienzellen ziehen in die angrenzende innere plexiforme Schicht (IPL), wo sie sich verzweigen und die Signale von den Bipolarzellen und den Amakrinzellen entgegennehmen. Weitergeleitet an Regionen im Gehirn werden die Signale schließlich über die Axone der Ganglienzellen, welche in der Nervenfaserschicht verlaufen und sich zum Nervus opticus bündeln.

Die Größe der Zellkörper ist verschieden, die Anordnung der Zellen in der peripheren Retina meist einschichtig, in mittleren und zentralen Zonen mehrschichtig. Neben den Ganglienzellen sind in der GCL noch einige Typen von Amakrinzellen ('displaced amacrine cells') und Gliazellen zu finden. Die Dicke der GCL beträgt ca. 20–30 µm.

Innere plexiforme Schicht

In der inneren plexiformen Schicht (Stratum plexiforme internum), englisch inner plexiform layer (IPL), findet eine Stufe der Vorverarbeitung statt, bevor die Information beispielsweise weitergeleitet wird an visuelle Zentren im Gehirn.

Die IPL besteht aus einem dichten Geflecht, das von den Axonterminalen der Bipolarzellen und von Dendriten der Amakrinzellen und der Ganglienzellen gebildet wird. Die Bipolarzellen liefern aufgearbeitete Signale der Photorezeptoren aus den äußeren Retinaschichten. Die IPL lässt sich untergliedern in fünf Subschichten. Diese Struktur ergibt sich aus den Verschaltungen der Bipolarzellen. Die tonischen OFF-Bipolarzellen bilden Synapsen in der ersten Subschicht der IPL. Die phasischen OFF-Bipolarzellen verschalten in der zweiten. Die phasischen ON-Bipolarzellen verschalten in Subschicht vier und die tonischen ON-Bipolarzellen in der fünften.[8]

Die Signalweitergabe wird jeweils durch synaptische Interaktionen mit Amakrinzellen moduliert und erreicht so schließlich die retinalen Ganglienzellen.

Gelegentlich finden sich in der IPL auch Zellkörper von „deplatzierten“ (misplaced) Neuronen, außerdem Neuroglia. Die Dicke dieser Schicht beträgt etwa 50–70 µm.

Innere Körnerschicht

Die innere Körnerschicht (Stratum nucleare internum), englisch inner nuclear layer (INL), enthält die Zellkörper von funktionell stark unterschiedlichen Zellen.

In der INL sind die Zellkörper von Bipolar-, Amakrin- und Horizontalzellen für die Vorverarbeitung von Signalen angesiedelt, sowie die Zellkörper des neuronalen Stützgewebes, der Müller-Zellen. Am weitesten außen liegen die Horizontalzellen, dann folgen die Zellkörper der Bipolarzellen und Müller-Zellen, an der inneren Begrenzung liegen die amakrinen Zellen. Innerhalb der Macula im Wall um die Sehgrube ist die INL mit einem Dutzend Zellreihen besonders dick, sie verjüngt sich peripher auf eine zwei- bis dreireihige Anordnung der Zellkerne. Die Dicke der inneren Körnerschicht beträgt 30 µm.

Äußere plexiforme Schicht

Die äußere plexiforme Schicht (Stratum plexiforme externum), englisch outer plexiform layer (OPL), stellt die Verbindung zwischen Photorezeptoren und den nachgeschalteten Zellen her.

Dendriten der Bipolar- und Horizontalzellen werden mit den synaptischen Enden der Photorezeptoren verschaltet und bilden somit die erste Stufe der intraretinalen Informationsverarbeitung. Diese Schicht enthält auch die Fortsätze der Müllerschen Stützfasern. In der Übergangszone zur nächsten Schicht liegt das tiefere Versorgungsnetz der retinalen Kapillaren, die Abkömmlinge der zentralen Netzhautarterie sind. Diese Gefäße verlaufen sehr konstant in einer Ebene und stoßen kaum in andere Schichten vor. Die Dicke dieser Schicht beträgt etwa 20 µm.

Äußere Körnerschicht

Die äußere Körnerschicht (Stratum nucleare externum), englisch outer nuclear layer (ONL), ist die Schicht der Zellkörper der Photorezeptoren.

Die Zellkörper der Stäbchen und Zapfen sind im ONL parallel nebeneinander gruppiert und erstrecken ihre verdickten lichtsensitiven Fortsätze, die Außensegmente, in Richtung des RPE. Die Kerne der Zapfen liegen in einer einzelnen Schicht nahe der Grenzmembran, die der Stäbchen bilden 4 bis 6 Lagen. Eine Ausnahme von dieser Anordnung besteht beim Menschen in der Fovearegion, in der Zapfen auch mehrschichtig gelagert sind.

Besonders zu vermerken ist, dass in dieser Schicht wesentlich mehr Zellkerne anzutreffen sind, als in der Schicht der Bipolar- und Ganglienzellen. Die Dicke dieser Schicht beträgt etwa 40 µm.

Äußere Grenzmembran

Die äußere Grenzmembran (Membrana limitans externa), englisch external limiting membrane (ELM), ist eine weitgehend undurchlässige Trennschicht, auch Stratum limitans externum genannt.

Sie wird durch eine horizontal gelegene Reihe von Zelladhäsions-Verbindungen (Zonulae adhaerentes, adhering junctions) gebildet, welche zwischen Ausläufern der Müllerschen Zellen und den Photorezeptorzellen ausgebildet sind. Durch die Lücken dieses fibrillären Netzwerks treten die Innenglieder der Rezeptorzellen. In der Region der Ora serrata setzt sich die äußere Grenzmembran in jene Substanz fort, welche die beiden Schichten des Ziliarepithels verbindet.

Innensegment

Das Innensegment oder Innenglied, englisch inner segment (IS), besteht aus stoffwechselreichen Kompartimenten der Photorezeptoren.

Es ist der Bereich der Photorezeptorzellen, der Mitochondrien und endoplasmatisches Retikulum (ER) enthält. Hier erfolgt unter anderem die Proteinbiosynthese und andere Stoffwechselaktivität. Getrennt werden die inneren von den äußeren Segmenten durch ein schmales Verbindungscilium, durch welche alle Stoffe für das Außensegment aktiv transportiert werden müssen.

Außensegment

Das Außensegment oder Außenglied, englisch outer segment (OS), ist das lichtsensitive Kompartiment der Photorezeptoren. Hier finden sich die Außensegmente der Photorezeptoren vom Verbindungscilium bis zum RPE. Am Verbindungscilium entstehen neue Diskmembranen, Membranabschnürungen bepackt mit Rhodopsin. Rhodopsin ist in die scheibenförmigen Disks eingelagert und initiiert die visuelle Signaltransduktion. Durch die Neusynthese bewegen sich die gestapelten Disks hin zum RPE und werden dort phagozytiert.

Retinales Pigmentepithel

Das retinale Pigmentepithel (Stratum pigmentosum), englisch retinal pigment epithelium (RPE), ist zunächst ein abschattender Lichtfilter. Dort findet aber auch ein Stoffaustausch mit Photorezeptoren statt.

Mit dem Pigmentepithel, einem hexagonal aufgebauten, einschichtigen Epithel, das aus dem äußeren Blatt des embryonalen Augenbechers hervorgeht, wird die Netzhaut gegen die Aderhaut (Choroidea) abgesetzt. Die Zellen des RPE enthalten durch Melanin schwarz gefärbte Melanosomen, welche funktionell Lichtfilter darstellen. Apikal umgreifen fingerartige, mikrovilläre Fortsätze des RPE die Photorezeptorzellen, welche der Ernährung der Photorezeptoren, dem Recycling der alten Diskmembranen der Photorezeptoraußensegmente sowie der Regeneration des gebleichten Retinals aus aktiviertem Rhodopsin dienen. Basal zeigen diese Zellen tiefe Furchen, die dem besseren Stoffaustausch mit den Blutgefäßen der Choroidea dienen. RPE-Zellen verhindern ein Eintreten von Blut aus der stark vaskularisierten Choriocapillaris (die stark durchblutete Grenzschicht der Aderhaut). In der Pars optica retinae wird die Verbindung zwischen dem RPE und der Neuroretina nur durch einen vom RPE aktiv erzeugten Sog aufrechterhalten, eine feste Verbindung existiert nur an der Ora serrata. Eine Fixierung der RPE-Schicht an die Lamina choriocapillaris erfolgt im Übrigen durch die Bruch-Membran.[9]

Erkrankungen der Netzhaut

Beispiel einer diabetischen Retinopathie nach fokaler Laserbehandlung

Beispiele für Erkrankungen der Netzhaut sind:[10]

Acetylsalicylsäure

Eine US-amerikanische Langzeitstudie aus Wisconsin legt die Vermutung nahe, dass die regelmäßige Einnahme von Acetylsalicylsäure möglicherweise zu Netzhautschädigungen führen könne und das Risiko einer altersbedingten Makuladegeneration (AMD) deutlich erhöhe. Ein kausaler Zusammenhang mit der Krankheitsentstehung konnte jedoch nicht nachgewiesen werden.[11][12][13]

Untersuchungsverfahren

Eine Standardmethode zur Untersuchung der Netzhaut stellt die direkte beziehungsweise indirekte Ophthalmoskopie oder Funduskopie (Augenspiegelung) dar. Sie besteht in der Beleuchtung des Augenhintergrundes und der Betrachtung des reflektierten Bildes mit einer Lupe. Seit der Publikation der 1850 gemachten Erfindung des Augenspiegels durch Hermann von Helmholtz im Jahr 1851 ist dieses Verfahren in der ophthalmoskopischen Diagnostik etabliert.

In den letzten Jahrzehnten wurden weitere Verfahren zur Netzhautdiagnostik entwickelt:

OCT-Scan einer Retina bei 800 nm und einer axialen Auflösung von 3 µm
  • Eine relativ neue, technisch herausragende und teurere Methode ist die Optische Kohärenztomografie (OCT), die die Abbildung des Untersuchungsgebietes um die dritte Dimension erweitert. Sie ermöglicht die Anfertigung hochauflösender Schnittbilder oder auch dreidimensionaler Tomografien mit einer zum histologischen Bilde vergleichbaren Qualität (Auflösungsvermögen bis 3 µm im Vergleich zu 0,3 µm beim Lichtmikroskop). Hier können die einzelnen Netzhautschichten aufgelöst und in ihrer Dicke vermessen werden. Dadurch lassen sich feinste Unterschiede feststellen, die für die adäquate Therapie bestimmter Netzhauterkrankungen oder auch beim Testen von Medikamenten maßgeblich sein können.
  • Weitere bildgebende Verfahren bieten neuartige Scanning-Laser-Ophthalmoskope, wie der Heidelberg Retina Tomograph (HRT), die mittels punkt- oder zeilenweisem Abtasten der Netzhaut und konfokaler Blenden- und Beleuchtungstechnik hochauflösende dreidimensionale Schicht- oder Reliefdarstellungen erzeugen können.

Weitere Untersuchungs- und Beurteilungsmöglichkeiten bestehen auf elektrophysiologischer Ebene durch

sowie zur Darstellung der retinalen Durchblutung durch

Siehe auch

Literatur

  • Robert F. Schmidt, Hans-Georg Schaible (Hrsg.): Neuro- und Sinnesphysiologie. 5. Auflage. Springer Verlag, Berlin 2005, ISBN 978-3-540-25700-4.
  • Franz Grehn: Augenheilkunde. 30. Auflage. Springer Verlag, Berlin 2008, ISBN 978-3-540-75264-6.
  • Albert J. Augustin: Augenheilkunde. Springer Verlag, Berlin 2007, ISBN 978-3-540-30454-8.
  • R. W. Young: The ninth Frederick H. Verhoeff lecture. The life history of retinal cells. In: Transactions of the American Ophthalmological Society. Band 81, 1983. S. 193–228, ISSN 0065-9533. PMID 6375087. PMC 1312450 (freier Volltext). (Review).
Commons: Retinas – Sammlung von Bildern, Videos und Audiodateien
Wiktionary: Netzhaut – Bedeutungserklärungen, Wortherkunft, Synonyme, Übersetzungen

Einzelnachweise

  1. Schon griechische Anatomen wie Herophilos von Chalkedon im 3. Jahrhundert nannten dieses Gebilde „netzartig“ (altgriechisch ἀμφιβληστροειδής amphiblēstroeidēs) im Vergleich mit einem Fischernetz, wie Galen berichtet (Gal. UP10.2). ἀμφιβληστρ-οειδής, ές, In: Liddell-Scott-Jones: A Greek-English Lexicon. perseus.tufts.edu
  2. Carl Hans Sasse: Geschichte der Augenheilkunde in kurzer Zusammenfassung mit mehreren Abbildungen und einer Geschichtstabelle. Ferdinand Enke, Stuttgart 1947, S. 51 (= Bücherei des Augenarztes, Heft 18).
  3. Wilfried Westheide, Gunde Rieger: Spezielle Zoologie. Teil 2: Wirbel- oder Schädeltiere. Band 1. Spektrum Akademischer Verlag, 2009, ISBN 978-3-8274-2039-8, S. 100 (eingeschränkte Vorschau in der Google-Buchsuche)
  4. Johannes W. Rohen, Elke Lütjen-Drecoll: Funktionelle Histologie. 4. Auflage. Schattauer, F.K. Verlag, 2000, ISBN 3-7945-2044-0, S. 476.
  5. Peter K. Ahnelt, Helga Kolb: The mammalian photoreceptor mosaic-adaptive design. In: Progress in Retinal and Eye Research, 2000, Band 19, Nr. 6, S. 711–777; doi:10.1016/S1350-9462(00)00012-4
  6. Imke Ortmann: Live beobachtet: der Richtungsdetektor im Auge. In: Spektrum der Wissenschaft, November 2002, Heft 11, S. 12 ff.
  7. Joshua R. Sanes, Richard H. Masland: The Types of Retinal Ganglion Cells: Current Status and Implications for Neuronal Classification. In: Annual Review of Neuroscience. Band 38, Nr. 1, 8. Juli 2015, ISSN 0147-006X, S. 221–246, doi:10.1146/annurev-neuro-071714-034120 (annualreviews.org [abgerufen am 27. Januar 2020]).
  8. Richard H. Masland: The Neuronal Organization of the Retina. In: Neuron, 76, 18. Oktober 2012
  9. Bruch Membran. In: Norbert Boss (Hrsg.): Roche Lexikon Medizin. 2. Auflage. Hoffmann-La Roche AG und Urban & Schwarzenberg, München 1987, ISBN 3-541-13191-8; S. 244; 5. Auflage 2003: gesundheit.de/roche
  10. Th. Axenfeld (Begr.), H. Pau (Hrsg.): Lehrbuch und Atlas der Augenheilkunde. Unter Mitarbeit von R. Sachsenweger u. a. Gustav Fischer Verlag, Stuttgart 1980, ISBN 3-437-00255-4.
  11. Aspirin kann offenbar die Netzhaut schädigen. In: Welt Online. 23. Januar 2013, abgerufen am 21. Januar 2015.
  12. rme: Acetylsalicylsäure könnte Augenleiden fördern. In: aerzteblatt.de. 19. Dezember 2012, abgerufen am 21. Januar 2015.
  13. B. E. Klein, K. P. Howard u. a.: Long-term use of aspirin and age-related macular degeneration. In: JAMA, Dezember 2012, Band 308, Nummer 23, S. 2469–2478; doi:10.1001/jama.2012.65406, PMID 23288416, PMC 3630794 (freier Volltext).
  14. Ronald D. Gerste: Spiegelbild der Mikrovaskulatur. In: Deutsches Ärzteblatt, 115(48), 30. November 2018, S. A2234-A2238.