Infarkt

Ein Infarkt ist ein Gewebsuntergang (Nekrose) infolge einer Sauerstoffunterversorgung (Hypoxie) durch unzureichenden Blutzufluss (Ischämie). Dem Infarkt gegenüber steht die Infarzierung, bei der in erster Linie ein Abflusshindernis Grund für die Hypoxie ist. Umgangssprachlich wird mit Infarkt der Herzinfarkt bezeichnet. Das Wort Infarkt stammt vom lateinischen Verb infarcire („hineinstopfen“).
In seiner heutigen Bedeutung, im Sinne einer ischämischen Nekrose der Muskulatur, eingeführt wurde der Terminus von Rudolf Virchow.[1]
Infarktformen

Anämischer Infarkt
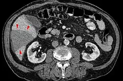
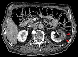
Der Verschluss einer (funktionellen) Endarterie führt zum anämischen Infarkt. (Beispiel: Niereninfarkt)
Häufigste Ursache eines anämischen Infarktes ist die Verschleppung eines Thrombus (Embolie) in ein arterielles Gefäß. Da es beim anämischen Infarkt keine oder kaum Kollateralgefäße gibt, führt die resultierende Blutleere (Ischämie) zu dem Erscheinungsbild eines sog. „weißen Infarktes“.
Hämorrhagischer Infarkt
Der Verschluss einer Arterie, deren Endstromgebiet auch von einer Kollateralen versorgt wird, führt zum hämorrhagischen Infarkt (Beispiel: Lungeninfarkt).
Obwohl der betroffene Bezirk mit Blut aus mindestens einer Kollaterale versorgt wird, kommt es aufgrund des zu geringen Blutflusses zur Sauerstoffunterversorgung. Es folgt eine Nekrose mit Untergang des Gefäßendothels. Die daraus resultierende Einblutung ins Gewebe führt zu der typischen Rotfärbung („roter Infarkt“).
Hämorrhagische Infarzierung
Der Verschluss des venösen Abflusses eines Gewebsbezirkes führt zur hämorrhagischen Infarzierung (Beispiel: Hodentorsion).
Aufgrund des mangelnden Abflusses entwickelt sich ein Blutstau im entsprechenden Gewebe. Da nun kein oxygeniertes Blut nachfließen kann, entsteht eine Hypoxie mit anschließender Nekrose. Makroskopisch ähnelt die hämorrhagische Infarzierung dem hämorrhagischen Infarkt.
Der Infarkt aufgrund eines infizierten Embolus wird als „septischer Infarkt“ bezeichnet.
Beispiele
- Auge: als Apoplexia papillae nach Verschluss einer die Netzhaut oder den Sehnerven versorgenden Arterie
- Herz: als Herzinfarkt durch Verschluss eines Herzkranzgefäßes, meist nach vorbestehender Koronarer Herzkrankheit
- Gehirn: als Ischämischer Schlaganfall, die häufigste Form eines Schlaganfalls
- Niere: als Niereninfarkt meist nach embolischem Verschluss einer kleinen Nierenarterie, seltener als hämorrhagische Infarzierung
- Lungeninfarkt, meistens durch eine Lungenembolie bedingt
- Leberinfarkt
- Milzinfarkt
- Knocheninfarkte wie die Femurkopfnekrose
- Mesenterialinfarkt, siehe auch Angina abdominalis
- Harnsäureinfarkt der Niere
- Kalkinfarkt
- Rückenmarksinfarkt
- Peripherie/Extremitäten: z. B. akuter Verschluss einer Beinarterie (vergleiche Periphere arterielle Verschlusskrankheit)
Literatur
- Werner Böcker, Helmut Denk, Philipp U. Heitz (Hrsg.): Pathologie. 3., völlig überarbeitete Auflage. Urban & Fischer, Elsevier, München/Jena 2004, ISBN 3-437-42381-9.
Weblinks
Einzelnachweise
- ↑ Hans H. Lauer: Geschichtliches zur Koronarsklerose. BYK Gulden, Konstanz 1971 (Aus dem Institut für Geschichte der Medizin der Universität Heidelberg), S. 28 und 30.