Molluscum contagiosum
| Klassifikation nach ICD-10 | |
|---|---|
| B08.1 | Molluscum contagiosum |
| ICD-10 online (WHO-Version 2019) | |
| Klassifikation nach ICD-11 | |
|---|---|
| 1E76 | Molluscum contagiosum |
| ICD-11: Englisch • Deutsch (Entwurf) | |
Molluscum contagiosum (Synonyme Dellwarze, Epithelioma molluscum, Epithelioma contagiosum, Molluske) bezeichnet eine knötchenartige Hauterscheinung (Effloreszenz), die durch eine Virusinfektion verursacht wird. Die Übertragung von Mensch zu Mensch erfolgt durch direkten Kontakt (auch sexuell). Der Verlauf dieser häufigen Infektionskrankheit ist in den meisten Fällen gutartig und selbstlimitierend, sie bilden sich meist im Verlauf von bis zu 18 Monaten vollständig zurück. Am häufigsten betroffen sind Kinder (insbesondere solche mit atopischem Ekzem), sexuell aktive Erwachsene und Immunsupprimierte.[1]
Aussehen und Ursache


Dellwarzen sind im Durchschnitt 2–6 mm große, weiße, rötliche oder hautfarbene Knötchen mit glatter und oft glänzender Oberfläche, die stets multipel auftreten. Sie haben meist in der Mitte eine Delle, die eine kleine Öffnung aufweisen kann, und treten in unterschiedlicher Anzahl (wenige bis mehrere Hundert Mollusken) am ganzen Körper auf, besonders an Armen, Händen, Fingern, Genitalien und Oberkörper. Beim Erwachsenen ist die Verbreitung im Genitalbereich vorherrschend. Druck auf Dellwarzen führt zur Entleerung einer rahmartigen bis teigigen Masse, die auch Molluscumbrei oder Molluscumkörperchen genannt wird. Dellwarzen kommen besonders häufig bei Kindern vor, insbesondere bei Kindern mit atopischem Ekzem (Neurodermitis), bei Personen mit Immunschwäche, Personen unter Kortisontherapie und sexuell aktiven Erwachsenen.
Gelegentlich kann es zu einer lokalen Entzündung bzw. Ekzembildung in der Umgebung der Dellwarzen kommen.
Erreger
| Molluscum-contagiosum-Virus | ||||||||||||||||||||||
|---|---|---|---|---|---|---|---|---|---|---|---|---|---|---|---|---|---|---|---|---|---|---|
Das Molluscum-contagiosum-Virus (TEM-Aufnahme) | ||||||||||||||||||||||
| Systematik | ||||||||||||||||||||||
| ||||||||||||||||||||||
| Taxonomische Merkmale | ||||||||||||||||||||||
| ||||||||||||||||||||||
| Wissenschaftlicher Name | ||||||||||||||||||||||
| Molluscum contagiosum virus | ||||||||||||||||||||||
| Kurzbezeichnung | ||||||||||||||||||||||
| MOCV/MCV | ||||||||||||||||||||||
| Links | ||||||||||||||||||||||
|
Entgegen den gebräuchlichsten deutschen Bezeichnungen werden Mollusken nicht zu den Warzen (Verruccae) gezählt. Sie entstehen nach einer Infektion durch das Molluscum-contagiosum-Virus (MOCV oder MCV), der Typusspezies aus der Gattung Molluscipoxvirus in der Unterfamilie Chordopoxvirinae der Pockenviren. Es handelt sich um behüllte, doppelsträngige DNA-Viren (dsDNA-Viren). Mit Stand 30. April 2024 gibt es in der Gattung nur diese eine Spezies:[3][4]
Unterfamilie Chordopoxvirinae
- Gattung Molluscipoxvirus (Weichtierpockenviren)
- Spezies Molluscipoxvirus molluscum mit
- Molluscum contagiosum virus (Molluscum-contagiosum-Virus, MOCV)
- Spezies Molluscipoxvirus molluscum mit
Das Genom der Viren vom Subtyp 1 hat eine Länge von 190.289 Basenpaaren (bp). Es kodiert vorhergesagt 163 Proteinen, der GC-Gehalt liegt bei 63 %.[5]
Übertragung
Die Übertragung erfolgt beim Menschen durch Schmierinfektion oder Kontaktinfektion, meist innerhalb eines Haushaltes, aber auch in Schwimmbädern und Kindergärten durch die gemeinsame Benutzung von Handtüchern. Ist ein Familienmitglied betroffen, überträgt sich die Infektionskrankheit innerhalb weniger Monate meist auch auf andere Mitglieder, wobei Kinder im Vor- und Grundschulalter am stärksten gefährdet sind. Geschätzte 2–8 % der Weltbevölkerung sind mit dem Virus infiziert, wobei Gebiete mit hoher Bevölkerungsdichte, niedrigem Hygienestandard und Armut stärker betroffen sind. Ein erster Erkrankungsgipfel wird in der Kindheit, ein zweiter im frühen Erwachsenenalter – hier auch als sexuell übertragbare Krankheit – beobachtet. Die Inkubationszeit ist sehr variabel und liegt zwischen 2 Wochen und 6 Monaten.
Diagnose

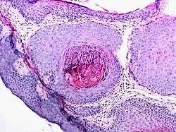
Dank des charakteristischen Aussehens ist meist eine Blickdiagnose möglich. In Zweifelsfällen kann eine histopathologische Untersuchung die Diagnose sichern.
Therapie
Bei einem großen Teil der Patienten bilden sich die Veränderungen nach sechs bis 18 Monaten ohne Behandlung spontan zurück. Sie können aber auch mehrere Jahre bestehen bleiben. Das Wachstum der Mollusca contagiosa ist sehr langsam.
Dellwarzen können bei entsprechender Notwendigkeit chirurgisch durch Abtragung mit dem scharfen Löffel oder einem anderen scharfen Instrument bei örtlicher Betäubung entfernt werden. Die Kryotherapie (Vereisung) ist eine mögliche Alternative, ebenso die Therapie mit dem gepulsten Farbstofflaser. Auch eine medikamentöse Behandlung ist möglich. Bewährt hat sich die Therapie mit 5%iger Kalilauge (Jansen et al. 2007).
Literatur
- D. Hanson, D. G. Diven: Molluscum contagiosum. In: Dermatology online journal. Band 9, Nummer 2, März 2003, S. 2, ISSN 1087-2108. PMID 12639455.
- T. Jansen, R. Romiti, J. Dissemond, S. Grabbe: Evaluierung der Wirksamkeit und Verträglichkeit von 5%iger Kaliumhydroxid-Lösung in der Behandlung von Molluscum contagiosum im Kindesalter. In: Aktuelle Dermatologie Ausgabe 6, 2007, S. 210–215, doi:10.1055/s-2007-966517
Weblinks
Einzelnachweise
- ↑ Informationsblatt Dellwarzen. (PDF; 43 kB) Landeshauptstadt Kiel, Amt für Gesundheit, Oktober 2006, archiviert vom (nicht mehr online verfügbar) am 3. September 2013; abgerufen am 10. Mai 2018.
- ↑ a b c d e ICTV: ICTV Taxonomy history: Variola virus, EC 51, Berlin, Germany, July 2019; Email ratification March 2020 (MSL #35)
- ↑ ICTV: Taxonomy Browser.
- ↑ ICTV: Virus Metadata Resource (VMR).
- ↑ David M. Needham, Alexandra Z. Worden et al.: A distinct lineage of giant viruses brings a rhodopsin photosystem to unicellular marine predators ( des vom 26. September 2019 im Internet Archive) Info: Der Archivlink wurde automatisch eingesetzt und noch nicht geprüft. Bitte prüfe Original- und Archivlink gemäß Anleitung und entferne dann diesen Hinweis., in: PNAS, 23. September 2019, doi:10.1073/pnas.1907517116, ISSN 0027-8424, hier: Supplement 1 (xlsx) (Seite nicht mehr abrufbar, festgestellt im März 2022. Suche in Webarchiven) Info: Der Link wurde automatisch als defekt markiert. Bitte prüfe den Link gemäß Anleitung und entferne dann diesen Hinweis.
