Ekzem
| Klassifikation nach ICD-10 | |
|---|---|
| L20 | Atopisches (endogenes) Ekzem |
| L21 | Seborrhoisches Ekzem |
| L23 | Allergische Kontaktdermatitis |
| L24 | Toxische Kontaktdermatitis |
| L25 | Nicht näher bezeichnete Kontaktdermatitis |
| L28 | Lichen simplex chronicus und Prurigo |
| L30 | Sonstige Dermatitis |
| ICD-10 online (WHO-Version 2019) | |
Das Ekzem (Synonym Juckflechte; von griechisch ἔκζεμα ekzema ‚Herausbrodeln, Aufwallung‘) ist eine Gruppe entzündlicher Hauterkrankungen, die sich in einer nicht-infektiösen Entzündungsreaktion der Haut äußern. Ekzeme können durch verschiedene Auslöser hervorgerufen werden. Sie sind durch eine typische Abfolge von Hautreaktionen charakterisiert (Hautrötung, Bläschenbildung, Nässen, Krustenbildung, Schuppung). Ekzeme werden nach unterschiedlichen Kriterien klassifiziert. Als Synonym wird häufig der weiter gefasste Begriff Dermatitis verwendet, welcher allerdings auch Hautentzündungen umfasst, die nicht zu den Ekzemen zählen. Insbesondere im angloamerikanischen Sprachgebrauch – aber auch in Teilen der deutschen Fachliteratur[1] – wird bevorzugt die Bezeichnung dermatitis statt eczema benutzt. Andere Autoren[2] möchten dagegen alle durch Chronizität gekennzeichneten Krankheitsbilder als Ekzem, die akuten Reaktionen aber als Dermatitis bezeichnen (mit der Möglichkeit des Übergangs zwischen beiden Verlaufsformen).
Auch in der Klassifikation nach ICD-10 erfolgt keine Unterscheidung zwischen den Bezeichnungen (siehe Tabelle).
Epidemiologie und sozioökonomische Bedeutung
Das Ekzem ist mit einer Prävalenz von 3 bis 20 Prozent die häufigste Hautkrankheit. Die Wahrscheinlichkeit, mindestens einmal im Leben an einem Ekzem zu erkranken, beträgt annähernd 100 Prozent.
Ekzeme haben eine hohe Bedeutung als Berufskrankheit; man spricht dann vom Berufsekzem.[3] So machen die anerkannten Fälle mit einer Anzahl von 2.400 – von 9.400 insgesamt im Jahr 2017 – den Großteil der anerkannten beruflich verursachten Krankheiten in Deutschland aus.[4] 90 Prozent dieser Fälle sind Ekzeme. Aufgrund von Arbeitsausfällen, Umschulungen, Invalidität, aber auch durch die Behandlungskosten und Aufwendungen für die Hautpflege besteht eine hohe finanzielle Belastung für das Gesundheitswesen und die Betroffenen.
Symptome
Obwohl sich die unterschiedlichen Ekzemformen hinsichtlich der Ursache (Ätiologie), Krankheitsentstehung (Pathogenese) sowie des typischen Krankheitsbilds unterscheiden, besteht bei allen eine typische Ekzemreaktion. Diese äußert sich in einer typischen Abfolge von Symptomen in verschiedenen Stadien, welche beim Kontaktekzem am ausgeprägtesten ist.
Akutes Stadium
Die akute Ekzemreaktion beginnt mit einer hellen Hautrötung, welche auf den Ort der Hautirritation beschränkt ist (Stadium erythematosum). In weniger schweren Fällen heilt das Ekzem dann bereits nach wenigen Tagen ab. Bei einer stärkeren Reaktion bilden sich kleine, selten mehr als stecknadelkopfgroße Bläschen, welche mit klarer Flüssigkeit gefüllt sind und stark jucken (Stadium vesicolosum). Die Bläschen platzen meist schnell auf und nässen (Stadium madidans). Nach dem Austrocknen bilden sich Krusten (Stadium crustosum). Wenn der Auslöser des Ekzems nur einmalig auftritt, bilden sich abschließend Schuppen (Stadium squamosum) und das Ekzem heilt ab. Das akute Stadium verläuft gleichförmig und gleichzeitig.
Chronisches Stadium
Bei wiederholter oder dauerhafter Irritation durch den Auslöser heilt das Ekzem nicht ab und wird chronisch. Die unterschiedlichen Formen der Reaktion (Hautrötung, Bläschen, Krusten, Schuppen) treten gleichzeitig und wechselnd nebeneinander auf. Zusätzlich entstehen entzündliche Knötchen sowie kratzbedingte Spuren. Ekzeme im chronischen Stadium sind weniger scharf begrenzt. Die Haut schwillt an. In der Folge entsteht eine vergröberte Hautstruktur (Lichenifikation).
Komplikationen
Als Komplikation des Ekzems können Superinfektionen mit Bakterien oder Viren auftreten. Eine schwere, aber seltene Komplikation, die hauptsächlich beim atopischen Ekzem auftritt, ist das durch Herpes-simplex-Viren hervorgerufene Ekzema herpeticatum.
Ekzemformen


Ein Großteil der Ekzemformen lässt sich auf drei Grundtypen zurückführen:
Eine differenziertere Klassifizierung der Ekzemformen ist nach unterschiedlichen Kriterien möglich. So werden Ekzeme nach der Krankheitsentstehung und -entwicklung (Pathogenese), nach der Lokalisation der Ekzeme sowie nach Besonderheiten der Histopathologie und Ursachen (Ätiologie) unterschieden:
- nach Pathogenese
- Atopisches Ekzem
- Allergisches Kontaktekzem
- Toxisches Kontaktekzem
- Exsikkationsekzem
- Seborrhoisches Ekzem
- Stauungsekzem (Symptom der Chronisch-venösen Insuffizienz)
- Photoallergisches Ekzem
- Postskabiöses Ekzem
- nach Lokalisation
- Handekzem
- Fußekzem
- Fingerkuppenekzem
- Intertriginöses Ekzem
- Periorales Ekzem (Cheilitis simplex, nicht zu verwechseln mit der Perioralen Dermatitis)
- Analekzem
- Skrotalekzem
- nach morphologischen oder ätiologischen Besonderheiten
- Dyshidrotisches Ekzem
- Mikrobielles Ekzem
- Hyperkeratotisch-rhagadiformes Ekzem
- Lichen simplex chronicus
- Lichtekzem
- Nummuläres Ekzem (runde Flecken vor allem an Armen und Beinen, siehe Dermatitis)
Pathologie
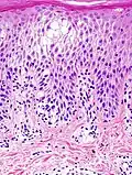
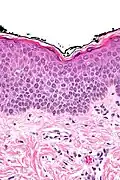
In der histologischen (lichtmikroskopischen) Untersuchung einer Gewebeprobe aus erkrankter Haut weist das Ekzem die Merkmale einer spongiotischen Dermatitis auf. Analog zum klinischen Bild zeigt sich ein charakteristischer Verlauf der Veränderungen:
Akute Phase: In der Oberhaut (Epidermis) zeigt sich eine Gefügelockerung durch ein interzelluläres Ödem (Spongiose), das bei starker Ausprägung zur Ausbildung von kleinen, aber auch größeren Blasen (Vesikel bzw. Bullae) führen kann.
Als Kratzeffekt besteht eine überschießende und eventuell auch gestörte Verhornung (Hyperkeratose bzw. Parakeratose) mit überliegender Schuppenkruste (parakeratotische Hornschicht mit eingeschlossenen Serumresten). Auch die oberen Anteile der Lederhaut (Dermis) sind durch ein Ödem gelockert, hier finden sich außerdem weitgestellte kleine Blutgefäße (Kapillaren). Um diese Gefäße bilden sich Ansammlungen aus Entzündungszellen, die sich hauptsächlich aus Lymphozyten und Histiozyten, nicht selten auch eosinophilen Granulozyten (Untergruppen der weißen Blutkörperchen) zusammensetzen. Lymphozyten wandern teilweise auch in die Epidermis ein (lymphozytäre Exozytose).
Als Reaktion auf den anhaltenden Entzündungsreiz und juckreizbedingtes Kratzen kommt es in der Folge zur Verbreiterung der Epidermis (Akanthose) mit Rückgang der Spongiose. Anfangs eventuell vorhandene größere Blasen gehen zurück, und es verbleiben nurmehr kleine Bläschen. Zumeist besteht jetzt eine ausgedehnte Parakeratose, und im Randbereich oberflächlicher epidermaler Defekte (Erosionen) können auch neutrophile Granulozyten (Untergruppe der weißen Blutkörperchen) in der Epidermis zu sehen sein. Dieses Zwischenstadium wird gelegentlich auch als subakute Phase bezeichnet.
Chronische Phase: es überwiegen die Zeichen der chronischen mechanischen Irritation mit Lichenifikation: epidermal zeigt sich eine deutliche Akanthose mit Verbreiterung der Granularzellschicht (Hypergranulose) und Hyperkeratose. Die Spongiose geht weiter zurück und kann in diesem Stadium nur noch sehr schwach ausgeprägt sein. Das der Epidermis unmittelbar unterliegende Bindegewebe der oberen Dermis (Stratum papillare) zeigt eine Vermehrung von Kollagenfasern (Fibrose), die senkrecht zur Epidermis ausgerichtet sind.[5]
-
Spongiose: Gefügelockerung der Epidermis mit sichtbaren Spalten zwischen den einzelnen Zellen durch interzelluläres Ödem -
Vesikelbildung: bei starker Spongiose lösen sich die Zellen voneinander und es bilden sich kleine Bläschen
-
Hyperkeratose: der Epidermis aufgelagert besteht eine verbreiterte Hornschicht. In der Dermis Kapillaren mit umliegenden Entzündungszellen
-
Parakeratose: die Hornschicht enthält Reste von Zellkernen als Zeichen der gestörten Verhornung
Behandlung
Die Therapie von Ekzemen erfolgt stadiengerecht und in der Regel äußerlich mit Salben. Die Konsistenz der Salbengrundlage sollte passend zum Hautzustand gewählt werden: Je akuter und nässender das Ekzem ist, desto höher muss der Wasseranteil sein. Bei Bildung von Krusten und Schuppen wird eine fettige Salbengrundlage zur Regeneration der Haut gewählt. Salben können auch in Form von Umschlägen aufgebracht werden. Die Entzündungsreaktion wird mit Glucocorticoid-Salben unterdrückt. Superinfektionen mit Bakterien werden mit antibiotikahaltigen oder antiseptischen Salben behandelt.
In schweren Fällen werden Glukokortikoide auch innerlich gegeben. Antihistaminika können den Juckreiz lindern. Bei einer starken Superinfektion mit Bakterien werden innerlich Antibiotika verwendet.
Zentrale Bedeutung hat je nach Ekzemform die Meidung der Auslöser wie Allergene oder irritierende Stoffe.
Siehe auch
Literatur
- Peter Fritsch: Dermatologie und Venerologie. Springer, Berlin 2004, ISBN 3-540-00332-0, S. 180 ff.
- P. Altmeyer: Eintrag Ekzem. In: Springer Enzyklopädie der Dermatologie, Venerologie, Allergologie, Umweltmedizin. Springer, Berlin 2002, ISBN 3-540-41361-8 (online [abgerufen am 2. November 2017] Online-Version 2007).
Einzelnachweise
- ↑ Theodor Nasemann, Wolfhard Sauerbrey: Lehrbuch der Hautkrankheiten und venerischen Infektionen für Studierende und Ärzte. 2., überarbeitete und erweiterte Auflage, Springer, Berlin / Heidelberg / New York 1977, ISBN 3-540-08045-7, S. 168.
- ↑ O. Braun-Falco, G. Plewig, H. H. Wolff: Dermatologie und Venerologie. 3., neubearbeitete Auflage, Springer, Berlin 1984, S. 277.
- ↑ Wulf Müller: Das Berufsekzem: Diagnostik, Therapie, Prophylaxe, Rehabilitation. Acron Verlag, Berlin 1980, ISBN 3-922387-01-2.
- ↑ Artikel Anerkannte Berufskrankheiten. Auf: hautsache.de; abgerufen am 1. November 2017.
- ↑ James W. Patterson: Practical skin pathology: A diagnostic approach. Elsevier, Philadelphia (PA) 2013, ISBN 978-1-4557-3827-4, S. 1 ff.