Leistenbruch
| Klassifikation nach ICD-10 | |
|---|---|
| K40 | Hernia Inguinalis |
| ICD-10 online (WHO-Version 2019) | |
| Klassifikation nach ICD-11 | |
|---|---|
| DD51 | Hernia inguinalis |
| ICD-11: Englisch • Deutsch (Entwurf) | |
Ein Leistenbruch, auch Leistenhernie, Inguinalbruch und Inguinalhernie (lateinisch Hernia inguinalis) sowie Unterleibsbruch genannt, ist ein Eingeweidebruch im Bereich des Leistenkanals. Muskeln, Sehnen und Bindegewebe bilden die feste äußere Hülle der Körperhöhlen, wie etwa des Bauchraums. An dieser Hülle existieren natürliche „Schwachstellen“. Eine der wichtigsten ist beim Mann diejenige, an welcher der Samenstrang in die Bauchdecke eintritt. Kommt es hier zu einer Erweiterung, tritt Gewebe aus dem Bauchraum in den Leistenkanal aus. Es entsteht ein „Bruch“ (Hernie).[1] Der Leistenbruch ist neben dem Nabel-, Schenkel- und Narbenbruch die häufigste Hernie. Er tritt bei Männern und Frauen aller Altersgruppen im Verhältnis Männer : Frauen = 9 : 1 auf. Jährlich erkranken ca. 0,5 % der Bevölkerung neu an einem Leistenbruch. Im Kindesalter tritt er bei ein bis drei Prozent aller Kinder, bei Frühgeborenen bei etwa fünf Prozent auf. Behandelt wird der Leistenbruch in den meisten Fällen chirurgisch. Ein Bruch wird operiert, wenn er Schmerzen verursacht oder die Gefahr einer Einklemmung mit lebensgefährlichem Absterben von Darmteilen besteht. Leistenbrüche können auch in Zusammenhang mit einer erektilen Dysfunktion („Impotenz“) stehen.[2] Auch bei anderen Säugetieren treten vorwiegend bei männlichen Individuen Leistenbrüche auf, vor allem nach offenen Kastrationen.
-
Leistenbruch (rechte Seite des Körpers)
Anatomie
Leistenbrüche treten im Leistenkanal auf. In diesem verlaufen neben drei Nerven (Ramus genitalis des Nervus genitofemoralis, der N. ilioinguinalis und der N. iliohypogastricus) und Lymphgefäßen bei männlichen Säugetieren der Samenstrang (Funiculus spermaticus) und bei weiblichen das Mutterband (Ligamentum teres uteri). Reicht der Bruchsack beim Mann bis in den Hodensack (Scrotum), spricht man von einem Hodensackbruch oder Hodenbruch (Hernia scrotalis oder Skrotalhernie), der eine Sonderform des Leistenbruchs ist.
Der Leistenkanal hat einen Eingang und einen Ausgang:
- den äußeren Leistenring (Anulus inguinalis superficialis), als Ausgang des Leistenkanals;
- den inneren Leistenring (Anulus inguinalis profundus), als Eingang in den Leistenkanal von der Bauchhöhle her.
Der äußere Leistenring ist eine schlitzförmige Öffnung in der Faszie (Muskelhaut) des äußeren schrägen Bauchmuskels (Musculus obliquus externus abdominis). Der innere Leistenring liegt zwischen dem freien Rand des inneren schrägen Bauchmuskels (Musculus obliquus internus abdominis), dem geraden Bauchmuskel (Musculus rectus abdominis) und dem Leistenband (Arcus inguinalis, auch Ligamentum inguinale).
Begrenzt wird der Leistenkanal:
- vorn: Aponeurose des Musculus obliquus externus abdominis;
- hinten: Fascia transversalis abdominis;
- Dach: Musculus transversus abdominis und Anteile des Musculus obliquus internus abdominis;
- Boden: Ligamentum inguinale.
Klassifikation
Nach der Lokalisation der Bruchpforte (Durchtrittsöffnung für den Bruchsack) unterscheidet man direkte (mediale) und indirekte (laterale) Leistenbrüche. Dabei bezieht sich die Bezeichnung „direkt“ darauf, dass der Bruch direkt durch die Leistenkanalhinterwand (und nicht durch den inneren Leistenring) zieht, und medial auf die Lagebeziehung mittig zu den epigastrischen Gefäßen. Entsprechend gelangen indirekte Leistenbrüche durch den inneren Leistenring in den Leistenkanal und liegen seitlich („lateral“) der epigastrischen Gefäße. Die erstmals durch A. Cooper 1804 (nach Lage zur Arteria epigastrica caudalis) vorgenommene Einteilung der Leistenbrüche in diese zwei Formen, die bereits 1777 von Cline und 1799 von Autenrieth vermutet worden war,[3] trägt wesentlich zum Verständnis der Erkrankung bei, hat allerdings für die moderne Leistenbruchchirurgie eher geringe Bedeutung. Eine moderne Klassifikation wurde von Nyhus entwickelt und hat sich für Studienfragen bis heute am meisten bewährt.
Symptome und ihre Ursachen

Im Kindesalter entsteht der Leistenbruch durch einen Verbindungskanal, den Processus vaginalis testis (auch Proc. vaginalis peritonei,[4] „Scheidenhautfortsatz“). Hierbei handelt es sich um einen Teil des Bauchfells (Peritoneum), der im Laufe der Fetalentwicklung durch Wanderung des sich in der Bauchhöhle entwickelnden Hodens in den Hodensack durch den Leistenkanal gestülpt wird. Zur Geburt verschließt sich dieser Kanal üblicherweise. Bleibt dieser Verschluss aus, kann es im weiteren Verlauf zum Eindringen von Bauchorganen in den Kanal kommen. Angeborene Leistenbrüche sind somit immer indirekte (laterale) Leistenbrüche.
Im Erwachsenenalter kann neben einer Veranlagung im Sinne einer Bauchwandschwäche oder eines zu weiten Leistenkanals eine Erhöhung des Bauchinnendrucks, zum Beispiel durch körperliche Schwerarbeit, chronischen Husten, starkes Pressen bei chronischer Verstopfung, die Bildung eines Bruches auslösen. Daneben treten Brüche oft auch bei Frauen in der Schwangerschaft auf. Gutachterlich wird schwere Arbeit allein nicht als Ursache eines Leistenbruches anerkannt (und entschädigt).
Die Symptome für einen Leistenbruch können sein:
- im Kindesalter: meist schmerzlose Schwellung in der Leiste, die oft zufällig beim Wickeln oder bei der Körperpflege entdeckt wird.
- im Erwachsenenalter: meist sichtbare oder tastbare Schwellung im Leistenbereich, welche bei körperlichen Belastungen, Pressen oder Husten provoziert werden kann. Im Liegen kann man die „Beule“ in der Regel problemlos wieder „wegdrücken“. Starke Schmerzen sind keinesfalls die Regel, sondern meist nur ein gewisses Druckgefühl. Bei allmählich zunehmender Vergrößerung kann er bei Männern auch als eine Schwellung oder Vergrößerung des Hodensacks deutlich werden (Hodenbruch).
- Häufig ist ein Hodenschmerz, der durch die Reizung des R. genitalis im Leistenkanal ausgelöst wird.[5]
- Schmerzen im oberen Anteil der Adduktoren auf der Innenseite des Oberschenkels sind ebenfalls möglich.[5]
- bei plötzlich auftretenden starken Schmerzen in der Leistengegend mit nicht wegdrückbarer Schwellung im Leistenbereich handelt es sich um einen eingeklemmten Bruch. Hier ist schnelles Handeln erforderlich und sofort ein Chirurg aufzusuchen.
Brüche sind vor allem gefährlich, wenn Organe des Bauchraums – beispielsweise Teile des Darmes – im Bruch eingeklemmt bleiben (Inkarzeration). Kommt es zu dieser seltenen Komplikation, treten starke Schmerzen im Bereich des Bruches und des gesamten Bauches auf, die sich in ihrem Charakter von den Beschwerden beim Vorliegen eines unkomplizierten Leistenbruches unterscheiden.[6] Wenn die Einklemmung eines Bruches rechtzeitig erkannt wird, lässt er sich unter Umständen reponieren. Durch die Einklemmung schwillt der eingeklemmte Darm an und schnürt sich dadurch von der Blutzufuhr ab. Der Bruch lässt sich dann nicht mehr wegdrücken. Dies wird als Inkarzeration bezeichnet und kann durch Strangulation zum Absterben (Nekrose) des eingeklemmten Organteils führen. Zudem kann es dadurch zu einem Ileus (Darmverschluss) kommen. Beide Situationen sind lebensgefährlich und erfordern eine sofortige Operation. Unter Umständen ist dann eine Darmteilentfernung (Resektion) notwendig.
Brüche neigen dazu, mit der Zeit immer größer zu werden.
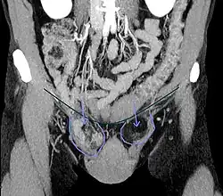
Für die exakte Diagnose kleiner Brüche ist die Sonographie hilfreich. Die MRT ist nur als dynamische MRT geeignet, einen Bruch nachzuweisen.[7] Ein negatives Untersuchungsergebnis schließt jedoch nicht sicher eine Hernie aus. Wichtigste Symptome eines Leistenbruches: Schmerzen beim Heben, Husten oder Betätigung der Bauchpresse, die beim Liegen rückläufig sind, sollten an einen Bruch denken lassen. Neben einem Leistenbruch verursachen auch andere Erkrankungen einen Leistenschmerz. Bei fehlender Leistenschwellung und einem negativen Ultraschall ist an Hüfterkrankungen – bei sportlich aktiven Patienten –, an Erkrankungen des Schambeins, der Adduktoren, des Hüftbeugers und der unteren Wirbelsäule zu denken. Urologische Erkrankungen müssen in diesen Fällen ebenso ausgeschlossen werden wie abdominelle Erkrankungen (Divertikulitis, Appendizitis).[8]
Geschichte
Leistenbrüche sind vermutlich seit etwa 2000 v. Chr. bekannt. Über lange Zeit fehlten jedoch die Kenntnisse über Grundlagen, Entstehungsweise und erfolgreiche Versorgung von Leistenbrüchen. Die Behandlungsmethoden waren über Jahrhunderte gefährlich und oft mit katastrophalen Ergebnissen behaftet. Eine chirurgische Therapie mit Abtragung des Bruchsacks unter Schonung des Hodens wurde erstmals bei Celsus im 1. Jahrhundert n. Chr. beschrieben.[9] Wahrscheinlich führte auch Antyllos im 2. Jahrhundert n. Chr. bereits Herniotomien durch.[10] Leistenbrüche bei Frauen wurden erstmals im 6. Jahrhundert von Aëtios von Amida publiziert. Zu den Chirurgen des Mittelalters, die sich mit der operativen Therapie von Leistenbrüchen befassten, gehörten unter anderem Abulkasim und Guy de Chauliac.[11] Später waren für ihre chirurgische Behandlung von Leistenbrüchen etwa der Wundarzt, Ritter und Graf Hans von Toggenburg (um 1477) und der Chirurg Caspar Stromayr (um 1559) bekannt, die beide auch augenärztlich tätig waren.[12] Die Operation eines eingeklemmten Leistenbruchs wurde erstmals 1556 von dem französischen Chirurgen Pierre Francou beschrieben.[13] Auch der mobile Steinschneider Florentinus Vallensis soll, wie der französische Wundarzt Maupas 1559, im 16. Jahrhundert Operationen bei Brucheinklemmungen durchgeführt haben. Ambroise Paré versuchte bei seinen Bruchoperationen wie Francou eine Abschnürung des Samenstrangs zu vermeiden, verwendete aber statt wie sein Vorgänger keinen Golddraht („Goldene Naht“), sondern einen wieder zu entfernenden Bleidraht, und Girolamo Fabrizio ersann im 17. Jahrhundert eine Operationsmethode, bei der die Funktionsfähigkeit der Hoden und damit die Fruchtbarkeit der Untertanen des Königs erhalten blieb („Königliche Naht“). Noch bis ins 19. Jahrhundert erfolgte die Therapie eingeklemmter Leistenbrüche vor allem durch physikalische Methoden und manuelle Reposition (Taxis) des Bruchsackinhalts.[14]
In der gesetzlichen Unfallversicherung von 1884 war zunächst umstritten, ob Leistenbrüche als Arbeitsunfälle entschädigt werden konnten.[15] Erst 1890 wurden die Ergebnisse der operativen Behandlung durch die bahnbrechende Arbeit von Edoardo Bassini[16][17] von der Königlichen Universität zu Padua entscheidend verbessert. Bassini hatte ab 1884 die hintere Leistenkanalwand durch Vernähung des Musculus obliquus internus und des Musculus transversus mit dem Leistenband verstärkt. Seitdem wurden zahlreiche Abwandlungen und auch neue Verfahren in die Therapie eingeführt.[18]
Konservative Versorgung
Als konservative Versorgungsmöglichkeit gilt bis heute die Versorgung mit einem Bruchband. Bei fachlich richtiger Anpassung können damit Komplikationen vermieden werden. Diese Versorgungsform kommt heute bei Patienten zum Einsatz, die aufgrund ihres Alters oder anderer medizinischer Umstände nicht mehr operiert werden können.
Des Weiteren lassen sich gerade jüngere Menschen, die einer schweren körperlichen Arbeit nachgehen, nach der Diagnose Leistenhernie bis zum Operationstermin mit einem Bruchband versorgen. Dieses ist sinnvoll, wenn eine Operation zeitnah nicht möglich ist.
Der operative Verschluss
Die einzige Möglichkeit, Einklemmungen von Organen und damit schwerwiegende bis lebensbedrohliche Folgen zu vermeiden, ist der operative Verschluss. Die Leistenhernie ist mit ca. 230.000 chirurgischen Eingriffen eine der am häufigsten operativ behandelten Erkrankungen in Deutschland.[19]
Der Chirurg Dieffenbach soll gesagt haben, dass man „über einem eingeklemmten Bruch nicht die Sonne untergehen lassen“ soll.[20]
Es werden offene Operationsverfahren von minimalinvasiven Verfahren („Schlüssellochmethode“) unterschieden.
Offene Verfahren (Herniotomie)
Die offenen Verfahren (Herniotomie oder Bruchschnitt[21]) gehen vor allem auf Edoardo Bassini (1890) zurück, dessen Prinzip darin besteht, mittels einer bestimmten Nahttechnik die Bruchpforte zu verschließen und die Leistenkanalhinterwand zu verstärken. Etwa einhundert Jahre später wurde diese Technik durch die vom kanadischen Arzt Edward Earle Shouldice entwickelte und nach ihm benannte Leistenbruchoperation nach Shouldice verdrängt, die demselben Prinzip folgt, aber eine modifizierte Nahttechnik anwendet und besonders bei kleineren Bruchpforten und jüngeren Patienten ihre Indikation hat.

Verbreitet ist zudem die offene Implantation von Kunststoffnetzen, die aus resorbierbaren und nicht-resorbierbaren oder titanbeschichteten Komponenten bestehen können und meist in der Technik nach Lichtenstein des amerikanischen Chirurgen Irving L. Lichtenstein eingebracht werden.
Im Kindesalter wird der Bruchsack in der Leiste aufgesucht, der Inhalt – sofern vorhanden – in den Bauchraum zurückgeschoben, der Bruchsack dann abgetragen und verschlossen. Eine Verstärkung der Leistenkanalhinterwand wie oben angegeben wird bei kindlichen Leistenbrüchen nicht durchgeführt. Fremdmaterial wird ebenfalls nicht eingebracht, da es nicht mitwächst.
Minimalinvasive Verfahren
-
Operationswunden Leistenoperation minimalinvasiv (mit Wundpflaster) -
Operationswunden Leistenoperation minimalinvasiv (mit Wundpflaster) -
Operationswunden Leistenoperation minimalinvasiv (ohne Wundpflaster)
Bei minimalinvasiven Techniken wird die Bruchpforte immer mit einem Netz verschlossen. Hier werden wiederum zwei Verfahren unterschieden:
Zum einen kann in der sogenannten TAPP-Technik das Netz laparoskopisch – das heißt über eine Bauchspiegelung vom Bauchraum aus – über der Bruchpforte platziert werden. Hierbei ist das Eingehen in die Bauchhöhle erforderlich, das Bauchfell muss aufgeschnitten und am Ende der Operation wieder verschlossen werden. Die Netzfixation erfolgt durch Metallclips, resorbierbare Clips, durch Annähen oder durch die Verwendung von Gewebekleber. Bei der TEP-Technik wird das Netz ebenfalls über minimalinvasive Zugänge nach einem vorsichtigen Auseinanderdrängen der Schichten der Bauchdecke über der Bruchpforte platziert.[22] Hierbei wird das Netz zwischen Bauchfell und Muskulatur ohne weitere Fixation eingelegt. Im Kindesalter wird bei den minimalinvasiven Verfahren kein Fremdmaterial (Netz) in die Leiste eingebracht, da dieses nicht mitwachsen kann. Es wird die über eine Bauchspiegelung sichtbare Bruchpforte mit einer Naht verschlossen.[23]
Vor- und Nachteile der Verfahren
Jedes der genannten Verfahren hat seine Stärken und Schwächen. Grundsätzlich kann man nicht sagen, dass eine der Techniken das prinzipiell überlegene oder sicherere Verfahren ist. Hinzu kommt, dass die Leiste eine äußerst sensible Körperregion umfasst, in der zentrale Nervenbahnen (bzw. bei Männern auch der Samenstrang) verlaufen und somit chirurgische Eingriffe mit einem zusätzlichen Risiko verbunden sind. Verschiedene Studien weisen auf die relativ hohen Zahlen (20 %) postoperativer Beschwerden hin, von „Nervenirritationen, Missempfindungen, Schmerzen und Bewegungseinschränkungen“[24] bis hin zu andauernden Beschwerden beim Geschlechtsverkehr und sogar Unfruchtbarkeit.[25] Es gibt allerdings auch Hinweise, dass eine solche Operation mit Netzeinbau vorbestehende Störungen der Sexualfunktionen verbessern kann.[26] Betroffene Patienten sollten sich intensiv beraten lassen, welches Operationsverfahren und welches Material (Kunststoff, titanisierte oder sauerstoffbeschichtete Netze) verwendet wird.
Die Verfahren, die die Bruchlücke mit einem Netz überdecken (sowohl offene als auch geschlossene), werden als „spannungsfreie“ Verfahren bezeichnet und sollen sofort belastbar sein und bei größeren Bruchpforten eine niedrigere Rezidivrate haben als die Methode nach Shouldice. Netzimplantate führen je nach Material (Kunststoff oder Titanisierte Oberflächen) zu unterschiedlichen gewünschten oder aber auch zu unerwünschten Vernarbungen, die wiederum Neuralgien (Nervenschmerzen) zur Folge haben können. Minimalinvasive Techniken werden zumeist in der frühen Erholungsphase von den Patienten als schmerzärmer empfunden und sind deshalb besonders bei beidseitiger Operation in einer Sitzung indiziert. In der Spätphase werden jedoch gelegentlich schwer behandelbare Schmerzzustände beobachtet, die möglicherweise auf Metallclips zurückzuführen sind, mit denen das Netz vor allem bei der TAPP-Technik gegen Verrutschen fixiert wird. Bei der TEP-Technik kommen keine Metallclips zur Anwendung. Bei der TAPP-Technik werden Metallclips angewandt, aber auch resorbierbare Clips oder Fibrinkleber, um Nervenschädigungen zu vermeiden. Bei den modernen Netzimplantaten, die mit einer sehr dünnen Schicht von Titan beschichtet sind, kommt es zu einer hydrophilen Verbindung mit dem Gewebe, so dass meistens auf die problematische Fixierung verzichtet werden kann. Bei der TEP-Technik ist – im Gegensatz zur TAPP-Technik – ein operatives Eingehen in die Bauchhöhle mit Aufschneiden und Wiedervernähen des Bauchfells nicht erforderlich, da die minimalinvasive Operation lediglich zwischen den Bauchdeckenschichten erfolgt. Eine Verletzungsgefahr für die inneren Bauchorgane ist bei der TEP-Technik daher ausgeschlossen. Bei der TAPP-Technik sind hier gelegentlich Fälle beschrieben. Insbesondere bei Voroperationen in der Bauchhöhle mit den entsprechenden Verwachsungen ist das Verletzungsrisiko bei der TAPP-Technik deutlich erhöht. Eine weitere gute Indikation zur Anwendung minimalinvasiver Techniken ist die Operation von Rezidivhernien, das heißt von Leistenbrüchen, die früher schon einmal offen operiert worden waren, jetzt jedoch wieder aufgetreten sind.
Grundsätzlich gilt, tritt eine Rezidivhernie nach einer minimal invasiven Operation auf, sollte eine offene Operationstechnik gewählt werden. Wurde der Patient bereits mit einem offenen Operationsverfahren operiert, sollte eine minimal invasive Technik zur Anwendung kommen.
Der Wechsel der Operationstechnik soll die durch bestehende Vernarbungen erhöhte Komplikationsrate einer erneuten Operation reduzieren.
Offene Verfahren können zumeist in örtlicher Betäubung durchgeführt werden. Narkoserisiken können hierdurch vermieden werden. Auch sind die offenen Techniken besonders für ambulante Operationen geeignet. Aber auch minimalinvasive Operationen werden in routinierter Technik zunehmend ambulant durchgeführt. Die Verfahrenswahl sollte stets individuell erfolgen.
Im Kindesalter ist die Diskussion zwischen offenen und minimalinvasiven Verfahren noch nicht entschieden.
Differenzialdiagnose
Das häufigste Symptom, eine starke Schwellung, kann auch auf eine Schenkelhernie, eine Hydrozele oder eine Varikozele zurückgeführt werden.[27] Weiterhin können vergrößerte Lymphknoten Schwellungen verursachen.
Literatur
- Edmund Andrews: A history of the development of the technique of herniotomy. In: Annals of medical history. 1935, Neue Folge, Band 7, S. 451–466.
- Paul Koch: Die Geschichte der Herniotomie bis auf Scarpa und A. Cooper. Dissertation, Berlin 1883.
- Christian Neubert, Ludwig Faupel, Uwe Katzenmeier: Bauchwandbrüche. In: Franz Xaver Sailer, Friedrich Wilhelm Gierhake (Hrsg.): Chirurgie historisch gesehen. Anfang – Entwicklung – Differenzierung. Dustri-Verlag Dr. Karl Feistle, Deisenhofen bei München 1973, ISBN 3-87185-021-7, S. 139–152, hier: S. 139–146 (Inguinalbrüche).
- Michael Sachs, Albrecht Encke: Die Reparationsverfahren der Leistenhernienchirurgie in ihrer historischen Entwicklung. In: Zentralblatt für Chirurgie. Band 118, 1993, S. 780–787.
- Caspar Stromayr: Practica copiosa von dem Rechten Grundt Deß Bruch Schnidts. Farbiges Vollfaksimile der Lindauer medizinischen Bilderhandschrift von 1559 / beschriben durch Casparum Stromayr. Herausgegeben und eingeleitet von Werner Friedrich Kümmel unter Mitwirkung von Gundolf Keil und Peter Proff. Rothacker, München 1983, ISBN 3-88624-562-4.
- L. M. Nyhus: Classification of groin hernia: milestones. In: Hernia. Mai 2004, Band 8, Nummer 2, ISSN 1265-4906, S. 87–88 (Review), doi:10.1007/s10029-003-0173-6, PMID 14586776.
- S1-Leitlinie Leistenhernie, Hydrozele der Deutschen Gesellschaft für Kinderchirurgie (DGKCH). In: AWMF online (Stand 2010)
Weblinks
- L. M. Nyhus: Classification of groin hernia: milestones. In: Hernia: The journal of hernias and abdominal wall surgery, Band 8, Nummer 2, Mai 2004, S. 87–88, doi:10.1007/s10029-003-0173-6, PMID 14586776 (Review) (Über die Klassifikation von Leistenhernien).
- Artikel: Hernien bei gesundbund.de
- Infos zur minimalinvasiven Leistenbruch-Operation als Alternative zur offenen Operation. wissenschaft.de
- E-Learning zum Thema Leistenhernien mit Abbildungen und Videos
Einzelnachweise
- ↑ Jens Krüger (Hrsg.): Der Leistenbruch – Operative oder konservative Behandlung? Edition Sportchirurgie, Columbia (SC) 10. Februar 2018, S. 14 ff.
- ↑ Jürgen Zieren, Charalambos Menenakos, Marco Paul, Jochen M. Müller: Sexual function before and after mesh repair of inguinal hernia. In: International Journal of Urology. Band 12, Nr. 1, Januar 2005, S. 35–38, doi:10.1111/j.1442-2042.2004.00983.x
- ↑ Christian Neubert, Ludwig Faupel, Uwe Katzenmeier: Bauchwandbrüche. In: Franz Xaver Sailer, Friedrich Wilhelm Gierhake (Hrsg.): Chirurgie historisch gesehen. Anfang – Entwicklung – Differenzierung. Dustri-Verlag Dr. Karl Feistle, Deisenhofen bei München 1973, ISBN 3-87185-021-7, S. 139–152, hier: S. 143.
- ↑ Duale Reihe Anatomie. 2. Auflage, S. 281.
- ↑ a b Jens Krüger: Der Leistenbruch – Operative oder konservative Behandlung? Hrsg.: Jens Krüger. Edition Sportchirurgie, Columbia SC 10. Februar 2018, S. 26.
- ↑ Jens Krüger: Der Leistenbruch – Operative oder konservative Behandlung? Hrsg.: Jens Krüger. Edition Sportchirurgie, Columbia SC 10. Februar 2018, S. 33.
- ↑ Jens Krüger: Der Leistenbruch – Operative oder konservative Behandlung? Hrsg.: Jens Krüger. Edition Sportchirurgie, Columbia SC 10. Februar 2018, S. 27–30.
- ↑ A. Weir, P. Bruckner, E. Delahunt et al.: Doha agreement meeting on terminology and definitions in groin pain in athletes. In: British Journal of Sports Medicine. Band 49, 2015, S. 768–774, PMID 26031643 (englisch, bmj.com [abgerufen am 21. Mai 2018]).
- ↑ Christoph Weißer: Hernien. In: Werner E. Gerabek, Bernhard D. Haage, Gundolf Keil, Wolfgang Wegner (Hrsg.): Enzyklopädie Medizingeschichte. De Gruyter, Berlin / New York 2005, ISBN 3-11-015714-4, S. 574.
- ↑ Paul Diepgen, Heinz Goerke: Aschoff/Diepgen/Goerke: Kurze Übersichtstabelle zur Geschichte der Medizin. 7., neubearbeitete Auflage. Springer, Berlin/Göttingen/Heidelberg 1960, S. 1.
- ↑ Christian Neubert, Ludwig Faupel, Uwe Katzenmeier: Bauchwandbrüche. In: Franz Xaver Sailer, Friedrich Wilhelm Gierhake (Hrsg.): Chirurgie historisch gesehen. Anfang – Entwicklung – Differenzierung. Dustri-Verlag Dr. Karl Feistle, Deisenhofen bei München 1973, ISBN 3-87185-021-7, S. 139–152, hier: S. 139–141.
- ↑ Gundolf Keil: „blutken – bloedekijn“. Anmerkungen zur Ätiologie der Hyposphagma-Genese im ‚Pommersfelder schlesischen Augenbüchlein‘ (erstes Drittel des 15. Jahrhunderts). Mit einer Übersicht über die augenheilkundlichen Texte des deutschen Mittelalters. In: Fachprosaforschung – Grenzüberschreitungen. Band 8/9, 2012/2013, S. 7–175, hier: S. 10 f.
- ↑ Barbara I. Tshisuaka: Francou, Pierre. In: Werner E. Gerabek u. a. (Hrsg.): Enzyklopädie Medizingeschichte. 2005, S. 419 f.
- ↑ Christian Neubert, Ludwig Faupel, Uwe Katzenmeier: Bauchwandbrüche. 1973, S. 142–145.
- ↑ Quellensammlung zur Geschichte der deutschen Sozialpolitik 1867 bis 1914. II. Abteilung: Von der Kaiserlichen Sozialbotschaft bis zu den Februarerlassen Wilhelms II. (1881–1890). Band 2, Teil 2: Die Ausdehnungsgesetzgebung und die Praxis der Unfallversicherung. bearbeitet von Wolfgang Ayaß. Darmstadt 2001, S. 1051, 1068, 1070, 1081–1085, 1215–1217, 1227–1229, 1231, 1287.
- ↑ Edoardo Bassini: Die Radikalkur der Hernia inguinalis. In: Wiener Zeitung. 5, 1888.
- ↑ Edoardo Bassini: Über die Behandlung des Leistenbruchs. In: Langenbecks Archiv. Band 40, 1890.
- ↑ Christian Neubert, Ludwig Faupel, Uwe Katzenmeier: Bauchwandbrüche. 1973, S. 145 f.
- ↑ U. Schöne, H. Scheuerlein, U. Settmacher: Diagnostik und Behandlung der Leistenhernie. Die Operation ist die Therapie der Wahl. In: MMW – Fortschritte der Medizin. 7. Mai 2009, Band 151, Nr. 9, 2009 May 07, S. 44–49.
- ↑ Ferdinand Sauerbruch, Hans Rudolf Berndorff: Das war mein Leben. Kindler & Schiermeyer, Bad Wörishofen 1951; zitiert: Lizenzausgabe für Bertelsmann Lesering, Gütersloh 1956, S. 315.
- ↑ Vgl. etwa Franz Kaspar Hesselbach: Die sicherste Art des Bruchschnittes in der Leiste. Bamberg/Würzburg 1819.
- ↑ Jens Krüger: Glossar – Erläuterung medizinischer Fachbegriff. In: Webseite. Jens Krüger, 21. Mai 2018, abgerufen am 21. Mai 2018.
- ↑ Jens Krüger: Der Leistenbruch – Operative oder konservative Behandlung? Verlag=Edition Sportchirurgie. Hrsg.: Jens Krüger. Columbia SC 10. Februar 2018, S. 47–54.
- ↑ F. Schenten: Risikofaktoren für die Entstehung von Leistenhernienrezidiven – Eine retrospektive 10-Jahres-Analyse., Dissertation, RWTH Aachen, 2008. (Online, abgerufen am 30. Dezember 2024)
- ↑ Veronika Hackenbroch: Messer ins Gemächt. In: Der Spiegel. Nr. 5, 2009, S. 104–106 (online).
- ↑ J. Zieren, C. Menenakos, M. Paul, J. M. Müller: Sexual function before and after mesh repair of inguinal hernia. In: International Journal of Urology. Band 12, Nummer 1, Januar 2005, S. 35–38, doi:10.1111/j.1442-2042.2004.00983.x, PMID 15661052.
- ↑ Leistenhernie. DocCheck Medical Services GmbH, abgerufen am 25. August 2019.