Divertikulitis

Die Divertikulitis ist eine Entzündung, die von Divertikeln (Ausstülpungen) insbesondere des Dickdarms (Kolon) ausgeht. Kolondivertikel sind erworbene Ausstülpungen der inneren Schichten durch muskelschwache Lücken in der Wand des Dickdarms.

Das gehäufte Vorkommen solcher Ausstülpungen heißt Divertikulose und ist eine Vorstufe der Divertikulitis.[1]

Klassifikation

Klassifikation nach ICD-10
K57.- Divertikulose des Darmes, inkl. Divertikulitis Dünndarm, Dickdarm
{{{02-BEZEICHNUNG}}}
{{{03-BEZEICHNUNG}}}
K57.2- Divertikulose des Dickdarmes mit Perforation und Abszess oder mit Peritonitis
K57.3- Divertikulose des Dickdarmes ohne Perforation oder Abszess
{{{06-BEZEICHNUNG}}}
{{{07-BEZEICHNUNG}}}
{{{08-BEZEICHNUNG}}}
{{{09-BEZEICHNUNG}}}
{{{10-BEZEICHNUNG}}}
{{{11-BEZEICHNUNG}}}
{{{12-BEZEICHNUNG}}}
{{{13-BEZEICHNUNG}}}
{{{14-BEZEICHNUNG}}}
{{{15-BEZEICHNUNG}}}
{{{16-BEZEICHNUNG}}}
{{{17-BEZEICHNUNG}}}
{{{18-BEZEICHNUNG}}}
{{{19-BEZEICHNUNG}}}
{{{20-BEZEICHNUNG}}}
Vorlage:Infobox ICD/Wartung {{{21BEZEICHNUNG}}}
ICD-10 online (WHO-Version 2019)
Vorlage:Infobox ICD/Wartung/Para 05
Klassifikation nach ICD-11
13 Krankheiten des Verdauungssystems → Divertikelkrankheit des Darms → Divertikelkrankheit des Dickdarms
DC80 Divertikulitis des Dickdarms
DC80.0 Divertikulitis des Dickdarms mit Komplikation
DC80.1 Divertikulitis des Dickdarms ohne Komplikation
ICD-11: EnglischDeutsch (Entwurf)

Im ICD-11 finden sich die Divertikelerkrankungen des Verdauungssystems von Speiseröhre bis Dickdarm im Kapitel 13.[2]

Häufigkeit

Die Divertikelbildung im Dickdarm ist in westlichen Industrieländern häufig. Ihre Häufigkeit nimmt mit steigendem Alter zu. Bei unter 40-Jährigen ist sie selten, bei 60-Jährigen findet man sie zu ca. 30 Prozent und bei 85-Jährigen zu ca. 65 Prozent. Etwa 12 bis 25 Prozent aller Menschen, deren Darm Divertikel ausgebildet hat, erkranken an einer Divertikulitis.

In westlichen Industrienationen ist in 95 Prozent der Fälle das Colon sigmoideum betroffen (Sigmadivertikulitis, auch als „Linksseiten-Appendizitis“ bezeichnet). In einem Prozent kann eine Divertikulitis im Colon transversum und in je zwei Prozent im Caecum und im Colon ascendens auftreten.

In asiatischen Ländern (Japan, Vietnam) ist die rechtsseitige Divertikulose häufiger.[3]

Entstehung

Die Entstehung von Divertikeln und der Verlauf der Divertikelkrankheit (Divertikulose) wird durch nicht beeinflussbare Faktoren bestimmt. Für den Verlauf eines eventuellen entzündlichen Prozesses (Divertikulitis) können jedoch sehr wohl veränderbare Lebensstilfaktoren identifiziert werden.

Günstig wirkt sich der Verzicht auf rotes Fleisch aus in Verbindung mit einem hohen Anteil ballaststoffreicher Nahrung wie Gemüse, insbesondere Hülsenfrüchte, Obst und Produkte aus Vollkorngetreide. Vorteilhaft ist ferner ein angemessen hohes Maß an körperlicher Aktivität.

Ungünstige Faktoren sind ein hoher Verbrauch an Alkohol und Nikotin sowie Übergewicht.[4][5][6][7]

Symptome und Diagnostik

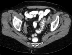
Sigmadivertikulitis in der axialen Computertomographie. Deutliche Wandverdickung und multiple Divertikel.
Sigmadivertikulitis in der Sonographie. Deutliche Wandverdickung.

An Symptomen besteht ein plötzlich auftretender Schmerz über dem betroffenen Darmabschnitt am häufigsten im linken Unterbauch (deshalb auch Linksseiten-Appendizitis) oft mit Ausstrahlung in den Rücken und mit einer auf diesen Bereich begrenzten Peritonitis. Daneben sind häufige Symptome Fieber, Übelkeit, Erbrechen, eine Veränderung des Stuhlverhaltens von Durchfall bis Verstopfung mit Eiter und Schleim im Stuhl und Schwierigkeiten beim Wasserlassen, Dysurie genannt. In den Laborwerten fallen eine Erhöhung des CRPs und der Leukozyten auf. Teilweise kann bei der Untersuchung des Bauches des Betroffenen ein walzenförmiger Tumor (Tumor im Sinne einer raumfordernden Geschwulst) getastet werden. Die weitere Diagnostik erfolgt u. a. mit dem Ultraschall und einer CT-Untersuchung des Bauches. Bei der akuten Divertikulitis wird die Durchführung einer Darmspiegelung wegen des Risikos einer Perforation vermieden. Darmspiegelungen werden lediglich in Intervallen durchgeführt, um andere – insbesondere bösartige – Erkrankungen auszuschließen.[8]

Stadieneinteilung

In der S3-Leitlinie „Divertikelkrankheit/Divertikulitis“ der AWMF von Oktober 2021 wurde die Klassifikation der Divertikelkrankheit und Divertikulitis festgelegt, die sich an die Klassifikation von Hansen und Stock anlehnt[9].

Stadium Bezeichnung Klinik
Typ 0 Asymptomatische Divertikulose Zufallsbefund; asymptomatisch; Keine Krankheit
Typ 1 Unkomplizierte Divertikelkrankheit/Divertikulitis
Typ 1a - Divertikulitis/Divertikelkrankheit ohne Umgebungsreaktion Auf die Divertikel beziehbare Symptome; Entzündungszeichen und/oder

Entzündungsbefunde in der Bildgebung (Wandverbreiterung, entzündetes Divertikel)

Typ 1b - Divertikulitis mit phlegmonöser Umgebungsreaktion Entzündungszeichen;

phlegmonöse Divertikulitis (Kolonwand, Mesenterium) in der Bildgebung; ggfs. mit Flüssigkeitsstraßen (ohne Luft)

Typ 2 Komplizierte Divertikulitis wie 1b, zusätzlich:
Typ 2a - Mikroabszess, gedeckte Perforation, kleiner Abszess (≤ 3 cm); minimale parakolische Luft
Typ 2b - Makroabszess, Para- oder mesokolischer Abszess (> 3 cm)
Typ 2c - Freie Perforation, freie Luft/Flüssigkeit; generalisierte Peritonitis
Typ 2c1    - Eitrige Peritonitis
Typ 2c2    - Fäkale Peritonitis
Typ 3 Chronische Divertikelkrankheit; Rezidivierende oder anhaltende symptomatische Divertikelkrankheit
Typ 3a - Symptomatische unkomplizierte Divertikelkrankheit (SUDD) Typische Klinik; Entzündungszeichen (Labor): optional
Typ 3b - Rezidivierende Divertikulitis ohne Komplikationen Entzündungszeichen (Labor) vorhanden; Schnittbildgebung: typisch
Typ 3c - Rezidivierende Divertikulitis mit Komplikationen Nachweis von Stenosen, Fisteln, Konglomerat
Typ 4 Divertikelblutung Nachweis der Blutungsquelle

Ursprüngliche Stadieneinteilung nach Hansen und Stock

Für den klinischen Alltag wurde von Hansen und Stock ursprünglich folgende Klassifikation vorgeschlagen.[10] Sie stellt eine prätherapeutische Grundlage für die stadiengerechte Therapie der Divertikulitis dar. Es werden die Befunde der klinischen Untersuchung, des Kolon-Kontrasteinlaufs oder der Koloskopie und der Computertomografie des Bauches berücksichtigt.[11]

Stadium Bezeichnung Klinik
0 Divertikulose keine
I akute unkomplizierte Divertikulitis Schmerzen im Unterbauch, ggf. Fieber
II akute komplizierte Divertikulitis
II a Peridivertikulitis, phlegmonöse Divertikulitis Druckschmerz, lokale Abwehrspannung, tastbare Resistenz, Fieber
II b abszedierende Divertikulitis, gedeckte Perforation Lokaler Peritonismus, Fieber, Darmatonie
II c freie Divertikelperforation akutes Abdomen
III chronisch rezidivierende Divertikulitis rezidivierender Unterbauchschmerz, Obstipation, Subileus

Komplikationen

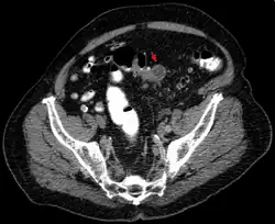
Sigmadivertikulitis mit Perforation und kleinem Abszess

Differentialdiagnose

Unter anderem folgende andere Erkrankungen mit ähnlichen Symptomen oder Befunden sollen bei einer Differentialdiagnostik in Betracht gezogen werden:

Behandlung

Bei bestehenden Divertikeln gelten folgende Empfehlungen zur Prophylaxe einer Divertikulitis: Einhalten einer Kost mit mindestens 30 g Ballaststoffen pro Tag, die reich an Gemüse, Obst und Getreide ist. Entgegen früheren Empfehlungen brauchen die Patienten auf Nüsse und Körner nicht zu verzichten. Der Verzehr von rotem Fleisch soll möglichst vermieden werden. Bei Aufnahmen von mehr als 100 g pro Woche steigt das Risiko für einen Entzündungsschub messbar an. Auf Nikotin soll verzichtet werden. Für die Risikoerhöhung durch hohen Alkoholkonsum liegen Belege vor, für ein Risiko durch mäßigen Konsum nicht. Das Körpergewicht soll auf einen Body-Mass-Index von 20–22 eingestellt werden. Körperliche Aktivität ist zu empfehlen. Das Metabolische Äquivalent soll idealerweise 50 pro Woche betragen. Das entspricht etwa 12 Stunden Walking oder 6 Stunden Radfahren.[12]

Die Mehrzahl der Entzündungsschübe bei rezidivierender Divertikulitis verlaufen mild und können konservativ-ambulant behandelt werden. Komplikationen wie Perforation, Blutung oder Fistelbildung treten meist bei der initialen Divertikulitis auf und erfordern eine Krankenhausbehandlung.[13] Als Kriterium dient der CRP-Wert in der Laboruntersuchung.

Bei der ambulanten konservativen Behandlung kann bis zum Stadium 1b eine zunächst abwartende Haltung ohne Antibiotikaeinsatz erwogen werden. Mit und ohne Antibiose soll eine Überprüfung des Verlaufs nach 48 Stunden erfolgen.[14]

Die Behandlung der komplizierten Divertikulitis erfolgt in der Regel im Krankenhaus mit der Gabe von Antibiotika. Es werden die üblichen Präparate empfohlen, die das zu erwartende Erregerspektrum erfassen. Es gibt keine Belege für einen Vorteil der Kombination verschiedener Präparate oder der Applikationsart intravenös oder oral. Mögliche Antibiotika sind Cefuroxim, Ceftriaxon oder Ciprofloxacin, jeweils mit Metronidazol, Ampicillin/Sulbaktam, Piperacillin/Tazobactam sowie Moxifloxacin. Dabei ist zu beachten, dass die Fluorchinolone wegen des Nebenwirkungsrisikos nur noch bei Penicillinüberempfindlichkeit eingesetzt werden dürfen.[15]

Initiale Nulldiät mit parenteraler Ernährung oder flüssige Ernährung können durch Ruhigstellung des Darmes ggf. das Befinden des Patienten bessern. Die Auflage von Eis auf die betroffene Region des Bauches (sog. Eisblase) kann den Entzündungsschmerz lindern und eventuell die Entzündung an einer weiteren Ausbreitung hindern.

Da die Gefahr eines Rezidives mit Komplikationen (wie z. B. einer Perforation und dann kotiger Peritonitis) besteht, wird insbesondere bei rezidivierender Divertikulitis eine Resektion des betroffenen Darmabschnittes im entzündungsfreien Intervall empfohlen. Diese generelle OP-Indikation ab dem 2. Schub gilt als obsolet. Die OP-Indikation richtet sich nach dem Komplikationsverlauf, sodass mehrere unkomplizierte Rezidive nicht zwingend operationswürdig sind. Diese elektive Operation kann meist laparoskopisch durchgeführt werden. Kommt es zu Komplikationen wie einer Perforation oder einer starken Blutung, ist meist eine sofortige Operation erforderlich.

Eine Notfalloperation nach einer schweren Komplikation wird meist in Form der sogenannten Hartmann-OP durchgeführt, d. h. es wird vorübergehend ein Enterostoma angelegt, um eine Vernähung zweier entzündeter Darmabschnitte zu vermeiden – eine einzeitige Operation ohne Enterostoma ist aber auch grundsätzlich möglich. Im Falle einer gedeckten Perforation, d. h. einer Perforation, die von benachbarten Organen abgedichtet wird, genügt meist eine konservative Therapie. Ein Abszess im entzündeten Darmabschnitt kann perkutan drainiert werden.[16] Die Letalität liegt bei phlegmonöser Divertikulitis unter einem Prozent, bei abszedierender Divertikulitis bei ca. 1 bis 3 Prozent und bei einer freien Perforation bei 12 bis 24 Prozent.[17]

Literatur

  • H.-W. Baenkler, D. Fritze u. a.: Innere Medizin. Georg Thieme Verlag, Stuttgart 2001, ISBN 3-13-128751-9, S. 1090–1091 (= Duale Reihe).
  • H. Barth, A. Böhle u. a.: Chirurgie. 2. Auflage. Georg Thieme Verlag, Stuttgart 2003, ISBN 3-13-125292-8, S. 395–399 (= Duale Reihe).
Commons: Divertikulitis – Sammlung von Bildern, Videos und Audiodateien

Einzelnachweise

  1. S3-Leitlinie Divertikelkrankheit/Divertikulitis. (PDF; 6 MB) AWMF-Registernummer: 021-20. Gemeinsame Leitlinie der Deutschen Gesellschaft für Gastroenterologie, Verdauungs- und Stoffwechselkrankheiten (DGVS) und der Deutschen Gesellschaft für Allgemein- und Viszeralchirurgie (DGAV), November 2021, S. 619, abgerufen am 15. Januar 2023.
  2. ICD-11 in Deutsch. BfArM, abgerufen am 14. Januar 2023.
  3. S3-Leitlinie Divertikelkrankheit/Divertikulitis. (PDF, 6 MB) AWMF-Registernummer: 021-20. Gemeinsame Leitlinie der Deutschen Gesellschaft für Gastroenterologie, Verdauungs- und Stoffwechselkrankheiten (DGVS) und der Deutschen Gesellschaft für Allgemein- und Viszeralchirurgie (DGAV), November 2021, S. 630, abgerufen am 15. Januar 2023.
  4. S3-Leitlinie Divertikelkrankheit/Divertikulitis. (PDF, 6 MB) AWMF-Registernummer: 021-20. Gemeinsame Leitlinie der Deutschen Gesellschaft für Gastroenterologie, Verdauungs- und Stoffwechselkrankheiten (DGVS) und der Deutschen Gesellschaft für Allgemein- und Viszeralchirurgie (DGAV), November 2021, S. 622–624, abgerufen am 15. Januar 2023.
  5. F. Anne. et al. A High-Fiber Diet Does Not Protect Against Asymptomatic Diverticulosis. In: Gastroenterology. Februar 2012.
  6. Hjern, F. et al,.: Obesity, physical inactivity, and colonic diverticular disease requiring hospitalization in women: a prospective cohort study. In: Am J Gastroenterol. Nr. 107, 2012, S. 296–302, doi:10.1038/ajg.2011.352, PMID 19062658.
  7. Cao, Y. et al.: Meat intake and risk of diverticulitis among men. In: Gut. Band 0, 2017, S. 1–7, doi:10.1136/gutjnl-2016-313082, PMID 28069830 (bmj.com [PDF]).
  8. S3-Leitlinie Divertikelkrankheit/Divertikulitis. (PDF, 6 MB) AWMF-Registernummer: 021-20. Gemeinsame Leitlinie der Deutschen Gesellschaft für Gastroenterologie, Verdauungs- und Stoffwechselkrankheiten (DGVS) und der Deutschen Gesellschaft für Allgemein- und Viszeralchirurgie (DGAV), November 2021, S. 640, abgerufen am 15. Januar 2023.
  9. Aktualisierung der S3-Leitlinie Divertikelkrankheit/Divertikulitis erschienen. In: Zeitschrift für Gastroenterologie. Band 60, Nr. 04, April 2022, ISSN 0044-2771, S. 699–699, doi:10.1055/a-1798-5551 (awmf.org [PDF; abgerufen am 1. November 2022]).
  10. O. Hansen, F. Graupe, W. Stock: Prognosefaktoren der perforierten Dickdarmdiverticulitis. In: Der Chirurg. Nr. 69(4), April 1998, S. 443–449, doi:10.1007/s001040050436.
  11. C. T. Germer, V. Groß: Divertikulitis: Wann konservativ, wann operativ behandeln? In: Deutsches Ärzteblatt. Nr. 104(50), 2007, S. 3486–3491.
  12. S3-Leitlinie Divertikelkrankheit/Divertikulitis. (PDF, 6 MB) AWMF-Registernummer: 021-20. Gemeinsame Leitlinie der Deutschen Gesellschaft für Gastroenterologie, Verdauungs- und Stoffwechselkrankheiten (DGVS) und der Deutschen Gesellschaft für Allgemein- und Viszeralchirurgie (DGAV), November 2021, S. 647–651, abgerufen am 15. Januar 2023.
  13. S3-Leitlinie Divertikelkrankheit/Divertikulitis. (PDF, 6 MB) AWMF-Registernummer: 021-20. Gemeinsame Leitlinie der Deutschen Gesellschaft für Gastroenterologie, Verdauungs- und Stoffwechselkrankheiten (DGVS) und der Deutschen Gesellschaft für Allgemein- und Viszeralchirurgie (DGAV), November 2021, S. 631, abgerufen am 15. Januar 2023.
  14. S3-Leitlinie Divertikelkrankheit/Divertikulitis. (PDF, 6 MB) AWMF-Registernummer: 021-20. Gemeinsame Leitlinie der Deutschen Gesellschaft für Gastroenterologie, Verdauungs- und Stoffwechselkrankheiten (DGVS) und der Deutschen Gesellschaft für Allgemein- und Viszeralchirurgie (DGAV), November 2021, S. 654–658, abgerufen am 15. Januar 2023.
  15. S3-Leitlinie Divertikelkrankheit/Divertikulitis. (PDF, 6 MB) AWMF-Registernummer: 021-20. Gemeinsame Leitlinie der Deutschen Gesellschaft für Gastroenterologie, Verdauungs- und Stoffwechselkrankheiten (DGVS) und der Deutschen Gesellschaft für Allgemein- und Viszeralchirurgie (DGAV), November 2021, S. 659, abgerufen am 15. Januar 2023.
  16. M. H. McCafferty, L. Roth, J. Jorden: Current management of diverticulitis. In: The American surgeon. Nr. 74(11), 2008, S. 1041–1049, PMID 19062658.
  17. J. Chapman, M. Davies, B. Wolff, E. Dozois, D. Tessier, J. Harrington, D. Larson: Complicated diverticulitis: is it time to rethink the rules? In: Annals of Surgery. Nr. 242(4), 2005, S. 576–581, PMID 16192818.