Halswirbelsäule

Die Halswirbelsäule (abgekürzt HWS) enthält die Wirbel zwischen Kopf und Brustwirbelsäule bei Menschen und den anderen Wirbeltieren.
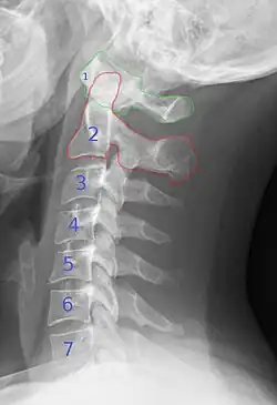
Die Halswirbelsäule ist in der Regel der beweglichste Wirbelsäulenabschnitt. Die beiden dem Schädel am nächsten liegenden Wirbel haben Eigennamen: Atlas („Nicker“) und der Axis („Dreher“), bedingt durch ihre vom üblichen Aufbau eines Wirbels abweichende Bauform. Dieser obere Teil der Halswirbelsäule samt der Schädelbasis bildet die Kopfgelenke. Es folgen fünf weitere Halswirbel. Die Halswirbelsäule weist beim gesunden Menschen einen Bogen nach vorn auf, was als physiologische Lordose bezeichnet wird.
Anatomie
Die Halswirbelsäule besteht bei fast allen Säugetieren wie auch dem Menschen aus sieben Halswirbeln. Bei der Spitzmaus sind die einzelnen Halswirbel dementsprechend wenige Millimeter lang, während sie bei der Giraffe über 40 cm lang werden können (gesamte HWS zwischen 2 und 3 m). Rundschwanzseekühe und das Hoffmann-Zweifingerfaultier (Choloepus hoffmanni) besitzen als einzige Säuger nur sechs Halswirbel. Bei Dreifinger-Faultieren sind drei bis vier Brustwirbel verlagert, weswegen man lange von bis zu zehn Halswirbeln ausging.[1]
Beim Menschen liegt direkt unter dem Foramen magnum des Schädels der erste Halswirbel, der Atlas. Dieser ist nach Atlas aus der griechischen Mythologie benannt. Der Atlas trägt den Schädel und umfasst dabei den Zahn des zweiten Halswirbels, des Drehers (lat. Axis). Die Gelenke zwischen Schädelbasis und Axis bilden zusammen zwei Kopfgelenke, welche etwa 70 % der Beweglichkeit des Kopfes im Verhältnis zum Rumpf gewährleisten.
Die weiteren Halswirbel haben die übliche Form eines Wirbels mit dem Wirbelkörper und dem das Rückenmark umfassenden Wirbelbogen, an dessen seitlichen Fortsätzen sich jeweils rechts und links des Wirbelkanals die Wirbelbogengelenke oder auch Facettengelenke befinden.
Der 7. Halswirbel der menschlichen Wirbelsäule wird als Vertebra prominens (vorstehender Wirbel) bezeichnet, weil sein Dornfortsatz etwas weiter nach hinten vorsteht als der der anderen sechs Halswirbel. Daher ist der Dornfortsatz des 7. Halswirbels von außen am unteren Ende der Nackenfurche meist gut zu tasten und dient als anatomischer Orientierungspunkt.
Genauso wie bei der restlichen Wirbelsäule befinden sich zwischen den Wirbelkörpern der Halswirbel Zwischenwirbelscheiben (Bandscheiben). Die Halswirbelsäule wird durch die Nacken- und Rückenmuskulatur sowie durch mehrere Bänder gestützt.
Aus dem Rückenmark im Bereich der Halswirbelsäule entspringen auf jeder Seite acht Nervenstränge, die Spinalnerven. Die oberen vier (C1–C4) bilden zusammen das Halsgeflecht (Plexus cervicalis), welches den Hals und die Halsmuskulatur, aber auch das Zwerchfell innerviert. Daraus ergibt sich, dass eine eigenständige Atmung bei Verletzung des Rückenmarks auf Höhe des vierten Wirbelkörpers (oder höher) nicht mehr möglich ist. Die unteren vier (C5–C8; Anm.: Es gibt sieben Halswirbel, aber acht Halsnerven) bilden zusammen mit den Nerven des ersten Brustwirbelkörpers (Th1) das Armgeflecht (Plexus brachialis), welches die Brust- und Armmuskulatur sowie die dazugehörige Haut innerviert.
Weiterhin ziehen durch die Halswirbelsäule die Vertebralarterien (Arteriae vertebrales), die durch die Querfortsätze der HWS verlaufen und zusammen mit den inneren Halsschlagadern (Arteriae carotides internae) die Versorgung des Gehirns mit Blut sicherstellen.
Untersuchungen der Halswirbelsäule

Wie bei allen Untersuchungen gehört auch zur Untersuchung der Halswirbelsäule eine Anamnese, im Notfallbereich auch eine Fremdanamnese, zum Beispiel zum Hergang eines Autounfalls.
Bei Verdacht auf eine Fraktur der Halswirbel ist eine starre HWS-Schiene anzulegen und Untersuchungen wie Palpation (Betasten) auf abnorme Beweglichkeit, Krepitationen oder Stufen zu unterlassen, da die Gefahr einer Rückenmarksverletzung besteht. Rückenmarksläsionen führen – je nach Höhe und Schwere – zu Taubheitsgefühl und Lähmungen in Armen, am Rumpf und bei hohen Querschnitten zur Lähmung des Zwerchfells und somit der Atmung. Während früher zur Untersuchung der Halswirbelsäule nach Traumen ein Röntgen in vier Ebenen der Halswirbelsäule veranlasst wurde, sind heute Computertomografie und Magnetresonanztomografie Mittel der Wahl.
Bei seltenen degenerativen Erkrankungen der Wirbelsäule werden neurologische Untersuchungen durchgeführt, das Blut auf Hinweise einer Erkrankung des rheumatoiden Formenkreises untersucht und bei Osteoporose oder Verdacht auf Tumoren eine Knochenszintigrafie oder eine Computertomografie durchgeführt.
Erkrankungen und Verletzungen der Halswirbelsäule
Schädigungen der Halswirbelsäule können Ursache unter anderem von (spinalen) Schmerzzuständen wie Schmerzen in Schulter, Nacken und Armen sowie Kopfschmerzen sowie von Lähmungen bzw. Paresen und Muskelatrophien mit Muskelschwäche oder mit fokaler Dystonie in Armen oder Händen sein.[2] Erkrankungen der Halswirbelsäule sind häufig Abnutzungen durch den aufrechten Gang des Menschen. Bandscheibenvorfälle sind die Regel bei über 30-Jährigen, und sehr häufig klinisch stumm. Ebenso werden die zu 95 Prozent aus Wasser bestehenden Bandscheiben innerhalb von einem Jahr vom Körper ausgeheilt.[3]
- Unfall
- Osteoporose und Bagatelltrauma (Schleudertrauma)
- Tumoranamnese
- Infektion
- Gewichtsverlust
- Fieber
- Schmerzverstärkung in der Nacht
- Progrediente Nervenausfälle
- Nachlassende Schmerzen und Parese
- Kauda-Syndrom
- Miktionsstörung (typischerweise Harnverhalt, Überlaufblase, ggf. Inkontinenz)
Die Osteochondrose ist eine Veränderung der Deckplatte des Wirbelkörpers (und seiner Knorpel). Ursache ist Verschleiß durch eine lang dauernde Überlastung der Bandscheibe. Häufig sieht man Osteochondrosen bei Patienten mit einer Skoliose nach früheren Bandscheibenvorfällen. Seltener entstehen Osteochondrosen als Folge von Entzündungen der Bandscheibe.[4]
Die Unkarthrose der Halswirbelsäule ist keine klassische Arthrose, sondern eine Hemiarthrose im Bereich der Unkovertebralgelenke. Dies kann beispielsweise durch veränderte Belastungen der Halswirbelsäule auftreten. Im Zuge der neu wachsenden Unkovertebralgelenke kann dann das Foramen intervertebrale eingeengt werden. Dies ist ein lebenslanger Umbauprozess der HWS.[5]
Weiterhin gibt es angeborene und erworbene Missbildungen der Halswirbelsäule wie Spina bifida, Block- und Keilwirbel sowie erworbene Skoliosen, zum Beispiel durch Morbus Scheuermann oder Morbus Bechterew.
Die weitaus häufigsten Verletzungen der Halswirbelsäule sind durch Unfälle, vor allem durch Verkehrsunfälle, verursacht. Moderate Form einer Verletzung des Rückenmarks in der Halswirbelsäule ist das Schleudertrauma ohne Verletzungen der Bänder. Dieses ist harmlos, auch wenn die Beschwerden stark sein können. Durch Unfälle kann ein HWS-Syndrom ausgelöst werden.[6]
Als atlanto-axiale Subluxation bezeichnet man eine unvollständige Ausrenkung (Subluxation) des Gelenks zwischen erstem und zweitem Halswirbel.[7]
Sehr selten treten im Bereich der Halswirbelsäule Primärtumoren und Metastasen auf.
Literatur
- Jiri Dvorak, Dieter Grob: Halswirbelsäule – Diagnostik und Therapie. Thieme Verlag, Stuttgart 1999, ISBN 3-13-116161-2.
- Alfred Pillokat: Die Halswirbelsäule als Krankheitsfaktor. In: Das Deutsche Gesundheitswesen. 6, 1951, S. 909–915.
Weblinks
Einzelnachweise
- ↑ Hautier, L. et al.: Skeletal development in sloths and the evolution of mammalian vertebral patterning. In: PNAS 10.1073/pnas.1010335107, 2010.
- ↑ Kurt Gutzeit: Wirbelsäule und innere Krankheiten. In: Münchener Medizinische Wochenschrift. Band 95, Nr. 1, 2. Januar 1953, S. 47–53, hier: S. 48–50.
- ↑ Mascha Brichta: Gesundheit: Bandscheibenvorfälle heilen oft von selbst. 15. Juli 2009 (welt.de [abgerufen am 13. Oktober 2019]).
- ↑ Osteochondrose – Orthopädie Wien – Vienna – Austria. Abgerufen am 13. Oktober 2019.
- ↑ DocCheck Medical Services GmbH: Unkarthrose. Abgerufen am 13. Oktober 2019.
- ↑ DocCheck Medical Services GmbH: HWS-Syndrom. Abgerufen am 13. Oktober 2019.
- ↑ Andre Jaggy: Atlas und Lehrbuch der Kleintierneurologie. Schlütersche, Hannover 2005, ISBN 3-87706-739-5, S. 305.