Skoliose
| Klassifikation nach ICD-10 | |
|---|---|
| M41 | Skoliose
Inkl.:
Exkl.:
|
| M41.0 | idiopathische Skoliose beim Kind |
| M41.1 | Idiopathische Skoliose beim Jugendlichen
Adoleszentenskoliose |
| M41.2 | Sonstige idiopathische Skoliose |
| M41.3 | Thoraxbedingte Skoliose |
| M41.4 | Neuromyopathische Skoliose
Skoliose nach Zerebralparese, Friedreich-Ataxie, Poliomyelitis und sonstigen neuromuskulären Krankheiten. |
| M41.5 | Sonstige sekundäre Skoliose |
| M41.8 | Sonstige Formen der Skoliose |
| M41.9 | Skoliose, nicht näher bezeichnet |
| ICD-10 online (WHO-Version 2019) | |
| Klassifikation nach ICD-11 | |
|---|---|
| FA70.1 | Skoliose |
| FC01.5 | Skoliose nach Bestrahlung |
| LB73.25 | Angeborene Skoliose durch angeborene Knochenfehlbildung |
| ICD-11: Englisch • Deutsch (Entwurf) | |

Eine Skoliose (altgriechisch σκολίωσις skolíōsis, deutsch ‚Krümmung‘) ist als asymmetrische Fehlbildung eine Seitabweichung der Wirbelsäule von der Längsachse mit Rotation (Verdrehung) der Wirbel um die Längsachse und Torsion der Wirbelkörper – begleitet von strukturellen Verformungen der Wirbelkörper. Diese Form der Rückgratverkrümmung kann nicht mehr durch Einsatz der Muskulatur aufgerichtet werden. Die Wirbelsäule bildet dabei in der Regel mehrere, einander gegenläufige Bögen, die einander kompensieren, um das Körpergleichgewicht aufrechtzuerhalten (S-Form). Der Cobb-Winkel (nach John Robert Cobb) dient als Maß für die Beurteilung der Skoliose.
In Verbindung mit einer Kyphose bzw. Hyperkyphose spricht man von Kyphoskoliose, der stärksten Veränderung der normalen Brustkorbform.[1]
Eine Skoliose kann bei allen Wirbeltieren einschließlich Fischen vorkommen. Die Skoliose beim Menschen wurde erstmals in der Antike vom griechischen Arzt Hippokrates beschrieben und behandelt.
Klassifikation (Einteilung)
Skoliosen werden klassifiziert nach ihrer Ursache und dem Entstehungszeitpunkt, nach der Lage ihrer Krümmungen und dem Krümmungsmuster, nach ihrem Ausmaß (Krümmungswinkeln und Rotationsgraden) und der Ausrichtung der Krümmungen (links, rechts). Skoliosen, deren Ursache unbekannt ist, werden als idiopathische Skoliosen bezeichnet. Ist die Ursache geklärt, handelt es sich um eine symptomatische oder sekundäre Skoliose.
Die Skoliose zählt zu den Wachstumsdeformitäten. Sie entsteht und verschlechtert sich während der Jugend in Zeiten verstärkten Körperwachstums, wie zum Beispiel in den pubertären Wachstumsschüben.
Idiopathische Skoliose
In etwa 90 % aller Fälle ist die Ursache der Skoliose nicht bekannt. Es werden aufgrund des Entstehungsalters drei Formen dieser idiopathischen Skoliose unterschieden:
- Infantile idiopathische Skoliose (IIS): Entstehung bis zum 3. Lebensjahr
- Juvenile idiopathische Skoliose (JIS): Entstehung zwischen 4. und 10. Lebensjahr
- Idiopathische Adoleszentenskoliose (AIS): Entstehung ab dem 11. Lebensjahr
Die idiopathische Skoliose hat nichts mit der sogenannten „Säuglingsskoliose“, einer meist nur kurzfristig bestehenden Haltungsabweichung im 1. Lebensjahr, zu tun.
Symptomatische Skoliose (sekundäre Skoliose)
Die verbleibenden 10 % der Skoliosen verteilen sich auf folgende Ursachen:
- Fehlbildungsskoliose (kongenitale Skoliose) durch angeborene Wirbelfehlbildungen, Klippel-Feil-Syndrom, Spina bifida, bei Skelettdysplasie mit ausschließlichem Befall der Wirbelsäule (Brachyolmie) u. a.
- Neuropathische Skoliose durch Nerven- und Muskelerkrankungen, wie beispielsweise Zerebralparesen, spinale Muskelatrophien oder auch Poliomyelitis
- Myopathische Skoliose durch Muskeldystrophien oder Arthrogrypose
- Skoliose durch Systemerkrankungen wie Neurofibromatose, Skelettdysplasien, Osteogenesis imperfecta
- Iatrogene Skoliose, also Skoliose aufgrund ärztlicher Behandlungsmaßnahmen (beispielsweise Bestrahlung oder nach Operationen durch Narbenbildung)
- Posttraumatische Skoliose nach Gewalteinwirkung, Amputationen oder Tumoroperationen im Bereich der Wirbelsäule.
- Statische Skoliose durch Beinlängendifferenzen
Einteilung nach der Erscheinungsform
Nach Lawrence Lenke[2][3] werden die Hauptkrümmungen (die größten Krümmungen mit struktureller Fixierung; auch Primärkrümmungen genannt) nach der Höhe ihres Scheitels (der Krümmungsmitte) benannt:
- Hochthorakal: Krümmungsscheitel zwischen den Wirbeln Th2 und Th6
- Thorakal: Krümmungsscheitel zwischen Th6 und der Bandscheibe Th11/12
- Thorakolumbal: Krümmungsscheitel zwischen Th12 und L1
- Lumbal: Krümmungsscheitel zwischen der Bandscheibe L1/2 und L4
Nach dem Krümmungsmuster unterscheidet man folgende Skoliosen:
- C-förmige Skoliosen: Lenke Typ I und V
- S-förmige Skoliosen: Lenke Typ II und III
- Doppel-S-Skoliosen (Triple-Skoliosen): Lenke Typ IV und VI
Ätiopathogenese (Ursache und Entwicklung)
Die Ursache der idiopathischen Skoliose gilt – entsprechend der Bedeutung ihres Namens (idiopathisch = spontan entstehend, ohne bekannte Ursache) – als ungeklärt. Ein Zusammentreffen mehrerer auslösender Faktoren scheint jedoch wahrscheinlich (multikausal). Ist die Ursache bekannt, spricht man von einer symptomatischen oder sekundären Skoliose.
Idiopathische Skoliosen entstehen und verstärken sich während der Jugend in Zeiten starken Körperlängenwachstums, insbesondere während der pubertären Wachstumsschübe. Je schneller das Körperwachstum ist, desto schneller nehmen die Krümmungen zu. Dementsprechend zählen Skoliosen auch zu den Wachstumsdeformitäten.
Es werden eine Vielzahl möglicher Ursachen der idiopathischen Skoliosen diskutiert, darunter hormonell bedingte Wachstumsstörung, die zu einem längeren Körperwachstum und einem ausgeprägteren pubertären Wachstumsschub führen, was erklären würde, warum Patienten mit Skoliose meist etwas größer sind als gleichaltrige Jugendliche. In einem Viertel der Fälle kommen idiopathische Skoliosen auch gehäuft bei blutsverwandten Familienangehörigen vor, was auf eine genetische Komponente hindeutet. Dabei handelt es sich um einen autosomal-dominanten Erbgang (die Vererbung nur eines defekten Gens ist für eine Erkrankung ausreichend) mit inkompletter Penetranz (Menschen, die das Gen besitzen, müssen nicht erkranken) und variabler Expressivität (dieselbe Abnormität erscheint in unterschiedlicher Weise). Wahrscheinlich spielen auch biomechanische Faktoren, wie ein abgeflachtes seitliches (sagittales) Profil der Wirbelsäule (Flachrücken, Hypokyphose) und einseitige Belastungen, eine Rolle. Die Letzterem zu Grunde liegende Theorie geht davon aus, dass bei Adoleszentenskoliosen ein Missverhältnis zwischen schnellerer Wachstumsgeschwindigkeit der ventral (bauchwärts) gelegenen Wirbelkörperanteile gegenüber den dorsalen (hinten; rückwärts gelegenen) Strukturen der Wirbelsäule entsteht. Der größere Platzbedarf der überdimensionierten ventral gelegenen Wirbelkörper führt dabei zu einer Aufrichtung der Wirbelsäule und Abflachung der natürlichen Kyphose (Entstehung einer Hypokyphose/Flachrücken), sowie zu einer Torsion (Verdrehung) der Wirbel gegeneinander, so dass ein abgeflachtes seitliches (sagittales) Wirbelsäulenprofil, wie auch die Rotation (Verdrehung) der Wirbel noch vor der Auslenkung der Wirbelsäule aus der Mitte eintreten und als prognostisch ungünstige Zeichen für die Ausbildung einer Skoliose gewertet werden. Haben die Wirbel erst einmal die Mittellinie verlassen, kommt es zu einseitigen Belastungen und dadurch zu einer Verselbständigung des Fortschreitens der Deformität bis hin zu keilförmigen Wirbeln im Scheitel der Krümmung.[4][5][6][7]
Bei neuropathischen und mypathischen Skoliosen ist meist eine dauerhafte muskuläre Dysbalance (muskuläres Ungleichgewicht) für die Ausbildung der Skoliose verantwortlich, bei kongenitalen (angeborenen) oder iatrogenen (durch ärztliche Maßnahmen verursachten) Skoliosen wird sie durch die strukturelle Schädigung der Wirbelkörper oder Weichteilstrukturen hervorgerufen. Im weiteren Verlauf des Wachstums verschlechtern sich diese Skoliosen analog dem Verschlechterungsmechanismus, der auch bei idiopathischen Skoliosen eintritt, weiter.
Prävalenz (Häufigkeit)
In mehreren Studien wurde für Skoliosen über 10° Cobb eine weltweite Prävalenz (Häufigkeit in der Bevölkerung) von 1,1 % festgestellt. Skoliosen einer Stärke von über 20° Cobb kommen bei 0,5 % der Bevölkerung vor. Bei skoliotischen Seitabweichungen zwischen 6° und 9° sind Mädchen genauso häufig betroffen wie Jungen, während schwerere idiopathische Skoliosen deutlich häufiger beim weiblichen als beim männlichen Geschlecht vorkommen. Von einer Skoliose mit einem Cobb-Winkel zwischen 10 und 19° sind Mädchen 1,4-mal häufiger, zwischen 20 und 29° 5,4-mal häufiger und ab 30° 7,2-mal häufiger betroffen als Jungen.[6][4]
Verlauf und Krankheitswert
Eine skoliotische Fehlhaltung mit einer Krümmung unter 10° Cobb-Winkel und geringe nicht behandlungsbedürftige Skoliosen sind häufig. Es gibt bisher jedoch keine Möglichkeit vorherzusagen, welche dieser Krümmungen im Wachstum fortschreiten werden.
Das Fortschreiten (die Progression) der Krümmung verhält sich direkt proportional zum Wirbelsäulenwachstum. Dementsprechend schreiten Krümmungen während der ersten 5 Lebensjahre sowie während der pubertären Wachstumsschübe (zwischen 11 und 15 Jahren) schnell fort. Die zwischen dem 5. und 10. Lebensjahr aufgetretenen juvenilen Skoliosen können dagegen bis zum Eintritt der Pubertät lange Zeit stabil bleiben.
Die Prognose ist von der sogenannten Wachstumsreserve (dem noch bevorstehenden Wachstum) abhängig. Je früher eine Skoliose auftritt, umso größer ist die Wahrscheinlichkeit einer während des noch bevorstehenden Wachstums eintretenden Verschlechterung. Deshalb haben infantile Skoliosen, die bis zum 4. Lebensjahr aufgetreten sind, und juvenile Skoliosen (mit einem Auftreten bis zum 10. Lebensjahr) eine deutlich schlechtere Prognose als Adoleszentenskoliosen, die erst im präpubertären (vorpubertären) Wachstumsschub ab dem 11. Lebensjahr entstehen und damit das geringste Restwachstum vor sich haben, in dem sie sich noch verschlechtern können.
Während des pubertären Wachstumsschubes kommt es sehr häufig zur unerwarteten und schnellen Progression. Innerhalb weniger Monate erreichen Skoliosen dann nicht selten ein Ausmaß, welches eine Operation erforderlich macht. Vielen Eltern und Behandlern unterläuft an dieser Stelle bei Skoliosen, die vor der Pubertät aufgetreten sind und sich über längere Zeit kaum verschlechtert haben, eine Fehleinschätzung, so dass diese Skoliosen zum Eintritt der Pubertät nicht mehr ärztlich überwacht oder für die zu erwartende Progredienz therapeutisch unzureichend versorgt sind. Im zeitlichen Verlauf der Skelettentwicklung zeigen sich nur 5 % der juvenilen Skoliosen nicht progredient. Die übrigen nehmen bis zum Erreichen des 10. Lebensjahres jährlich um etwa 1 bis 5° Cobb zu, nach Abschluss des 10. Lebensjahres, während des pubertären Wachstumsschubes, um 5 bis 10° Cobb pro Jahr. Innerhalb eines halben Jahres können sie jedoch auch um bis zu über 40° Cobb zunehmen.
Auch nach Wachstumsabschluss kann es bei stärker ausgeprägten unbehandelten Skoliosen durch Abbauvorgänge im Bandscheiben- oder Wirbelkörperbereich infolge krümmungsbedingter einseitiger Belastungen zu weiteren Verschlechterungen kommen. Bei Skoliosen bis 30° Cobb ist bis zum Eintreten der Wechseljahre in der Regel mit keiner weiteren Verschlechterung zu rechnen. Skoliosen zwischen 30° und 60° Cobb können ebenfalls stabil bleiben, jedoch auch bis zu maximal 1° Cobb pro Jahr weiter fortschreiten. Bei Skoliosen mit Ausgangsgradzahlen zwischen 60° und 80° Cobb ist dagegen damit zu rechnen, dass diese auch nach Wachstumsabschluss weiter fortschreiten werden, wenn sie unbehandelt bleiben. Hier ist mit einer Verschlechterung zwischen 0,5° Cobb bis ebenfalls maximal 1° Cobb pro Jahr zu rechnen. Skoliosen ab 80° Cobb verschlechtern sich nach Wachstumsabschluss dagegen meistens nur noch geringfügig, da der ab dieser Krümmungsstärke beginnende Raummangel im Rumpf einem weiteren Zusammensinken der Wirbelsäule entgegenwirkt.[8] Diese Progressionsbegrenzung gilt jedoch nur für Skoliosen im Erwachsenenalter, nicht für Skoliosen im Wachstumsalter, die Krümmungen bis zu Stärken von 160° bis 180° Cobb entwickeln können.
Bei schwerstgradigen Skoliosen drohen erhebliche Einschränkungen der Vitalkapazität und damit eine Überlastung des Herz-Lungen-Kreislaufes sowie ein Cor pulmonale mit Einschränkungen der Lebensqualität und der Lebenserwartung. Einschränkungen dieser Art beginnen erst ab Krümmungswinkeln größer 80 bis 90° Cobb.[9]
Insbesondere die Entwicklung eines Rippenbuckels und Lendenwulstes stellen oft ein kosmetisches Problem dar. Rückenschmerzen treten im Wesentlichen bei Patienten mit lumbalen und thorakolumbalen Skoliosen sowie dekompensierten Skoliosen auf. Bei Patienten mit thorakalen Skoliosen besteht meist keine oder eine geringgradig ausgeprägte Schmerzsymptomatik. Mit dem Auftreten von Lähmungen ist bei idiopathischen Skoliosen nicht zu rechnen; diese treten in der Regel nur bei kongenitalen oder anderen sekundären Skoliosen auf.[10][11]
Diagnostik
Früherkennung
Eine skoliotische Fehlhaltung mit einer Krümmung unter 10° Cobb-Winkel und geringe Skoliosen sind häufig, nur die wenigsten brauchen Behandlung. Es gibt jedoch keine Möglichkeit vorherzusagen, welche Skoliosen progredient werden. Da sich die Mehrzahl der unbehandelten Skoliosen verschlechtert, kommen der Früherkennung und der Verlaufskontrollen eine herausragende Bedeutung zu.
Der Skoliosebeginn ist schleichend und verursacht nur selten Schmerzen, wegen derer Betroffene einen Arzt aufsuchen würden. Aus diesem Grund wäre für die Skoliosefrüherkennung eine jährlich durchgeführte schulärztliche Vorsorgeuntersuchung im typischen Entstehungsalter der idiopathischen Adoleszentenskoliose zwischen 11 und 13 Jahren bei Mädchen und 12 und 14 Jahren bei Jungen sinnvoll. Da Vorsorgeuntersuchungen dieser Art in Deutschland nicht zur Routine gehören, ist die Früherkennungsrate der Skoliose hierzulande sehr gering.[12] Hier käme vor allem den Sportlehrern die Aufgabe zu, regelmäßige Skoliose-Screenings durchzuführen und evtl. Fehlformen weiterzumelden.[11]
Erstdiagnose

Rückenprofil im Stand und übergebeugt (Adams-Test)
Röntgenbilder in der Frontal- und Sagittalebene
Die idiopathische Skoliose ist zunächst lediglich eine Deformierung, die keine Beschwerden verursacht. Kinder werden Ärzten vorgestellt, weil sie seitlich die Hüfte herausschieben, wegen ungleicher Taillendreiecke, schiefer Schultern oder Abweichungen des Oberkörpers von der Mitte (Lotabweichungen).
Als klinische Untersuchung, die auch in der Skoliose-Früherkennung Anwendung findet, eignet sich am besten der Vorbeugetest (Adams-Test). Dabei neigt sich der Patient mit locker hängenden Armen und durchgestreckten Beinen nach vorne über (eine eventuelle Beinlängendifferenz muss mit einer Unterlage ausgeglichen werden), eine zweite Person blickt dann von hinten über den Rücken und erkennt eventuelle Asymmetrien wie einseitig erhöhte Rippen und Schulterblätter (beginnender Rippenbuckel), einseitig stärker ausgeprägte Lendenmuskulatur (der sog. Lendenwulst) und einen verkrümmten Verlauf der Wirbelsäule.

nach John Robert Cobb
Jede Verdrehung des Rumpfes, die sich durch Ungleichmäßigkeiten am Oberkörper bemerkbar macht, ist ein Hinweis auf eine beginnende Skoliose und muss radiologisch untersucht werden. Gerade so erkennbare Verdrehungen der Wirbelsäule und der dazugehörigen Rumpfabschnitte entsprechen häufig bereits einer seitlichen Verkrümmung von bis zu 20° Cobb, bei der bereits eine Korsettversorgung indiziert sein kann. Eine Wirbelsäulenganzaufnahme von vorne (a-p; anterior-posterior) oder hinten (p-a: posterior-anterior), welche an einem Stück die Beckenkämme abbildet und bis zur Halswirbelsäule reicht, ist auch zur Bestimmung der Progredienzwahrscheinlichkeit und Auswahl der geeigneten Therapiemethode notwendig; außerdem auch zum Ausschluss bzw. der Diagnose anderer Wirbelsäulendeformitäten, die zusammen mit Skoliosen auftreten können (wie Spondylolysen, Morbus Scheuermann, angeborene Wirbelfehlbildungen), und um zu einem späteren Zeitpunkt als Vergleichsaufnahme zu dienen, um das Ausmaß einer stattgefundenen Progredienz bestimmen zu können. Beim Röntgen sollte eine eventuelle Beinlängendifferenz vorher ausgeglichen werden. Aufnahmen im Liegen sind nicht verwertbar.
Zur Erstuntersuchung sollte neben der Wirbelsäulengesamtaufnahme in frontaler Ebene auch eine Aufnahme in sagittaler (seitlicher) Ebene (l-l; latero-lateral) angefertigt und untersucht werden. Hierauf kann auch eine reduzierte Brustwirbelsäulenkyphose (Hypokyphose, Flachrücken) als ein prognostisch ungünstiges Zeichen für den weiteren Verlauf der Skoliose erkannt werden.
Anhand des Röntgenbildes wird der Winkel der einzelnen Krümmungen nach Cobb bestimmt sowie die Verdrehung (Torsion, Rotation) der Wirbel, entweder nach der einfacheren Methode nach Nash und Moe oder der genaueren Methode nach Raimondi.[13][14][15]
An den Beckenkämmen wird der Risser-Grad festgestellt. Beim Verdacht auf andere (nicht idiopathische) Ursachen der Skoliose sollte frühzeitig eine Magnetresonanztomographie (MRT) der gesamten Wirbelsäule angefertigt werden.
Prognostisch wichtige Daten sind außerdem das Alter des Patienten, bei Mädchen der Zeitpunkt der ersten Regelblutung und die Reifezeichen (Entwicklung der Brüste, Achsel- und Schambehaarung).
Verlaufskontrolle
Während des Wachstumsalters sollten alle Skoliosen in festen Abständen von 4–6 Monaten ärztlich kontrolliert werden, skoliotische Fehlhaltungen bis zu 10° Cobb mindestens einmal jährlich. Bei Kontrolluntersuchungen genügt in der Regel eine frontale Röntgenaufnahme. Röntgenuntersuchungen der Wirbelsäule sollten aus Gründen des Strahlenschutzes allerdings nicht häufiger als einmal pro Jahr stattfinden. Da sich Skoliosen speziell in der Pubertät innerhalb weniger Monate drastisch verschlechtern können, sollten bei den dazwischen liegenden Kontrolluntersuchungen strahlungsfreie Untersuchungsmethoden zur Anwendung kommen.
Diese Verlaufskontrollen erfolgen in der Regel durch die klinische Untersuchung und Sichtkontrolle durch den Arzt, oder auch als Verlaufsdokumentation mit Fotos. Eine preiswerte Messmethode, die aussagekräftige und in Zahlen vergleichbare Daten liefert, ist die Skoliometermessung nach Bunnell. Des Weiteren können zur Einsparung der Strahlendosis sogenannte „low dose“-Aufnahmen mit verkürzter Belichtungszeit durchgeführt werden, die nur zum Ausmessen des Krümmungswinkels geeignet sind.
Gelegentlich wird auch eine computergestützte dreidimensionale lichtoptische Vermessung (Videorasterstereographie) des Rückenprofils verwendet, jedoch ist dies nach Analyse des IQWiG keine Alternative zum Röntgen, da die Werte mit denen von Röntgenaufnahmen nicht gut übereinstimmen und so zu falschen Entscheidungen in der Behandlung führen können. Es fehlt die wissenschaftliche Evidenz für deren Einsatz.[16]
Bei schweren Skoliosen ist auch die Feststellung des Körpergewichtes und der Vitalkapazität (Atemparameter) von Bedeutung. Bei erwachsenen Patienten kann ein deutlicher Verlust an Körpergröße ein Hinweis auf eine Progredienz sein.
Therapie der Skoliose
Je nach Schwere der Skoliose kommen hierfür Physiotherapie (Krankengymnastik), Korsettbehandlung und versteifende Wirbelsäulenoperationen zum Einsatz. Die verschiedenen Behandlungsmethoden greifen dabei regelhaft ineinander über. 90 % aller Skoliosen können konservativ (mit Physiotherapie und gegebenenfalls Korsetten) behandelt werden und bedürfen keiner Operation.[17]
Physiotherapie (Krankengymnastik)
Skoliotische Fehlhaltungen bis zu 10° Cobb sind nicht behandlungsbedürftig. Beginnende Skoliosen ab 10 bis 20° Cobb werden, um ein weiteres Fortschreiten (Progredienz) zu verhindern, mit Physiotherapie (Krankengymnastik) behandelt.
Die Zielsetzung der physiotherapeutischen Übungen in der Skoliosebehandlung ist die aktive Aufrichtung der Wirbelsäule mit anschließender muskulärer Stabilisation. Zwei der bekannteren krankengymnastischen Methoden zur Behandlung von Skoliosen sind im deutschsprachigen Raum die Skoliosebehandlung nach Katharina Schroth und die Methode nach Vojta.[18]
Die Physiotherapie nach Katharina Schroth zielt auf eine bewusste Haltungsschulung ab, die später zunehmend unterbewusst in den Alltag integriert werden soll. Sie soll dazu führen, einseitige Belastungshaltungen und Progredienz förderndes Verhalten zu vermeiden. Die Methode muss vom Patienten verstanden und erlernt werden, weshalb sie sich erst ab 7 Jahren empfiehlt. Sie kann bis ins hohe Alter praktiziert werden. Bei Kindern zwischen 5 und 9 Jahren muss ein Elternteil bei der Therapie anwesend sein, die Übungen mit erlernen und das Kind dann beim täglichen Übungsprogramm zu Hause anweisen.[19] Die Skoliosebehandlung nach Katharina Schroth hat mittlerweile auch im ambulanten Bereich einen weiten Verbreitungsgrad. Die Wirksamkeit der Methode konnte über radiologische Verlaufskontrollen, Verbesserungen der Vitalkapazität (Atmungsparameter) sowie elektromyographisch nachgewiesen werden.[20][21]
Die entwicklungskinesiologische und neurophysiologische Methode Vojta-Therapie basiert auf Reflexen (der sogenannten Reflexlokomotion), weshalb auch keine aktive, bewusste Mitarbeit des Patienten erforderlich ist. Die Methode eignet sich deshalb insbesondere für Säuglinge, Kleinkinder, geistig- und lernbehinderte Patienten, sowie für Patienten, die Probleme mit der Körpermotorik haben (z. B. Patienten mit Spastiken). Aufgrund der stärkeren Ausprägung dieser Reflexe im Säuglings- und Kleinkindalter ist die Wirkung der Methode in dieser Altersgruppe wesentlich größer als in späteren Lebensjahren. Zur Durchführung der Methode wird so gut wie immer eine Hilfsperson benötigt.
Orthesenbehandlung (Korsetttherapie)

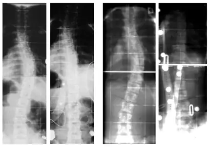
Korrektur von 56° auf 27° Cobb (52 % Primärkorrektur)

Links: von 39° auf 12° Cobb (69 % Primärkorrektur)
Rechts: von 38° auf −14° Cobb (Überkorrektur[22])
Progrediente Skoliosen im Wachstumsalter von über 20° Cobb sollten zusätzlich zu skoliosespezifischer Physiotherapie mit einem Korsett versorgt werden, welches der Wachstumslenkung dient. Ziel der Behandlung ist eine weitere Verschlechterung bis zum Wachstumsende aufzuhalten, bestehende Krümmungen zu korrigieren und die erreichten Korrekturen zu erhalten.
Im deutschsprachigen Raum kommt am häufigsten die Derotationsorthese nach Chêneau (Chêneau-Korsett) zum Einsatz, welche heute auch bei lumbalen Skoliosen, die früher mit der Boston-Orthese versorgt wurden, verwendet wird. Nur sehr hoch gelegene thorakale Krümmungen benötigen zu ihrer Therapie noch den Halsteil des Milwaukee-Korsetts, der jedoch in der Regel auch nicht notwendig wird.
Die Skoliose-Korsetttherapie muss von Arzt-Orthopädietechniker-Teams durchgeführt werden, die Erfahrung in der Skoliose-Behandlung haben. Der Therapieerfolg hängt nicht nur von der optimalen Passform und dem Einhalten der Tragezeiten ab, sondern auch von der maximal möglichen Krümmungskorrektur. Deshalb sollte eine initiale Verringerung des Krümmungswinkels im Korsett (Primärkorrektur) um mindestens 40 % angestrebt werden.[23] Nach zwei Wochen Tragedauer sollte in einer ersten Röntgenkontrolle die Korrekturwirkung des Korsetts (die Primärkorrektur) überprüft werden. Im weiteren Verlauf der Behandlung finden alle drei Monate Kontrollen durch den Orthopädietechniker statt, die auch für Korrekturen am Korsett (wie z. B. Verstärkungen der Druckpolster (Pelotten)) genutzt werden. Das Korsett soll mehr als 22 Stunden täglich getragen werden.[23] Bei korsettversorgten Skoliosen mit geringer Verschlechterungstendenz kommen jedoch auch kürzere Tragezeiten von mindestens 16 Stunden pro Tag in Betracht, wobei der Vorteil hier in einer höheren Therapietreue gesehen wird, da das Korsett während der Schulzeit und anderer Freizeitaktivitäten dann nicht getragen werden muss. Zur Patientenaufklärung, Motivation und zum Erfahrungsaustausch mit anderen gleichaltrigen Betroffenen (was allesamt zur Verbesserung der Therapietreue beiträgt), können für korsettversorgte Patienten insbesondere stationäre Rehabilitationsmaßnahmen in Fachkliniken, die auf konservative Skoliose- und Wirbelsäulendeformitätenbehandlung spezialisierten sind, sinnvoll sein. Zum Ende der Korsettbehandlung (meist nach Wachstumsabschluss) sollte das Korsett dann noch ein Jahr lang nur nachts weiter getragen werden.[24][25][26]
Bei günstigen Voraussetzungen (qualitativ hochwertigen Korsetten mit hoher Primärkorrektur und hoher Therapietreue in den Korsetttragezeiten) kann mit einer konservativen Therapie (d. h. Korsett in Verbindung mit Physiotherapie) im jugendlichen Alter die Wirbelsäule noch bis nahezu ganz begradigt werden oder bei stärkeren Verkrümmungen eine drohende Operation noch abgewendet werden.[27][28]
Die Indikationsgrenzen für eine Korsetttherapie sind neben dem Ausmaß der Krümmung und dem Alter des Patienten auch von der Korsettqualität abhängig, hier insbesondere von der Primärkorrektur.
Operation
Indikation
Eine Operation ist indiziert, wenn alle konservativen Behandlungsmöglichkeiten keinen ausreichenden Therapieerfolg gebracht haben bzw. versprechen. Im Wachstumsalter ist die Operationsindikation abhängig von der Verschlechterungstendenz sowie der Effektivität einer alternativen Korsettversorgung und beginnt ohne alternative Therapie nicht unter 40° Cobb.[23] Erst ab einer Krümmungsstärke von über 80 bis 90° Cobb ist mit einer höheren Invalidität und Mortalität zu rechnen.[9] Aufgrund dieser Einschränkungen wird bei Krümmungen ab dieser Stärke dann auch nach Wachstumsabschluss in der Regel ein operatives Vorgehen erforderlich. Die Korrekturerfolge der operativen Therapie nehmen bei Cobb-Winkeln über 60° mit gleichzeitig steigendem Operationsrisiko rasch ab. Neuro- oder myopathische Skoliosen werden sehr viel früher (ab 20° Cobb-Winkel) operativ angegangen, da aufgrund der fehlenden muskulären Stabilisierungsmöglichkeit kein konservativer Behandlungserfolg zu erwarten ist. Während des Wachstumsalters sind operative Korrekturen mit dem VEPTR-Verfahren möglich.
Grundprinzip
Die Grundprinzipien aller Skoliose-Operationen sind identisch: Die Verkrümmung wird so weit wie möglich aufgerichtet, die Rotation wird beseitigt, das Ergebnis der Korrektur wird mit Implantaten gehalten und die Wirbelsäule wird eingesteift.
Bereits 1889 versuchte Richard von Volkmann operative Korrekturen von Skoliosen durch Resektion vorspringender Rippen.[29]
Techniken



Es gibt zwei verschiedene Zugangswege, um eine Skoliose zu operieren: die Operation vom hinteren Zugang und die Operation vom vorderen Zugang.
Ventrale Derotationsspondylodese
Bei der Operation vom vorderen Zugang wird entlang der Rippen über die Seite operiert. Dabei wird eine Rippe entfernt, welche später nach Zerkleinerung als eigenes Knochenmaterial („autologes Transplantat“) zur Überbrückung in die Zwischenwirbelräume eingeführt wird. Nach Öffnung der Brusthöhle und/oder der Bauchhöhle wird die Wirbelsäule so freigelegt, dass der Operateur freien Zugang zu den Wirbelkörpern und Bandscheiben erhält. Zur Korrektur werden in dem ausgewählten Bereich die Bandscheiben entfernt und von der Seite her in die zu korrigierenden Wirbelkörper Schrauben eingebracht. Diese Schrauben werden mit einem Stab verbunden und nach der Korrektur an diesem Stab befestigt. An die Stelle der herausgenommenen Bandscheiben tritt das vorbereitete körpereigene Knochenmaterial. Moderne Operationsverfahren verwenden zur besseren Erststabilität zwei Stäbe, falls dies die Körpergröße zulässt. Diese Operation hat den Nachteil, dass die Bauch- oder Brusthöhle geöffnet werden muss. Auf eine Korsettnachbehandlung kann allerdings in einigen Fällen nicht verzichtet werden.
Dorsale Skolioseaufrichtung
Beim hinteren Zugang erfolgt die Schnittführung in der Mittellinie über den Dornfortsätzen der Wirbelsäule. Bei dieser Operation kommen verschiedene Stabsysteme zum Einsatz, welche durch Haken an den Wirbelbögen und/oder transpedikuläre Schrauben befestigt werden. Zur besseren Stabilisierung werden diese Stäbe mit Querverbindungen versehen. Direkt nach der Operation ist keine Beweglichkeit in dem überbrückten Wirbelsäulenbereich mehr möglich. Dies fördert die spätere knöcherne Festigkeit. Entscheidend für den dauerhaften Operationserfolg ist die Durchbauung der „Spanstraße“. Die dafür nötigen kortikospongiösen Brösel werden den hinteren Beckenkämmen entnommen.
Ventrodorsale Operation
Dorsaler und ventraler Zugang können in schweren Fällen kombiniert (ein- oder zweizeitig) angewendet werden. Dies wird gelegentlich vor allem bei speziellen Fehlbildungen oder neuropathischen Formen der Skoliose erforderlich.
Ergebnisse
Das kosmetische und funktionelle Ergebnis ist beim ventralen Vorgehen in der Regel besser. Das dorsale Vorgehen bietet demgegenüber den Vorteil der sicheren, sofortigen korsettfreien Nachbehandlung. Allerdings ergibt es ohne zusätzliche Rückenbuckelkorrektur aus kosmetischer Sicht eher ungünstige Resultate.
Risiken und Komplikationen
Skolioseoperationen werden im deutschsprachigen Raum heute nahezu ausschließlich in speziell ausgewiesenen Skoliosezentren durchgeführt. Das Komplikationsrisiko wird – infolge des hohen Spezialisierungsgrades – als eher gering beschrieben und liegt unter 5 %. Spezielle Komplikationen der Skoliose-Operationen sind:
- Metallbrüche mit Korrekturverlust
- Pseudarthrosen, also Ausbleiben der angestrebten Einsteifung
- Infekte mit der Notwendigkeit der Implantatentfernung
- sehr selten Verletzungen des Rückenmarks mit teilweiser oder vollständiger Querschnittlähmung
- erneute Beschwerden infolge geänderter Wirbelsäulenbeweglichkeit nach Aufrichtungsoperationen, s. Flachrücken-Deformität
- Crankshaft-Phänomen (englisch crankshaft ‚Kurbelwelle‘), bei dem es durch das weitere Wachstum unterhalb der fixierten Wirbelabschnitte zu einer progredienten postoperativen Fehlstellung in allen drei Ebene kommen kann – umso mehr, je mehr Wachstumspotenz noch vorhanden ist.
„Operation ohne Versteifung“
Ein neueres Konzept ist die „dynamische“ Skoliosekorrektur. Hierbei handelt es sich um eine nicht-versteifende Operationsmethode.[30] Erstmals beschrieben wurde diese Technik durch Lawrence Lenke, Washington University St. Louis, USA.[31] Als Pionier dieser Technik gilt Randal Betz, der die Methode 2011 am Shriners Hospital for Children in Philadelphia, USA, unter dem Namen Vertebral Body Tethering einführte. Grundgedanke dieser Operationstechnik ist eine Wachstumslenkung mit Hilfe eines Stab-Seil-Konstrukts, das aber anders als versteifende Operationen ein weiteres Längenwachstum der Wirbelsäule erlaubt. Im Juni 2017 wurde die Technik unter dem Begriff der „dynamischen Skoliosekorrektur“ erstmals auch in Deutschland durchgeführt.[32] Da nur wenige Operationen durchgeführt wurden und dies erst seit wenigen Jahren, stehen noch Angaben zu Komplikationen und vor allem Langzeitergebnisse aus, so dass dieses Verfahren bisher nicht etabliert ist.
Ebenfalls „dynamisch“ sind ältere Verfahren, die besonders bei kindlichen und neuromuskulären Skoliosen zum Einsatz kommen, wie das 1975 erstmals beschriebene Verfahren nach Luque, bei dem zwei lange L-förmige Stäbe mittels Drähten an den Wirbelbögen sublaminär fixiert werden, und die Drähte mit dem weiteren Wachstum an den Stäben entlang rutschen können und somit auch ein gelenktes Wachstum erlauben.
Schwangerschaft und Skoliose
In der Regel wird eine Schwangerschaft die Skoliose in ihrem Krümmungsverlauf nicht beeinträchtigen.
Eine schwedische Studie jedoch zeigt, dass Patientinnen mit mehreren Schwangerschaften vor ihrem 23. Lebensjahr verstärkt mit einer Krümmungszunahme zu rechnen haben. Aktuellere und kontrollierte Untersuchungen aus Schweden legen jedoch nahe, dass eine Frau nicht die Skoliose zur Grundlage ihrer Lebensplanung machen sollte.[33]
Bei einer Schwangerschaft ab dem dritten Lebensjahrzehnt sind praktisch keine über das normale Maß hinausgehenden Beschwerden oder Krümmungszunahmen zu befürchten. Krümmungen unter 30° nach Wachstumsabschluss (doppelbogige gar bis 40°) können nach Wachstumsabschluss im Allgemeinen auch ohne Behandlung als stabil angesehen werden. Vom geburtshilflichen Standpunkt aus sind keine nachhaltigen Auswirkungen einer Skoliose auf die Schwangerschaft oder den Geburtsvorgang bekannt. Dies trifft jedoch nicht in jedem Fall auf operierte Patientinnen zu. Durch die erhebliche Versteifung der Wirbelsäule bis zum Kreuzbein kann die Reaktionsfähigkeit des Beckenringes möglicherweise beeinträchtigt werden.
Siehe auch
Literatur
- H.-P. Scharf: Orthopädie und Unfallchirurgie. Hrsg.: A. Rüter. Urban & Fischer in Elsevier, München/Jena 2009, ISBN 978-3-437-24400-1, S. 599–605.
- F. Niethard, U. G. Stauffer: Kinderheilkunde und Jugendmedizin. Hrsg.: B. Koletzko. 13. Auflage. Springer, Berlin 2007, ISBN 978-3-540-48632-9, Kapitel 16.3.3 Skoliose.
- H.-P. Bischof, J. Heisel, H. Locher (Hrsg.): Praxis der konservativen Orthopädie. 1. Auflage. Georg Thieme, Stuttgart 2007, ISBN 978-3-13-142461-7.
- Per Trobisch u. a.: Die idiopathische Skoliose. In: Dtsch Arztebl Int. Band 107, Nr. 49, 2010, S. 875–884 (aerzteblatt.de).
Ältere Literatur
- Ludwig Wullstein: Die Skoliose in ihrer Behandlung und Entstehung. Nach klinischen und experimentellen Studien. Ferdinand Enke, Stuttgart 1902.
Weblinks
- Alexander Spiessberger: Die Skoliosen.
Einzelnachweise
- ↑ Klaus Holldack, Klaus Gahl: Auskultation und Perkussion. Inspektion und Palpation. Thieme, Stuttgart 1955; 10., neubearbeitete Auflage ebenda 1986, ISBN 3-13-352410-0, S. 56.
- ↑ J. Harms: Klassifikationen (King, Lenke). Archiviert vom (nicht mehr online verfügbar) am 25. Februar 2008; abgerufen am 20. März 2010.
- ↑ Lawrence G. Lenke, Randal R. Betz, Jürgen Harms, Keith H. Bridwell, David H. Clements, Thomas G. Lowe, Kathy Blanke: Adolescent Idiopathic Scoliosis. A New Classification to Determine Extent of Spinal Arthrodesis. In: The Journal of Bone and Joint Surgery. Band 83, Nr. 8, August 2001, ISSN 0021-9355, S. 1169–1181 (englisch, lww.com).
- ↑ a b C. J. Wirth, L. Zichner, J. Krämer: Orthopädie und Orthopädische Chirurgie. Wirbelsäule und Thorax. 1. Auflage. Thieme, Stuttgart 2004, ISBN 978-3-13-126191-5, S. 166 ff.
- ↑ P. Edelmann: Differentialdiagnose Pädiatrie. Hrsg.: D. Michalk, E. Schönau, I. Fritz. 2. Auflage. Urban & Fischer in Elsevier, München 2004, ISBN 978-3-437-22530-7, S. 602–606.
- ↑ a b H.-P. Bischof, J. Heisel, H. Locher (Hrsg.): Praxis der konservativen Orthopädie. 1. Auflage. Georg Thieme, Stuttgart 2007, ISBN 978-3-13-142461-7, S. 425.
- ↑ J. Specht, M. Schmitt, J. Pfeil: Technische Orthopädie. Orthesen und Schuhzurichtungen. 1. Auflage. Springer, Berlin 2007, ISBN 978-3-540-29892-2, Kapitel 1.4.11 „Einleitung Skolioseorthesen“, S. 52 (eingeschränkte Vorschau in der Google-Buchsuche).
- ↑ S. L. Weinstein, I. V. Ponseti: Curve progression in idiopathic scoliosis. In: J Bone Joint Surg Am. Band 65, Nr. 4, Apr 1983, S. 447–455.
- ↑ a b S. L. Weinstein, L. A. Dolan, K. F. Spratt, K. K. Peterson, M. J. Spoonamore, I. V. Ponseti: Health and function of patients with untreated idiopathic scoliosis: a 50-year natural history study. In: JAMA.Band 289, Nr. 5, 2003, S. 559–567.
- ↑ F. Niethard, U. G. Stauffer: Kinderheilkunde und Jugendmedizin. Hrsg.: B. Koletzko. 13. Auflage. Springer, Berlin 2007, ISBN 978-3-540-48632-9, Kapitel 16.3.3 Skoliose.
- ↑ a b Klaus Buckup: Kinderorthopädie. 2. Auflage. Georg Thieme, Stuttgart 2001, ISBN 978-3-13-697602-9, S. 62–69.
- ↑ P. Edelmann: Differentialdiagnose Pädiatrie. Hrsg.: D. Michalk, E. Schönau, I. Fritz. 2. Auflage. Urban & Fischer in Elsevier, München 2004, ISBN 978-3-437-22530-7, S. 606.
- ↑ P. Raimondi: Measuring the rotation on spinal radiography. Original tables Raimondi for measuring the rotation on spinal radiography. (PDF) Archiviert vom (nicht mehr online verfügbar) am 16. Januar 2017; abgerufen am 12. Januar 2021 (englisch).
- ↑ Skoliosimetrie – Gradzahl nach COBB, Rotation nach RAIMONDI. Skoliose-Info-Forum.de, archiviert vom (nicht mehr online verfügbar) am 18. April 2008; abgerufen am 21. März 2010.
- ↑ Komplette, frei zugängliche digitale Raimondi-Tabelle zur Messung der Wirbelrotation als diagnostisches Hilfsmittel für Computer und Smartphone (online nutzbar oder speicherbar). Skoliose-Info-Forum.de, archiviert vom (nicht mehr online verfügbar) am 14. Juni 2006; abgerufen am 12. Januar 2021.
- ↑ Arne Hillienhof: Videorasterstereografie: Keine Alternative zum Röntgen bei Skoliose. In: Deutsches Ärzteblatt, Jahrgang 116, Ausgabe 49, 6. Dezember 2019, S. A2278, aerzteblatt.de abgerufen am 15. Dezember 2019.
- ↑ M. Fleischhauer: Leitfaden Physiotherapie in der Orthopädie und Traumatologie. 2. Auflage. Urban & Fischer in Elsevier, 2006, ISBN 3-437-45211-8, S. 694.
- ↑ P. Matzen (Hrsg.): Kinderorthopädie. Urban & Fischer in Elsevier, München 2007, ISBN 978-3-437-24020-1, Kapitel 3.6.2 – Skoliose, S. 43.
- ↑ C. Lehnert-Schroth: Dreidimensionale Skoliosebehandlung – Atmungs-Orthopädie System Schroth. 7. Auflage. Urban & Fischer in Elsevier, München 2007, ISBN 978-3-437-44025-0 (eingeschränkte Vorschau in der Google-Buchsuche).
- ↑ H.-P. Bischof, J. Heisel, H. Locher (Hrsg.): Praxis der konservativen Orthopädie. 1. Auflage. Georg Thieme, Stuttgart 2007, ISBN 978-3-13-142461-7, S. 429.
- ↑ C. J. Wirth, L. Zichner, J. Krämer: Orthopädie und Orthopädische Chirurgie. Wirbelsäule und Thorax. 1. Auflage. Thieme, Stuttgart 2004, ISBN 978-3-13-126191-5, S. 175.
- ↑ Zu bereits Anfang des 20. Jahrhunderts durchgeführten Überkorrekturen vgl. Fritz Lange: Die Behandlung der habituellen Skoliose durch aktive und passiver Überkorrektur. Ferdinand Enke, Stuttgart 1907.
- ↑ a b c Leitlinie Idiopathische Skoliose im Wachstumsalter (PDF ( vom 21. März 2016 im Internet Archive)), Stand 1. Oktober 2009 (derzeit in Überarbeitung)
- ↑ J. Specht, M. Schmitt, J. Pfeil: Technische Orthopädie. Orthesen und Schuhzurichtungen. 1. Auflage. Springer, Berlin 2007, ISBN 978-3-540-29892-2, Kapitel 1.4.11 „Einleitung Skolioseorthesen“, S. 53–55 (eingeschränkte Vorschau in der Google-Buchsuche).
- ↑ H.-P. Bischof, J. Heisel, H. Locher (Hrsg.): Praxis der konservativen Orthopädie. 1. Auflage. Georg Thieme, Stuttgart 2007, ISBN 978-3-13-142461-7, S. 430–431.
- ↑ C. J. Wirth, L. Zichner, J. Krämer: Orthopädie und Orthopädische Chirurgie. Wirbelsäule und Thorax. 1. Auflage. Thieme, Stuttgart 2004, ISBN 978-3-13-126191-5, S. 177.
- ↑ C. Lehnert-Schroth: Dreidimensionale Skoliosebehandlung. 7. Auflage. Urban & Fischer in Elsevier, München 2007, ISBN 978-3-437-44025-0, S. 309.
- ↑ F. Landauer, H. Behensky: Korrekturmechanismus der Skoliose bei Korsett-Therapie. Orthopädie Technik, 6/2002.
- ↑ Wolfgang Seeger, Carl Ludwig Geletneky: Chirurgie des Nervensystems. In: Franz Xaver Sailer, Friedrich Wilhelm Gierhake (Hrsg.): Chirurgie historisch gesehen. Anfang – Entwicklung – Differenzierung. Dustri-Verlag, Deisenhofen bei München 1973, ISBN 3-87185-021-7, S. 229–262, hier: S. 252.
- ↑ Home – Pediatric Spine Foundation. Abgerufen am 30. November 2018 (amerikanisches Englisch).
- ↑ Charles H. Crawford, Lawrence G. Lenke: Growth modulation by means of anterior tethering resulting in progressive correction of juvenile idiopathic scoliosis: a case report. In: The Journal of Bone and Joint Surgery. American Volume. Band 92, Nr. 1, Januar 2010, ISSN 1535-1386, S. 202–209, doi:10.2106/JBJS.H.01728, PMID 20048114.
- ↑ Per Trobisch: Die dynamische Skoliosekorrektur (DSK) – eine bewegungserhaltende Operationstechnik zur Behandlung der schweren Skoliose. In: Rückenzeit – das Skoliosemagazin. Nr. 1, 2018.
- ↑ A. J. Danielsson, A. L. Nachemson: Childbearing, curve progression, and sexual function in women 22 years after treatment for adolescent idiopathic scoliosis: a case-control study. In: Spine. Band 26, Nr. 13, Juli 2001, S. 1449–1456, PMID 11458150 (lww.com).