Fremdkörper in Anus und Rektum
| Klassifikation nach ICD-10 | |
|---|---|
| T18.5 | Fremdkörper in Anus und Rektum |
| ICD-10 online (WHO-Version 2019) | |
Ein Fremdkörper in Anus und Rektum, häufig auch rektaler Fremdkörper (englisch rectal foreign body) genannt, ist ein meist durch den After in den Mastdarm (Rektum bzw. lateinisch Rectum) eingeführter und dort befindlicher Gegenstand. Er kann klinisch relevant werden, wenn er sich vom Patienten nicht in der vorgesehenen Weise problemlos wieder entfernen lässt. Der umgekehrte Weg eines Fremdkörpers – Aufnahme über den Mund und Passage durch den gesamten Magen-Darm-Trakt bis ins Rektum – ist nur selten klinisch relevant.
1 = Speiseröhre, 2 = Magen, 3 = Zwölffingerdarm, 4 = Dünndarm, 5 = Blinddarm, 6 = Appendix, 7 = Grimmdarm, 8 = Mastdarm, 9 = Anus – Musculus sphincter internum und Musculus sphincter externum
Rektale Fremdkörper gehören zu der Gruppe der gastrointestinalen Fremdkörper (Fremdkörper in den Verdauungsorganen).[1][2]
Häufigkeit
.jpg)
Es gibt keine zuverlässigen Daten über die Häufigkeit von klinisch relevanten rektalen Fremdkörpern. Sie dürfte langfristig betrachtet zugenommen haben[4] und ist in jüngster Zeit ein häufiger zu beobachtendes Phänomen.[5] Die Dunkelziffer ist vermutlich sehr hoch.
Fremdkörper in Anus und Rektum finden sich bei Männern erheblich häufiger als bei Frauen. Das Geschlechterverhältnis beträgt ungefähr 28:1.[4][6][7] Eine Metastudie aus dem Jahr 2010 kommt zu einem Geschlechterverhältnis von ungefähr 37:1. Das Durchschnittsalter der Patienten lag bei 44,1 Jahren mit einer Standardabweichung von 16,6 Jahren.[8]
Der erste in der Literatur beschriebene Fall stammt aus dem 16. Jahrhundert.[9][10]
Ursachen
Die Gründe für Fremdkörper in Anus und Rektum sind sehr unterschiedlicher Natur, in den meisten Fällen aber sexuell oder kriminell motiviert.[11] In der überwiegenden Anzahl der Fälle wird der Fremdkörper freiwillig in das Rektum eingeführt. Darunter fallen vor allem sexuell motivierte Praktiken, die die häufigste Ursache für klinisch relevante rektale Fremdkörper darstellen. Bodypacking, der illegale Transport von Drogenbehältern in Körperöffnungen (hier: im Rektum), ist eine weitere – eventuell – freiwillige Form des Einführens von Fremdkörpern in Anus und Rektum.[12] Dazu gehören auch Versuche, Gegenstände wie Waffen, beispielsweise Messer, oder Munition zu transportieren. In einer Studie war sexuelle Stimulation für etwa 80 Prozent der Fälle verantwortlich, in denen ein Fremdkörper in Anus und Rektum klinisch relevant wurde. In den 80 Prozent eingeschlossen sind etwa zehn Prozent Fälle von sexueller Nötigung.[13]
Selten werden vom Patienten Fremdkörper, die eigenständig nicht mehr entfernt werden können, mit dem Ziel in den Anus eingeführt, Zuneigung und Mitleid von Ärzten und Pflegern zu bekommen. In diesen Fällen wird das Verhalten dem Münchhausen-Syndrom zugeordnet.[9]
Eine andere Ursache kann eine versuchte Selbstbehandlung von Erkrankungen sein. So versuchte beispielsweise ein Patient, durch das Einführen eines Maiskolbens in sein Rektum einen hartnäckigen Durchfall bei sich zu therapieren.[14] Ein anderer Patient versuchte, den durch sein Hämorrhoidalleiden verursachten chronischen Juckreiz (Pruritus ani) mit Hilfe einer Zahnbürste zu lindern. Die Zahnbürste geriet ihm dabei außer Kontrolle und verschwand in seinem Rektum.[15]
Durch Unfälle oder Folter können Fremdkörper gegen den Willen des Patienten in das Rektum gelangen.[16] Ein Quecksilber-Fieberthermometer, das zur Temperaturmessung in das Rektum eingeführt wurde und dabei abbrach, ist ein Beispiel für einen unfallbedingten Fremdkörper.[17] Im antiken Griechenland existierte für männliche Ehebrecher die Rettichstrafe, bei der dem Ehebrecher ein Rettich in den Anus eingeführt wurde. Viele selbst eingeführte Fremdkörper werden von den betroffenen Patienten aus Scham als Unfall deklariert.
Aus mehreren Gründen können sich Fremdkörper sehr leicht im Rektum festsetzen. Zum einen sind viele der zur sexuellen Stimulation verwendeten Gegenstände an ihrer Spitze konisch geformt, so dass eine leichtere Penetration gewährleistet ist. An ihrem Ende sind sie dagegen meist flach. Passiert das Ende des Gegenstandes den Anus in Richtung des Rektums, ist die Extraktion durch den Betroffenen selbst in vielen Fällen nicht mehr möglich. Häufig wird der Gegenstand – um eine stärkere Stimulation zu erhalten – deutlich tiefer in das Rektum eingeführt als ursprünglich geplant. Die Schließmuskeln verhindern dann auf mechanischem Weg die Extraktion des Fremdkörpers.[18]
Objekte

Art und Größe der rektalen Fremdkörper sind sehr unterschiedlich und übersteigen in manchen Fällen das anatomisch-physiologische Vorstellungsvermögen.[11] (siehe auch: Fisting)
Zu den in der Fachliteratur beschriebenen Objekten gehören beispielsweise:
- Rasierklinge, Schraube, Schraubenzieher, kleine zusammengerollte Werkzeugtasche (15 × 12 cm, inklusive Werkzeug 620 g), Haarnadel, Dosenlocher
- Gräte, Knochensplitter
- Drogenbehälter unterschiedlichster Art (siehe auch: Bodypacking)
- kurze Stäbe wie ein 27 cm langes Stuhlbein, ein 19 cm langer Spatenstiel und ein abgebrochenes Besenstielstück, Staubsaugeransatzteile, Knirps in Hülle
- Gefäße mit teilweise mehr als 0,5 l großen Volumina, wie beispielsweise kleine Sektflaschen, Colaflaschen, Marmeladengläser, kleine Biergläser, Tassen
- Spraydose, Glühbirne, Radioröhre, Kerze
- Tischtennisball, Bocciakugel
- Gewehrmunition, Silvesterböller
- Gurke, Karotte, Maiskolben, Banane, Apfel, Zwiebel, geschnitzte Ingwerstücke
- gerollte Tageszeitung
- gefrorener Schweineschwanz
- Aal[19]
- Vibrator, Hartgummistab, Dildo, Vaginalkugeln, Butt-Plug
- Zahnbürstenetui aus Kunststoff[11][18][20]
- zu kurze Darmrohre
- Granate[21]
Es muss sich dabei nicht immer um feste Gegenstände handeln. 1987 wurde beispielsweise ein Fall eines Patienten beschrieben, der sich mit einer Zementmischung einen Einlauf verabreichte. Nachdem die Mischung sich verfestigt und verkeilt hatte, musste der entstandene Zementbrocken chirurgisch entfernt werden.[22] Ein anderes Extrembeispiel ereignete sich im November 1953. Ein depressiver Mann führte sich eine 15 cm lange Pappröhre in sein Rektum ein und warf dann einen angezündeten Feuerwerkskörper in die Öffnung der Röhre, was ein großes Loch in sein Rektum riss.[23]
Diagnose

Viele Patienten geben bei der Anamnese aus Gründen des Schamgefühls nur widerwillig Auskunft über den Hergang, so dass für die Therapie wichtige Informationen unter Umständen fehlen. Zudem erscheinen die Patienten aus dem gleichen Grund erst sehr spät („wenn’s nicht mehr anders geht“) bei einem Arzt. Eine vertrauensvolle, feinfühlige und fürsorgliche Betreuung der meist sehr beschämten und sich unwohl fühlenden Patienten durch das einbezogene klinische Personal ist daher für den Behandlungserfolg von großer Bedeutung[24] und kann unter Umständen lebensrettend sein.[25]
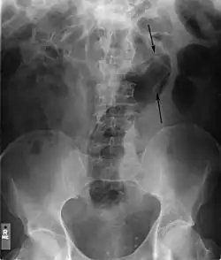
Vor dem Entfernen des Fremdkörpers werden meist radiologische Bilder in unterschiedlichen Projektionsebenen aufgenommen, um die genaue Lage und Tiefe des Fremdkörpers festzustellen. Dies geschieht in der Regel durch Röntgen. Bei Fremdkörpern aus Materialien, die einen zu geringen Kontrast im Röntgenbild liefern (beispielsweise Gegenstände aus massivem Kunststoff), kann gegebenenfalls auf Sonografie (Ultraschall) oder Computertomographie ausgewichen werden.[24] Die Magnetresonanztomographie ist insbesondere bei unbekannten Fremdkörpern kontraindiziert. In das Rektum eingeführte Fremdkörper können unter Umständen bis weit in das Kolon vordringen, in einigen Fällen bis zur rechten Flexur.[11]
Eine Endoskopie, die auch bei der Therapie hilfreich sein kann, ermöglicht die Identifikation und Lokalisation des Gegenstandes im Rektum.[26]
Die so gewonnenen Informationen über den Fremdkörper sind für sein Entfernen sehr wichtig, da eine Perforation von Rektum und Anus unbedingt zu vermeiden ist.
Therapie

So vielseitig wie die Objekte im Rektum sein können, so unterschiedlich können auch die therapeutischen Maßnahmen zum Entfernen des Fremdkörpers ausfallen. Häufig bestehen die Fremdkörper aus zerbrechlichen Materialien, wie beispielsweise Glas. Zudem vergehen meist viele Stunden oder gar Tage, bis der Patient einen Arzt aufsucht. Bevor sie einen Arzt konsultieren, versuchen die meisten Patienten mehrmals erfolglos, den Fremdkörper selbst oder durch einen anderen Laien zu entfernen. In vielen Fällen verschlechtert dies die Ausgangslage für eine erfolgreiche Extraktion des Fremdkörpers.
In den meisten Fällen kann der Fremdkörper auf endoskopischem Weg entfernt werden. Vibratoren lassen sich beispielsweise meist mit einer großen Polypektomieschlinge (normalerweise für das Entfernen von Polypen bei der Koloskopie verwendet) greifen und aus dem Rektum entfernen.[27] Kleinere Objekte, wie beispielsweise Fieberthermometer, können auch mittels einer Biopsiezange aus dem Rektum extrahiert werden.[28] Große eingeklemmte Objekte sind mit einem flexiblen Endoskop oft nicht zu bewegen. In diesen Fällen sind starre Instrumente häufig besser geeignet.[11]
In einigen Fällen haben sich normalerweise zur Geburtshilfe verwendete Instrumente bei der Entfernung der Fremdkörper bewährt. Dazu gehören beispielsweise die Geburtszange (Forceps)[29] und die Saugglocke.[30] Des Weiteren wurden hölzerne Objekte mit Korkenziehern und Trinkgläser nach dem Ausgießen mit Gips geborgen.[29][31] Bei den Gläsern kann beispielsweise ein Löffel als „Anker“ in den noch flüssigen Gips mit eingegossen werden und nach dem Verfestigen zusammen mit dem Glas herausgezogen werden.[20] Glühbirnen werden meist mit einem Netz aus Verbandgaze umhüllt, im Rektum zertrümmert und danach extrahiert.[20]
Auch die Argon-Plasma-Koagulation wurde schon erfolgreich eingesetzt. Beim zu entfernenden Fremdkörper handelte es sich um einen in Cellophan eingewickelten grünen Apfel im Rektum eines 44-jährigen Patienten. Durch die Argon-Plasma-Koagulation konnte der Apfel um über 50 Prozent seiner Größe schrumpfen und letztlich entfernt werden. Vorangegangene Extraktionsversuche mit endoskopischen Instrumenten scheiterten an der glatten Oberfläche des Objektes.[32]
Lässt sich der Fremdkörper durch keine der genannten Maßnahmen extrahieren, weil er zu weit oben im Bereich des Colon sigmoideum liegt, so kann in vielen Fällen Bettruhe und Sedierung des Patienten ein Absteigen des Fremdkörpers zurück in das Rektum bewirken. Dort ist der Fremdkörper leichter zu erreichen und besser extrahierbar.[18]
Bei schwierigeren Fällen kann ein Bauchschnitt (Laparotomie) notwendig sein. Dies ist statistisch gesehen in etwa 10 Prozent der Fälle notwendig.[11] Über den geöffneten Bauch kann der Dickdarm dann möglicherweise so manipuliert werden, dass der Fremdkörper in Richtung des Anus wandert und dort gefasst werden kann. Die Eröffnung des Dickdarms (Kolotomie) kann in besonders schwierigen Fällen angezeigt sein, insbesondere dann, wenn eine Manipulation des Fremdkörpers die Gesundheit des Patienten ernsthaft gefährden würde. Dies kann beispielsweise bei eingeklemmten Drogenkondomen der Fall sein.[26]
Anästhesie
Bei den leichteren Fällen genügt meist eine Sedierung des Patienten. Häufig werden auch Lokal- und Spinalanästhesie angewendet. Schwierigere Eingriffe werden meist unter Narkose durchgeführt; bei Eröffnung der Bauchhöhle (Laparotomie) und Eröffnung des Kolons (Kolotomie) ist sie zwingend erforderlich. Eine Narkose ist für die Relaxation der Schließmuskeln (Sphinkter) vorteilhaft.[11]
Nachsorge
Nach der Operation empfiehlt sich eine Sigmoidoskopie – eine Darmspiegelung, bei der 30 bis 40 Zentimeter des Dickdarmes und Enddarmes mit einem flexiblen Endoskop begutachtet werden –, um mögliche Perforationen des Rektums und des Colon sigmoideum auszuschließen, beziehungsweise um Verletzungen an den Schleimhäuten zu erkennen.[33] Eine stationäre Nachbeobachtung des Patienten ist in manchen Fällen angezeigt.
Beispielliste
| Fremdkörper | Technik | Anästhesie | Quelle |
|---|---|---|---|
| Kugelschreiber | Polypektomieschlinge | k. A. | [34] |
| mit Wasser gefüllter Ballon | Punktion | k. A. | [35] |
| Hühnerknochen | Polypektomieschlinge | k. A. | [36] |
| Zahnstocher | Polypektomieschlinge | k. A. | [37] |
| Apfel in Cellophan | Defragmentierung mit APC | keine | [32] |
| Glasflasche | Biopsiezange | Vollnarkose | [28] |
| Vibrator | Polypektomieschlinge | keine | [28] |
| Reagenzglas | aufgepumpte Sengstaken-Sonde | k. A. | [38] |
| Reagenzglas | Polypektomieschlinge | k. A. | [39] |
| Spitze eines Klistiers | Polypektomieschlinge | k. A. | [39] |
| Vibrator | Biopsiezange | k. A. | [39] |
| Bleistift | Polypektomieschlinge | k. A. | [40] |
| Eisenstab | Zweikanal-Koloskop und Drähte | k. A. | [41] |
| Flaschenhals | aufgepumpter Foley-Katheter | Vollnarkose | [42] |
| Sprühbehälter | Achalasie-Ballon | keine | [33] |
| schwammartiger Spielzeugball | Saugglocke | Vollnarkose | [43] |
| Vibrator | Geburtszange und Analdilatation | Lokalanästhesie | [44] |
| Vibrator | Hakenzange | Lokalanästhesie | [45] |
| Rasierwasserflasche | Knochenhaltezange mit Gummifüßen | Spinalanästhesie | [46] |
| Hühnerknochen | mit Fingern | keine | [47] |
| Sprühdosendeckel | spitze Fasszange und Analdilatation | Vollnarkose | [48] |
| Vase | Ausfüllen mit Gips | Vollnarkose | [49] |
| Glasgefäß | Extraktion mit Gips | Spinalanästhesie | [50] |
| Glasgefäß | Endotrachealtubus | Lokalanästhesie | [51] |
| Apfel | beidhändige Bearbeitung | Lokalanästhesie | [52] |
| Glasgefäß | aufgepumpter Foley-Katheter | Vollnarkose | [53] |
| Glasflasche | Saugglocke | Vollnarkose | [24] |
| 100-Watt-Glühlampe | drei aufgepumpte Foley-Katheter | k. A. | [54] |
| Thermometer | Biopsiezange | Vollnarkose | [28] |
| Vibrator | transanale Kocher-Klemme | Lokalanästhesie | [28] |
| Bowlingflasche (Flasche in Form eines Pins) | Geburtszange | Vollnarkose | [28] |
| Parfümflasche | manuell | Spinalanästhesie | [55] |
| Holzstück | manuell | Vollnarkose | [56] |
| Zahnbürstenetui | aufgepumpter Fogarty-Katheter | k. A. | [57] |
| Topfhandschuh | Zange nach Analdilatation | Vollnarkose | [58] |
| Abflussrohr | Geburtszange | Vollnarkose | [29] |
| Boulekugel | Elektromagnet | Vollnarkose | [59] |
| Karotte | Myomheber | k. A. | [60] |
| Glaskörper | Saugglocke | Spinalanästhesie | [30] |
| Gummiball | manuelle Extraktion mit analer Dilatation | Vollnarkose | [61] |
| Holzstab | beidhändige Analdilatation | Spinalanästhesie | [61] |
| Flasche | manuell nach Analdilatation | Vollnarkose | [62] |
| Dildo | Myomheber | k. A. | [63] |
| Glühlampe | abdominale Kompression | Spinalanästhesie | [64] |
Daten nach[33]
- APC = Argon-Plasma-Koagulation
- k. A. = keine Angabe
Mögliche Folgen eines nicht entfernten Fremdkörpers
Ist der Fremdkörper so groß, dass kein Stuhl aus dem Grimmdarm ihn passieren kann, so entsteht ein mechanischer Darmverschluss (Ileus). Die Dehnung des Rektums und die dadurch bedingte Störung der Darmperistaltik fördern den Ileus zusätzlich.
Der Fremdkörper kann durch Entzündungsprozesse (Arrosion) die Darmwand zerstören. Dies kann, je nach Ort der Perforation, zu einer kotigen Bauchfellentzündung oder einer retroperitonealen Abszedierung (Bildung eines Abszesses hinter dem Bauchfell) führen.
Kleinere Fremdkörper, die die Darmwand verletzen, aber nicht perforieren, können durch ein Fremdkörpergranulom eingeschlossen werden. Sie verbleiben dann unter Umständen jahrelang als Pseudotumor ohne Folgen im Rektum.
Komplikationen
Die häufigste – insgesamt gesehen jedoch eher seltene – Komplikation ist eine Perforation des Rektums durch den Fremdkörper selbst oder durch die Maßnahmen zu seinem Entfernen. Diagnostizierte Perforationen werden in der Klinik üblicherweise sofort operiert. Dazu wird der Bauch des Patienten geöffnet (Laparotomie) und der perforierte Bereich entweder herausgeschnitten oder durch eine primäre Wundnaht versorgt. Den Patienten werden üblicherweise Antibiotika verabreicht, um Infektionen zu unterdrücken.[18] Zur Schonung der Wundnähte ist meist eine temporäre Entlastungskolostomie, das heißt ein vorübergehender künstlicher Darmausgang, notwendig.[13] Die Rückverlagerung der Entlastungskolostomie erfolgt, nachdem durch ein als Klistier injiziertes Kontrastmittel die vollständige Heilung des zuvor perforierten Bereiches des Rektums nachgewiesen wurde. Dies dauert – vom Zeitpunkt der Operation gerechnet – typischerweise drei bis sechs Monate.[65] Der durchschnittliche Klinikaufenthalt nach einer Perforation dauert laut einer Studie 19 Tage.[18]
In der Literatur sind einige Todesfälle durch Fremdkörper in Anus und Rektum beschrieben, aber grundsätzlich sehr selten. Todesfälle werden der Gruppe der autoerotischen Selbsttötungsunfälle zugeordnet. Ein 75 Jahre alter Patient starb beispielsweise durch eine Perforation seines Rektums, die ihm ein Geisteskranker mit einem Spazierstock zugefügt hatte.[66] Ein anderer Patient mittleren Alters starb an einer Perforation seines Rektums durch einen Vibrator. Die Perforation wurde zwar genäht und der Patient intensiv versorgt, er erkrankte aber als Folge des Traumas am Acute Respiratory Distress Syndrome (ARDS) und dem systemischen inflammatorischen Response-Syndrom (SIRS), was letztlich zu einem Multiorganversagen führte.[67] Beschrieben ist auch ein Todesfall nach Perforation des Rektums durch einen Schuhanzieher.[68] Das Rektum ist nach einem erfolgten operativen Eingriff bis zur vollständigen Heilung zu schonen. Ein 54-Jähriger, dem zuvor schon zweimal ein rektaler Fremdkörper operativ entfernt werden musste (Gurke und Pastinak), starb an einer Bauchfellentzündung (Peritonitis), da er nach der vorangegangenen Operation – und vor vollständiger Heilung der Wunde – zwei Äpfel in sein Rektum einführte.[20]
Rektale Fremdkörper durch orale Aufnahme
Der umgekehrte Weg eines Fremdkörpers – orale Aufnahme und Passage durch den gesamten Magen-Darm-Trakt bis ins Rektum – wird zwar sehr oft durchlaufen, ist aber nur selten klinisch relevant. Andere Engstellen wie beispielsweise Speiseröhre, Magenmund, Pylorus und Ileozäkalklappe führen bei ausreichend großen Fremdkörpern auf diesem Weg meist zu Problemen in anderen Organen. Einige Fremdkörper passieren jedoch die auf dem Weg zum Rektum liegenden Engpässe und können im Rektum zu klinisch relevanten Problemen führen. Dazu gehören beispielsweise Zahnstocher und Knochen.[2][4] Speziell bei Knochen, beispielsweise von Hühnern, besteht die Gefahr einer Perforation des Darms. Nahezu die Hälfte aller Perforationen werden durch Knochen verursacht.[47][69]
Auch pflanzliche Nahrungsmittel, speziell Samen wie etwa Popcorn[70] oder auch Wassermelonen-, Sonnenblumen- und Kürbiskerne, können sich im Dickdarm zu Bezoaren zusammenballen, die für eine normale Analpassage zu groß sind und so als rektale Fremdkörper klinisch relevant werden können. Diese Art rektaler Fremdkörper kommt vor allem bei Kindern vor und ist besonders in Nordafrika und im Mittleren Osten klinisch von Bedeutung, wo solche Kerne ein wichtiger Bestandteil des Speiseplans sind.[71][72] In seltenen Fällen können Pflanzensamen aus solchen Bezoaren in Dickdarm und/oder Rektum auskeimen und auch auf diese Weise zu Blockaden führen.[73]
Rektale Fremdkörper in der Tiermedizin
Rektale Fremdkörper kommen in der Tiermedizin selten vor. Eine Fremdkörperpassage durch den gesamten Darm mit anschließendem Verbleib im Rektum ist – analog zur Situation beim Menschen – ein eher seltenes Ereignis.[74] Auch bei Tieren kommen Bezoare aus verschiedenen Materialien vor, die ins Rektum gelangen und dort zu Problemen führen können.[75] Atypische rektale Fremdkörper bei Tieren beiderlei Geschlechts können auch als Folge von sexuell und/oder sadistisch motiviertem Missbrauch auftreten.[76]
Ig-Nobelpreis
Der Ig-Nobelpreis wurde 1995 an David B. Busch und James R. Starling aus Madison (Wisconsin) für ihren 1986 veröffentlichten Artikel Rectal foreign bodies: Case Reports and a Comprehensive Review of the World’s Literature[55] (dt.: „Rektale Fremdkörper: Fallstudien und ein umfassender Überblick über die weltweite Literatur“) verliehen (siehe Liste der Träger des Ig-Nobelpreises).[77]
Weiterführende Literatur
Fachbücher
- E. Stein: Proktologie: Lehrbuch und Atlas. Verlag Springer, 2002, ISBN 3-540-43033-4, S. 329f. eingeschränkte Vorschau in der Google-Buchsuche
Übersichtsartikel
- G. Kasotakis, L. Roediger, S. Mittal: Rectal foreign bodies: A case report and review of the literature. In: International journal of surgery case reports. Band 3, Nummer 3, 2012, S. 111–115, ISSN 2210-2612. doi:10.1016/j.ijscr.2011.11.007. PMID 22288061. PMC 3267241 (freier Volltext).
- J. E. Goldberg, S. R. Steele: Rectal foreign bodies. In: Surgical Clinics of North America. 90, 2010, S. 173–184. doi:10.1016/j.suc.2009.10.004 PMID 20109641
- M. Paynter: Practice makes perfect. Rectal foreign bodies. In: Emerg Nurse. 15, 2008, S. 22–24. PMID 18372783
Originäre Forschung
- R. Flores-Suarez, J. Reyes-del Valle: Images in clinical medicine. A foreign body. In: The New England Journal of Medicine, Band 363, Nummer 18, Oktober 2010, S. 1748, ISSN 1533-4406. doi:10.1056/NEJMicm0707656. PMID 20979475.
- E. J. van der Wouden, B. D. Westerveld: Extraction of a rectal foreign body using a custom-made giant snare. In: Endoscopy, Band 42 Suppl 2, 2010, S. E122, ISSN 1438-8812. doi:10.1055/s-0029-1244009. PMID 20306405.
- D. Song, C. S. Chen u. a.: Nonoperative management for large rectal foreign body removal. In: Colorectal Disease, Band 13, Nummer 6, Juni 2011, S. e163–e164, ISSN 1463-1318. doi:10.1111/j.1463-1318.2010.02408.x. PMID 20846300.
- P. Billi, M. Bassi, F. Ferrara, A. Biscardi, S. Villani, F. Baldoni, N. D’Imperio: Endoscopic removal of a large rectal foreign body using a large balloon dilator: report of a case and description of the technique. In: Endoscopy, Band 42 Suppl 2, 2010, S. E238, ISSN 1438-8812. doi:10.1055/s-0030-1255573. PMID 20931459.
- R. Durai, D. Biradhar, P. C. Ng: Two port laparoscopic-assisted removal of a migrating rectal foreign body. In: Techniques in Coloproctology, Band 14, Nummer 3, September 2010, S. 263–264, ISSN 1128-045X. doi:10.1007/s10151-009-0548-5. PMID 19997954.
- S. Arora, H. Ashrafian, E. D. Smock, P. Ng: Total laparoscopic repair of sigmoid foreign body perforation. In: Journal of laparoendoscopic & advanced surgical techniques. Part A, Band 19, Nummer 3, Juni 2009, S. 401–403, ISSN 1092-6429. doi:10.1089/lap.2008.0242. PMID 19245310.
- C. G. Ball, A. D. Wyrzykowski, P. Sullivan, D. V. Feliciano: Intussuscepted intestine through a rectal foreign body. (PDF; 186 kB) In: Canadian journal of surgery. Journal canadien de chirurgie, Band 52, Nummer 5, Oktober 2009, S. E191–E192, ISSN 1488-2310. PMID 19865554. PMC 2769092 (freier Volltext).
- S. I. Andrabi u. a.: Extraction of a rectal foreign body – an alternative method. In: Ulus Travma Acil Cerrahi Derg., 15, 2009, S. 403–405. PMID 19669974
- Y. I. El-Ashaal, A. K. Al-Olama, F. M. Abu-Zidan: Trans-anal rectal injuries. (PDF; 57 kB) In: Singapore medical journal, Band 49, Nummer 1, Januar 2008, S. 54–56, ISSN 0037-5675. PMID 18204770.
- O. T. Dale, N. A. Smith, R. S. Rampaul: Tube abuse: a rectal foreign body presenting as chest pain. In: ANZ journal of surgery, Band 77, Nummer 12, Dezember 2007, S. 1131–1132, ISSN 1445-1433. doi:10.1111/j.1445-2197.2007.04339.x. PMID 17973680.
- J. P. Lake u. a.: Management of retained colorectal foreign bodies: predictors of operative intervention. In: Dis Colon Rectum, 47, 2004, S. 1694–1698. PMID 15540301
- W. C. Huang, J. K. Jiang, H. S. Wang, S. H. Yang, W. S. Chen, T. C. Lin, J. K. Lin: Retained rectal foreign bodies. In: Journal of the Chinese Medical Association. Band 66, Nummer 10, Oktober 2003, S. 607–612, ISSN 1726-4901. PMID 14703278.
- W. Fabian: Rektumfremdkörper. Diagnostische und therapeutische Aspekte. In: Z Gastroenterol., 29, 1991, S. 131–133. PMID 2058232
- J. R. Colthurst: How to remove a rectal foreign body. In: British journal of hospital medicine. Band 43, Nummer 5, Mai 1990, S. 329, ISSN 0007-1064. PMID 2364225.
- N. K. Cooper: Rectal foreign body of record length? In: The Medical journal of Australia, Band 2, Nummer 13, Dezember 1979, S. 702, ISSN 0025-729X. PMID 530209.
- A. J. Buzzard, B. P. Waxman: A long standing, much travelled rectal foreign body. In: The Medical journal of Australia, Band 1, Nummer 13, Juni 1979, S. 600, ISSN 0025-729X. PMID 492002.
- J. E. Barone u. a.: Perforations and foreign bodies of the rectum: report of 28 cases. In: Ann Surg., 184, 1976, S. 601–604. PMID 984928, PMC 1345490 (freier Volltext).
- D. Smith: Rectal Foreign Body. In: California and western medicine. Band 51, Nummer 5, November 1939, S. 329, ISSN 0093-4038. PMID 18745388. PMC 1660156 (freier Volltext).
- H. G. Pretty: An ink bottle in the rectum. In: Can Med Assoc J., 31, 1934, S. 302–303. PMID 20319640, PMC 403532 (freier Volltext).
- W. F. Gillespie: A vaseline bottle in the rectum. In: Can Med Assoc J., 31, 1934, S. 302. PMID 20319639, PMC 403531 (freier Volltext).
- Sturz in die Kiste. In: Der Spiegel. Nr. 41, 1991, S. 317–320 (online).
Weblinks
- Röntgenaufnahmen verschiedener rektaler Fremdkörper bei der Charité
- Tanja Walter: Verschluckt, geschoben und verloren – Was Ärzte im Körper von Menschen finden. RP Online, 29. September 2015
Einzelnachweise
- ↑ A. A. Ayantunde, T. Oke: A review of gastrointestinal foreign bodies. In: Int J Clin Pract 60, 2006, S. 735–739. PMID 16805760 (Review)
- ↑ a b M. T. Smith, R. K. Wong: Foreign bodies. In: Gastrointest Endosc Clin N Am 17, 2007, S. 361–382. PMID 17556153 (Review)
- ↑ B. B. Pandey u. a.: Embolic stroke complicating Staphylococcus aureus endocarditis circumstantially linked to rectal trauma from foreign body: a first case report. In: BMC Infectious Diseases 5, 2005, 42. doi:10.1186/1471-2334-5-42 (Open Access) PMID 15921523.
- ↑ a b c D. W. Munter: Foreign Bodies, Rectum. Vom 28. September 2009, abgerufen am 15. April 2010.
- ↑ N. Manimaran, M. Shorafa, J. Eccersley: Blow as well as pull: an innovative technique for dealing with a rectal foreign body. In: Colorectal disease: the official journal of the Association of Coloproctology of Great Britain and Ireland Band 11, Nummer 3, März 2009, S. 325–326, ISSN 1463-1318. doi:10.1111/j.1463-1318.2008.01653.x. PMID 18662236.
- ↑ D. L. Clarke u. a.: Colorectal foreign bodies. In: Colorectal Dis 7, 2005, S. 98–103. PMID 15606596
- ↑ L. B. Stack, D. W. Munter: Foreign bodies in the gastrointestinal tract. In: Emerg Med Clin North Am 14, 1996, S. 493–521. PMID 8681881 (Review)
- ↑ M. A. Kurer, C. Davey, S. Khan, S. Chintapatla: Colorectal foreign bodies: a systematic review. In: Colorectal disease: the official journal of the Association of Coloproctology of Great Britain and Ireland Band 12, Nummer 9, September 2010, S. 851–861, ISSN 1463-1318. doi:10.1111/j.1463-1318.2009.02109.x. PMID 19895597 (Review).
- ↑ a b S. A. Khan u. a.: Munchausen’s syndrome presenting as rectal foreign body insertion: a case report. In: Cases J 1, 2008, 243. PMID 18925957 (Open Access)
- ↑ J. S. Haft, H. B. Benjamin: Foreign bodies in the rectum: some psychosexual aspects. In: Medical Aspects of Human Sexuality 7, 1973, S. 74–95.
- ↑ a b c d e f g H. Messmann: Lehratlas der Koloskopie. Georg Thieme Verlag, 2004, ISBN 3-13-136441-6, S. 219. ISGN eingeschränkte Vorschau in der Google-Buchsuche
- ↑ M. C. Laitenberger: Klinische und rechtsmedizinische Aspekte des intestinalen Rauschmitteltransportes in Hamburg 1989 bis 2004. Dissertation, Universität Hamburg, 2005.
- ↑ a b J. S. Cohen und J. M. Sackier: Management of colorectal foreign bodies. In: J Roy Coll Surg Edin 41, 1996, S. 312–315. PMID 8908954.
- ↑ V. Stenz u. a.: Fremdkörpergeschichten. In: Ther Umsch 65, 2008, S. 699–702. PMID 19048523
- ↑ M. Kumar: Don’t forget your toothbrush! In: British dental journal Band 191, Nummer 1, Juli 2001, S. 27–28, ISSN 0007-0610. doi:10.1038/sj.bdj.4801082a. PMID 11491473.
- ↑ F. Nuschler u. a.: Bericht über die internationale Folterforschung. ( vom 19. Juli 2011 im Internet Archive) (PDF; 4,6 MB) Universität Duisburg, 1992.
- ↑ B. Azman, B. Erku, B. H. Güvenç: Balloon extraction of a retained rectal foreign body under fluoroscopy, case report and review. In: Pediatric emergency care Band 25, Nummer 5, Mai 2009, S. 345–347, ISSN 1535-1815. doi:10.1097/PEC.0b013e3181a3494f. PMID 19444034.
- ↑ a b c d e J. E. Barone u. a.: Perforations and foreign bodies of the rectum: report of 28 cases. In: Ann Surg 184, 1976, S. 601–604. PMID 984928, PMC 1345490 (freier Volltext).
- ↑ Siu Fai Lo et al.: Traumatic rectal perforation by an eel. In: Surgery, 135.1, 2004, S. 110–111.
- ↑ a b c d Sturz in die Kiste. In: Der Spiegel. Nr. 41, 1991, S. 317–320 (online).
- ↑ Französische Klinik evakuiert: 88-Jähriger kommt mit Granate im Rektum ins Krankenhaus. In: Der Spiegel. 21. Dezember 2022, ISSN 2195-1349 (spiegel.de [abgerufen am 21. Dezember 2022]).
- ↑ P. J. Stephens, M. L. Taff: Rectal impaction following enema with concrete mix. In: Am J Forensic Med Pathol 8, 1987, S. 179–182. PMID 3649167.
- ↑ A. G. Butters: An unusual rectal injury. In: Br Med J 2, 1955, S. 602–603. PMID 13240191, PMC 1980742 (freier Volltext).
- ↑ a b c R. P. Mackinnon, G. Fulde: Removing rectal foreign bodies: is the ventouse gender specific? ( vom 18. Februar 2012 im Internet Archive) In: Med J Aust 169, 1998, S. 670–671. PMID 9887927
- ↑ E. Stein: Proktologie: Lehrbuch und Atlas. Verlag Springer, 2002, ISBN 3-540-43033-4, S. 329f. eingeschränkte Vorschau in der Google-Buchsuche
- ↑ a b A. T. R. Axon und M. Classen: Gastroenterologische Endoskopie. Georg Thieme Verlag, 2004, ISBN 3-13-132401-5, S. 400–401. eingeschränkte Vorschau in der Google-Buchsuche
- ↑ D. Hartmann u. a.: Notfallendoskopie – Update. In: Gastroenterologie up2date 5, 2009, S. 321–334. doi:10.1055/s-0029-1215318.
- ↑ a b c d e f W. C. Huang u. a.: Retained rectal foreign bodies. In: J Chin Med Assoc, 66, 2003, S. 607–612. PMID 14703278
- ↑ a b c T. N. Peet: Removal of impacted rectal foreign body with obstetric forceps. In: British Medical Journal 1976, S. 500–501. PMID 1252815, PMC 1638849 (freier Volltext).
- ↑ a b S. O. Johnson und T. H. Hartranft: Nonsurgical removal of a rectal foreign body using a vacuum extractor. Report of a case. In: Dis Colon Rectum 39, 1996, S. 935–937. PMID 8756851.
- ↑ H. Bailey und J. Love: A short textbook of surgery. A. J. H. Rains und H. D. Ritchie (Herausgeber), 16. Auflage. Verlag Lewis, 1975, S. 1013.
- ↑ a b J. Glaser u. a.: Unusual rectum foreign body: Treatment using argon-beam coagulation. In: Endoscopy 29, 1997, S. 230–231. doi:10.1055/s-2007-1004178. PMID 9201486.
- ↑ a b c J. J. Koornstra und R. K. Weersma: Management of rectal foreign bodies: description of a new technique and clinical practice guidelines. ( vom 19. September 2008 im Internet Archive) In: World J Gastroenterol 14, 2008, S. 4403–4406. PMID 18666334
- ↑ R. M. Richter und L. M. Littman: Endoscopic extraction of an unusual colonic foreign body. In: Gastrointest Endosc 22, 1975, S. 40. PMID 1205104.
- ↑ L. Wolf und K. Geraci: Colonscopic removal of balloons from the bowel. In: Gastrointest Endosc 24, 1977, S. 41. PMID 892400.
- ↑ P. R. Tarnasky u. a.: Colonoscopic diagnosis and treatment of chronic chicken bone perforation of the sigmoid colon. In: Gastrointest Endosc 40, 1994, S. 373–375. PMID 8056249.
- ↑ H. H. Over u. a.: Toothpick impaction: treatment by colonoscopy. In: Endoscopy 29, 1997, S. S60–S61. PMID 9476787.
- ↑ J. P. Hughes u. a.: Method of removing a hollow object from the rectum. In: Dis Colon Rectum 19, 1976, S. 44–45. PMID 1248348.
- ↑ a b c J. C. Kantarian u. a.: Endoscopic retrieval of foreign bodies from the rectum. In: Dis Colon Rectum 30, 1987, S. 902–904. PMID 3677968.
- ↑ N. R. Vemula u. a.: Colonoscopic removal of a foreign body causing colocutaneous fistulas. In: Gastrointest Endosc 28, 1982, S. 195–196. PMID 7129050.
- ↑ A. Ahmed und S. A. Cummings: Novel endoscopic approach for removal of a rectal foreign body. In: Gastrointest Endosc 50, 1999, S. 872–874 PMID 10570362.
- ↑ D. Humes und D. N. Lobo: Removal of a rectal foreign body by using a Foley catheter passed through a rigid sigmoidoscope. In: Gastrointest Endosc 62, 2005, S. 610. PMID 16185979.
- ↑ S. Feigelson u. a.: Removal of a large spherical foreign object from the rectum using an obstetric vacuum device: a case report. In: Am Surg 73, 2007, S. 304–306. PMID 17375796.
- ↑ J. S. Haft u. a.: Vaginal vibrator lodged in rectum. In: Br Med J 1, 1976, S. 626. PMID 1252853, PMC 1639058 (freier Volltext).
- ↑ S. E: Levin u. a.: The use of a curved uterine vulsellum for removal of rectal foreign bodies: Report of a case. In: Diseases of the Colon & Rectum 20, 1977, S. 532–533. PMID 902553.
- ↑ D. Siroospour und L. R. Dragstedt: A large foreign body removed through the intact anus: report of a case. In: Dis Colon Rectum 18, 1975, S. 616–619. PMID 1181166.
- ↑ a b D. H. Davies: A chicken bone in the rectum. In: Arch Emerg Med 8, 1991, S. 62–64. PMID 1854398, PMC 1285738 (freier Volltext).
- ↑ M. M. Aquino und J. W. Turner: A simple technique for removing an impacted aerosol-can cap from the rectum. In: Dis Colon Rectum 29, 1986, S. 675. PMID 3757713
- ↑ C. J. Couch u. a.: Rectal foreign bodies. In: Med J Aust 144, 1986, S. 512–515. PMID 3713565
- ↑ R. W. Graves u. a.: Anal eroticism: two unusual rectal foreign bodies and their removal. In: South Med J 76, 1983, S. 677–678. PMID 6844979
- ↑ H. I. Garber u. a.: Removal of a glass foreign body from the rectum. In: Dis Colon Rectum 24, 1981, S. 323. PMID 7238244
- ↑ H. Sharma u. a.: A novel technique for nonoperative removal of round rectal foreign bodies. In: Tech Coloproctol 11, 2007, S. 58–59. PMID 17357869.
- ↑ M. Yaman u. a.: Foreign bodies in the rectum. In: Can J Surg 36, 1993, S. 173–177. PMID 8472230.
- ↑ V. S. Diwan: Removal of 100-watt electric bulb from rectum. In: Ann Emerg Med 11, 1982, S. 643–644. PMID 7137678
- ↑ a b D. B. Busch und J. R. Starling: Rectal foreign bodies: Case Reports and a Comprehensive Review of the World’s Literature. In: Surgery 100, 1986, S. 512–519. PMID 3738771
- ↑ A. A. Jansen: Foreign body in the rectum. In: N Z Med J 70, 1969, S. 174–175. PMID 5259744
- ↑ R. L. Wigle: Emergency department management of retained rectal foreign bodies. In: Am J Emerg Med 6, 1988, S. 385–389. PMID 3291887 (Review)
- ↑ J. E. Losanoff und K. T. Kjossev: Rectal "oven mitt": the importance of considering a serious underlying injury. In: J Emerg Med 17, 1999, S. 31–33. PMID 9950383
- ↑ C. J. Coulson u. a.: Extraction of a rectal foreign body using an electromagnet. In: International Journal of Colorectal Disease 20, 2005, S. 194–195. PMID 15322838.
- ↑ M. G. Vashist u. a.: Screwing a carrot out of the rectum. In: Indian J Gastroenterol 16, 1997, S. 120. PMID 9248200.
- ↑ a b S. Nivatvongs u. a.: A simple technique to remove a large object from the rectum. In: J Am Coll Surg 203, 2006, S. 132–133. PMID 16798498.
- ↑ S. Gopal: A bottle in the rectum. In: J Indian Med Assoc 62, 1974, S. 24–25. PMID 4839771.
- ↑ S. K. Clark und N. D. Karanjia: A cork in a bottle – a simple technique for removal of a rectal foreign body. In: Ann R Coll Surg Engl 85, 2003, S. 282. PMID 12908471, PMC 1964392 (freier Volltext).
- ↑ T. Konishi u. a.: Impaction of a rectal foreign body: what is the final approach before surgery? In: Dis Colon Rectum 50, 2007, S. 262–263. PMID 17164965.
- ↑ J. Ruiz del Castillo u. a.: Colorectal trauma caused by foreign bodies introduced during sexual activity: diagnosis and management. In: Rev Esp Enferm Dig 93, 2001, S. 631–634. PMID 11767487 (Review)
- ↑ N. Ikeda u. a.: Homicide by rectal insertion of a walking stick. In: Nihon Hoigaku Zasshi. Band 45, 1991, S. 341–344. PMID 1766149
- ↑ N. G. Waraich u. a.: Vibrator-induced fatal rectal perforation. In: New Zealand Medical Journal. Band 120, 2007, S. U2685. PMID 1772649.
- ↑ R. W. Byard u. a.: Unusual fatal mechanisms in nonasphyxial autoerotic death. In: Am Journal of Forensic Medical Pathology. Band 21, 2000, S. 65–68. PMID 10739230
- ↑ J. E. Manus: Perforation of the intestine by ingested foreign bodies. In: The American Journal of Surgery 53, 1941, S. 392–397.
- ↑ R. J. Roberge u. a.: Popcorn primary colonic phytobezoar. In: Ann Emerg Med 17, 1988, S. 77–79. PMID 3337421
- ↑ A. Eitan u. a.: Fecal impaction in children: report of 53 cases of rectal seed bezoars. In: J Pediatr Surg 42, 2007, S. 1114–1117. PMID 17560231, doi:10.1016/j.jpedsurg.2007.01.048.
- ↑ M. S. Mirza u. a.: Rectal bezoars due to pumpkin seeds. In: Trop Doct 39, 2009, S. 54–55. PMID 19211433.
- ↑ F. Mahjoub u. a.: Invading plant material appearing as a colonic tumoural mass in a four-year-old girl. In: Trop Doct 39, 2009, S. 253–254. PMID 19762589.
- ↑ C. B. Webb u. a.: Rectal strictures in 19 dogs: 1997–2005. In: JAVMA. Band 43, 2007, S. 332–336. PMID 17975215.
- ↑ N. D. Sargison u. a.: Intestinal obstruction in a blue-faced Leicester ram associated with a phytobezoar lodged at the pelvic inlet. In: Veterinary Record. Band 137, 1995, S. 222. PMID 7502475.
- ↑ H. M. C. Munro, M. V. Thrusfield: "Battered Pets": Sexual Abuse. ( des vom 6. Dezember 2010 im Internet Archive) Info: Der Archivlink wurde automatisch eingesetzt und noch nicht geprüft. Bitte prüfe Original- und Archivlink gemäß Anleitung und entferne dann diesen Hinweis. (PDF) In: Journal of Small Animal Practice. Band 42, 2001, S. 333–337. PMID 11480898
- ↑ Improbable Research: Winners of the Ig® Nobel Prize. Abgerufen am 24. April 2010.