Fremdkörper
Ein Fremdkörper (lateinisch corpus alienum) ist ein fester, einem Organismus fremder Körper, der von außen her in die Gewebe oder Hohlorgane des menschlichen oder eines tierischen Körpers gelangt ist. Die Art der Fremdkörper ist sehr vielfältig und reicht von Staub und Haaren über Murmeln und Geldstücke bis zu vergessenen Scheren und Tüchern (Gossypibom) im Gewebe nach einer Operation.
Fremdkörper im Gewebe
Am häufigsten dringen Fremdkörper in das Gewebe durch Wunden ein. Sind sie keimfrei, so können sie einheilen und werden vom Körper in einer bindegewebigen Schale abgekapselt. Sind sie dagegen mit körperfeindlichen Substanzen oder Keimen behaftet, so werden sie durch Eitern ausgestoßen oder müssen gar operativ entfernt werden. Dazu werden oft speziell hierfür entwickelte Geräte verwendet, beispielsweise die Fremdkörperzange nach Hartmann.
Fremdkörper in Hohlorganen



In Hohlorgane (durch Mund, Nase, Ohr, After etc.) gelangen Fremdkörper meist durch Unachtsamkeit oder Spielerei.
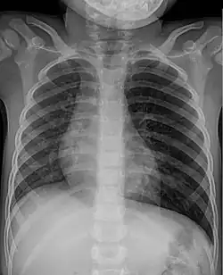
Verschluckte Fremdkörper
Knochensplitter oder Fischgräten können nach dem Verschlucken in die Schleimhaut des Schlunds oder der Speiseröhre eingespießt werden und dort zu Entzündungen führen. Verschluckte Fremdkörper, die in den Magen gelangt sind, gehen je nach Größe meist auf natürlichem Wege wieder ab. Bezoare (Trichobezoare, etwa eigene Haargeschwülste beim Menschen, und bei Tieren aus Pflanzenfasern gebildete Phytobezoare) können als Fremdkörper die Magen-Darm-Passage behindern.[1] Bei Knopfzellen wird die Entfernung aus dem Magen empfohlen, da eine Zerstörung der Hülle durch die Magensäure und ein Freiwerden giftigen Inhalts befürchtet werden muss. Grundsätzlich ist eine Entfernung bis in den oberen Dünndarm mittels Endoskopie möglich.
Zu versehentlich verschluckten Fremdkörpern, die nicht selten zu gastrointestinalen Perforationen führen, gehören Zahnstocher, Knochen, sowie Holzstäbchen von Rollmöpsen und Rouladen.[2]
Magnetische Fremdkörper: Wenn magnetische Kleinteile (z. B. aus einem Magnetbaukasten) verschluckt werden, besteht die Gefahr, dass sich diese aufgrund ihrer Anziehung zueinander oder zu einem anderen verschluckten Eisenteil festsetzen. Ein normaler Abtransport ist dann oft nicht möglich. Es kann auch zur Anziehung von zwei Magnetteilen in zwei verschiedenen Darmschlingen kommen, so dass es dazwischen zu einer Druckschädigung des Darmes in kurzer Zeit letztlich mit Darmperforation desselben kommt. Daher wird eine gesondertes Vorgehen bei Verschlucken von mehr als einem magnetischen Fremdkörper empfohlen, was in vielen Fällen auch die operative Entfernung der Magnete einschließt.[3][4]
Fremdkörper in anderen Körperhöhlen
Aus Ohr und Nase sollten Fremdkörper wegen der Gefahr von Nebenverletzungen (Durchtrennung des Trommelfells etc.) nur durch einen Arzt entfernt werden. Fremdkörper am Auge, die sich unter dem Lid befinden, entfernt man durch Ektropionieren des oberen oder unteren Augenlids.
Übertragene Bedeutung
Als Fremdkörper bezeichnet man oft auch jemanden, der von einer Gruppe als störend empfunden wird oder sich selbst als störend betrachtet (siehe dazu auch Außenseiter und Mobbing). Auch eine Sache, die in einem Zusammenhang als störend gilt, wird manchmal als Fremdkörper bezeichnet. So gelten unpassende Ausdrücke in einem ansonsten einheitlichen schriftlichen Werk als Fremdkörper.
Literatur
- T. B. Hunter, M. S. Taljanovic: Foreign bodies. In: Radiographics. Band 23, Nummer 3, 2003 May-Jun, S. 731–757, ISSN 0271-5333. PMID 12740473. (Review).
- M Capello: Swallow: Foreign Bodies, Their Ingestion, Inspiration, and the Curious Doctor Who Extracted Them. New Press, 2010, ISBN 1-59558-395-5.
- S. Chaney: Curious appetites: surgery and the foreign body. In: The Lancet. 380, 2012, S. 1050–1051, doi:10.1016/S0140-6736(12)61589-X.
- Chr. Hoffstadt, F. Peschke, A. Schulz-Buchta u. M. Nagenborg (Hrsg.): Der Fremdkörper. Projekt Verlag, Bochum/Freiburg 2008, ISBN 978-3-89733-189-1.
- G. Pott und J. Pongratz: Fremdkörper im Verdauungstrakt – Alltagserfahrungen, Abteilung für Innere Medizin und Gastroenterologie, Marienkrankenhaus Nordhorn, in: Verdauungskrankheiten, Jahrgang 24 – Januar/Februar 2006, S. 35–39.
- P. Ambe, S. A. Weber, M. Schauer, W. T. Knoefel: Verschluckte Fremdkörper bei Erwachsenen. In: Deutsches Ärzteblatt. 2012; 109(50): S. 869–75, doi:10.3238/arztebl.2012.0869
Weblinks
Einzelnachweise
- ↑ Hans von Haberer: Lebenswichtige, dringliche Operationen in der Bauchhöhle! In: Münchener Medizinische Wochenschrift. Band 95, Nr. 1, 2. Januar 1953, S. 61–69, hier: S. 647.
- ↑ Wie ein Zahnstocher zum lebensgefährlichen Risiko werden kann. In: aerzteblatt.de
- ↑ S. Löwenstein, J. L. Koltai, M. Jainsch, G. Jergl: Komplikationen durch Ingestion von magnetischen Fremdkoerpern. In: Monatsschrift Kinderheilkunde. Band 155, 2007, S. S39–S41. doi:10.1007/s00112-005-1238-7.
- ↑ Das Ministerium für Arbeit, Gesundheit und Soziales NRW: Verschluckte Magnete können zum Tod führen ( des vom 19. Juli 2017 im Internet Archive) Info: Der Archivlink wurde automatisch eingesetzt und noch nicht geprüft. Bitte prüfe Original- und Archivlink gemäß Anleitung und entferne dann diesen Hinweis.