Fluorose
Eine Fluorose entsteht durch eine chronische, also eine längere Zeit andauernde zu hohe Fluoridzufuhr.[1] Dies kann zur negativen Folgeerscheinungen wie einer Skelettfluorose oder Dental- bzw. Zahnfluorose führen.
Ursache der Fluorose
Als schwach dissoziiertes Molekül wird Fluorwasserstoff leicht durch die Haut aufgenommen. Es kommt zu schmerzhaften Entzündungen, später zu hartnäckigen, schlecht abheilenden Geschwüren.[2] Außerdem bildet Fluorwasserstoff HF starke Wasserstoffbrückenbindungen aus und ist so in der Lage, die Tertiärstruktur von Proteinen zu verändern.[3] Mit Aluminium-Ionen bildet Fluorid Fluoridoaluminat-Komplexe, die eine Phosphat-analoge Struktur haben und so zur Deregulierung von G-Proteinen beitragen.[4] Resultat ist ein Eingriff in die rezeptorgekoppelte Signalübertragung und – via signalabhängiger Phosphorylierung/Dephosphorylierung – in die Aktivität vieler Enzyme. Bekanntestes Beispiel für eine Enzym-Hemmung durch Fluorid ist Enolase, ein Enzym der Glykolysekette.
Die hochtoxischen Fluoracetate und Fluoracetamid werden nach der Resorption zu Fluorcitrat metabolisiert. Diese Verbindung führt zur Blockade des für den Citratzyklus wichtigen Enzyms Aconitase. Dies bewirkt eine Anreicherung von Citrat im Blut, was wiederum die Körperzellen von der Energiezufuhr abschneidet.[5] Perfluorierte Alkane, die als Blutersatzstoffe in der Erprobung sind, und die handelsüblichen Fluorcarbone, wie PTFE (Teflon), PVDF oder PFA gelten als ungiftig.
Das schwerlösliche Calciumfluorid, das sich bei der Reaktion mit Calcium – etwa in den Knochen – bildet, wurde früher für inert und daher harmlos gehalten. Zumindest die Stäube von Calciumfluorid haben sich jedoch sowohl im Tierversuch als auch beim Menschen als toxisch erwiesen.[6][7][8][9][10] Ob in vivo bei akuter Fluoridvergiftung tatsächlich schwerlösliches Calciumfluorid gebildet wird, wie so oft vermutet, konnte im Rahmen gezielter Untersuchungen nicht bewiesen werden.[11]
Formen der Fluorose
Knochenfluorose (Skelettfluorose)
| Klassifikation nach ICD-10 | |
|---|---|
| M85.1 | Skelettfluorose |
| ICD-10 online (WHO-Version 2019) | |
| Klassifikation nach ICD-11 | |
|---|---|
| FB80.1 | Skelettfluorose |
| ICD-11: Englisch • Deutsch (Entwurf) | |
Werden chronisch mehr als 10 mg Fluorid pro Tag über einen langen Zeitraum (ca. 10 Jahre) aufgenommen,[1] reagieren die Knochen mit Ausbildung einer verhärteten und verdichteten Spongiosa und teilweisen Verdickung der Kortikalis (äußere Knochenschicht). Dennoch besitzen erst schwere Knochenfluorosen einen Krankheitswert; sie entstehen bei einer systemischen und langjährigen Aufnahme hoher Dosen Fluorid (20–80 mg täglich über 10–20 Jahre).[1] Diese äußert sich in einer knöchernen Verengung des Wirbelkanals und einem (teilweisen) Verlust des Tastsinns.
Beobachtet wurden Knochenfluorosen zuerst bei Rindern, die sich von Grünfutter mit Staubablagerungen aus Schornsteinen fluoridverarbeitender Fabriken ernährten, dann (1932) auch an Arbeitern in der Kryolithverarbeitung (bspw. in der Aluminiumherstellung).
Die fünfte Verordnung über Ausdehnung der Unfallversicherung auf Berufskrankheiten nach dem Stand vom 16. Juli 1952 nahm unter Ziffer 31 die Erkrankungen der Knochen, Gelenke und Bänder durch Fluorverbindungen (Fluorose) in die Reihe der entschädigungspflichtigen Berufskrankheiten auf.[12] In einem späteren System wurden unter Bk Nr. 1308 Erkrankungen durch Fluor oder seine Verbindungen zusammengefasst.[13]
Seit den späten dreißiger Jahren wurde Skelettfluorose auch in Indien und in Bahrein beschrieben, in Orten, deren Trinkwasser 1 mg Fluorid je Liter (und mehr) enthält. Das Phänomen tritt hier wegen des höheren Wasserkonsums (klimabedingt) schon bei relativ niedrigen Fluoridkonzentrationen des Wassers auf.[14] In den USA – selbst in Gemeinden mit sehr hohen natürlichen Fluoridmengen im Trinkwasser (bis zu 10ppm) – wurden nie diesbezügliche Gesundheitsprobleme geschildert.[1]
Fluorosebedingte Skeletterkrankungen lassen sich schwer von altersbedingten Verschleißerkrankungen abgrenzen.[15]
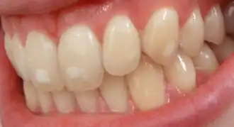
Zahnfluorose
.png)
Zahnfluorose, auch Dentalfluorose genannt, ist das einzig sichtbare Symptom, das aus einer zu hohen Fluoridaufnahme während der Zahnentwicklung resultiert.
Historie der Fluorose-Forschung
Frederick Sumner McKay forschte 30 Jahre lang, um die Ursache der Zahnfluorose (Dentalfluorose) herauszufinden.
Weblinks
Einzelnachweise
- ↑ a b c d Jean-Francois Roulet, Susanne Fath, Stefan Zimmer: Zahnmedizinische Prophylaxe: Lehrbuch und Praxisleitfaden. 5. Auflage. Elsevier Health Sciences, 2017, ISBN 978-3-437-18744-5, S. 139 (eingeschränkte Vorschau in der Google-Buchsuche [abgerufen am 26. Juli 2018]).
- ↑ W. Forth et al.: Allgemeine und spezielle Pharmakologie und Toxikologie. 8. Auflage. Urban & Fischer, München 2001, ISBN 3-437-42520-X.
- ↑ S. L. Edwards et al.: The crystal structure of fluoride-inhibited cytochrome c peroxidase. In: Journal of Biological Chemistry. Band 259, Nr. 21, 1984, S. 12984–12988 (PDF).
- ↑ A. Lubkowska et al.: Interactions between fluorine and aluminium. In: Fluoride. Band 35, Nr. 2, 2002, S. 73–77 (PDF).
- ↑ A. T. Proudfoot et al.: Sodium Fluoroacetate Poisoning. In: Toxicological Reviews. Band 25, Nr. 4, 2006, S. 213–219, PMID 17288493.
- ↑ K. G. Schmidt: Welche Stäube in der keramischen und Glas-Industrie sind gesundheitsschädlich? In: Ber. dtsch. Keram. Ges. 31, 1954, S. 355.
- ↑ E. J. King et al.: Tissue reactions produced by calcium fluoride in the lungs of rats. In: British Journal of Industrial Medicine. Band 15, Nr. 3, 1958, S. 168–171, PMID 13596534.
- ↑ J. Hilfenhaus et al.: Hämolyse von Säugererythrozyten durch Flußspat. In: Arch. Hyg. Nr. 153, 1969, S. 109.
- ↑ Elliott Leyton: Dying Hard. The Ravages of Industrial Carnage. McClelland and Stewart, Toronto 1975, ISBN 0-7710-5304-5 (Nachdruck 1990; berichtet über Schicksale von Flußspatarbeitern).
- ↑ R. Rennie: The dirt. Industrial disease and conflict at St. Lawrence, Newfoundland. Fernwood Publishing, 2008, ISBN 978-1-55266-259-5.
- ↑ K. Müller: Zur Therapie der Flußsäure-Verätzung anhand eines neuen Tierexperimentellen Modells unter besonderer Berücksichtigung allgemeiner und methodischer Probleme. Inaug. Diss., Gießen 1976.
- ↑ M. Bauer: Die entschädigungspflichtigen Berufskrankheiten, in Arbeit und Gesundheit. Sozialmedizinische Schriftenreihe aus dem Gebiete des Bundesministeriums für Arbeit, Neue Folge Heft 50, Georg Thieme Verlag, Stuttgart 1953
- ↑ Liste der Berufskrankheiten. (PDF) In: Deutsche Gesellschaft für Arbeitsmedizin und Umweltmedizin. 10. Juli 2017, abgerufen am 17. Oktober 2021.
- ↑ Carl Joachim Wirth, Ludwig Zichner: Orthopädie und orthopädische Chirurgie. Georg Thieme Verlag, 2003, ISBN 978-3-13-126171-7, S. 154– (google.de).
- ↑ Madhuri S Kurdi: Chronic fluorosis: The disease and its anaesthetic implications. In: Indian Journal of Anaesthesia. Band 60, Nr. 3, März 2016, ISSN 0019-5049, S. 157–162, doi:10.4103/0019-5049.177867, PMID 27053777, PMC 4800930 (freier Volltext).