Harnblase


Die Harnblase, lateinisch Vesica urinaria (altgriechisch κύστις kýstis, daher Fachbegriffe auf Cyst-), ist als Teil des Harntrakts ein Organ bei Tieren und Menschen, in dem der Urin zwischengespeichert wird. Sie ermöglicht, den Harn willentlich und nur von Zeit zu Zeit abzugeben, weil aus der Niere ununterbrochen Harn abfließt. Das muskuläre, von Urothel ausgekleidete Hohlorgan liegt beim Menschen relativ gut geschützt im kleinen Becken.
Der Urin gelangt bei den Wirbeltieren von den Nieren über den Harnleiter (Ureter) in die Harnblase. Beim Entleeren werden die Schließmuskeln am Blasenboden entspannt, so dass der Urin über die Harnröhre (Urethra) ausgeschieden werden kann.
Bei Männern tritt bei etwa 350–750 ml Füllmenge starker Harndrang ein, bei Frauen bei 250–550 ml.[1] In Abhängigkeit von äußeren und inneren Reizen kann es auch schon bei deutlich geringerer Füllung zu Harndrang oder auch zu unwillkürlicher Entleerung kommen. Das maximale Fassungsvermögen der Harnblase (Blasenkapazität) beträgt beim erwachsenen Menschen je nach Körpergröße zwischen 900 und 1500 ml.
Säugetiere
Anatomie

Die Harnblase ist ein Hohlorgan, das beim Menschen auf dem Beckenboden aufliegt. Es befindet sich direkt hinter der Schambeinfuge, vor der Vagina bei Frauen bzw. dem Mastdarm bei Männern, wobei es bei Frauen etwas kaudaler (niedriger) liegt. Nach oben erstreckt sich die Harnblase bis zur Oberkante des Beckens. Mit zunehmender Füllung kann sie bis zum Bauchnabel reichen.
Ihre Vorderseite heißt Apex, der Raum zwischen Schambein und Blasenvorderwand (Spatium retropubicum) „Cavum Retzii“;[2] die posteroinferiore (untere hintere) Seite Fundus. Der Blasenhals (die Cervix vesicae) befindet sich bei Primaten (und damit auch beim Menschen) auf der Unterseite, bei anderen Tieren an der Hinterseite und führt zur Harnröhre.
Die Harnblase empfängt auf ihrer hinteren unteren Seite die paarigen Harnleiter (Ureter) von den beiden Nieren. Die Harnleiter verlaufen über eine kurze Distanz innerhalb der Blasenwand, so dass sie bei stärkerer Füllung der Harnblase abknicken, so dass der Rückfluss (physiologisch generell) verhindert wird. Außerdem werden die Ureter durch die Kontraktion der glatten Muskulatur in der Blasenwand beim Harnlassen zusammengedrückt. Dies wirkt ebenso dem Rückfließen des Urins entgegen.
Das Trigonum vesicae ist die dreieckige Fläche, die von Eingängen der beiden Harnleiter und vom Ausgang der Harnröhre gebildet wird. Das Trigonum vesicae dient außerdem bei einer endoskopischen Untersuchung dem Arzt als Orientierung zum schnelleren Auffinden der Uretermündungen.
Die Harnblase besitzt an ihrem Ausgang zwei Schließmuskeln (Blasensphinkter), einen inneren und einen äußeren. Der innere besteht aus glatter Muskulatur und unterliegt der Kontrolle des vegetativen Nervensystems, was bedeutet, dass er nicht willentlich gesteuert werden kann. Der äußere Schließmuskel Musculus urethralis ist ein ringförmiger Skelettmuskel, der bewusst gesteuert werden kann.
Neben der Einbettung der Harnröhre in den Beckenboden wird die Harnblase über drei Bauchfellfalten (Serosa-Duplikaturen) befestigt. Von der Seitenwand der Harnblase zieht beidseits ein seitliches Harnblasenband (Ligamentum vesicae laterale), von der Bauchseite das mittlere Harnblasenband (Ligamentum vesicae medianum) zur Innenwand der Bauchhöhle. Das mediane (mittlere) Band ist ein Überbleibsel des Urachus. In den seitlichen Harnblasenbändern verläuft jeweils ein rundlicher Strang, das runde Harnblasenband (Ligamentum teres vesicae), das den Überrest der verschlossenen Nabelarterie (Arteria umbilicalis) darstellt. Alle drei Bänder laufen nach dem Verlassen des kleinen Beckens als Teil des Peritoneum parietale anterior zum Bauchnabel.
Blutversorgung
Die Blutversorgung der Harnblase erfolgt durch die Arteriae vesicales superiores (obere Blasenarterien, bei Tieren ist dies die vordere Blasenarterie Arteria vesicalis cranialis), einer Fortführung der Nabelarterie (Arteria umbilicalis), die ihrerseits aus der Arteria iliaca interna entspringt. Weiterhin wird sie durch die Arteria vesicalis inferior (untere Blasenarterie, bei Tieren ist dies die hintere Blasenarterie Arteria vesicalis caudalis), einen Ast der Arteria iliaca interna versorgt. Bei Frauen gelangt auch Blut von der Arteria vaginalis (Scheidenarterie), einem Ast der Arteria uterina (Gebärmutterarterie) zur Harnblase.
Der Blutabfluss erfolgt durch den Plexus venosus vesicalis (Blasenvenengeflecht), bei Männern auch durch den Plexus venosus prostaticus (Venengeflecht der Prostata), die in die Vena iliaca interna münden.
Innervation
Die funktionelle Innervation der Harnblase erfolgt durch das vegetative Nervensystem. Dieses unterliegt nicht der bewussten Kontrolle und wird deshalb auch autonomes Nervensystem genannt. Man unterscheidet zwei Anteile: den Sympathikus, der in Stress-, Angriffs- und Fluchtsituationen aktiv wird, und den Parasympathikus, der in Ruhesituationen aktiv wird und der Regeneration und dem Aufbau körpereigener Reserven dient.
Die sympathische Innervation erfolgt durch Nerven vom Plexus vesicalis et prostaticus, die mit dem Nervus hypogastricus in Verbindung stehen. Sie entspannen den Detrusormuskel und kontrahieren den inneren Schließmuskel. Dies verhindert unwillkürliches Harnlassen.
Die parasympathische Innervation erfolgt durch Nerven, die im sakralen Teil des Rückenmarks (S2–S4) ihren Ursprung nehmen. Sie verursachen die Kontraktion des Detrusormuskels (s. u.) und die Entspannung des inneren Schließmuskels und leiten somit das Harnlassen (Miktion) ein.
Die Innervation des Musculus urethralis erfolgt durch die Nervi perineales (Dammnerven), Äste des Nervus pudendus (Schamnerv).
Feinbau

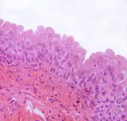
Die Innenwand der Harnblase ist mit Urothel ausgekleidet. Dieses besteht aus vier bis sechs Schichten von Zellen, die ihre Form je nach Füllungszustand der Harnblase verändern. Die innerste Schicht besteht aus großen sogenannten Deckzellen (auch Superfizialzellen von lateinisch superficialis ‚oberflächlich‘), die die unter ihnen liegenden Schichten schirmartig bedecken. Bei leerer Blase sind sie schirmförmig, bei gefüllter Blase flachen sie sich ab. Sie besitzen polyploide (über mehr als zwei Chromosomensätze verfügende) Zellkerne, es gibt auch Zellen mit zwei Kernen. Auf der dem Inneren der Harnblase zugewandten (apikalen) Seite verdichtet sich das Zytoplasma der Deckzellen. Diese Verdichtung ist die Crusta (Kruste), die aus einem dichten Netz aus Intermediär- und Aktinfilamenten besteht. Direkt darunter schließt sich die Intermediärschicht (Übergangsschicht) an. Die Zellen dieser Schicht sind irregulär geformt und besitzen weite Interzellulärspalten. Unter dieser Schicht liegen die basalen Zellen. Diese innerste Schicht wird auch Mucosa genannt.
Die Lamina propria, die sich außen direkt an die Mucosa anschließt, enthält sowohl lockeres als auch straffes Bindegewebe mit kollagenen und elastischen Fasern.
An die Lamina propria schließt sich die Tunica muscularis oder Muskelschicht an. Sie besteht aus glatter Muskulatur, Musculus detrusor vesicae (oder kurz Detrusor, Austreiber), die sich in alle Richtungen erstreckt. Nur am Blasenhals sind drei Schichten erkennbar: eine innere Schicht, in der die glatten Muskeln längs, eine mittlere Schicht, in der sie quer, und eine äußere Schicht, in der sie wiederum längs verlaufen. Die Fasern der inneren Schicht beginnen hinter dem Blasenhals quer um die Harnröhre herumzulaufen. Dort bilden sie den inneren, nicht willentlich steuerbaren Schließmuskel der Harnblase.
Außen wird die Harnblase von der Adventitia bedeckt, einer Deckschicht aus lockerem Bindegewebe, außer an ihrer Oberseite, wo sie vom Peritoneum (Bauchfell) bedeckt wird.
Ontogenetische Entwicklung
Die Harnblase entsteht aus der Kloake des Embryos. Die durch die Kloakenmembran verschlossene Kloake wird als gemeinsamer Ursprung der Harnblase und des Mastdarms in der vierten bis siebten Entwicklungswoche durch Ausbildung einer Trennwand (Septum urorectale) in einen vorderen und einen hinteren Teil unterteilt. Der vordere Teil heißt nun Sinus urogenitalis und wird von der Urogenitalmembran verdeckt. Der Sinus urogenitalis teilt sich in drei Teile: Die Anlage der Harnblase stellt den obersten und größten Teil dar, die anderen Teile bilden später die Prostata und Teile der Harnröhre beim Mann und bei der Frau die gesamte Harnröhre und die äußeren Geschlechtsorgane.
Die Harnleiter münden in die Harnblase und verlagern sich in der weiteren Entwicklung nach kranial (kopfwärts). Da die Harnleiter von der Niere und diese vom Mesoderm (das mittlere Keimblatt des Embryoblasts) abstammen, ist die Blasenschleimhaut, die durch Einbeziehung dieser Gänge entsteht, ebenfalls mesodermalen Ursprungs. Dieser Anteil entspricht dem Harnblasendreieck (Trigonum vesicae). Im Gegensatz dazu steht der Rest der Blase, der auf Grund seiner Abstammung vom Sinus urogenitalis entodermalen Ursprungs ist. Die mesodermalen Zellen werden jedoch von endodermalen Zellen überwachsen, so dass schließlich die gesamte Schleimhaut der Blase dem Entoderm entstammt.
Bei der Entwicklung der Harnblase sind verschiedene Fehlbildungen möglich.
Bei einer Spaltblase (fachlich Ekstrophie der Harnblase) bleibt zwischen Ektoderm und der Kloake die Wanderung des Mesoderms aus, die normalerweise in der vierten Entwicklungswoche stattfindet. Dadurch können sich an der vorderen Bauchwand keine Muskulatur und kein Bindegewebe bilden. Die Blasenvorderwand (aus dem Entoderm) ist deshalb nur mit einer dünnen Hautschicht (diese entwickelt sich aus dem Ektoderm) bedeckt. Da sich diese nur aus zwei Schichten bestehende Wand auflöst, wird die Rückwand der Blase sichtbar. Diese Missbildung tritt mit einer Häufigkeit von 1 je 10.000 bis 40.000 Geburten auf[3] und bei Jungen etwas mehr als doppelt so häufig wie bei Mädchen. Sie erfordert eine chirurgische Korrektur.[4]
Eine Urachuspersistenz ist eine ontogenetische Missbildung, bei der der zwischen Bauchnabel und Harnblase liegende Abschnitt der Allantois sich nicht vollständig zurückbildet. Abhängig davon, in welchem Ausmaß die Allantois persistiert (bestehen bleibt) spricht man von Urachussinus, Urachuszyste, Urachusdivertikel und Urachusfistel. Bei der Urachusfistel bleibt eine Verbindung zwischen Harnblase und Bauchnabel bestehen, so dass Harn aus dem Nabel abfließen kann. Im Gegensatz dazu bleibt beim Urachussinus nur ein kleines Stück der Allantois nahe dem Bauchnabel erhalten. Dies wird auch „äußere Urachusfistel“ genannt und äußert sich durch einen „nässenden Nabel“. Von der „inneren Urachusfistel“ oder Urachusdivertikel spricht man, wenn nur der untere, der Harnblase nahe Teil der Allantois übrig bleibt und mit dieser weiterhin in Verbindung steht. Dies äußert sich als „zipfelig“ ausgezogener Blasenscheitel. Es ist möglich, dass von der Allantois nur ein flüssigkeitsgefüllter Hohlraum (Urachuszyste) übrig bleibt. Da es zur Bildung von Abszessen kommen kann, sollte eine Urachuszyste chirurgisch entfernt werden.
Physiologie
Der Urin wird in den Nieren produziert, dort in den Nierenbecken gesammelt und durch die Harnleiter in die Harnblase entleert. Deren Wand wird durch die zunehmende Füllung gedehnt, was durch Dehnungssensoren wahrgenommen wird. Dies löst in parasympathischen Zentren des sakralen Rückenmarks einen Reflex – den sogenannten Miktionsreflex – aus, der die Kontraktion des Musculus detrusor in der Blasenwand und eine Entspannung des inneren Schließmuskels auslöst. Die hierzu gehörenden Reflexbahnen verlaufen im Nervus pelvinus. Erst wenn die bewusste Entspannung des äußeren Schließmuskels erfolgt, beginnt das Harnlassen. Diese bewusste Kontrolle des äußeren Schließmuskels kann jedoch bei sehr starker Füllung der Blase durch vom Nervus pudendus stammende hemmende Impulse außer Kraft gesetzt werden.
Das Harnlassen wird durch autonome Reflexe im sakralen Rückenmark kontrolliert, auf die höhere Bereiche des Zentralnervensystems Einfluss nehmen, indem sie entweder hemmen oder stimulieren. Im Hirnstamm, genauer im Pons (Brücke) finden sich Zentren, die hemmend und stimulierend auf den Miktionsreflex wirken (pontines Miktionszentrum, Teil der Formatio reticularis). Weiterhin finden sich auch in der Großhirnrinde Zentren, die hauptsächlich hemmend wirken, aber unter gewissen Umständen stimulierend eingreifen können. Der Miktionsreflex ist zwar Hauptursache des Harnlassens, trotzdem obliegt die finale Kontrolle diesen höheren Zentren. Sie hemmen den Reflex, außer wenn das Harnlassen bewusst angestrebt wird; sie können das Harnlassen durch Kontraktion des äußeren Schließmuskels verzögern, und sie können das Harnlassen einleiten, indem sie die sakralen Zentren stimulieren.
Willkürliches Harnlassen beginnt, indem die Bauchmuskeln angespannt werden. Dies drückt die Blase zusammen und erhöht den Druck. Dies presst Harn in den Blasenhals und die Harnröhre, was deren Dehnungssensoren erregt und den Miktionsreflex auslöst. Außerdem erfolgt eine Hemmung des äußeren Schließmuskels. Nach ungestörtem, nicht vorzeitig abgebrochenem Harnlassen verbleiben normalerweise nicht mehr als fünf bis zehn Milliliter Harn in der Blase.
Die erste Wahrnehmung der Harnansammlung in der Blase tritt beim Menschen bei etwa 80 ml auf. Bei ca. 300 bis 500 ml wird das Bedürfnis verspürt, die Blase zu entleeren.
Untersuchungsmethoden

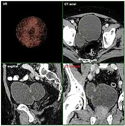
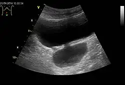
Die Harnblase ist bildgebend mittels Sonographie, Röntgen, Kernspintomographie, Computertomographie und endoskopisch darstellbar. Bildgebung der ersten Wahl sind die Verfahren ohne Röntgenstrahlung, zumeist die Sonographie.
Die Röntgendarstellung der Harnblase heißt Zystographie. Da Weichteile auf Röntgenbildern prinzipiell kaum erkennbar sind, wird beispielsweise zur Füllung triiodiertes Kontrastmittel verwendet. Diese Technik kann so auch Blasendivertikel, Tumoren und nicht röntgenkontrastgebende Fremdkörper sichtbar machen, Hauptanwendung eines Miktionszystourethrogrammes ist die Suche nach einem Reflux, VUR.
Bei einer Zystoskopie (Harnröhren- und Blasenspiegelung) wird mit Hilfe eines Endoskops die Harnblase (bei Männern auch die Harnröhre) betrachtet und auf Tumoren und andere Erkrankungen untersucht.
Soll Harn zur Untersuchung gewonnen, wegen einer Harninkontinenz oder aus anderen Gründen abgeleitet werden, so kann ein Blasenkatheter gelegt werden. Dies ist ein Kunststoffschlauch, der entweder über die Harnröhre (transurethral) oder die Bauchdecke (suprapubische Blasenfistel oder Bauchdeckenkatheter) in die Harnblase eingebracht wird. Manchmal wird auch die Punktion der Harnblase (Zystozentese) mit einer Kanüle, zumeist unter Ultraschallkontrolle, zur Gewinnung sterilen Urins zur Untersuchung durchgeführt.
Die Funktion der Harnblase wird mittels einer Urodynamik untersucht. Bei dieser Untersuchung wird ermittelt, wie sich die Blase mit ihrem Schließmuskel bei Füllung und Entleerung verhält. Hierzu wird ein Katheter in die Harnblase gelegt, durch den einerseits die Blase mit körperwarmer Flüssigkeit gefüllt, andererseits der Druck innerhalb der Blase gemessen wird. Ein weiterer Drucksensor im After sowie Elektroden zur Muskelaktivitätsmessung am Damm werden ebenfalls benötigt. Wenn möglich, wird auch noch der Harnstrahl mit einem Uroflow gemessen.
Bei Hunden und Katzen lässt sich die Harnblase durch die Bauchwand ertasten, da sie bereits bei mäßiger Füllung vor dem Becken liegt.
Erkrankungen

Eine der häufigsten Erkrankungen der Blase ist die Blasenentzündung (Cystitis), bei der es zu einer über die Harnröhre aufsteigenden Infektion kommt, die weiter bis zu den Nieren aufsteigen kann. Diese Erkrankung kommt bei Frauen aufgrund der kürzeren Harnröhre häufiger vor.
Die überaktive Blase (früher: Reizblase) ist ein ständiger Reizzustand der Blase und gehört wie die Enuresis (nocturna) zu den funktionellen Blasenstörungen.[5] Sie wird zum Beispiel durch Unterkühlung verursacht und äußert sich durch ständigen Harndrang bei nur geringen Harnmengen. Ist der Schließmechanismus, an dem z. B. auch die Beckenbodenmuskulatur beteiligt ist, gestört, kommt es zu unwillkürlichem Harnabgang (Harninkontinenz). Bei Hündinnen kann eine Blasenhalsschwäche und damit Inkontinenz nach einer Kastration auftreten. Harninkontinenz ist die Unfähigkeit zur willkürlichen Kontrolle des Harnlassens. Dies kann psychologische (z. B. Stress) oder physiologische Ursachen (z. B. nach einer Querschnittlähmung) haben. Bei der Harninkontinenz ist die Kontrolle über den äußeren Schließmuskel und die Hemmung der parasympathischen Innervation kurzzeitig oder ständig ausgefallen. In den Vereinigten Staaten kennt man daneben auch die volkstümlich sogenannte Teacher’s bladder („Lehrerinnen-Blase“), ein Problem, von dem vor allem Frauen im mittleren Alter befallen sind, die als Grundschullehrerinnen oder Krankenschwestern arbeiten und aufgrund ihrer Arbeitsweise tagsüber nur selten zur Toilette gehen können. Die Folge ist eine überdehnte Harnblase, deren Sensorik und Muskeltonus nicht mehr normal funktioniert. Die betroffenen Frauen können den Harn zwar lange zurückhalten, merken aber nicht rechtzeitig, wenn die Grenze erreicht ist. Das Problem ist gravierend und führt gelegentlich bis zur Berufsunfähigkeit.[6] Bei einer Beckenbodenschwäche kann es auch zu einer Senkung und Vorwölbung der Blase in die Vagina (Zystozele) kommen.
Krebserkrankungen der Blase gehören mit einer Inzidenz von 25.950 pro Jahr (2006[7]) in Deutschland zu den häufigen Krebsarten. In 95 % der Fälle handelt es sich um einen Tumor der Blasenschleimhaut, ein sogenanntes Urothelkarzinom. Der Blasenkrebs ist durch eine hohe Rezidivrate (erneutes Auftreten) und eine eher niedrige Progressionsrate (Fortschreiten) ausgezeichnet. Die Behandlung erfolgt meist durch eine transurethrale Resektion des Harnblasentumors.
Die Balkenblase ist eine balkenartige Verdickung der Muskulatur (sogenannte Hypertrophie). Sie führt zu einer unregelmäßigen Innenkontur und letztendlich zur verminderten Kontraktionsfähigkeit der Blase. Dies läuft zumeist unbemerkt ab, da keine Schmerzen und nur geringfügige Beeinträchtigung des Harnlassens auftreten. Erst durch weitere Beschwerden, wie Restharnbildung, vermehrte Harnwegsinfekte oder einen Nierenaufstau äußert sich das Problem und wird behandlungsbedürftig.
Blasenhalsobstruktion ist eine Verstopfung des Blasenhalses, die zum erschwerten Harnlassen führt. Als Blasenhalsstenose wird die Unfähigkeit des unwillkürlichen (inneren) Schließmuskels bezeichnet, zu erschlaffen. Ist dies angeboren, spricht man von der Marion-Krankheit.
Eine abnormal große Harnblase wird als Megazystis bezeichnet.
Wird das Rückenmark oberhalb des zwölften Brustsegments (Th12) durchtrennt, zum Beispiel bei einer Querschnittlähmung, kommt es zur sogenannten Reflexblase. Da die willkürliche Kontrolle des äußeren Schließmuskels entfällt, findet die Regulation des Harnlassens nur noch unwillkürlich, in den zweiten bis vierten Kreuzsegmenten (S2 bis S4 Abschnitten) des Rückenmarks statt, die unterhalb der Verletzung liegen. Wenn sich die Blase füllt und die Blasenwand gedehnt wird, kommt es zur reflektorischen Entspannung des inneren Schließmuskels und zur teilweisen Blasenentleerung.

Bei einer Blasenruptur (auch Harnblasenriss) kommt es durch Gewalteinwirkung von außen zur traumatischen Zerreißung der Harnblase. Dabei wird zwischen der intraperitonealen Blasenruptur, die bei Gewalteinwirkung auf den Unterbauch bei gleichzeitig stark gefüllter Blase erfolgt, und der extraperitonealen Blasenruptur, die häufig infolge eines Beckenbruchs auftritt, unterschieden. Als Symptome treten starker Harndrang bei gleichzeitiger Unfähigkeit zur Miktion auf.
Am 4. April 2006 gaben Forscher der Wake Forest University School of Medicine in North Carolina, USA um Professor Anthony Atala bekannt, es sei ihnen gelungen, im Labor gezüchtete Harnblasen in Menschen zu transplantieren. Dies ist das erste Mal, dass es gelungen ist, Organe komplett im Labor zu züchten. Da diese Transplantate aus Zellen der Patienten gezüchtet wurden, besteht keine Gefahr von Abstoßungsreaktionen.[8]
Bei Säugetieren (v. a. Haushund, Hauskatze, Hausmeerschweinchen, Hauskaninchen) bilden sich in der Harnblase häufig Harnsteine („Blasensteine“) oder kleinere Kristallanhäufungen („Blasengrieß“), die bei hohem Gehalt schwer löslicher Verbindungen und Verschiebungen des pH-Werts (Fütterungsfehler) sowie um Entzündungszellen entstehen können. Beim Menschen sind Blasensteine selten.
Bei Hauskatzen ist eine idiopathische Entzündung der Harnblase häufig, die als Feline Lower Urinary Tract Disease (FLUTD) bezeichnet wird.
Harnblase bei Nichtsäugern
Bei Wirbellosen mit Nephridien erweitern sich diese harnbildenden Organe in ihrem Endabschnitt zur Harnblase.
Bei den Wirbeltieren gibt es im Wesentlichen zwei Formen. Bei einigen weiblichen Haien (Neoselachia) und vielen Echten Knochenfischen (Teleostei) bilden die beiden Harnleiter eine blasenartige Verwachsung, die als „Harnblase“ wirkt.
Bei Amphibien (bei bestimmten Fröschen mit Trockenheitsanpassungen als Wasserspeicherorgan; vgl. Wasserreservoirfrosch), einer Reihe von Eidechsen, Schildkröten, Brückenechsen sowie den Straußen münden die Harnleiter in die Kloake. Von der Kloake führt ein kurzer Gang in die Harnblase, auch als Harnbeutel bezeichnet. Bei Schlangen, Krokodilen sowie allen weiteren Vögeln ist keine Harnblase ausgebildet.
Kulturgeschichte

Ausschnitt aus Pieter Brueghel d. Ä. – Kinderspielbild
Da präparierte Harnblasen von geschlachteten Tieren stabil und wasserdicht sind, dienten sie in der Kulturgeschichte der Menschheit zahlreichen Zwecken, zum Beispiel als eines der ersten eingesetzten Behältnisse für Aufbewahrung und Transport von Flüssigkeiten, Käse oder auch Dokumenten. In Europa wurden vor allem Schweinsblasen, die bei der Hausschlachtung anfielen, gereinigt und verwendet. Traditionell werden einige Wurstsorten (beispielsweise Blasenwurst) und Fleischgerichte (Pfälzer Saumagen) unter Verwendung von Tierblasen als Hülle hergestellt.
Im Mittelalter wurden als Ersatz für Glasfenster mit Schweinsblasen bespannte Holzrahmen verwendet.[9]
Kindern dienten getrocknete und aufgeblasene Harnblasen als Spielzeug: So wird von Heinrich VIII., König von England, überliefert, dass er gerne mit einer Schweinsblase Fußball spielte,[10] Kinder auf dem Land nutzten die aufgeblasenen Schweinsblasen als frühe Luftballons.[11] Auch kulinarisch fanden die Blasen von Schlachttieren Verwendung. So berichtet Vincenzo Tanaras L’Economia del Cittadino in Villa ‚Die Wirtschaft im Stadthaus‘ aus dem Jahre 1687 von einem Rezept, das bei Banketten Verwendung fand. Dabei wurde eine kleine Schweinsblase mit dem Eigelb von ca. 25 Eiern gefüllt, dann in kochendes Wasser getaucht, bis das Eigelb fest war. Die so entstandene Kugel wurde in eine größere, mit dem Eiweiß der Eier gefüllte Blase gelegt. Diese wurde nun ebenso in kochendes Wasser getaucht, bis auch das Eiweiß fest geworden war. So erhielt man ein „Riesenei“.[12]
Von dem dänischen Hofastronom Tycho Brahe wird berichtet, dass er am 13. Oktober 1601 bei einem Festbankett des Kaisers einen Harnblasenriss erlitt, da die Hofetikette den Gästen das Aufstehen von der Tafel vor dem Kaiser verbot. Brahe starb zehn Tage danach, wahrscheinlich an den Folgen einer Blaseninfektion.[13]
Bis ins 19. Jahrhundert waren Blasensteine aufgrund der Ernährung eine häufige Erkrankung. Da der Eid des Hippokrates Ärzten deren Behandlung untersagte, bildete sich das eigene Berufsbild des Lithotomus (Steinschneiders) heraus. Sein bekanntester Vertreter war Johann Andreas Eisenbarth („Doktor Eisenbarth“).
Die Eskimos in Alaska glaubten, dass die Blase der Sitz der Seele sei; deshalb wurden übers Jahr die Blasen von erlegten Robben gesammelt. Einmal jährlich wurden sie künstlerisch verziert und beim Blasenfest dem Meer zurückgegeben, auf dass sich neue Tiere aus ihnen bilden sollten, die dann im kommenden Jahr hätten gejagt werden können.[14] Außerdem bespannten die Eskimos Trommeln mit den Harnblasen von Walen.
In der schwäbisch-alemannischen Fastnacht sind aufgeblasene Schweinsblasen (Saubloodere), die an Stecken oder Schnüren geschwenkt werden, ein traditionelles Narrengerät. Mit den Saubloodere kann Lärm erzeugt werden, sie dienen aber auch dazu, Passanten oder andere Narren zu schlagen.[15]
Literatur
- Nadja Mobjerg: Organe der Osmoregulation und Exkretion. In: W. Westheide, R. Rieger: Spezielle Zoologie. Teil 2: Wirbel- oder Schädeltiere. Spektrum, München 2004, ISBN 3-8274-0307-3.
- Frank H. Netter, Eckehard Renner: Farbatlanten der Medizin. Band 2. Niere und Harnwege. Thieme, Stuttgart 1983, ISBN 3-13-524102-5.
- Uwe Gille: Harn- und Geschlechtssystem, Apparatus urogenitalis. In: Franz-Viktor Salomon, Hans Geyer, Uwe Gille (Hrsg.): Anatomie für die Tiermedizin. Enke-Verlag, Stuttgart 2004, ISBN 3-8304-1007-7.
Weblinks
Einzelnachweise
- ↑ Urodynamik (Harnblasendruckmessung): Zystometrie. In: urologielehrbuch.de. Abgerufen am 11. Januar 2010.
- ↑ P. Reuter: Der Große Reuter. Springer Universalwörterbuch Medizin, Pharmakologie und Zahnmedizin. Springer, Berlin 2005, ISBN 3-540-25104-9, S. 234.
- ↑ Arbeitsgemeinschaft der Wissenschaftlichen Medizinischen Fachgesellschaften: Leitlinien der Deutschen Gesellschaft für Kinderchirurgie AWMF ( vom 30. März 2008 im Internet Archive)
- ↑ Humanembryologieskript ( des vom 12. Februar 2007 im Internet Archive) Info: Der Archivlink wurde automatisch eingesetzt und noch nicht geprüft. Bitte prüfe Original- und Archivlink gemäß Anleitung und entferne dann diesen Hinweis. der Universitäten Freiburg, Lausanne und Bern.
- ↑ Günter Clauser: Funktionelle Blasenstörungen. In: Ludwig Heilmeyer (Hrsg.): Lehrbuch der Inneren Medizin. Springer-Verlag, Berlin/Göttingen/Heidelberg 1955; 2. Auflage ebenda 1961, S. 1256.
- ↑ Eroding the quality of life ( vom 14. Dezember 2011 im Internet Archive); Kerri Durnell Schuiling, Frances E. Likis: Women’s gynecologic health. Jones and Bartlett, 2006, ISBN 0-7637-4717-3, S. 643; Prevalence of lower urinary tract symptoms among female elementary school teachers in Taipei.
- ↑ Gesellschaft der Epidemiologischen Krebsregister in Deutschland, Robert Koch-Institut (Hrsg.): Krebs in Deutschland. Häufigkeit und Trends. 5. Auflage. Saarbrücken 2006, ISBN 3-9808880-3-7 (rki.de ( vom 29. September 2007 im Internet Archive) [PDF]).
- ↑ A. Atala, S. B. Bauer, S. Soker, J. J. Yoo, A. B. Retik: Tissue-engineered autologous bladders for patients needing cystoplasty. in: The Lancet. Elsevier, London 2006 (15. Apr.). PMID 16631879 ISSN 0023-7507
- ↑ Fenster ( vom 18. März 2015 im Internet Archive)
- ↑ Fußballgeschichte: Kicken bei Hofe. In: Stern. 18. Februar 2004, abgerufen am 16. Dezember 2024.
- ↑ Von der Schweinsblase zum Gummitwist. GermanistInnenzeitung. In: Gezetera. Deutsches Seminar der Universität Basel, 7. August 2007, DNB 944004776, OCLC 85357204, ZDB-ID 2312521-4 (gezetera.ch ( vom 7. August 2007 im Internet Archive)).
- ↑ Die italienische Küche. Kochen in den Regionen. Kochrezepte aus Venetien (Veneto) ( vom 14. Juli 2011 im Internet Archive).
- ↑ Jens Vellev, Kaare Lund Rasmussen, Jan Kučera, Lisbeth Jessen: Mercury poisoning ruled out as cause of Tycho Brahe’s death. In: Tycho Brahe. 15. November 2012, abgerufen am 26. Juni 2021 (englisch).
- ↑ Hans Himmelheber: Eskimokünstler. Strecker & Schröder, Stuttgart 1938; Röth, Eisenach 1953
- ↑ Narrenspiegel ( vom 23. Januar 2009 im Internet Archive)