Zystom


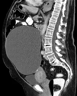
Ein Zystom (auch Kystom, Kystadenom und Cystadenom, und erstmals 1889 Proliferationszyste[1] genannt) ist eine Drüsengeschwulst, in der sich aufgrund von nichterfolgtem Abfluss des Drüsenproduktes ein Hohlraum bildet.
Zystome sind gutartig, eine Entartung ins Krebsartige geschieht vor allem dann, wenn papillare Wucherungen enthalten sind. Zystome treten am häufigsten in Eierstöcken, Nieren, Brustdrüsen, Leber und Schilddrüsen auf. Auch in der Bauchspeicheldrüse[2] können sie vorkommen.
Weblinks
Commons: Muzinöses Zystadenom des Ovars – Sammlung von Bildern, Videos und Audiodateien
Einzelnachweise
- ↑ K. Zimmermann: Bauchspeicheldrüse. In: Franz Xaver Sailer, Friedrich Wilhelm Gierhake (Hrsg.): Chirurgie historisch gesehen. Anfang – Entwicklung – Differenzierung. Dustri-Verlag, Deisenhofen bei München 1973, ISBN 3-87185-021-7, S. 89–106, hier: S. 96–98 (Pankreaszysten).
- ↑ von Petrikowski: Über Kystome (Cystadenome) des Pankreas. Dissertation Würzburg 1889.