Zentrale pontine Myelinolyse
| Klassifikation nach ICD-10 | |
|---|---|
| G37.2 | Zentrale pontine Myelinolyse |
| ICD-10 online (WHO-Version 2019) | |
Die Zentrale pontine Myelinolyse (ZPM) (lat. pons, Brücke, pontine die Brücke betreffend; griech. μῦελόν, myelon, Mark, λύσις, lýsis, Auflösung) ist eine neurologische Erkrankung, bei der es zu einer Schädigung der Umhüllung von Nervenfasern besonders im Pons (Hirnstamm) kommt. Sie wird durch zu schnelle Korrektur eines krankhaft verminderten Natriumspiegels (Hyponatriämie) im Organismus hervorgerufen.
Als Variante der ZPM gilt die extrapontine Myelinolyse. Dabei kommt es zu Demyelinisierungen in Kleinhirn, Basalganglien, Capsula interna, Balken und in der Nähe der Ventrikel. Beide Formen werden als osmotisch demyelinisierende Erkrankung bzw. osmotisches Demyelinisierungssyndrom zusammengefasst, sie können auch gleichzeitig auftreten.
Ursachen
Die zentrale pontine Myelinolyse wird unter anderem durch einen zu schnellen Ausgleich einer Hyponatriämie ausgelöst. Als Grenze gilt ein Serumnatrium von weniger als 126 mmol/l. Das Risiko steigt durch eine länger anhaltende Hyponatriämie.
Ursachen einer Hyponatriämie sind:
- sehr salzarme Diät bei hohen Trinkmengen (bei Unterernährung oder Appetitlosigkeit)
- Nebenwirkung von Medikamenten (Diuretika, Carbamazepin und andere neben oder zusammen mit Diuretika eingenommene Substanzen[1])
- Hormonstörungen (SIADH = Syndrom der inadäquat gesteigerten ADH-Sekretion = Schwartz-Bartter-Syndrom, vor allem paraneoplastisch bei Tumorerkrankungen, Zentrales Salzverlustsyndrom)
- "Wasservergiftung" bei Ertrinkensunfällen oder fehlerhafter Infusionstherapie
- Alkoholismus
Mechanismus
Die Vorstellung beruht auf dem Konzept der Osmose (Diffusion an semipermeablen Membranen). Dabei folgt das Wasser den Elektrolyten.
Bei einem Verlust von Natrium aus dem Blut sinkt der Natriumspiegel langsam auch in allen anderen Kompartimenten des Körpers. Dies wird bei langsamem Absinken meist gut vertragen. Wird die Hyponatriämie festgestellt und parenteral durch Infusion ausgeglichen, kommt es je nach Geschwindigkeit des Anstiegs des Natriumspiegels zu einer Verschiebung von Wasser aus dem Gewebe ins Blut, da Natrium nicht so rasch in die anderen Kompartimente (besonders in die Zellen) diffundieren kann. Die Dehydratisierung (Entwässerung) des Gehirns führt über einen unbekannten Mechanismus zu einer Zerstörung der Myelinscheiden. Der Vorgang wird als osmotische Demyelinisierung bezeichnet.
Symptomatik und Verlauf
Etwa eine halbe Woche nach Ausgleich der Hyponatriämie beginnt die Erkrankung mit Bewusstseinsstörungen bis hin zum Koma, zunehmender Lähmung aller Extremitäten (Tetraparese) und Störung der Hirnstammfunktion (Augenbewegungsstörung, Gesichtslähmung, Schluckstörung, Atemlähmung). Die Ausprägung der einzelnen Symptome kann von leichter Müdigkeit und Gangunsicherheit bis zum Koma mit kompletter Lähmung und Versagen der Atemfunktion liegen.
Die Mehrheit der Patienten erholt sich weitgehend. Die Besserung beginnt frühestens zwei Wochen nach Ausbruch der Erkrankung, die Rehabilitation bei schwer betroffenen Patienten erstreckt sich oft über ein Jahr. Ein tödlicher Ausgang ist möglich, Todesursache sind meist die Komplikationen der intensivmedizinisch zu behandelnden Probleme (z. B. Pneumonien).
Diagnosestellung


- Erhebung der Krankengeschichte
- Neurologische Untersuchung zur Prüfung der Symptome
- Evozierte Potentiale – besonders die AEP
- Liquorpunktion zum Ausschluss einer Entzündung
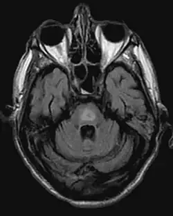
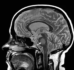
- Magnetresonanztomographie (Veränderungen oft erst nach einigen Wochen!)
Behandlung
Eine gezielte Behandlung nach raschem Anstieg des Serumnatriums ist nicht bekannt, weder in den Tagen bis zum Ausbruch der Erkrankung noch danach.
Daher ist es notwendig, die Krankheitszeichen zu behandeln (symptomatische Therapie):
- Krankengymnastik bei Lähmungen
- Beatmung bei Atemlähmung
- Tracheotomie bei schwerer Schluckstörung
- Vorbeugung gegen Komplikationen der Bettlägerigkeit (Thrombose, Pneumonie, Dekubitus)
- Logopädische Therapie bei Dysarthrie und Dysphagie
Vorbeugung
Entscheidend ist es, nach Feststellung einer Hyponatriämie nur einen langsamen Ausgleich des Natriumspiegels vorzunehmen. Dabei werden in der wissenschaftlichen Literatur Empfehlungen zwischen 6 und 10 mmol/l pro Tag gegeben. Hierfür sind zwei- bis viermal tägliche Laborkontrollen erforderlich. Die alleinige Verwendung von isotonen Infusionslösungen schützt nicht ausreichend vor einer ZPM, entscheidend ist die Geschwindigkeit des Natriumanstieges.
Literatur
- R. J. Martin: Central pontine and extrapontine myelinolysis: the osmotic demyelination syndromes. In: Journal of Neurology, Neurosurgery, and Psychiatry. Band 75 Suppl 3, September 2004, S. III22–III28, ISSN 0022-3050. doi:10.1136/jnnp.2004.045906. PMID 15316041. PMC 1765665 (freier Volltext). (Review).
- R. Laureno, B. I. Karp: Myelinolysis after correction of hyponatremia. In: Annals of internal medicine. Band 126, Nummer 1, Januar 1997, S. 57–62, ISSN 0003-4819. PMID 8992924. (Review).
- C. P. Harris, J. J. Townsend, J. R. Baringer: Symptomatic hyponatraemia: can myelinolysis be prevented by treatment? In: Journal of Neurology, Neurosurgery, and Psychiatry. Band 56, Nummer 6, Juni 1993, S. 626–632, ISSN 0022-3050. PMID 8509775. PMC 489611 (freier Volltext). (Review).
Einzelnachweise
- ↑ Burger Lichtenstein: Ätiologie kommt zu kurz. In: Deutsches Ärzteblatt. Band 117, Heft 3, 17. Januar 2020, S. 41 f. – zu dem Beitrag von Johann Lamback und anderen: Zentrale pontine Myelinolyser und osmotische Demyelinisierungssyndrome. In: Deutsches Ärzteblatt. Band 116, Heft 35–36, 2019, S. 600–606.