Vena renalis


Die Vena renalis (lat. für ‚Nierenvene‘) ist eine paarige Vene der Bauchhöhle zum Blutabfluss aus den Nieren. Beide Nierenvenen sind Begleitvenen der Arteria renalis und münden in die untere Hohlvene (Vena cava inferior, bei Tieren V. cava caudalis). Die untere Hohlvene mit den beiden Nierenvenen und die Aorta mit den beiden Nierenarterien bilden gegenseitig versetzte Kreuze, wobei das Venenkreuz rechts unterhalb des Arterienkreuzes liegt. Bei 35 % der menschlichen Individuen treten mehrere Nierenvenen auf.[1]
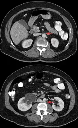
Die linke Nierenvene (Vena renalis sinistra) des Menschen ist mit etwa 7,5 cm Länge länger als die rechte (Vena renalis dextra), welche nur etwa 2,5 cm lang ist. Sie nimmt zudem auch das Blut der linken Vena ovarica bzw. Vena testicularis auf. Als anatomische Variante beim Menschen verläuft sie in 3 % der Fälle[1] anstatt vor der Aorta ganz oder teilweise hinter dieser.
Eine weitere Besonderheit der linken Nierenvene ist, dass sie sich in einer „Gefäß-Zange“ befindet: sie liegt vor der Aorta abdominalis und hinter der Arteria mesenterica superior. Bei arterieller Drucksteigerung kann dies zu einer Kompression der Vene und damit zu einer Abflussstörung der linken Niere (Nussknacker-Syndrom) führen.
Literatur
- Walther Graumann: CompactLehrbuch Anatomie. 4. Sinnessysteme, Haut, ZNS. Periphere Leitungsbahnen. Verlag Schattauer Verlag, 2005, ISBN 9783794520640, S. 619.
- Uwe Gille: Herz-Kreislauf- und Abwehrsystem, Angiologia. In: Salomon, F.-V. u. a. (Hrsg.): Anatomie für die Tiermedizin. Enke-Verlag Stuttgart, 2. Aufl. 2008, S. 404–463. ISBN 978-3-8304-1075-1
Einzelnachweise
- ↑ a b Ralph Weissleder et al.: Kompendium der bildgebenden Diagnostik. Springer-Verlag, 2013, S. 540.