Urocystitis cystica

Klassifikation nach ICD-10
N30.8 Urocystitis cystica
N28.8 Pyelitis cystica
N28.8 Ureteritis cystica
{{{04-BEZEICHNUNG}}}
{{{05-BEZEICHNUNG}}}
{{{06-BEZEICHNUNG}}}
{{{07-BEZEICHNUNG}}}
{{{08-BEZEICHNUNG}}}
{{{09-BEZEICHNUNG}}}
{{{10-BEZEICHNUNG}}}
{{{11-BEZEICHNUNG}}}
{{{12-BEZEICHNUNG}}}
{{{13-BEZEICHNUNG}}}
{{{14-BEZEICHNUNG}}}
{{{15-BEZEICHNUNG}}}
{{{16-BEZEICHNUNG}}}
{{{17-BEZEICHNUNG}}}
{{{18-BEZEICHNUNG}}}
{{{19-BEZEICHNUNG}}}
{{{20-BEZEICHNUNG}}}
Vorlage:Infobox ICD/Wartung {{{21BEZEICHNUNG}}}
ICD-10 online (WHO-Version 2019)

Unter einer Urocystitis cystica (Cystitis cystica) versteht man metaplastische Veränderungen submuköser Urothelaussprossungen (von-Brunn-Epithelnester) im Bereich der Harnblasenschleimhaut mit Ausbildung zystischer Strukturen. Prinzipiell gleichartige Veränderungen werden auch im Nierenbecken (Pyelitis cystica) und dem Harnleiter (Ureteritis cystica) beobachtet.[1]

Ätiologie

Die Ursache der metaplastischen Veränderungen ist unbekannt. Entgegen der aus historischen Gründen beibehaltenen Bezeichnung Urocystitis (Harnblasenentzündung) sind entzündliche Veränderungen hierfür nicht erforderlich, noch bestehen begleitend notwendigerweise entzündliche Veränderungen.[1][2]

Epidemiologie

Im unausgewählten Obduktionsgut wurden entsprechende Veränderungen bei 78 Prozent der Männer und 91 Prozent der Frauen gefunden.[1]

Pathologie

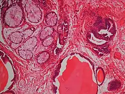
Histologie der Urocystitis glandularis et cystica mit intestinaler Metaplasie.

Makroskopisch zeigen sich häufig multiple, bis zu 2–5 mm große, zystische Vorwölbungen der Harnblasenschleimhaut, bevorzugt im Bereich des Blasenauslasses, des Trigonum vesicae und den Harnleitermündungen. Bei entsprechender Ausdehnung kann ein pflastersteinartiger Aspekt resultieren.[1]

Histologisch findet man zystische, von einem flachen bis kubischen Epithel ausgekleidete Strukturen, die im Lumen mitunter homogenes, eosinophiles, PAS-positives Material (Uromukoid) enthalten. Alternativ können die Zysten auch von wechselnd breitem Urothel ausgekleidet sein, wobei die innerste Zellschicht von einem hellen, zylindrischen Epithel mit basalständigen Kernen gebildet wird (Urocystitis glandularis, nicht-intestinaler Typ). Als dritte Variante wird bisweilen eine intestinale Metaplasie mit Ausbildung schleimbildender Epithelien beobachtet (Urocystitis glandularis, intestinaler Typ). Nicht selten werden diese Formen in Kombination vorgefunden (Urocystitis glandularis et cystica mit oder ohne intestinale Metaplasie).[1]

Klinik

Eine Urocystitis cystica verursacht meist keine Beschwerden und bedarf daher keiner Therapie. Selten können Harnabflussstörungen auftreten. Unterschieden werden muss die Veränderung jedoch von Harnblasentumoren, speziell Adenokarzinomen, deren zystoskopisches und histologisches Bild sie imitieren kann.[2]

Einzelnachweise

  1. a b c d e W. Remmele: Pathologie. Band 5, 2. Auflage. Springer, 1997, ISBN 3-540-61098-7.
  2. a b U. Riede, M. Werner, H. Schäfer: Allgemeine und spezielle Pathologie. 5. Auflage. Thieme, 2004, ISBN 3-13-683305-8.