Twiddler-Syndrom
| Klassifikation nach ICD-10 | |
|---|---|
| T82.1 | Mechanische Komplikation durch ein kardiales elektronisches Gerät |
| ICD-10 online (WHO-Version 2019) | |
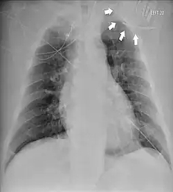
Das Twiddler-Syndrom ist eine seltene Komplikation nach dem Einbau eines Herzschrittmachers oder Defibrillators, bei der der Generator mit der Elektrodensonde (mehrfach) verdreht ist und die zur Funktionsstörung und Dislokation der Elektrode führt.[1][2]
Der Begriff kommt von englisch twiddle ‚drehen, aufdrehen‘.
Die Erstbeschreibung und Bezeichnung stammt aus dem Jahre 1968 durch die kanadischen Ärzte Colin E. Bayliss, Donald S. Beanlands und Ronald J. Baird.[3]

Verbreitung
Die Häufigkeit wird mit 0,07 – 7 % angegeben und tritt meist während des ersten Jahres nach dem Einbau auf.[2]
Die Rotation des Herzschrittmachers kann zur Dislokation und Bruch der Defibrillatorelektrode führen. Die Folgen sind z. B.:
- Stimulation des Nervus phrenicus mit Zwerchfellzuckungen
- Stimulation des Plexus brachialis mit rhythmischen Armzuckungen
- Synkope (symptomatische Bradykardie)
- fehlende Erfassung von eventuell tödlichen Herzrhythmusstörungen
Ursache
Häufig liegt eine ungenügende Fixierung des Gerätes in der vorgesehenen Stelle vor. Risikofaktoren dafür sind sehr junges und sehr hohes Alter des Patienten, psychiatrische oder kognitive Störungen, Manipulation durch den Patienten oder zu große Implantationstasche.[2]
Klinische Erscheinungen
Im Vordergrund steht die Funktionsstörung bis zum Funktionsausfall. Daneben kann es zu unerwünschten Stimulationen anderer Nerven wie des Nervus phrenicus oder des Plexus brachialis kommen.[2] Bei Patienten mit einem implantierten automatischen Defibrillator (ICD) können inadäquate Defibrillationsschocks ausgelöst werden.[4]
Das Phänomen kann auch außerhalb kardiologischer Indikationen auftreten, beispielsweise bei Implantation zur tiefen Hirnstimulation bei Parkinson-Krankheit.[5]
Literatur
- J. A. Lesnick, B. L. Cooper, P. B. Doshi: Twiddler's Syndrome. In: Clinical practice and cases in emergency medicine. Band 3, Nummer 3, August 2019, S. 299–300, doi:10.5811/cpcem.2019.4.42123, PMID 31404310, PMC 6682220 (freier Volltext).
- S. S. Leyendecker, F. Reuter, C. Steffens, W. Uhl, U. Mittelkötter: Twiddler-Syndrom bei einem links pektoral implantierten Defibrillator. In: Der Chirurg. Band 79, Nummer 1, Januar 2008, S. 80, 82, doi:10.1007/s00104-007-1319-3, PMID 17443303.
Einzelnachweise
- ↑ Pschyrembel online
- ↑ a b c d Eintrag zu Twiddler-Syndrom im Flexikon, einem Wiki der Firma DocCheck
- ↑ C. E. Bayliss, D. S. Beanlands, R. J. Baird: The pacemaker-twiddler's syndrome: a new complication of implantable transvenous pacemakers. In: Canadian Medical Association journal. Band 99, Nummer 8, 1968 Aug 24-31, S. 371–373, PMID 4952398, PMC 1924435 (freier Volltext).
- ↑ Stefan Asbach, Michael Brunner, Manfred Zehender, Christoph Bode, Thomas S. Faber: Multiple inappropriate defibrillator discharges due to Twiddler's syndrome. In: Wiener Klinische Wochenschrift. Band 117, Nr. 23-24, Dezember 2005, ISSN 0043-5325, S. 801, doi:10.1007/s00508-005-0480-2, PMID 16437315.
- ↑ J. Adams, V. Shivkumar: Twiddler's Syndrome in Deep Brain Stimulation. In: Movement disorders clinical practice. Band 7, Nummer 7, Oktober 2020, S. 859–860, doi:10.1002/mdc3.13035, PMID 33043085, PMC 7533989 (freier Volltext).