Trachealdivertikel


Ein Trachealdivertikel ist eine Ausstülpung der Hautschichten aus dem Lumen der Luftröhre (Trachea) in das umgebende Gewebe. Trachealdivertikel werden gelegentlich als Zufallsbefund in Form einer kleinen Luftansammlung neben der Luftröhre in der Computertomographie, während einer Bronchoskopie oder bei anderen medizinischen Untersuchungen gefunden.
Definitionen
In der Fachliteratur werden neben Trachealdivertikel auch die Begriffe Tracheozele (Tracheocele, Tracheocoele) oder allgemein beschreibend (englisch) paratracheal air cyst (PTAC, neben der Luftröhre liegende luftgefüllte Zyste) verwendet. Heute hat sich die Konvention durchgesetzt, nur zwischen angeborenen und erworbenen Trachealdivertikeln zu unterscheiden und den Begriff Tracheozele (kurze Definition: Bruch der Luftröhre[1]) als Synonym für ein erworbenes Trachealdivertikel zu verwenden.[2][3]
Das Klinische Wörterbuch des Springer-Verlags nennt die Tracheozele synonym mit dem Luftröhrenbruch, der Trachealhernie und dem Trachealdivertikel und definiert diese als „Ausstülpung der Luftröhrenschleimhaut durch eine angeborene Wandschwäche“.[4] Anders erklärt das Lexikon Medizin das Trachealdivertikel als Ausstülpung der Luftröhrenweichteile, bei schrumpfenden Prozessen der Nachbarschaft auch als Traktionsdivertikel.[5][6]
Das Lexikon der Medizin beschreibt die Trachealdivertikel als Aussackungen der Trachea. Echte Divertikel seien angeboren und stellten kurze, meist nach rechts zeigende, überschüssige Bronchien aus der Tachea dar. Ende der Bronchus nicht blind, sondern gehe in Lungengewebe über, spreche man von Tracheallappen der Lunge. Falsche Divertikel seien erworben.[7] Diese Tracheozelen seien bruchsackartige Vorwölbungen der Luftröhrenschleimhaut.[8] Man findet diese Luftröhrenbrüche als Vorwölbungen der Luftröhre auch bei starkem Husten infolge einer krankhaften Nachgiebigkeit der Knorpelringe.[9] Analog deuten Otto Dornblüth[10] seit der ersten Auflage 1894 und nachfolgend Willibald Pschyrembel bis in die aktuelle Auflage ihres Klinischen Wörterbuchs die Tracheozele als Vorwölbung der Trachea am Hals bei starkem Husten infolge eines Divertikels; das Stichwort Trachealdivertikel fehlt.[11]
Eine andere Darstellung findet sich 1980 im Handlexikon der Medizin. Trachealdivertikel seien hernienartige Ausstülpungen der Luftröhrenweichteile, bei schrumpfenden Lymphknotenprozessen der Nachbarschaft auch als durch Zugkraft entstehende „Traktionsdivertikel“, oder angeboren als rudimentäre zusätzliche Bronchien in Nähe der Luftröhrengabel. Im weiteren Sinne verstehe man darunter auch divertikelähnliche Bildungen in der Pars membranacea vor allem bei einer chronischen Bronchitis, die als zum Teil Azinusstrukturen aufweisende Schleimdrüsenzysten Luft, Schleim und eventuell Eiter enthalten und bei einer reaktiven Bindegewebswucherung als so genannte Zystenfibrome imponieren.[12]
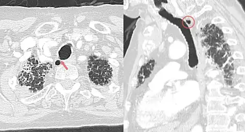
Aufbau
Während angeborene Trachealdivertikel alle anatomischen Schichten der Trachea enthalten, wölbt sich bei erworbenen Formen (Tracheozelen) nur das respiratorische Epithel durch die anderen Schichten nach außen ins Mediastinum vor.[3] Die Divertikel haben meist eine Größe von ca. 0,2 bis 3 cm und die Verbindung zum Lumen der Luftröhre ist oftmals so schmal, dass sie in der Computertomographie und bei der Bronchoskopie nicht gesehen wird.[2][3][13][14]
Lokalisation
Trachealdivertikel finden sich in der ganz überwiegenden Anzahl (97 bis 98 %) rechts seitlich hinter der Luftröhre auf Höhe der oberen Thoraxapertur.[2][13][15] Eine zweite, seltene Lokalisation ist die Region der Carina tracheae, wobei diese Fälle schon den Übergang zu den Hauptbronchien betreffen und man daher über die Bezeichnung Trachealdivertikel oder Bronchialdivertikel diskutieren kann.[3]
Verbreitung
Die Häufigkeit von Trachealdivertikeln wird mit Werten von etwa 0,75 bis gut 8 % unterschiedlich angegeben, wobei die Zahlen von der jeweils verwendeten Methode (Computertomographie, Magnetresonanztomographie, Bronchoskopie, Obduktion) abhängen.[2][3][14][16] Sie wurden in einigen Untersuchungen häufiger bei Frauen, in anderen häufiger bei Männern gefunden.[3]
Während in einigen Publikationen ein Zusammenhang mit einer chronischen obstruktiven Lungenerkrankung (COPD) vermutet wird,[13] fanden andere Autoren keinen solchen.[14][17][18] Auch ein kausaler Zusammenhang mit einem vorangegangenen Trauma ließ sich nicht nachweisen.[18]
Eine deutlich erhöhte Prävalenz wurde jedoch bei Patienten mit Mukoviszidose[19] und beim seltenen Mounier-Kuhn-Syndrom (idiopathische Tracheobronchomegalie)[3][20] gefunden. Bei beiden Patientengruppen wurde auch häufiger mehr als ein Divertikel gefunden.
Bedeutung
Trachealdivertikel sind in der Regel asymptomatisch,[2][19][21] was Untersuchungen zu ihrer Häufigkeit zeigen, bei denen sie nur als Zufallsbefund auftraten, ohne selbst einen Krankheitswert zu haben. In Einzelfallberichten werden naturgemäß jedoch gehäuft Patienten beschrieben, die durch Symptome auffällig wurden. Dabei fanden sich Infekte durch Schleimansammlungen im Divertikel, Schluckauf, Irritationen des Nervus vagus, eine Rekurrensparese[22][23] oder Beeinträchtigungen der oberen Atemwege und Schluckbeschwerden.[2][3][24][25]
Differentialdiagnose
Wenn bei einer radiologischen Untersuchung (z. B. Computertomographie) eine Luftansammlung neben der Luftröhre gefunden wird, so ist meist aufgrund der typischen Lage der Trachealdivertikel rechts hinten auf Höhe der oberen Thoraxapertur eine Unterscheidung zu anderen Krankheitsbildern möglich. So findet sich ein Zenker-Divertikel, welches vom Hypopharynx ausgeht, sehr oft nach links gerichtet und ist auch in der Computertomographie seltener mit Luft gefüllt. Eine Laryngozele geht vom Kehlkopf aus und liegt entsprechend höher. Ein Mediastinalemphysem hat selten nur eine einzelne Blase an dieser Stelle. Meistens ist auch aus der Anamnese zum Beispiel beim Thoraxtrauma oder bei einer Perforation eines Hohlorgans (z. B. der Speiseröhre) eine Unterscheidung möglich. Hier kann sich eine tracheoösophageale Fistel (ösophagotracheale Fistel) ausbilden.[26] Beim Zenker-Divertikel kann ein Foetor ex ore bei der körperlichen Untersuchung die Differentialdiagnose erleichtern.[3][27][28]
Behandlung
Da die meisten Trachealdivertikel asymptomatisch sind, ist für diese keine Behandlung notwendig. Wenn Symptome auftreten, wird in der Regel eine konservative Therapie empfohlen, die sich nach der Art der Symptome richtet. So kann bei wiederholten Infekten eine Antibiotikagabe erforderlich sein.
In Einzelfällen wurde ein chirurgischer Eingriff bei Patienten durchgeführt, bei denen sich die Symptome trotz angemessener medizinischer Therapie zunehmend verschlechterten. Dabei wurde der allgemeine Gesundheitszustand des Patienten entsprechend berücksichtigt, um das Nutzen-Risiko-Verhältnis zu bewerten. Die chirurgische Therapie bestand dann in einer Resektion des Divertikels.[29]

Geschichte
Die Erstbeschreibung eines Trachealdivertikels wird Carl von Rokitansky (im Jahr 1838) zugeschrieben.[30] Als Oberbegriff findet sich auch die Beschreibung als bronchogene Zyste (englisch: bronchogenic cyst), nicht zu verwechseln mit der branchiogenen Zyste (oder Halsfistel).
Embryologie
Beim etwa drei Wochen alten Embryo erscheint die Lungenanlage als ein entodermales Divertikel, aus welchem sich das Lungendivertikel bildet. Daraus entwickeln sich nach weiteren zwei Wochen die Trachea und im Alter von sechs Wochen die beiden Hauptbronchien. Die Ösophagusatresie und die Ösophagotrachealfistel sowie die Lungenzysten sind entsprechende Missbildungen.[31]
Siehe auch
Quellen und Literatur
- ↑ Josef Hammerschmid-Gollwitzer: Wörterbuch der medizinischen Fachausdrücke, ISBN 3-88102-061-6, Wilhelm Goldmann Verlag, München 1981. S. 412.
- ↑ a b c d e f B. M. Teh, C. Hall, S. Kleid: Infected tracheocoele (acquired tracheal diverticulum): case report and literature review. In: The Journal of Laryngology & Otology. 125, 2011, S. 540, doi:10.1017/S0022215110003026 (Volltext).
- ↑ a b c d e f g h i A. Tanrivermis Sayit, M. Elmali, D. Saglam, C. Celenk: The diseases of airway-tracheal diverticulum: a review of the literature. In: Journal of thoracic disease. Band 8, Nummer 10, Oktober 2016, S. E1163–E1167, doi:10.21037/jtd.2016.10.92, PMID 27867581, PMC 5107528 (freier Volltext) (Review).
- ↑ Peter Reuter: Springer Klinisches Wörterbuch 2007/2008, 1. Auflage, Springer-Verlag, Heidelberg 2007, ISBN 978-3-540-34601-2, S. 1845.
- ↑ Linus Geisler: Lexikon Medizin. Das Nachschlagewerk für Ärzte, Apotheker, Patienten. 4., neubearbeitete und erweiterte Auflage, Lexikon-Redaktion Elsevier GmbH München, Sonderausgabe, Naumann & Göbel Verlagsgesellschaft, Köln ohne Jahr (2005), ISBN 978-3-625-10768-2, S. 1673.
- ↑ Analog: Roche Lexikon Medizin. Herausgegeben von der Hoffmann-La Roche AG und Urban & Schwarzenberg, 5. Auflage, Urban & Fischer, ISBN 3-437-15156-8, München, Jena 2003, S. 1842 f.
- ↑ Maxim Zetkin, Herbert Schaldach: Wörterbuch der Medizin (Abkürzung: WdM). 16. Auflage Lexikon der Medizin, Ullstein Medical, Wiesbaden 1999, ISBN 3-86126-126-X; 16. Auflage Lexikon der Medizin, Sonderausgabe, Elsevier München, Fackelträger Verlag, ISBN 3-7716-4326-0, Köln ohne Jahr (2005), S. 2024 f.
- ↑ Duden – Das Wörterbuch medizinischer Fachausdrücke, 4. Auflage, Bibliographisches Institut, Mannheim / Wien / Zürich 1985, ISBN 3-411-02426-7, S. 684.
- ↑ Fachwörterbuch der Medizin, Verlag Manfred Pawlak, Herrsching 1984, ISBN 3-88199-163-8, S. 481.
- ↑ Otto Dornblüth: Wörterbuch der klinischen Kunstausdrücke für Studierende und Ärzte, Leipzig 1894, Verlag von Veit & Comp., S. 137, Stichwort „Tracheocele“.
- ↑ Willibald Pschyrembel: Klinisches Wörterbuch, 267. Auflage, de Gruyter Verlag, Berlin / Boston 2017, ISBN 978-3-11-049497-6, S. 1819.
- ↑ Günter Thiele (Hrsg.): Handlexikon der Medizin, Band 4 (S–Z), Urban & Schwarzenberg, München / Wien / Baltimore 1980, S. 2465.
- ↑ a b c J. M. Goo, J. G. Im, J. M. Ahn, W. K. Moon, J. W. Chung, J. H. Park, J. B. Seo, M. C. Han: Right paratracheal air cysts in the thoracic inlet: clinical and radiologic significance. In: American Journal of Roentgenology. Band 173, Nummer 1, Juli 1999, S. 65–70, doi:10.2214/ajr.173.1.10397101, PMID 10397101.
- ↑ a b c A. Kurt, A. T. Sayit, A. Ipek, I. G. Tatar: A multi detector computed tomography survey of tracheal diverticulum. In: The Eurasian journal of medicine. Band 45, Nummer 3, Oktober 2013, S. 145–148, doi:10.5152/eajm.2013.31, PMID 25610271, PMC 4261431 (freier Volltext).
- ↑ Donald MacKinnon: Tracheal diverticula. In: The Journal of Pathology and Bacteriology. 65, 1953, S. 513, doi:10.1002/path.1700650223.
- ↑ H. J. Bae, E. Y. Kang, H. S. Yong, Y. K. Kim, O. H. Woo, Y. W. Oh, K. W. Doo: Paratracheal air cysts on thoracic multidetector CT: incidence, morphological characteristics and relevance to pulmonary emphysema. In: The British journal of radiology. Band 86, Nummer 1021, Januar 2013, S. 20120218, doi:10.1259/bjr.20120218, PMID 23255540, PMC 4651063 (freier Volltext).
- ↑ Hua-Ming Cheng, Pau-Yang Chang, Kuo-Hsien Chiang, Hsin-Wen Huang, Chau-Chin Lee: Prevalence and Characteristics of Paratracheal Air Cysts and Their Association With Emphysema in a General Population In: European Journal of Radiology 2012 Oct;81(10):2673-7 doi:10.1016/j.ejrad.2011.10.013.
- ↑ a b J. E. Buterbaugh, W. K. Erly: Paratracheal air cysts: a common finding on routine CT examinations of the cervical spine and neck that may mimic pneumomediastinum in patients with traumatic injuries. In: AJNR. American journal of neuroradiology. Band 29, Nummer 6, Juni 2008, S. 1218–1221, doi:10.3174/ajnr.A1058, PMID 18544671.
- ↑ a b Joshua J. Reicher, Paul Mohabir, Elika Rad, Gabriela Gayer: Increased prevalence of tracheal diverticula in cystic fibrosis patients. In: The British Journal of Radiology. 89, 2016, S. 20150694, doi:10.1259/bjr.20150694.
- ↑ B. Celik, S. Bilgin, C. Yuksel: Mounier-Kuhn syndrome: a rare cause of bronchial dilation. In: Texas Heart Institute journal. Band 38, Nummer 2, 2011, S. 194–196, PMID 21494536, PMC 3066798 (freier Volltext).
- ↑ Christopher L. Smelley, Rebecca Bowen, O. Nathan Cherie-Ann: Intermittently Symptomatic Tracheal Diverticulum: A Case of a Rare Clinical Phenomenon. In: Ear, Nose & Throat Journal. 90, 2019, S. E10, doi:10.1177/014556131109000918.
- ↑ Laurens J. Ceulemans, Philip Lerut, Stefan De Moor, Rob Schildermans, Paul De Leyn: Recurrent Laryngeal Nerve Paralysis by Compression From a Tracheal Diverticulum. In: The Annals of Thoracic Surgery. 97, 2014, S. 1068, doi:10.1016/j.athoracsur.2013.06.118.
- ↑ Marco-Domenico Caversaccio, Minerva Becker, Peter Zbären: Tracheal Diverticulum Presenting with Recurrent Laryngeal Nerve Paralysis. In: Annals of Otology, Rhinology & Laryngology. 107, 2016, S. 362, doi:10.1177/000348949810700418.
- ↑ K. Bae, K. N. Jeon, M. J. Park, S. J. Lee, H. C. Kim, S. I. Cha, J. H. Byun, J. W. Kim: Overlooked diagnosis of infected paratracheal air cysts in patients with respiratory symptoms: Case report. In: Medicine. Band 96, Nummer 29, Juli 2017, S. e7536, doi:10.1097/MD.0000000000007536, PMID 28723769, PMC 5521909 (freier Volltext).
- ↑ Shota Akabane, Jun Kawachi, Ryuta Fukai, Rai Shimoyama, Hiroyuki Kashiwagi, Hidemitsu Ogino, Kazunao Watanabe: A rare case of an infected tracheal diverticulum requiring emergency intervention: A case report. In: International Journal of Surgery Case Reports. 24, 2016, S. 7, doi:10.1016/j.ijscr.2016.04.051.
- ↑ Robert M. Youngson: Collins Dictionary of Medicine, Harper Collins Publishers, Glasgow 1992, ISBN 0-583-31591-7 [sic!], S. 597.
- ↑ Ammar Haouimi, Laughlin Dawes et al.: Tracheal diverticulum, in: Radiopaedia
- ↑ Enrique Javier Soto-Hurtado, Laura Peñuela-Ruíz, Ignacio Rivera-Sánchez, Julio Torres-Jiménez: Tracheal Diverticulum: A Review of the Literature. In: Lung. 184, 2006, S. 303, doi:10.1007/s00408-006-0010-7.
- ↑ E. A. Porubsky, C. G. Gourin: Surgical treatment of acquired tracheocele. In: Ear, nose, & throat journal. Band 85, Nummer 6, Juni 2006, S. 386–387, PMID 16866115.
- ↑ Carl Rokitansky: Ueber divertikel-ähnliche Erweiterung des Luftröhrenkanals. (1838) Medizinische Jahrbücher des k. k. österreichischen Staates. Nr. XXV, S. 374–385. Bei Google Books [1] oder [2]
- ↑ Jan Langman: Medizinische Embryologie, 5. Auflage, Georg Thieme Verlag, Stuttgart 1977, ISBN 3-13-446605-8, S. 261–281.