Tigermilz

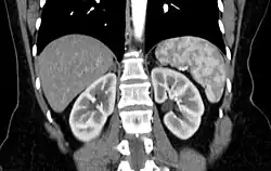
Der Begriff Tigermilz wird in der Röntgendiagnostik bei der Computertomographie verwendet und bezeichnet die fleckige, marmorierte Darstellung der Milz in der arteriellen Kontrastmittelphase. Dabei handelt es sich nicht um einen krankhaften Befund. Vielmehr entsteht das Bild durch die unterschiedliche schnelle Anflutung des Kontrastmittels in der Pulpa- und Trabekelstruktur der Milz.
Quellen
- S. Feuerbach: Handbuch diagnostische Radiologie: Gastrointestinales System bei Springer 2007 ISBN 9783540414186
- H. Wegener: Ganzkörper-computer-tomographie Blackwell, 1992, Berlin ISBN 389412105X