Talusspalte
| Klassifikation nach ICD-10 | |
|---|---|
| Q66.8 | Sonstige angeborene Deformitäten der Füße |
| ICD-10 online (WHO-Version 2019) | |
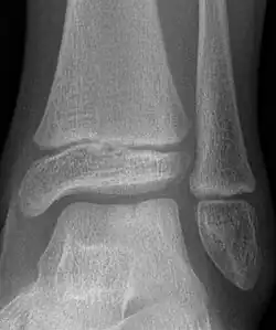
Die Talusspalte (lateinisch Talus bipartitus, englisch talus cleft, split talus oder bipartite talus) ist eine seltene Ossifikationsstörung mit einer bei Geburt vorliegenden Spaltbildung im Sprungbein (Talus), nicht zu verwechseln mit dem außerhalb der Gelenkflächen liegenden Os trigonum.
Grundsätzlich kann ein Spalt in der Sagittalebene oder sehr selten koronar in der Frontalebene verlaufen.[1]
Eine Talusspalte kann beim Osebold-Remondini-Syndrom vorkommen.
Kommt es im Verlaufe des Wachstums zur Fusion mit Auffüllen dieses Spaltes, ist diese Auffälligkeit als Normvariante anzusehen, treten jedoch Beschwerden auf, ist hauptsächlich die Osteochondrosis dissecans der Talusrolle differentialdiagnostisch abzugrenzen.[2][3]

Diagnose
Bildgebend wird die Veränderung bereits im Röntgenbild ersichtlich und kann mittels Kernspintomographie oder Computertomographie genauer dargestellt werden.
Differentialdiagnose
Abzugrenzen ist ein üblicherweise lateral oder medial lokalisierter OD-Herd der Talusrolle.
Behandlung
Sollte sich im Verlauf des Wachstums nicht eine Ausheilung mit Fusion ergeben, kommen gegebenenfalls auch operative Maßnahmen infrage.[4]
Literatur
- J. Griffet, J. Habre, A. Abou-Daher, T. El Hayek: Talus bipartitus. In: Revue de chirurgie orthopédique et réparatrice de l'appareil moteur. Bd. 90, Nr. 4, Juni 2004, S. 369–371, ISSN 0035-1040. PMID 15211267.
- S. Rammelt, H. Zwipp, A. Prescher: Talus bipartitus: a rare skeletal variation: a report of four cases. In: The Journal of Bone & Joint Surgery. Bd. 93, Nr. 6, März 2011, S. e21, ISSN 1535-1386. doi:10.2106/JBJS.J.00610. PMID 21411696.
- E. Thiel, J. Feibel, N. Chorey, R. Gorsline: Bipartite talus: a case report. In: Foot & ankle international. Bd. 31, Nr. 6, Juni 2010, S. 552–555, ISSN 1071-1007. doi:10.3113/FAI.2010.0552. PMID 20557824.
- S. L. Weinstein, M. Bonfiglio: Unusual accessory (bipartite) talus simulating fracture. A case report. In: The Journal of bone and joint surgery. American volume. Bd. 57, Nr. 8, Dezember 1975, S. 1161–1163, ISSN 0021-9355. PMID 1202009.
Einzelnachweise
- ↑ W. Blauth, K. Harten, A. Kirgis: Frontale Talusspalte - Talus bipartitus. In: Zeitschrift für Orthopädie und ihre Grenzgebiete. Bd. 125, Nr. 3, 1987 May-Jun, S. 302–307, ISSN 0044-3220. doi:10.1055/s-2008-1044731. PMID 3673180.
- ↑ F. Hefti: Kinderorthopädie in der Praxis. Springer 1998, ISBN 3-540-61480-X, S. 392
- ↑ A. Köhler, E. A. Zimmer, J. Brossmann, C. Czerny, J. Freyschmidt: Grenzen des Normalen und Anfänge des Pathologischen in der Radiologie des kindlichen und erwachsenen Skeletts. Thieme 2011, ISBN 3-13-362214-5, S. 795
- ↑ B. Rose, C. Southgate, L. Louette: Bipartite talus: a case series and algorithm for treatment. In: Foot and ankle surgery : official journal of the European Society of Foot and Ankle Surgeons. Bd. 19, Nr. 2, Juni 2013, S. 96–102, ISSN 1460-9584. doi:10.1016/j.fas.2012.11.011. PMID 23548450.
Weblinks
- Eintrag zu Bipartite Talus. In: Orphanet (Datenbank für seltene Krankheiten)