Spieghel-Hernie
| Klassifikation nach ICD-10 | |
|---|---|
| K43 | Hernia ventralis (epigastrisch, Narbe) |
| ICD-10 online (WHO-Version 2019) | |
Die Spieghel-Hernie (lateinisch Hernia spiegheli, Hernia linea semilunaris oder Hernia ventralis lateralis) ist eine Hernie (Bauchwandbruch), die sich im Bereich des hinteren Blattes der Rektusscheide (Linea semilunaris) in die Bauchdecke hinein erstreckt. Sie ist benannt nach dem flämischen Anatomen Adriaan van den Spieghel (1578–1625).
Anatomie
Durchbruch von Bauchinhalt durch die Bauchwand. Die Bruchpforte liegt zwischen der Faszie des M. transversus abdominis bzw. M. obliquus internus (lateraler Rand) und Rektusscheide (medialer Rand). Den lateralen Rand nennt man Linea semilunaris Spiegheli, da er eine halbmondförmige Kontur hat. Meistens treten die Hernien auf Höhe der Linea arcuata aus.
Eine Einklemmung des Darminhaltes (Inkarzeration) ist häufig die Gefahr bei dieser sehr seltenen Hernie. Um einen Darmverschluss (Ileus) mit folgender Darmnekrose zu verhindern, ist eine schnelle operative Versorgung notwendig.
Klinik

Als Symptomatik besteht ein ziehender Schmerz auf der betroffenen Unterbauchseite.
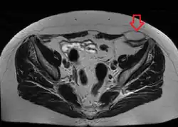
Kleine Spieghel-Hernien sind in der klinischen Untersuchung nicht immer tastbar, zusätzlich kann die Diagnostik erschwert sein durch Adipositas. Sonographie (Ultraschall-Untersuchung) und falls nötig Computer- oder Kernspintomographie sichern die Diagnose.
Die Therapie besteht in der Freilegung und Abtragung des Bruchsackes mit Rekonstruktion der Bauchwand. Die Lücke wird durch eine Naht der Aponeurose verschlossen.
Literatur
- A. Prokop, M. Gawenda und M. Walter: Die Spieghel-Hernie – seltene Ursache eines akuten Abdomens. Langenbeck’s Archives of Surgery, V. 377 Nr. 2, Springer-Verlag, Berlin – Heidelberg März 1992, ISSN 1435-2443 / ISSN 1435-2451; hier online