Schizenzephalie
| Klassifikation nach ICD-10 | |
|---|---|
| Q04.6 | Angeborene Gehirnzysten |
| ICD-10 online (WHO-Version 2019) | |


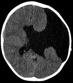
Unter dem Begriff Schizenzephalie wird eine seltene kortikale Fehlbildung des Gehirns auf der Grundlage einer Homöobox-Genmutation (EMX2) verstanden. Sie wird zur Gruppe der Fehlbildungen des Zentralnervensystems gezählt.
Ursache
Als Ursache konnte nachgewiesen werden, dass es zu einem Ausfall eines für die Proliferation der Vorstufe der Neuronen im Bereich der Hirnrinde zuständigen Transkriptionsfaktors gekommen ist. Dadurch entstehen bereits in der pränatalen (vorgeburtlichen) Entwicklung des Kindes Spaltbildungen unterschiedlicher Grade zwischen den beiden Großhirnhälften (Hirnhemisphären). Liegen diese Fehlbildungen bilateral (beidseitig) vor, kann es zu einer Verbindung (Kommunikation) zwischen Hirnventrikeln kommen.
Diagnose
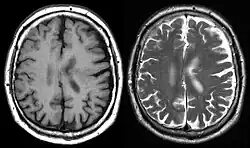
Die Diagnose kann nachgeburtlich mittels Ultraschall gestellt werden, die Magnetresonanztomografie kann hilfreich sein, um das Vorliegen anderer Gyrierungsstörungen zu überprüfen.
Auswirkungen
Es ist möglich, dass es keine besonderen Auffälligkeiten im klinischen Bild gibt, es gibt leichte Formen und es kann zu schweren und schwersten Entwicklungsstörungen kommen. Begleitend kann es insbesondere bei schwerster Schizenzephalie zu spastischer Quadriplegie und Epilepsie kommen.
Kinder mit schwerster Fehlbildung haben häufig eine vergleichsweise niedrige Lebenserwartung.
Schizenzephalie tritt bei etwa 5 von 10 Kindern mit einer Septo-optikalen Dysplasie (De-Morsier-Syndrom) und bei etwa 7 von 10 Kindern mit einer Dandy-Walker-Malformation auf.
Häufigkeit und Erbgang
Es sind bislang nur wenige Fallbeispiele dokumentiert. Orphanet gibt die Häufigkeit mit 1–9 von 100.000 an[1]. Die Mehrzahl ist als sporadisch einzustufen, bei zwei Brüdern ist die Besonderheit ebenfalls beschrieben worden. Der Erbgang ist autosomal-dominant oder rezessiv, der Genort ist auf Chromosom 10 q26.1.[2] Allelie kann in unterschiedlich schwerer Form vorliegen.
Literatur
- Deeg, K. H.: Sonographische Diagnostik zerebraler Fehlbildungen. Migrationsstörungen: Lissenzephalie, Schizenzephalie und Hemimegalenzephalie.
Einzelnachweise
- ↑ Eintrag zu Schizenzephalie. In: Orphanet (Datenbank für seltene Krankheiten)
- ↑ Schizenzephalie. In: Online Mendelian Inheritance in Man. (englisch).
Weblinks
- Klinische Manifestationen der Schizenzephalie und ihre sonographische Diagnostik. In: Ultraschall in der Medizin. 20, S. 263–267, doi:10.1055/s-1999-8917.
- J. Froelich, R. Sassen, C. E. Elger, G. Lehmkuhl: Gelastic Fits in a Two Years Old Boy with a Complex Cerebral Malformation. In: Klinische Pädiatrie. 215, 2003, S. 65–68, doi:10.1055/s-2003-38502.