Sézary-Syndrom
| Klassifikation nach ICD-10 | |
|---|---|
| C84.1 | Sézary-Syndrom ICD-O M9701/3 |
| ICD-10 online (WHO-Version 2019) | |

Sézary-Syndrom, benannt nach dem französischen Dermatologen Albert Sézary (1880–1956), ist ein aggressives kutanes T-Zell-Lymphom mit leukämischer Beteiligung und den Symptomen: großflächige Hautrötung (Erythrodermie), starker Juckreiz (Pruritus), Lymphknoten-Vergrößerung, oft Haarausfall (Alopezie) der gesamten Körperbehaarung, überschießender Hautverhornung (Hyperkeratose) und Nagelfehlbildungen (Onychodystrophie).

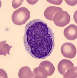
Das Sézary-Syndrom ist durch im Blut zirkulierende sowie in der Hautbiopsie vorzufindende atypische (entartete) CD4-positive T-Lymphozyten gekennzeichnet.
Wichtigste Differentialdiagnose des Sézary-Syndroms ist die Mycosis fungoides, die häufigste Unterform der kutanen T-Zell-Lymphome. Beide Erkrankungen werden mit PUVA therapiert, zum Teil in Kombination mit Retinoiden, wobei das Sézary-Syndrom eine schlechtere Prognose hat als die Mycosis fungoides mit etwa 50 % Heilungsrate. Beim Sézary-Syndrom ist zudem die extrakorporale Photopherese wirksam. In fortgeschrittenen Stadien können Therapieversuche mit Interferonen oder Chemotherapeutika unternommen werden. Außerdem ist seit 2018 der monoklonale Antikörper Mogamulizumab für die Behandlung des Sézary-Syndroms in der EU zugelassen.[1] Bei dem häufigen Therapie-Versagen kommt eine Knochenmarktransplantation in Frage.[2]
Weitere Differentialdiagnosen umfassen die atopischen Hauterkrankungen Neurodermitis und Psoriasis.
Literatur
- Pschyrembel Klinisches Wörterbuch. 257. Auflage. Verlag Walter de Gruyter, 1993, ISBN 3-933203-04-X, S. 1016
- Harrisons Innere Medizin. 15. Auflage (dt. Ausgabe). Bd. 1, McGraw-Hill/ABW-Wissenschaftsverlag, 2003, ISBN 3-936072-10-8, S. 357f.
Weblinks
- Eintrag auf DermIS (Portal der Uni Erlangen-Nürnberg und der Uni Heidelberg) zum Sézary-Syndrom mit Abbildungen
- Eintrag zum Sézary-Syndrom in Altmeyers Enzyklopädie (online), Springer 2017
Einzelnachweise
- ↑ Anonymous: Poteligeo. 24. September 2018, abgerufen am 8. Juni 2019 (englisch).
- ↑ Heloise Mazoyer, Claude Bachmeyer: Sézary Syndrome New England Journal of Medicine 2025, Band 392, Ausgabe 12 vom 27. März 2025, Seite e31, DOI: 10.1056/NEJMicm2411990