Rückfallfieber
| Klassifikation nach ICD-10 | |
|---|---|
| A68 | Rückfallfieber |
| A68.0 | Durch Läuse übertragenes Rückfallfieber Rückfallfieber durch Borrelia recurrentis |
| A68.1 | Durch Zecken übertragenes Rückfallfieber Rückfallfieber durch jede Borrelienart, ausgenommen durch Borrelia recurrentis |
| ICD-10 online (WHO-Version 2019) | |
| Klassifikation nach ICD-11 | |
|---|---|
| 1C1J | Rückfallfieber |
| 1C1J.0 | Durch Zecken übertragenes Rückfallfieber |
| 1C1J.1 | Durch Läuse übertragenes Rückfallfieber |
| 1C1J.Z | Rückfallfieber, nicht näher bezeichnet |
| ICD-11: Englisch • Deutsch (Entwurf) | |
Unter Rückfallfieber (lateinisch Febris recurrens, englisch relapsing fever, spirillium fever) versteht man zwei von Rückfallfieber-Borrelien verursachte bakterielle Infektionskrankheiten aus der Gruppe der Spirochätosen, die durch mehrmalige Fieberschübe, sogenanntes rekurrentes Fieber, charakterisiert sind. In Deutschland nachgewiesene Rückfallfieber-Fälle sind ausnahmslos seltene, importierte reisemedizinische Erkrankungen, die im deutschen Sprachraum früher nur in Kriegszeiten vorkamen. Zwei nach Erregern und Übertragung unterschiedliche Arten von Rückfallfieber sind bekannt: das seltene, aber dann meist epidemisch vorkommende Läuserückfallfieber (englisch louse-borne relapsing fever, LBRF, hauptsächlicher Erreger ist Borrelia recurrentis) und das Zeckenrückfallfieber, genannt auch Zeckenfieber (englisch tick-borne relapsing fever, TBRF, meist durch Borrelia duttoni verursacht).
Rückfallfieber wird durch Gliederfüßer (Läuse, Zecken) übertragen und gehört damit in die Gruppe der bakteriellen Zoonosen oder Arthropozoonosen (durch Gliederfüßer übertragene Erkrankungen). Zusammen mit der Lyme-Borreliose werden die Rückfallfieber-Erkrankungen den menschlichen Borreliosen zugerechnet und sind voneinander gut abzugrenzen. Läusebisse als Ursache der Infektion mit Rückfallfieber erkannte Osip Osipovič Močutkovskij (1845–1903), der Leiter der Infektionsabteilung am Städtischen Krankenhaus von Odessa.[1] Die Erreger des Rückfallfiebers wurden bereits 1868 von Otto Obermeier (1843–1873) erstmals im Blut von Erkrankten entdeckt. Obermeier teilte dies auf einer Sitzung der Berliner medicinischen Gesellschaft am 26. Februar 1873 öffentlich mit.[2] Damit gilt das Rückfallfieber als erste menschliche Infektionskrankheit, bei der dies gelang. Die Spezies Borrelia recurrentis trug daher zunächst nach ihrem Entdecker den Namen Borrelia obermeieri (zuvor Spirochaeta obermeieri).
Dass das Rückfallfieber durch Blut übertragen werden kann, stellte Gregor N. Münch (1836–1896) 1874 im Selbstversuch fest. Münch war zudem überzeugt davon, dass Insekten die Infektionsträger sind.[3]
Läuserückfallfieber

Durch Kleider- oder selten Kopfläuse (Pediculus humanus var. corporis bzw. capitis), die sich während einer Blutmahlzeit am fiebernden Patienten mit Borrelia recurrentis infizieren, wird das Läuserückfallfieber übertragen. Die Erreger vermehren sich etwa sechs Tage in der Laus und reichern sich im Haemocoel (von Organen und Hämolymphe angefüllter Leibesraum) an; Verdauungstrakt und Speicheldrüsen der Laus werden nicht infiziert, so dass eine Übertragung auf den Menschen nur erfolgen kann, wenn die Laus verletzt oder zerdrückt wird und die Haemolymphe austreten kann. Bei einer ungestörten Blutmahlzeit werden die Borrelien daher nicht übertragen. Die Laus kann Borrelia recurrentis nicht auf ihre Nachkommen übertragen. Weitere tierische Reservoire für B. recurrentis sind bislang nicht bekannt.
Das Läuserückfallfieber ist endemisch in Südamerika (Peru, Bolivien, nördliches Brasilien), in Nord- und Äquatorialafrika, Eritrea, Äthiopien, Somalia, Osteuropa und vereinzelt in Ländern des Nahen und Mittleren Ostens, Japan und vereinzelt weiteren asiatischen Ländern. Besonders bei Reisen unter schlechten hygienischen Bedingungen in endemische Gebiete besteht ein erhöhtes Infektionsrisiko. In Massenquartieren, Gefängnissen und Flüchtlingslagern kann es zu größeren Ausbrüchen kommen, die dem Auftreten von Fleckfieber, auch „Läusefieber“ genannt, ähnlich sind.
In Europa (Niederlande, Schweiz, Deutschland) kam es im Sommer 2015 zu mehreren diagnostizierten Fällen eines importierten Läuserückfallfiebers bei Flüchtlingen aus Eritrea und weiteren Ländern am Horn von Afrika. Die Übertragungen seien auch zusätzlich auf dem Fluchtweg in Unterkünften in Rom vorgekommen.[4][5] Die klinischen Verläufe waren überwiegend schwer und bedurften auch aufgrund der auftretenden Herxheimer-Reaktion intensivmedizinischer Betreuung. Im gleichen Zeitraum wurden drei gleichgelagerte Fälle in Deutschland identifiziert.[6]
Zeckenrückfallfieber
Bei den infizierten Zecken finden sich die Borrelien unter anderem im Speicheldrüsensekret, so dass eine Infektion des Menschen bei jeder Blutmahlzeit erfolgen kann. Zusätzlich werden die Erreger an die Nachkommen der Zecke weitergegeben, die dann schon als jugendliche Formen (Zeckennymphe) die Borrelien übertragen können. Als weitere natürliche Reservoirs des Erregers dienen zahlreiche Tierarten, vorwiegend Nager. Das Zeckenrückfallfieber ist nicht mit der in Europa vorkommenden Lyme-Borreliose (Zeckenborreliose) zu verwechseln.
Das Vorkommen des Zeckenrückfallfiebers ist an das Vorhandensein der übertragenden Zeckenarten der Gattung Ornithodoros (Familie der Lederzecken) gebunden. Das Zeckenrückfallfieber findet sich, neben den Verbreitungsgebieten des Läuserückfallfiebers, zusätzlich in Nord- und Mittelamerika und im südlichen Afrika, jedoch nicht in Australien. In Europa ist es nur in Spanien und Portugal nachweisbar.
Erreger und Labordiagnostik

Bei Läuserückfallfieber wird in Asien, Afrika und Amerika meist nur B. recurrentis nachgewiesen. Die bei Zeckenrückfallfieber nachweisbaren Arten sind Borrelia duttoni, B. crocidurae (beide überwiegend in Afrika), B. hispanica (Erreger des spanischen Rückfallfiebers, früher Spirochaeta hispanica genannt), B. hermsii, B. venezuelensis, B. turicatae, B. mazzottii, B. persica und B. parkeri.
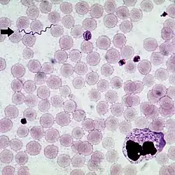
Die Gattung Borrelia gehört zur Familie der Spirochäten; die Borrelien sind durch eine langgestreckte und schraubenförmig gewundene Form leicht unter dem Mikroskop zu erkennen. Rückfallfieber-Borrelien lassen sich, im Gegensatz zu anderen Spirochäten, einfach anfärben (beispielsweise durch Giemsa-Färbung) oder durch Acridin-Orange im Fluoreszenz-Mikroskop darstellen. Hierzu wird wie bei der Diagnose der Malaria ein angereicherter Blutausstrich als so genannter Dicker Tropfen untersucht. Die Blutprobe sollte nur während der Fieberschübe entnommen werden, da nur dann die Erreger im Blut vorhanden sind. Die Erreger sind zwischen den Erythrozyten als dünne, lange und schraubig gewundene Bakterien zu erkennen. Die Konzentration der Erreger ist während der akuten Erkrankungsschübe sehr hoch; dies unterscheidet die Rückfallfieber von anderen Erkrankungen mit Spirochäten (Lyme-Borreliose, Leptospirose oder Syphilis), bei der die Erreger im Blutausstrich nicht sichtbar sind. Spezialisierte Labors können den Nachweis und die Unterscheidung der verschiedenen Borrelien-Arten auch mit Hilfe molekularer Methoden wie der Polymerase-Kettenreaktion und der Sequenzierung bestimmter Genabschnitte durchführen.
Der Nachweis von spezifischen Antikörpern im Blut ist routinemäßig nicht möglich und auch nicht sinnvoll. Häufig werden Antikörper-Nachweisverfahren für die Lyme-Borreliose bei Rückfallfieber durch Kreuzreaktionen falsch positiv.
| Borrelia duttoni | Lederzecke der Art Ornithodorus moubata | Zentralafrika |
| Borrelia hispanica | Lederzecke der Art Ornithodorus erraticus | Iberische Halbinsel, Nordafrika |
| Borrelia crocidurae | Lederzecke der Art O. erraticus | Nordafrika |
| Borrelia merionesi | Lederzecke der Art O. erraticus | Ägypten, Senegal |
| Borrelia microti | Lederzecke der Art O. erraticus | Türkei, Kenia |
| Borrelia dipodilli | Lederzecke der Art O. erraticus | Iran |
| Borrelia persica | Lederzecke der Art Ornithodorus tholozani | Asien bis Ägypten |
| Borrelia caucasica | Lederzecke der Art Ornithodorus verrucosus | Kaukasusregion |
| Borrelia latyschewii | Lederzecke der Art Ornithodorus tartakovskii | Iran, Zentralasien |
| Borrelia hermsii | Lederzecke der Art Ornithodorus hermsii | West-USA |
| Borrelia turicatae | Lederzecke der Art Ornithodorus turicata | Südwest-USA |
| Borrelia mazzoni | Lederzecke der Art Ornithodorus talaje | Süd-USA |
| Borrelia venezuelensis | Lederzecke der Art Ornithodorus rudis | Zentral- + Südamerika |
| Borrelia coriacea | Lederzecke der Art Ornithodorus coriaceus | West-USA |
| Borrelia theileri | Zecken der Gattung Rhipicephalus | weltweit |
| Borrelia anserina | Zecken der Gattung Argas | weltweit |
| Borrelia recurrentis | Kleiderlaus (Pediculus humanus humanus) | Äthiopien |
Fast allen Rückfallfieber-Borrelien dienen Zecken aus der Gattung Ornithodorus als Vektor. Jeder speziellen Ornithodorus-Art ist meistens nur eine eigene Borrelienart zugeordnet. Einige dieser Erreger sind für den Menschen nicht pathogen (krankheitsauslösend). In anderen Säugetieren können sie jedoch Krankheiten verursachen, beispielsweise ist Borrelia coriacea für Fehlgeburten bei Hirschen und Rindern verantwortlich und Borrelia anserina ist ausschließlich für Vögel pathogen.
Erkrankung
Krankheitsentstehung
Nach Eintritt der Erreger, auch über die intakte Haut oder Schleimhaut, kommt es über Lymph- und Blutgefäße zu einer Ausbreitung über den gesamten Organismus. Die Rückfallfieber-Borrelien vermehren sich nur innerhalb der Blutgefäße, können sich aber in andere Organe ablagern und dort persistieren. Nachdem das Immunsystem zunächst die Erreger mittels phagozytärer Zellen aus der Blutbahn eliminiert, kommt es nach einigen Tagen durch Plasmid-vermittelte, genetische Veränderung der Oberflächenproteine der Borrelien zu einer erneuten Vermehrung in der Blutbahn; dies entspricht dem zweiten Fieberanstieg. Dieses Wechselspiel zwischen Eliminierung und Anpassung des Erregers kann sich mehrmals, beim Läuserückfallfieber bis zu viermal, beim Zeckenrückfallfieber bis zu elfmal wiederholen. In jeder Vermehrungsphase tritt das hohe, durch Zytokine vermittelte Fieber auf. Die Erreger verursachen Schädigungen des Gefäßendothels mit zunehmender Blutungsneigung und Nekrosen in den befallenen Organen. Wird der Erreger nicht endgültig eliminiert, kommt es zum tödlichen Verlauf durch Sepsis und Multiorganversagen.
Erneute Infektionen nach überstandenem Rückfallfieber sind möglich und verlaufen dann aufgrund einer erworbenen Teilimmunität normalerweise etwas milder. Durch das regelmäßige Vorkommen der Rückfallfieber-Borrelien im Blut kann auch in seltenen Fällen eine Übertragung durch Bluttransfusion, Laborinfektion oder konnatal (von der Mutter auf das Kind) vorkommen.
Klinischer Verlauf

Nach einer Inkubationszeit von 1–14 Tagen (häufig etwa fünf Tage) beginnt die Erkrankung mit plötzlichem hohen Fieber, Gelenk-, Kopf-, Brust- und Gliederschmerzen, Übelkeit, teilweise Atemnot. Es können Husten und ein kleinfleckiges Exanthem hinzutreten. Auch verstärkte Blutungsneigung mit Nasenbluten und Einblutungen in die Haut sind nicht selten, ebenso Bewusstseinseintrübung und Gelbfärbung der Haut (Ikterus).
Der erste Fieberschub dauert, was bereits einem Autor der hippokratischen Schriften[8] bekannt war, etwa 5–7 Tage gefolgt von einem fieber- und symptomfreien Intervall von 1–21 Tagen (häufig 5–7 Tage). Die folgenden Fieberanfälle nehmen in der Regel an Dauer und Intensität ab. Das Zeckenrückfallfieber kann zudem noch das Zentralnervensystem in Form einer Hirnhautentzündung (Meningitis) befallen. Beim Läuserückfallfieber, das oft schwerer verläuft, kann eine spontane Jarisch-Herxheimer-Reaktion zum Tod führen.
Prognose
Das unbehandelte Rückfallfieber hat üblicherweise eine Letalität von 20 %, beim Läuserückfallfieber bis zu 50 % (bei Epidemien bis 70 %). Bei einfacher antibiotischer Behandlung liegt diese bei 1–5 %. Bei einer Infektion in der Schwangerschaft ist ein Verlust der Leibesfrucht eine häufige Komplikation. Oft führen schon die starken Fieberschübe zum Abort.
Therapie
Das Rückfallfieber wird antibiotisch mit Tetracyclinen oder Erythromycin behandelt. Gegenwärtig gilt Doxycyclin bei Erwachsenen und nicht-schwangeren Frauen als Mittel der Wahl. Nach Gabe von Penicillin sind Rückfälle beschrieben. Das ebenfalls wirksame Chloramphenicol kommt wegen seiner Nebenwirkungen in der Regel nicht in Frage.
Ein häufiger Fehler bei der Therapie der Rückfallfieber ist ein zu langer Zeitraum zwischen den einzelnen Antibiotika-Gaben; meistens darf ein Intervall von sechs Stunden nicht überschritten werden. Der Patient ist bei ambulanter Behandlung darauf hinzuweisen, dass er sich notfalls nachts einen Wecker stellen muss, um die notwendigen Einnahmezeiten bei Antibiotika mit kurzer Halbwertszeit einzuhalten. Dies gilt beispielsweise nicht für Doxycyclin. Eine Therapiedauer von sieben Tagen ist meist ausreichend.
Eine gefährliche Komplikation besonders der Läuserückfallfieber-Therapie ist die Jarisch-Herxheimer-Reaktion, die entstehen kann, wenn antibiotisch abgetötete Borrelien plötzlich massenhaft zerfallen. Es kommt zur Freisetzung bakterieller Gifte (Endotoxine) mit der Gefahr des Kreislaufschocks. Daher ist eine Therapie unter der Möglichkeit einer sofortigen intensivmedizinischen Betreuung zu Anfang stationär durchzuführen.
Prävention und Bekämpfung
In endemischen Gebieten gilt der Schwerpunkt der Bekämpfung der übertragenden Läuse durch Entwesung von Unterkünften, Lagern und Kleidung. Bei der Entlausung von Personen ist zu beachten, dass eine mechanische Verletzung der Parasiten (zum Beispiel durch Läusekämme) vermieden werden muss. Bei Reisen ist der mögliche Kontakt mit den Parasiten zu vermeiden: Hygienisch akzeptable Unterkünfte sind zu bevorzugen. Zum Schutz gegen Zecken in naturnahen Gebieten ist eine geschlossene Kleidung sinnvoll. Kann man einen möglichen Kontakt mit den Überträgern in bekannten Infektionsgebieten nicht vermeiden, so ist eine Chemoprophylaxe mit Tetracyclinen möglich. Eine Impfung steht derzeit nicht zur Verfügung.
Meldepflicht
Nach dem alten Bundes-Seuchengesetz waren in Deutschland der Verdacht, die Erkrankung und der Tod an Rückfallfieber meldepflichtig. Derzeit gilt bei direktem oder indirektem Nachweis des Erregers Borrelia recurrentis im Zusammenhang mit einer akuten Erkrankung eine namentliche Meldepflicht nach § 7 Abs. 1 Nr. 4 des Infektionsschutzgesetz (IfSG), im Regelfall für die Leitung des untersuchenden Labors (siehe § 8 IfSG). Nach dem Recht Sachsens besteht nach § 1 Abs. 1 Nr. 17 Sächsische Infektionsschutz-Meldeverordnung eine namentliche Meldepflicht bezüglich Erkrankung und Tod an Rückfallfieber.[9]
In Österreich ist Rückfallfieber eine anzeigepflichtige Krankheit gemäß § 1 Abs. 1 Nr. 2 Epidemiegesetz 1950. Meldepflichtig sind Erkrankungs- und Todesfälle. Zur Anzeige verpflichtet sind unter anderen Ärzte und Labore (§ 3 Epidemiegesetz 1950).
Literatur
- Karl Wurm, A. M. Walter: Infektionskrankheiten. In: Ludwig Heilmeyer (Hrsg.): Lehrbuch der Inneren Medizin. Springer-Verlag, Berlin / Göttingen / Heidelberg 1955; 2. Auflage ebenda 1961, S. 9–223, hier: S. 152–154.
Weblinks
- Läuserückfallfieber – Informationen des Robert Koch-Instituts (Deutschland)
- Rückfallfieber (Borrelia recurrentis, Borrelia duttoni). Bundesministerium für Soziales, Gesundheit, Pflege und Konsumentenschutz, 30. Juli 2024 (Österreich).
- Relapsing Fever. Centers for Disease Control (CDC), Seite zu Rückfallfieber.
Einzelnachweise
- ↑ J. Stahnke: Ludwik Teichmann (1823–1895). Anatom in Krakau. In: Würzburger medizinhistorische Mitteilungen. Band 2, 1984, S. 205–267, hier: S. 216.
- ↑ Otto Obermeier: Die Entdeckung von fadenförmigen Gebilden im Blut von Rückfallfieberkranken. (1873). Eingeleitet und neu herausgegeben von Heinz Zeiss. Unveränderter Nachdruck [deutsche Ausgabe] Barth, Leipzig 1926 (= Klassiker der Medizin. Band 31), S. 26 ff.
- ↑ Paul Diepgen, Heinz Goerke: Aschoff: Kurze Übersichtstabelle zur Geschichte der Medizin. 7., neubearbeitete Auflage. Springer-Verlag, Berlin / Göttingen / Heidelberg 1960, S. 42.
- ↑ K. R. Wilting et al.: Louse-borne relapsing fever (Borrelia recurrentis) in asylum seekers from Eritrea, the Netherlands, July 2015. In: Eurosurveillance, Band 20, Nr. 30, 2015, PMID 26250069; eurosurveillance.org (PDF; 554 kB).
- ↑ D. Goldenberger et al.: Louse-borne relapsing fever (Borrelia recurrentis) in an Eritrean refugee arriving in Switzerland, August 2015. In: Eurosurveillance, Band 20, Nr. 32, 2015, eurosurveillance.org (PDF; 888 kB).
- ↑ Epidemiologisches Bulletin, 2015, Nr. 33, S. 326; rki.de (PDF; 101 kB).
- ↑ Rüdiger Braun: Reise- und Tropenmedizin. Kursbuch für Weiterbildung, Praxis und Beratung. Schattauer, Stuttgart / New York 2005, ISBN 3-7945-2286-9, S. 85, Google-books.
- ↑ Georg Sticker: Hippokrates: Der Volkskrankheiten erstes und drittes Buch (um das Jahr 434–430 v. Chr.). Aus dem Griechischen übersetzt, eingeleitet und erläutert. Barth, Leipzig 1923 (= Klassiker der Medizin. Band 29); unveränderter Nachdruck: Zentralantiquariat der Deutschen Demokratischen Republik, Leipzig 1968, S. 120 f.
- ↑ Staatsministerin für Soziales und Gesellschaftlichen Zusammenhalt: Sächsische Infektionsschutz-Meldeverordnung. Vollzitat: Sächsische Infektionsschutz-Meldeverordnung vom 19. Juli 2024 (SächsGVBl. S. 745). In: revosax.sachsen.de. Abgerufen am 21. Oktober 2024 (Fassung gültig ab: 17. August 2024).