Pyomyositis
| Klassifikation nach ICD-10 | |
|---|---|
| M60.0 | Infektiöse Myositis, Tropische Pyomyositis (gegebenenfalls zusätzlich B95–B97 zur Angabe des Infektionserregers; B95.6 für Staphylococcus aureus) |
| ICD-10 online (WHO-Version 2019) | |
Pyomyositis, auch als Pyomyositis tropicans, Myositis purulenta, Bungpagga oder Lambo Lambo bezeichnet, ist eine akute bakterielle Infektion der Skelettmuskulatur, die in der Regel durch den Erreger Staphylococcus aureus hervorgerufen wird. Wichtigstes Symptom der Erkrankung im fortgeschrittenen Stadium sind eitergefüllte Abszesse in den Muskeln. Sie ist in tropischen Bereichen deutlich weiter verbreitet als in anderen Regionen, in denen sie als selten gilt und häufig bei immungeschwächten Patienten auftritt. Die Behandlung erfolgt durch chirurgische Therapie der Abszesse sowie eine begleitende Gabe von Antibiotika.
Verbreitung
In den Tropen gilt die Pyomyositis als endemisch verbreitet, die Inzidenzrate liegt beispielsweise in Uganda bei 1:1000. In diesen Regionen beträgt der Anteil betroffener Patienten an allen Einlieferungen in Krankenhäuser ein bis vier Prozent und an den Todesfällen bis zu 13 Prozent. Die Erkrankung tritt hier mit einem Geschlechtsverhältnis (m/w) von 3:1 bis 5:3 überwiegend bei männlichen Patienten auf. Sie kann alle Altersgruppen betreffen, ist jedoch mit einem Altersschwerpunkt von 10 bis 40 Jahren vor allem bei Kindern und jüngeren Menschen zu finden.
In nicht-tropischen Bereichen ist die Pyomyositis hingegen in heutiger Zeit selten. Betroffen sind in diesen Regionen vor allem Erwachsene und ältere Menschen, eine erhöhte Prävalenz bei Männern oder bei Frauen ist nicht nachweisbar. Bei bis zu 75 Prozent der nicht-tropischen Fälle handelt es sich um eine Folgeerkrankung von schweren Immunschwächeformen wie zum Beispiel bei AIDS-Patienten, bei Krebspatienten mit Chemotherapie oder bei Patienten mit immunsuppressiver Behandlung nach Organtransplantation. So ist bei rund 20 Prozent der Pyomyositis-Patienten in den gemäßigten Regionen eine Infektion mit HIV nachweisbar. Darüber hinaus tritt die Erkrankung bei rund einem Viertel der Patienten aus Regionen mit gemäßigtem Klima in zeitlicher Nähe zu einer Reise in die Tropen auf. Trotzdem werden immer wieder Fälle aus den gemäßigten Klimaten ohne Anamnese einer Tropenreise berichtet (Broich 1991).
Eine vorhergehende oder begleitende Verletzung durch Unfälle oder andere Formen von Gewalteinwirkung im betroffenen Muskelbereich ist bei 25 bis 40 Prozent der Patienten nachweisbar. Als Inzidenzmaximum im Jahresverlauf gilt der Zeitraum von Juli bis September.
Ursache und Krankheitsentstehung

Ursache der Pyomyositis ist eine bakterielle Infektion der Skelettmuskulatur. Diese wird bei etwa 90 bis 95 Prozent der betroffenen Patienten in den Tropen und in rund 70 bis 75 Prozent der Erkrankungsfälle in den nicht-tropischen Regionen durch Staphylococcus aureus hervorgerufen. In bis zu fünf Prozent der sonstigen Fälle sind A-Streptokokken wie Streptococcus pyogenes nachweisbar, weitere beschriebene Erreger sind unter anderem Staphylococcus epidermidis, Streptococcus pneumoniae, Proteus mirabilis, Yersinia enterocolitica, Escherichia coli und verschiedene Salmonellenarten.
Aufgrund der Häufigkeit von Verletzungen unmittelbar vor der Erkrankung sowie dem Nachweis einer Pyomyositis nach Verletzung im Zusammenhang mit einer intravenösen Infektion mit Staphylococcus aureus in einem experimentellen Modell (Myake 1904) wird eine Verletzung von einigen Autoren als ausschlaggebend oder als Risikofaktor angesehen. Neben Trauma gelten auch intensive Belastung, generalisierte Muskelkontraktionen wie bei Elektrounfällen, chronische Erkrankungen wie Diabetes mellitus sowie die Einnahme von Medikamenten wie Zidovudin (AZT) oder Steroiden als mögliche Ursachen für Muskelschädigungen, die nach einer entsprechenden Infektion zu einer Pyomyositis an den betroffenen Muskeln führen können. Für die tropische Pyomyositis sind auch Wurmerkrankungen, beispielsweise mit Nematoden, oder Viren als Ursache oder Risikofaktoren postuliert worden.
Die genaue Pathogenese ist bisher nicht eindeutig geklärt, obwohl vieles für eine bakterielle Genese spricht. Es wird angenommen, dass es sich um eine Komplikation einer vorübergehenden Bakteriämie (Vorhandensein von Bakterien im Blut) handelt und dass durch eine Verletzung der Muskulatur ein Locus minoris resistentiae entsteht, also eine Stelle, an der die im Normalfall hohe Widerstandsfähigkeit von Muskelgewebe gegenüber bakteriellen Infektionen vermindert ist. Darüber hinaus begünstigt möglicherweise die Freisetzung von Eisen aus dem Myoglobin geschädigter Muskeln das Wachstum von Bakterien.
Klinische Erscheinungen
Bei der Verteilung der Abszesse können prinzipiell alle Muskeln am Körper betroffen sein. Die Häufigkeit scheint tendenziell der Verteilung der Muskelmasse zu entsprechen, weshalb große Muskeln häufiger betroffen scheinen. Die meisten Berichterstatter finden keine bevorzugte Seitenlokalisation (Broich 1991), so dass die aufgestellte Theorie der bevorzugten Rechtsseitigkeit wegen dort häufiger auftretenden Traumatisierungen (Asken und Cotton 1963) sich nicht halten lassen dürfte.
In der ersten Phase der Erkrankung, die auch als invasive Phase bezeichnet wird und rund zwei Wochen nach Infektion umfasst, sind die Symptome in der Regel subakut und unspezifisch, wodurch sie meist unerkannt bleiben beziehungsweise vernachlässigt werden. Die häufigsten Zeichen in dieser Phase sind Fieber und Appetitlosigkeit (Anorexie). Zu den lokalen Symptomen zählen Schwellungen und leichte Schmerzen. Nicht in allen Fällen treten in dieser Phase Hautrötungen (Erythema) und Überwärmung der betroffenen Stellen auf, da die Infektion noch in den tieferen Muskelbereichen lokalisiert ist.
In der auch als eiternde Phase bezeichneten zweiten Phase, in der oft die Diagnose erfolgt, kommt es zu hohem Fieber, Schüttelfrost sowie einem septisch bedingten Systemischem inflammatorischem Response-Syndrom (SIRS). Zu den lokalen Symptomen während dieser Phase zählen erhöhte Muskelspannungen und -schmerzen, Entzündungen der Haut und das Auftreten von Eiter.
In der dritten und schwerwiegendsten Phase, der sogenannten Spätphase, kommt es neben den bereits genannten Symptomen zu einer verstärkten Bildung von Eiter, der vermehrten Entstehung von Abszessen (abgekapselte Eiteransammlungen), Arthritiden (Gelenksentzündungen), einem Nierenversagen sowie zu einer Sepsis bis hin zum septischen Schock.
Untersuchungsmethoden

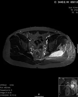
Die wichtigsten Diagnosemethoden beim Verdacht auf Pyomyositis sind bildgebende Verfahren wie die Sonographie, mit welcher Störungen der Muskelstruktur sowie das Vorhandensein von Eiteransammlungen in der Muskulatur bestätigt werden können. Der Nutzen ist jedoch eingeschränkt während der ersten Phase der Erkrankung. Mit einer Computertomographie können vor dem Auftreten von Abszessen Muskelschwellungen und verringerte Muskeldichte nachgewiesen werden, mit einer MRT-Untersuchung lassen sich Ausmaß und Lokalisation der Erkrankung beurteilen. Als Referenzmethode zum Nachweis multipler Abszesse gilt eine Gallium-Szintigraphie. Bildgebende Verfahren sind darüber hinaus wichtig für die Verlaufskontrolle.
Für den mikrobiologischen Erregernachweis, den Goldstandard für die definitive Diagnose der Erkrankung, erfolgt in der Regel eine Punktion der Abszesse oder eine Biopsie des Muskelgewebes. Blutkulturen sind in 5 bis 30 Prozent der Fälle positiv. Eine Biopsie ermöglicht darüber hinaus den differentialdiagnostischen Ausschluss anderer Muskelerkrankungen und -verletzungen wie Osteomyelitis und Polymyositis, Hämatomen und Muskelfaserrissen, Thrombosen der tiefen Venen sowie Trichinosen. Die Serumspiegel der Enzyme Creatin-Phosphokinase und Aldolase als Marker einer Muskelschädigung liegen typischerweise im Normbereich, Akute-Phase-Proteine wie C-reaktives Protein sind meist ebenso erhöht wie die Blutsenkungsgeschwindigkeit. Häufig nachweisbar im Zusammenhang mit einer Pyomyositis sind eine Leukozytose und eine Eosinophilie.
Pathologie
Pathologisch ist bei Pyomyositis eine ödematöse Auftrennung der Muskelfasern erkennbar, gefolgt von einer ungleichmäßigen Zellauflösung (Zytolyse) bis hin zu einer vollständigen nekrotischen Zersetzung betroffener Muskelstellen, die in unterschiedlicher Ausprägung in jeder Phase der Erkrankung nachweisbar ist. Die Muskelfasern, deren Querstreifung nicht mehr erkennbar ist, sind zunächst vorwiegend von Granulozyten und später von Lymphozyten, Plasmazellen und Makrophagen umgeben. Auch von Makrophagen phagozytierte Erreger sind häufig nachweisbar.
Behandlung
Zur Behandlung einer Pyomyositis erfolgt in der Regel die chirurgische Drainage der Abszesse, gegebenenfalls unter Nutzung der interventioneller Radiologie. Eine Amputation der betroffenen Muskelbereiche ist nur in seltenen Fällen notwendig. Begleitet wird diese Behandlung durch eine intravenöse Gabe von Antibiotika, deren Auswahl von der Bestimmung des Erregers sowie seinem Gram-Status und der Ermittlung seiner Resistenzen abhängt. Bei Diagnose in der ersten Phase der Erkrankung ist in der Regel eine alleinige Antibiotikatherapie erfolgversprechend. Für die Dauer der Behandlung gibt es keine etablierten Empfehlungen, sie beträgt in den meisten Fällen rund drei bis vier Wochen und richtet sich nach der individuellen Ausprägung der Erkrankung.
Vorbeugung
Etablierte Vorgaben zur Prophylaxe existieren für Pyomyositis nicht. Empfohlen wird gelegentlich die Beseitigung einer symptomlosen Besiedlung der Nasenschleimhaut mit Staphylococcus aureus, wie sie bei 25 bis 30 Prozent aller Menschen zu finden ist, durch die topische Anwendung von Mupirocin oder durch orale Gabe von Rifampicin.
Heilungsaussicht
Die Prognose der Pyomyositis gilt als sehr gut, sofern die Erkrankung in der ersten oder zweiten Phase erkannt wird und wirksame Antibiotika gegen den auslösenden Erreger zur Verfügung stehen. Die Mortalität beträgt bei rechtzeitiger Diagnose und angemessener Behandlung 0,5 bis zwei Prozent. Auch bei größeren Muskelschäden sind die daraus resultierenden dauerhaften Deformationen und Funktionseinschränkungen in der Regel gering.
Eine nicht oder zu spät erkannte beziehungsweise unbehandelte oder fortschreitende Erkrankung gilt hingegen als lebensbedrohlich, die Mortalität liegt in diesen Fällen bei rund zehn Prozent. Häufigste Todesursache sind septische Komplikationen, daneben können auch die Ruptur von begleitenden Abszessen in inneren Organen sowie eine eitrige Perikarditis oder eine Endokarditis zum Tod führen.
Geschichte

Die Erstbeschreibung erfolgte im Jahr 1852 durch Virchow in seiner Habilitationsschrift unter dem Namen "Spontane akute Myositis". Beschrieben wurde ein Krankheitsbild mit hohem Fieber, Schüttelfrost, Gliederschmerzen, Benommenheit, oft sogar mit Delirien, das in kurzer Zeit zum Tode führt. Die Ursache sah er in einer "Materia peccans zu Blute", ohne diese genauer zu bezeichnen. Gobée (1855) (Niederlande), Gay (1858) (England) und Gellé (1858) (Frankreich) beschrieben unabhängig voneinander Muskelabszesse. Alle diese Fälle verliefen tödlich.
Allgemein bekannt wurde die Erkrankung nach einer Beschreibung des in Japan tätigen deutschen Chirurgen Julius Scriba, der über vier Fälle aus Japan berichtete (1885). Etwa zur gleichen Zeit wie in Japan erschienen in Mitteleuropa zunehmend häufiger Berichte über dieses Krankheitsbild aus tropischen Kolonialgebieten (van Dorssen 1885) aus Java (damals: Niederländisch-Indien). Der heutige Begriff "Pyomyositis" wird erstmals als "Pyomyosite" von Commes (1918) verwendet.
Der älteste Bericht aus Nordamerika stammt von Mynter (1881) über einen Abszess des M. psoas. Im tropischen Südamerika wurde bereits von De Saliva (1866) ein Abszess des M. rectus abdominalis berichtet. Beide Fälle konnten durch Inzision geheilt werden. Mit dem Anstieg der Ausbreitung von HIV/Aids ab dem Ende der 1980er Jahre nahm auch in den westlichen Ländern die Zahl der Berichte über Pyomyositis-Fälle zu, obgleich sie hier noch immer als seltene Erkrankung gilt.
Literatur
- H. M. Broich: "Pyomyositis" -Eine tropische S. aureus-Erkrankung- ? Eine Übersichtsarbeit. Inaugural-Dissertation der Universität Köln, 1991. (199 Quellenangaben).
- F. Lanternier, N. Memain, O. Lortholary: Pyomyositis. In: Orphanet Encyclopedia. Veröffentlicht im März 2004, online verfügbar unter Orphanet: Pyomyositis (PDF-Datei, ca. 85 KB)
- L.N. Small, J.J. Ross: Tropical and Temperate Pyomyositis. In: Infectious Disease Clinics of North America. 19(4)/2005. Elsevier, S. 981–989, ISSN 0891-5520
- N.F. Crum-Cianflone: Infectious myositis. In: Best Practice & Research Clinical Rheumatology. 20(6)/2006. Elsevier, S. 1083–1097, ISSN 1521-6942
- S. Chauhan, S. Jain, S. Varma, S.S. Chauhan: Tropical pyomyositis (myositis tropicans): current perspective. In: Postgraduate Medical Journal. 80/2004. The Fellowship of Postgraduate Medicine, S. 267–270, ISSN 0032-5473
- S. Schalinski, M. Tsokos: Pyomyositis. In: Rechtsmedizin. 16(3)/2006. Springer, S. 151–155, ISSN 0937-9819
- A.K. Argawal, S. Singla, A. Sirohi: Tropical Pyomyositis. In: A.K. Argawal: Clinical Medicine. A Practical Manual for Students and Practitioners. Jaypee Brothers Publishers, New Delhi 2007, ISBN 81-8061-928-1, S. 368–373
- J. Bickels, L. Ben-Sira, A. Kessler, S. Wientroub: Primary Pyomyositis. In: Journal of Bone and Joint Surgery (American). 84/2002. The Journal of Bone and Joint Surgery, Inc. & Stanford University Libraries’ HighWire Press, S. 2277–2286, ISSN 0021-9355
Weblinks
- Pyomyositis: MRI images MRI-Bilder von Pyomyositis-Infektionen (englisch)
- John G. Bartlett: Antibiotic Guide: Pyomyositis Informationen zur Klinik, Diagnostik und Therapie von Pyomyositis (englisch)