Pseudoobstruktion
Die Pseudoobstruktion (auch Intestinale Pseudoobstruktion) des Darmes ist ein Fachbegriff aus der Medizin. Man bezeichnet damit einen ohne mechanische Ursache meist massiv geblähten, funktionell regungslosen (= atonen) Darm. Dieser Zustand tritt auch beim mechanischen Darmverschluss auf. Erstmals beschrieben hat das Krankheitsbild 1948 der britische Chirurg Heneage Ogilvie (1887–1971), daher wird synonym der Begriff Ogilvie-Syndrom gebraucht. Das Krankheitsbild ist selten, schwerwiegend und tritt vor allem bei alten Menschen, nach einer Operation oder auch im Rahmen anderer, sehr schwerer Erkrankungen auf. Findet sich keine derartige Ursache und bleibt der Zustand bestehen, nennt man es Chronische intestinale Pseudoobstruktion (CIPO).
Symptome
Die Patienten klagen über Stuhlverhalt, mehr oder minder starke Schmerzen im Bauch und zeigen ein massiv geblähtes Abdomen. Bei Komplikationen kann es sehr schnell zu einem Kreislaufschock oder zu einem Atemstillstand kommen.
Ursache
Die Ätiologie und Pathogenese des Ogilvie-Syndroms sind unklar. Als Ursache wird eine Funktionsstörung des autonomen Nervensystems mit gesteigerter Sympathikusaktivität angenommen. Manchmal tritt es als Folge eines Traumas, nach Eingriffen im Abdomen oder Becken, bei verschiedenen internistischen Grundkrankheiten wie chronischer Bronchitis bzw. ohne erkennbare Ursache auf. Bei der chronischen gastrointestinalen Pseudoobstruktion kann außerdem ein Paraneoplastisches Syndrom[1] vorliegen. Das Syndrom ist auch im Zusammenhang mit häufig unter Behandlung mit Clozapin auftretender gastrointestinaler Hypomobilität beschrieben.[2]
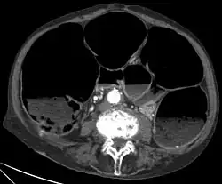
Diagnostik


Die Diagnostik der Erkrankung ist einfach, da das Röntgenbild sehr charakteristische Zeichen aufweist. Der gesamte Dickdarm ist breit mit Luft gefüllt, vor allem der aufsteigende Teil des Dickdarmes erreicht eine Breite von oft mehr als 10 cm.
- Röntgen des Abdomens im Stehen
- Kolonkontrasteinlauf
- Coloskopie
- Computertomografie des Abdomens
Differentialdiagnostisch sind eine Obstipation, ein mechanischer Ileus, ein toxisches Megacolon und ein Sigmavolvulus zu bedenken.
Komplikationen
Die Komplikationsrate und Letalität der Erkrankung sind hoch, wenn es nicht gelingt, die Luft aus dem Dickdarm zu entfernen. Als Komplikation kann Folgendes auftreten:
- Perforation (Durchbruch der Darmwand)
- Darmischämie (Durchblutungsstörung der Darmwand)
- Respiratorische Insuffizienz durch den Zwerchfellhochstand (Beeinträchtigung der Atmung)
Therapie
- Medikamentöse Maßnahmen:
- Acetylcholinesterase-Hemmer Neostigmin oder Pyridostigmin
- Flüssigkeitsgabe intravenös
- Darmrohr und Einläufe
- Magensonde bei Erbrechen
- Dekompression mittels Darmspiegelung
- Künstlicher Darmausgang am Caecum
Weblinks
- www.digestive-motility.org
- Pseudoobstruktion Knowledge Center, Karolinska Institut, Stockholm, Schweden
Einzelnachweise
- ↑ Zirkulierende antineurale Antikörper (Anti-Yo,Hu,Ri,Ma2,CV2, Amphiphysin). (PDF; 192 kB) Abgerufen am 25. August 2013.
- ↑ Otto Benkert, Hanns Hippius: Kompendium der Psychiatrischen Pharmakotherapie. Springer-Verlag, 2016, ISBN 978-3-662-50333-1, S. 395 (google.com [abgerufen am 13. Juli 2021]).