Pneumatozele
| Klassifikation nach ICD-10 | |
|---|---|
| G93.88 | Intrakranielle Pneumatozele |
| J98.4 | Sonstige Veränderungen der Lunge - Pneumatozele |
| ICD-10 online (WHO-Version 2019) | |
| Klassifikation nach ICD-11 | |
|---|---|
| 8E7Y | Sonstige näher bezeichnete Krankheiten des Nervensystems |
| CB40.Y | Sonstige näher bezeichnete Krankheiten des Atmungssystems |
| ICD-11: Englisch • Deutsch (Entwurf) | |
Eine Pneumatozele (von altgriechisch πνεῦμα pneuma, deutsch ‚Hauch, Wind‘ und altgriech. κήλη kele, deutsch ‚Bruch‘) oder Pneumozele bezeichnet allgemein eine krankhafte Luftansammlung in Geweben im Sinne einer lufthaltigen Pseudozyste.[1]
Im Speziellen wird auch eine Vorwölbung von Lungengewebe durch einen Defekt in der Brustkorbwand, sogenannter Lungenvorfall, als Pneumatozele bezeichnet.[2]
Vorkommen
In der Regel handelt es sich bei einer Pneumatozele um Veränderungen in
- der Lunge
- den Nasennebenhöhlen, sogenannter Pneumosinus dilatans[3]
- der Schädelbasis nach nicht operativ versorgten frontobasalen Frakturen[4]
Allerdings gibt es Fallberichte über weniger häufige Lokalisationen wie Skrotum (Pneumoskrotum)[5], im Knochen[6] oder dem Tränensack[7].

Pulmonale Pneumatozele
Als Ursache kommen infrage:
- Pneumonie, häufig durch Staphylokokken[8][1]
- Abszedierende Pneumonie[1]
- Trauma mit Parenchymriss, nicht selten als Komplikation einer Beatmung bei Frühgeborenen
- Aspiration von Kohlenwasserstoffen[9]
- Aspiration von Öl oder Fetten[10][11]
Diagnose
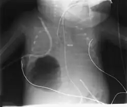
Die Diagnose ergibt sich aus dem Röntgenbild, auf welchem eine scharf begrenzte umschriebene luftäquivalente Aufhellung sichtbar wird. Bei der Lunge genügt eine Übersichtsaufnahme, während an der Schädelbasis eine Computertomographie notwendig ist.
Differentialdiagnose
Abzugrenzen sind (schleimgefüllte) Zysten bei Mukoviszidose, Zystische Echinokokkose sowie angeborene Lungenveränderungen (Zystisch adenomatoide Malformation der Lunge).[10][12]
Heilungsaussicht
Die Prognose ist im Allgemeinen gut, da sich die pulmonalen Pneumatozelen innerhalb von 2–3 Monaten zurückbilden. Eine Ausnahme besteht bei einem Anschluss der Zyste an das Bronchialsystem mit Ventilmechanismus. Dann ist eine Operation erforderlich.[1]
Weblinks
Einzelnachweise
- ↑ a b c d K. Ebel, E. Willich, E. Richter (Hrsg.): Differentialdiagnostik in der Pädiatrischen Radiologie. Thieme 1995, ISBN 3-13-128101-4.
- ↑ Duden
- ↑ W. Pschyrembel: Klinisches Wörterbuch. 265. Auflage. Verlag Walter de Gruyter, 2014, ISBN 978-3-11-018534-8.
- ↑ M. Reiss, G. Reiss: Pneumatozele als Komplikation einer Frontobasisfraktur. In: Schweizerische Medizinische Wochenschrift. Band 127, Nr. 34, August 1997, ISSN 0036-7672, S. 1400, PMID 9381094.
- ↑ D. Heimbach, G. Hofmockel, M. Wirth, Hubert Frohmüller: Pneumoskrotum. Fallbericht und Literaturübersicht. In: Der Urologe. Ausg. A. Band 32, Nr. 6, November 1993, ISSN 0340-2592, S. 503–506, PMID 8284864 (Review).
- ↑ B. Wendt: Juxtaartikuläre Pneumatozele des Os ilium. In: RöFo: Fortschritte auf dem Gebiete der Röntgenstrahlen und der Nuklearmedizin. Band 158, Nr. 6, Juni 1993, ISSN 1438-9029, S. 604–605, doi:10.1055/s-2008-1032710, PMID 8507857 (Review).
- ↑ R. Rochels, R. Bleier, A. Nover: Compression pneumatocele of the lacrimal sac. In: Klinische Monatsblätter für Augenheilkunde. Band 195, Nr. 3, September 1989, ISSN 0023-2165, S. 174–176, PMID 2509783.
- ↑ Mevis-research
- ↑ D. Leuchter, W. Stübecke, D. Oberschulte-Beckmann: Pneumatozele nach Kohlenwasserstoffaspiration. In: Klinische Pädiatrie. Band 210, Nr. 6, 1998 Nov-Dec, ISSN 0300-8630, S. 422–424, doi:10.1055/s-2008-1043916, PMID 9871900.
- ↑ a b W. Schuster, D. Färber (Hrsg.): Kinderradiologie. Bildgebende Diagnostik. Springer 1996, ISBN 3-540-60224-0.
- ↑ J. Houstĕk, M. Copová, B. Suková, I. Bouska: Kerosene pneumonia. In: Ceskoslovenská pediatrie. Band 39, Nr. 1, Januar 1984, ISSN 0069-2328, S. 10–14, PMID 6705097.
- ↑ A. M. Müller, E. Mayer, R. Schumacher, K. M. Müller, W. Kamin: Postnatal erworbene Lungenzyste. In: Der Pathologe. Band 29, Nr. 4, Juli 2008, ISSN 1432-1963, S. 264–268, doi:10.1007/s00292-008-0990-6, PMID 18273620.