Plasmodium relictum
| Plasmodium relictum | ||||||||||||
|---|---|---|---|---|---|---|---|---|---|---|---|---|
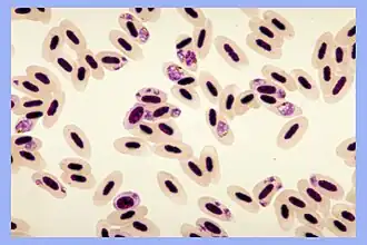
Blutausstrich mit Plasmodium relictum (violett gefärbt) in roten Blutkörperchen (Vogel-Erythrozyten mit Kernen) | ||||||||||||
| Systematik | ||||||||||||
| ||||||||||||
| Wissenschaftlicher Name | ||||||||||||
| Plasmodium relictum | ||||||||||||
| Grassi & Feletti, 1891 |
Plasmodium relictum (veraltet auch Plasmodium praecox)[1][2] ist ein Endoparasit und eine der häufigsten Ursache für die Vogelmalaria (eine Malariaerkrankung von Vögeln).[3] Wie alle Plasmodium-Arten benötigt P. relictum Wirbeltiere als Endwirte sowie blutsaugende Insekten als Vektoren und Zwischenwirte.[3]
Verbreitung
P. relcitum ist geografisch weit verbreitet in gemäßigten und tropischen Zonen.[3][4]

Wirte
Endwirte
P. relictum ist einer der häufigsten Malariaparasiten für eine Vielzahl von Vögeln verschiedener Ordnungen.[3][2] Infektionen bei zahlreichen Wildvögeln und Versuchstieren wurden beschrieben, darunter Eulen wie Ost-Kreischeule,[5] Gänsevögel wie Enten, Hühnervögel wie Rebhuhn, Pinguine wie Magellan-Pinguin,[6] Sperlingsvögel wie Kanarienvogel und Taubenvögel wie Tauben. Die Erkrankung verläuft bei endemisch auf Hawaii lebenden Kleidervögeln sehr oft tödlich[6], experimentell bis zu 100 % nach Mehrfachinfektion (hohe Dosierung) und bis zu 90 % nach Einfachinfektion junger Iwikleidervögel, während junge Muskatbronzemännchen aus Hawaii, ursprünglich aus Südostasien stammend, Resistenz gegen die Vogelmalaria zeigten.[7]
Vektor

Als Vektor zur Ausbreitung und Übertragung wurden die blutsaugenden Weibchen der Gemeinen Stechmücke identifiziert, insbesondere die Unterart Culex pipiens pipiens.[8], außerdem die nahe verwandte Art Culex quinquefasciatus (die früher oft als Unterart von Culex pipiens aufgefasst wurde).[3] Auch in anderen Stechmücken wurde Plasmodium relictum beschrieben, so in Culex tarsalis (auch Überträgerin der Venezolanischen Pferdeenzephalomyelitis).[9]
Ökologische Auswirkungen
Nach Einschleppung der Vogelmalaria-übertragenden invasiven Stechmücke Culex quinquefasciatus 1826[10] halbierte sich auf Hawaii der Bestand endemischer Kleidervögel im 20. Jahrhundert.[4][11] Von den 34 Kleidervogelarten sind über 75 % ausgestorben oder vom Aussterben bedroht, was nicht vollständig durch den Verlust ihrer Lebensräume erklärt werden kann.[7]
Die Art zählt zu den 100 gefährlichsten Neobiota weltweit.
Einzelnachweise
- ↑ Memoirs of the Queensland Museum. Queensland Museum, 2000, S. 103 (eingeschränkte Vorschau in der Google-Buchsuche).
- ↑ a b Gediminas Valkiūnas, Mikas Ilgūnas, Dovilė Bukauskaitė, Karin Fragner, Herbert Weissenböck, Carter T. Atkinson, Tatjana A. Iezhova: Characterization of Plasmodium relictum, a cosmopolitan agent of avian malaria. In: Malaria Journal, Band 17, Nr. 1, Mai 2018, S. 1–21 (PDF).
- ↑ a b c d e Vaishnovi Sekar, Ana Rivero, Romain Pigeault, Sylvain Gandon, Anna Drews, Dag Ahren, Olof Hellgren: Gene regulation of the avian malaria parasite Plasmodium relictum, during the different stages within the mosquito vector. In: Genomics, Band 113, Nr. 4, Juli 2021, S. 2327–2337, doi:10.1016/j.ygeno.2021.05.021 (PDF).
- ↑ a b Olof Hellgren, Carter T. Atkinson, Staffan Bensch, Tamer Albayrak, Dimitar Dimitrov, John G. Ewen, Kyeong Soon Kim, Marcos R. Lima, Lynn Martin, Vaidas Palinauskas, Robert Ricklefs, Ravinder N. M. Sehgal, Gediminas Valkiūnas, Yoshio Tsuda and Alfonso Marzal: Global phylogeography of the avian malaria pathogen Plasmodium relictum based on MSP1 allelic diversity. In: Ecography, Band 38, Nr. 8, 2015, S. 842–850, doi:10.1111/ecog.01158 (PDF).
- ↑ Paul Tavernier, Miguel Sagesse, Arnaud Van Wettere, Patrick Redig: Malaria in an eastern screech owl (Otus asio). In: Avian Diseases, Band 49, Nr. 3, 2005, S. 433–435, doi:10.1637/7318-122904R.1 (PDF).
- ↑ a b Andrew S. Fix, Cheryl Waterhouse, Ellis C. Greiner, Michael K. Stoskopf: Plasmodium relictum as a cause of avian malaria in wild-caught Magellanic penguins (Spheniscus magellanicus). In: Journal of Wildlife Diseases, Band 24, Nr. 4, 1988, S. 610–619, doi:10.7589/0090-3558-24.4.610 (PDF).
- ↑ a b C. T. Atkinson, K. L. Woods, R. J. Dusek, L. S. Sileo, W. M. Iko: Wildlife disease and conservation in Hawaii: pathogenicity of avian malaria (Plasmodium relictum) in experimentally infected Iiwi (Vestiaria coccinea). In: Parasitology, Band 111, Supplement S1, 1995, S. S59–S69, doi:10.1017/S003118200007582X.
- ↑ Rita Kazlauskienė, Rasa Bernotienė, Vaidas Palinauskas, Tatjana A. Iezhova, Gediminas Valkiūnas: Plasmodium relictum (lineages pSGS1 and pGRW11): complete synchronous sporogony in mosquitoes Culex pipiens pipiens. In: Experimental Parasitology, Band 133, Nr. 4, 2013, S. 454–461, doi:10.1016/j.exppara.2013.01.008 (PDF).
- ↑ Jowett Chao, Gordon H. Ball: The effect of low temperature on Plasmodium relictum in Culex tarsalis. In: The Journal of Parasitology, Band 48, Nr. 2, April 1962, S. 252–254 (PDF).
- ↑ Dina M. Fonseca, Carter T. Atkinson, Robert C. Fleischer: Microsatellite primers for Culex pipiens quinquefasciatus, the vector of avian malaria in Hawaii. In: Molecular Ecology, Band 7, Nr. 11, 1998, S. 1617–1619.
- ↑ Dennis A. LaPointe, M. Lee Goff, Carter T. Atkinson: Thermal constraints to the sporogonic development and altitudinal distribution of avian malaria Plasmodium relictum in Hawai'i. In: Journal of Parasitology, Band 96, Nr. 2, 2010, S. 318–324, doi:10.1645/GE-2290.1 (PDF).
