Pilomatrixom
| Klassifikation nach ICD-10 | |
|---|---|
| D23.- | Sonstige gutartige Neubildungen der Haut |
| ICD-10 online (WHO-Version 2019) | |
.jpg)
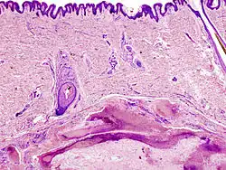
Das Pilomatrixom (Syn. Epithelioma calcificans Malherbe, Malherbe-Tumor und kalzifizierendes Epitheliom) ist ein gutartiger, palpatorisch harter Hauttumor, der insbesondere bei Kindern, aber auch in allen anderen Altersgruppen gefunden werden kann. Das Pilomatrixom leitet sich von der Haarmatrix ab. Es entsteht aus einem zystischen Gebilde, das in seinem Inneren Schattenzellen, das sind nekrotische Zellen ohne Zellkern, ausbildet und kalzifiziert (verkalkt).[1]
Das Kalzifizierende Epitheliom wurde 1880 von Albert Malherbe und J. Chenantais beschrieben.[2]
Abzugrenzen ist das Pilomatrixom vom Pilomatrixkarzinom, einem sehr seltenen malignen Tumor, der vom Haarfollikelapparat ausgeht und in sehr seltenen Fällen aus einem Pilomatrixom entstehen kann.[3]
Außer beim Menschen ist das Pilomatrixom auch beim Hund beschrieben, wo es relativ häufig ist; vor allem bei Terriern, insbesondere dem Kerry Blue Terrier. Meist findet es sich im Bereich des Rumpfes.[4]
Einzelnachweise
- ↑ Braun-Falco O., e.a.: Dermatologie und Venerologie, Springer, 2005, S. 1287, ISBN 3-540-40525-9, hier online.
- ↑ A. Malherbe, J. Chenantais: Note sur l’epitheliome calcifie des glandes sebacees. Prog Med 8 (1880). S. 826–828. Nach:
- M.-Y. Lan: Pilomatricoma of the Head and Neck: A Retrospective Review of 179 Cases. In: Archives of Otolaryngology - Head and Neck Surgery. 129, 2003, S. 1327–1330, doi:10.1001/archotol.129.12.1327.
- ↑ Altmeyer: Pilomatrixom (s. Literatur).
- ↑ Erwin Dahme, Eugen Weiss: Grundriss der speziellen pathologischen Anatomie der Haustiere. Enke, 2007, ISBN 3-8304-1100-6, S. 399.
Literatur
- P. Altmeyer: Pilomatrixom. In: Enzyklopädie der Dermatologie, Venerologie, Allergologie, Umweltmedizin (Online-Ausgabe)
- Wenn die Haarmatrix Amok läuft. In: Ärzte Zeitung. Online vom 5. September 2008.