Perikarderguss
| Klassifikation nach ICD-10 | |
|---|---|
| I30.- | Akute Perikarditis |
| I31.3 | Perikarderguss (nichtentzündlich) |
| I09.2 | Chronische rheumatische Perikarditis |
| C79.8[1] | Sekundäre bösartige Neubildung sonstiger näher bezeichneter Lokalisationen |
| ICD-10 online (WHO-Version 2019) | |
| Klassifikation nach ICD-11 | |
|---|---|
| BB20 | Akute Perikarditis |
| BB25 | Perikarderguss |
| ICD-11: Englisch • Deutsch (Entwurf) | |

Ein Perikarderguss oder Herzbeutelerguss ist eine pathologische Flüssigkeitsansammlung im Herzbeutel. Eine geringe Menge von Flüssigkeit im Herzbeutel ist nicht krankhaft. Wird diese geringe Menge überschritten, spricht man von einem Perikarderguss. Es gibt akute und chronische Perikardergüsse.
Je nach Art der Flüssigkeit spricht man von serösen bzw. wässrigen (beim Hydroperikard oder Hydrops pericardii), eitrigen (beim Pyoperikard) oder blutigen (beim Hämoperikard) Herzbeutelergüssen,[2] die auch zur Herzbeuteltamponade führen können.
Häufigkeit
Der Perikarderguss ist ein eher seltener Befund, der meist beim Ultraschall erkannt wird. Punktionswürdige oder punktionsbedürftige Perikardergüsse sind noch einmal seltener. Pleuraergüsse sind vergleichsweise viel häufiger als Flüssigkeitsansammlungen im Herzbeutel.
Ursachen
Früher war der tuberkulöse Perikarderguss häufig, heute stehen maligne Ergüsse im Vordergrund. Mögliche typische Ursachen sind:
- entzündlich-infektiös
- entzündlich-rheumatisch
- maligne (Tumorzellbesiedlung des Perikardes)
- nach einem Herzinfarkt
- urämisch
- posttraumatisch
- postoperativ
- iatrogen
- nach einer Herzschrittmacherimplantation
- durch eine Perforation bei der Koronardilatation (Erweiterung der Herzkranzgefäße)
- nach einer Pulmonalvenenisolation
- bei Behandlung mit den Anthracyclinen Daunorubicin oder Doxorubicin
Komplikation
Die lebensbedrohliche Komplikation eines Perikardergusses ist die Herzbeuteltamponade. Dabei hat sich so viel Flüssigkeit im Herzbeutel angesammelt, dass das Herz an der Ausführung seiner Aufgaben gehindert wird und außerdem der Herzmuskel nur noch ungenügend über die Koronararterien mit Sauerstoff und Nährstoffen versorgt werden kann.
Symptome und Diagnostik
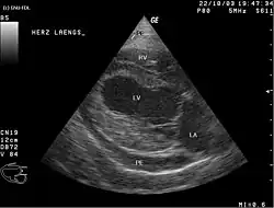
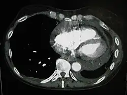
Bei großen Perikardergüssen sitzen die Patienten aufrecht, sind sehr ängstlich, haben starke Atemnot und gestaute Halsvenen, es besteht meist eine Zyanose; der Puls ist klein und weich. Durch Abklopfen des Brustkorbs kann nur ein sehr großer Erguss festgestellt werden.[3] Die einfachste und schnellste Methode, um einen Erguss zu erkennen, ist der Ultraschall. Auch im CT kann man einen Perikarderguss gut sehen. Die Flüssigkeit des Perikardergusses kann man zytologisch auf maligne Zellen und auf Bakterien untersuchen. Die Punktion des Herzbeutels ist technisch nicht einfach. Je größer der Erguss ist, desto einfacher und zugleich wichtiger ist die Punktion.
Therapie
Ein kleiner Perikarderguss bedarf keiner Therapie. Je nach der Ursache kann man einen Perikarderguss medikamentös behandeln. Bei größeren Perikardergüssen sollte man eine therapeutische Entlastung mittels Perikardpunktion durchführen. Des Weiteren werden bei rezidivierenden Perikardergüssen folgende Therapien eingesetzt. So wird beispielsweise eine transkutane Perikardiotomie (erstmals durch Romero im Jahr 1819[4]) durchgeführt. Diese wird wie bei der Punktion durch die Brustwand unterhalb des Sternums praktiziert. Man kann den Perikardbeutel einmal punktieren oder mit einer Drainage – d. h. einem Ablaufschlauch – versorgen, der mehrere Tage liegen bleiben kann. Mit Hilfe eines Katheters und eines Ballons kann man auch mit Druckluft das kleine Loch des Punktionskatheters in der Wand des Herzbeutels erweitern. Der Vorteil dieser selten genutzten Methode liegt darin, dass ein Erguss zunächst über einen längeren Zeitraum ablaufen kann und eine konventionelle Behandlung möglich ist.
Siehe auch
Weblinks
Einzelnachweise
- ↑ Alphabetisches Verzeichnis zur ICD-10-WHO Version 2019, Band 3. Deutsches Institut für Medizinische Dokumentation und Information (DIMDI), Köln 2019, S. 687.
- ↑ Friedrich Wilhelm Hehrlein: Herz und große Gefäße. In: Franz X. Sailer, Friedrich W. Gierhake (Hrsg.): Chirurgie historisch gesehen: Anfang – Entwicklung – Differenzierung. Dustri-Verlag, Deisenhofen bei München 1973, ISBN 3-87185-021-7, S. 164–185, hier S. 170 f.
- ↑ Klaus Holldack, Klaus Gahl: Auskultation und Perkussion. Inspektion und Palpation. Thieme, Stuttgart 1955; 10., neubearbeitete Auflage ebenda 1986, ISBN 3-13-352410-0, S. 206–208.
- ↑ Friedrich Wilhelm Hehrlein: Herz und große Gefäße. 1973, S. 171.