Pancoast-Tumor

Klassifikation nach ICD-10
C34.1 Bösartige Neubildung: Oberlappen (-Bronchus)
{{{02-BEZEICHNUNG}}}
{{{03-BEZEICHNUNG}}}
{{{04-BEZEICHNUNG}}}
{{{05-BEZEICHNUNG}}}
{{{06-BEZEICHNUNG}}}
{{{07-BEZEICHNUNG}}}
{{{08-BEZEICHNUNG}}}
{{{09-BEZEICHNUNG}}}
{{{10-BEZEICHNUNG}}}
{{{11-BEZEICHNUNG}}}
{{{12-BEZEICHNUNG}}}
{{{13-BEZEICHNUNG}}}
{{{14-BEZEICHNUNG}}}
{{{15-BEZEICHNUNG}}}
{{{16-BEZEICHNUNG}}}
{{{17-BEZEICHNUNG}}}
{{{18-BEZEICHNUNG}}}
{{{19-BEZEICHNUNG}}}
{{{20-BEZEICHNUNG}}}
Vorlage:Infobox ICD/Wartung {{{21BEZEICHNUNG}}}
ICD-10 online (WHO-Version 2019)
Klassifikation nach ICD-O-3
C34.1 Lungenoberlappen
8010/3 Karzinom o. n. A.
{{{03-BEZEICHNUNG}}}
{{{04-BEZEICHNUNG}}}
{{{05-BEZEICHNUNG}}}
{{{06-BEZEICHNUNG}}}
{{{07-BEZEICHNUNG}}}
{{{08-BEZEICHNUNG}}}
{{{09-BEZEICHNUNG}}}
{{{10-BEZEICHNUNG}}}
{{{11-BEZEICHNUNG}}}
{{{12-BEZEICHNUNG}}}
{{{13-BEZEICHNUNG}}}
{{{14-BEZEICHNUNG}}}
{{{15-BEZEICHNUNG}}}
{{{16-BEZEICHNUNG}}}
{{{17-BEZEICHNUNG}}}
{{{18-BEZEICHNUNG}}}
{{{19-BEZEICHNUNG}}}
Vorlage:Infobox ICD-O/Wartung20 {{{20-BEZEICHNUNG}}}
ICD-O-3, zweite Revision (2019)

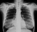
Der Pancoast-Tumor (synonym apikaler Sulkustumor) – benannt nach dem Erstbeschreiber, dem US-amerikanischen Radiologen Henry Pancoast – ist ein rasch fortschreitendes peripheres Bronchialkarzinom im Bereich der Lungenspitze (Apex pulmonis) beziehungsweise der oberen Lungenfurche, welches relativ rasch auf Rippen, Halsweichteile, Armgeflecht und Wirbel übergreift. Daher wird dieser Tumor auch als „Ausbrecherkrebs“ bezeichnet.

Die Tumoren unterscheiden sich feingeweblich nicht von anderen Lungenkarzinomen.

Die Krankheit äußert sich oft mit einem charakteristischen Pancoast-Syndrom:

  • Schulter/Arm-Schmerz
  • Parästhesie (Empfindungsstörungen) am Unterarm
  • Paresen (Lähmungen)
  • Handmuskelatrophie
  • obere Einflussstauung durch Einengung der Halsvenen
  • Rippenschmerz
  • Horner-Syndrom (Schädigung des vegetativen Nervensystems)

Quellen

  • Urban & Fischer; Lexikonredaktion. Roche Lexikon Medizin. München; Elsevier, Urban & Fischer, 2003, ISBN 3-437-15150-9.