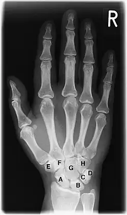
Handgelenk

A–H = Handwurzelknochen
2 Elle (Ulna)
3 Mittelhandknochen (Ossa metacarpalia)

A Kahnbein (Os scaphoideum)
B Mondbein (Os lunatum)
C Dreiecksbein (Os triquetrum)
D Erbsenbein (Os pisiforme)
E Großes Vieleckbein (Os trapezium)
F Kleines Vieleckbein (Os trapezoideum)
G Kopfbein (Os capitatum)
H Hakenbein (Os hamatum)

Das Handgelenk (Articulatio carpi) ist das aus mehreren Teilgelenken zusammengesetzte Gelenk (Articulatio composita) an der Hand der Säugetiere. Bei den vierfüßigen Tieren wird es auch als Vorderfußwurzelgelenk bezeichnet. Es gehört neben den Fingergelenken zu den Gelenken der Hand (lat. Articulationes manus).
Beim Menschen werden als Handgelenk das Gelenk zwischen Speiche und Handwurzelknochen (Articulatio radiocarpalis, „proximales Handgelenk“) sowie das zwischen den beiden Reihen der Handwurzelknochen (Articulatio mediocarpalis, „distales Handgelenk“) bezeichnet.[1] Im weiteren Sinne werden auch die übrigen Gelenke der Handwurzel unter diesem Begriff eingeordnet, die als so genannte straffe oder Wackelgelenke (Amphiarthrosen) die beiden Hauptgelenke in ihrer Funktion unterstützen, allerdings nur einen geringen Bewegungsumfang zeigen. Bei den meisten Tieren gibt es auch eine Verbindung zwischen Elle und den Handwurzelknochen (Articulatio ulnocarpea). Darüber hinaus zählt man die straffen Gelenke zwischen den einzelnen Handwurzelknochen (Articulationes intercarpales) sowie zwischen Handwurzel- und Mittelhandknochen (Articulationes carpometacarpales) generell zum Vorderfußwurzelgelenk (Articulatio carpi).[2]
Alle Teilgelenke wirken gemeinsam als funktionelle Einheit und ermöglichen Beugung (Flexion) Richtung Handinnenfläche (Palmarflexion), Streckung (Extension) Richtung Handrückseite (Dorsalextension) sowie Abspreizbewegungen (Abduktion) Richtung Daumen (Radialabduktion) und Richtung Kleinfinger (Ulnarabduktion).
Proximales Handwurzelgelenk
Das der Körpermitte näher gelegene (proximale) Handwurzelgelenk bezeichnet beim Menschen die gelenkige Verbindung zwischen dem der Körpermitte entfernt gelegenen (distalen) Ende der Speiche (Facies articularis carpi radialis) und drei der proximalen Handwurzelknochen (Ossa carpalia), dem Kahnbein (Os scaphoideum), dem Mondbein (Os lunatum) und dem Dreiecksbein (Os triquetrum). Zudem ist die Zwischengelenkscheibe (Discus triangularis) des distalen Speichen-Ellen-Gelenkes an der Gelenkbildung beteiligt, die zwischen den Handwurzelknochen und der Elle vermittelt. Bei den meisten Wirbeltieren stehen jedoch sowohl Elle (Articulatio ulnocarpea) als auch Speiche (Articulatio radiocarpea) mit den Handwurzelknochen in Verbindung.
An den Knorpelrändern der Knochen und an der Zwischengelenkscheibe ist eine dünne, schlaffe Gelenkkapsel befestigt, die durch zahlreiche einstrahlende Bänder verstärkt wird. Der Gelenkspalt ist unverzweigt und enthält manchmal Fettfalten (Plicae synoviales).
Das proximale Handgelenk des Menschen ist funktionell betrachtet ein Ellipsoid- oder Eigelenk (Articulatio ellipsoidea), das zwei Freiheitsgrade besitzt:
- Beugung (Palmarflexion, in Richtung Handfläche) bis zu circa 80° und Streckung (Dorsalextension, Richtung Handrücken) bis zu circa 70°
- Abspreizbewegungen (Abduktion oder Adduktion) zur Speiche (Radialabduktion, eigentlich genauer Radialadduktion, also zur Daumenseite hin) bis zu circa 20° bzw. zur Elle hin (Ulnarabduktion, zur Kleinfingerseite hin) bis zu circa 40°.
Distales Handwurzelgelenk
Das der Körpermitte entfernter gelegene Handwurzelgelenk (Articulatio mediocarpalis) – selten auch als mittleres Handwurzelgelenk bezeichnet, bei Tieren die mittlere Gelenketage des Vorderfußwurzelgelenks darstellend – zeigt einen in etwa s-förmigen Gelenkspalt zwischen der proximalen und distalen Reihe der Handwurzelknochen. Es setzt sich aus den einzelnen Gelenken zwischen jeweils zwei benachbarten Knochen zusammen und wirkt funktionell mit den gelenkigen Verbindungen der Handwurzelknochen einer Reihe untereinander (Articulationes intercarpales) als Einheit. Die Gelenkkapsel ist auf der Handinnenfläche straff, hingegen auf der Handrückseite schlaff und bildet zahlreiche Fettfalten aus.
Das der Körpermitte entfernter gelegene Handgelenk ist ein verzahntes Scharniergelenk (Articulatio ginglymus). Der schematische Verlauf ist auf Abbildung II als rote Line dargestellt. Es ist in seinem Bewegungsausmaß durch seine gebogene Form sowie durch Bänder und Gelenkkapseln eingeschränkt. Es wirkt zusammen mit dem proximalen Handgelenk als funktionelle Einheit.
Interkarpalgelenke
Die Interkarpalgelenke (Articulationes intercarpales) bezeichnen die gelenkigen Verbindungen der Handwurzelknochen einer Reihe untereinander.
Die Interkarpalgelenke sind – wie die Karpometakarpalgelenke – so genannte Wackelgelenke (Amphiarthrosen), die durch zahlreiche Bandzüge so versteift sind, dass sie kaum beweglich sind. Die Gelenkkapsel ist von der Körpermitte näher gelegen schlaff und von der Körpermitte entfernter gelegen straff. Es handelt sich um so genannte Nebengelenke, welche die Verschieblichkeit der Handwurzelknochen untereinander erhöhen und damit die Beweglichkeit der benachbarten Hauptgelenke (Articulatio radiocarpalis und Articulatio mediocarpalis) steigern.
Das Interkarpalgelenk zwischen dem Erbsenbein (Os pisiforme) und dem Dreiecksbein (Os triquetrum), das so genannte Erbsenbeingelenk (Articulatio ossis pisiformis oder Articulatio ossis carpi accessorii) ist ein eigenständiges Gelenk mit einer unabhängigen Gelenkkapsel und unabhängigen Gelenkspalt.
Mittelhandgelenke
Karpometakarpalgelenke
Die Karpometakarpalgelenke, die Verbindung der distalen Handwurzelknochen mit dem zweiten bis fünften Mittelhandknochen (Articulationes carpometacarpales II–V) werden beim Menschen nicht direkt dem Handgelenk zugeordnet, bei Tieren jedoch stets zum Vorderfußwurzelgelenk gerechnet. Sie sind – wie die Interkarpalgelenke – so genannte Wackelgelenke, die durch zahlreiche Bandzüge so versteift sind, dass sie kaum beweglich sind. Es handelt sich um Nebengelenke, welche die Verschieblichkeit zwischen den Handwurzelknochen und den Mittelhandknochen erhöhen und damit die Beweglichkeit der benachbarten Hauptgelenke (Articulatio radiocarpalis und Articulatio mediocarpalis) steigern.
Das Daumensattelgelenk (Articulatio carpometacarpalis pollicis oder auch Articulatio carpometacarpalis I) bildet eine Ausnahme der fünf Karpometakarpalgelenke, da es im Gegensatz zu ihnen kein Wackelgelenk, sondern ein echtes und somit frei bewegliches Gelenk bildet. Es bezeichnet die gelenkige Verbindung zwischen dem großen Vieleckbein (Os trapezium) und dem Mittelhandknochen des ersten Fingers, also des Daumens (Os metacarpale I oder Os metacarpale pollicis). Es handelt sich um ein Sattelgelenk (Articulatio sellaris) und wird vor allem für die Gegenüberstellung (Opposition) des Daumens gegenüber den anderen Fingern benötigt und hat daher beim Menschen eine zentrale Bedeutung für das Greifen.
Intermetakarpalgelenke
Die Intermetakarpalgelenke (Articulationes intermetacarpales) sind die gelenkigen Verbindungen zwischen den Mittelhandknochen einer Reihe untereinander. Sie sind – wie die Interkarpalgelenke und die Karpometakarpalgelenke – Amphiarthrosen, die durch zahlreiche Bandzüge so versteift sind, dass sie kaum beweglich sind. Sie erhöhen die Verschieblichkeit der Mittelhandknochen untereinander und damit die Beweglichkeit der benachbarten Hauptgelenke (Articulatio radiocarpalis und Articulatio mediocarpalis).
Bänder



Die einzelnen Gelenke des Handgelenkes werden durch eine Vielzahl von Bändern gestützt, die die Gelenkkapsel verstärken und Bewegungen führen. Für eine schematische Übersicht siehe Schemazeichnung II.
- Zwischen Unterarmknochen und den proximalen Handwurzelknochen vermitteln
- Seitenbänder
- seitliches Ellenband (Ligamentum collaterale carpi ulnare) und
- seitliches Speichenband (Ligamentum collaterale carpi radiale),
- Speichen-Hand-Bänder
- Ligamentum radiocarpale palmare und
- Ligamentum radiocarpale dorsale,
- Ellen-Hand-Band (Ligamentum ulnocarpale palmare).
- Seitenbänder
- Zwischen benachbarten Handwurzelknochen vermitteln
- Binnenbänder
- Ligamentum carpi radiatum: Es bezeichnet einen Komplex aus Bändern (Ligamentum radiocarpale palmare, Ligamentum intercarpale palmare und Ligamentum carpometacarpale) auf der Handinnenfläche, die vom Höcker des Kopfbeines (Os capitatum) ausgehen und alle Beugersehnen mit dem Mittelarmnerv (Nervus medianus) beherbergen,
- Ligamentum pisohamatum und
- Flächenbänder (Ligamenta intercarpalia)
- Ligamenta intercarpalia palmaria,
- Ligamenta intercarpalia dorsalia und
- Ligamenta intercarpalia interossea.
- Binnenbänder
- Zwischen Handwurzel- und Mittelhandknochen (Ligamenta carpometacarpalia)
- Ligamentum pisometacarpale,
- Ligamentum carpometacarpale palmare und
- Ligamentum carpometacarpale dorsale.
- Quer über die Handwurzelknochen spannt sich das Karpalband (Retinaculum flexorum oder auch Ligamentum carpi transversum), das vom Haken des Hakenbeines (Hamulus ossis hamati) und dem Erbsenbein (Os pisiforme) zu dem Höcker des großen Vieleckbeines (Tuberculum ossis trapezii) und des Kahnbeines (Tuberculum ossis scaphoidei) verläuft. Es schließt somit einen knöchern-bindegewebigen (osteofibrösen) Kanal, den Karpaltunnel (Canalis carpi).
- Auf der Handrückenseite verlaufen die Streckersehnen in der Sehnenscheide (oder auch Sehnenfächer genannt).
Entwicklung

Auf den ersten Blick scheinen die oberen Extremitäten des Menschen wenig mit den Brustflossen der Fische gemeinsam zu haben, die Grundkonstruktion ist aber durchaus vergleichbar.
Wie in Abbildung III zu sehen ist, sind Elle (1) und Speiche (2) im Verlauf der Entwicklung fast unverändert erhalten geblieben. Ebenso die Mittelhandknochen (Ossa metacarpalia) (3). Eine deutliche Reduzierung der Handwurzelknochen hat stattgefunden. Die der Körpermitte näher gelegene (proximale) Reihe der Handwurzelknochen ist punktiert. Die beim Menschen nicht mehr vorhandenen Centralia braun. Die der Körpermitte ferner gelegenen Handwurzelknochen (distale Reihe) sind schraffiert.[3]
Bei Vögeln ist die Reduktion der Handwurzelknochen am weitesten fortgeschritten. Hier sind aus der proximalen Reihe lediglich Os carpi radiale und ulnare vorhanden, während die distale Reihe mit den Mittelhandknochen zum Carpometacarpus verwachsen ist (→ Vogelskelett). Daher kommen im Handgelenk bei Vögeln nur zwei Gelenketagen – zwischen Unterarm- und Handwurzelknochen sowie Handwurzelknochen und Carpometacarpus – vor.[4]
Erkrankungen
Eine der häufigste Erkrankungen der Handgelenke ist das Carpaltunnelsyndrom (CTS). Dabei ist der Mittelarmnerv (Nervus medianus) meist durch Druck geschädigt. Ursache können vorausgegangene handgelenksnahe Knochenbrüche (Frakturen), rheumatische Erkrankungen oder Überbeanspruchung (Computermaus, Fahrradlenker etc.) sein. Allerdings findet sich oft auch keine bestimmbare Ursache. Die Schädigung des Nervus ulnaris im Bereich des Canalis ulnaris (Guyon-Loge) der Hand (Loge-de-Guyon-Syndrom) ist deutlich seltener.
Die häufigste Schädigungen durch Verletzungen (Traumata) sind ein gelenknaher Speichenbruch (distale Radiusfraktur) und ein Bruch des Kahnbeins. Prinzipiell können alle Knochen des Handgelenks brechen oder bei Bänderrissen aus ihrem Gefüge geraten. Weitere Erkrankungen sind eine Sehnenscheidenentzündung, ein Repetitive-Strain-Injury-Syndrom und ein Ganglion. Eine Arthrose des Daumensattelgelenkes kommt recht häufig vor und wird als Rhizarthrose bezeichnet.
Bei Haushundwelpen kann als Entwicklungsstörung das Karpale Laxationssyndrom auftreten, das durch Über- oder Unterstreckung gekennzeichnet ist.
Untersuchungsmöglichkeiten
Eine moderne Diagnoseform ist neben der Computertomographie (CT) und Kernspintomographie (MRT), die Szintigraphie, die Handgelenksspiegelung (Arthroskopie), die in örtlicher Betäubung bzw. Arm-(Plexus-brachialis)-Betäubung stattfinden kann. Letztere sollte nur an Zentren durchgeführt werden, an denen auch sofort eine entsprechende Therapie durchgeführt werden kann, sonst wird oft eine zweite Operation unter Narkose mit allen Risiken notwendig.
Siehe auch
Einzelnachweise
- ↑ Roche Medizin-Lexikon
- ↑ Franz-Viktor Salomon: Knochenverbindungen. In: Franz-Viktor Salomon u. a. (Hrsg.): Anatomie für die Tiermedizin. Enke-Verlag, Stuttgart 2004, ISBN 3-8304-1007-7, S. 110–147.
- ↑ Alfred Sherwood Romer, Thomas S. Parsons: Vergleichende Anatomie der Wirbeltiere. 5. Auflage. Paul Parey Verlag, Hamburg 1983, ISBN 3-490-21718-7.
- ↑ Franz-Viktor Salomon: Lehrbuch der Geflügelanatomie. Gustav Fischer Verlag, Jena 1993, ISBN 3-334-60403-9.