Nukleotomie
Die Nukleotomie ist eine Operation bei einem Bandscheibenvorfall. Sie dient der Entfernung hervorgetretener Bandscheibenanteile aus dem Rückenmarks- oder Spinalnervenkanal. Eine Nukleotomie wird notwendig, wenn durch die vorgefallenen Bandscheibenanteile Nerven abgeklemmt werden und dadurch höhergradige Muskellähmungen, schwerwiegende (konservativ therapieresistente) Schmerzen oder (in sehr seltenen Fällen) ein Kaudakompressionssyndrom auftreten.
Operative Verfahren
Es gibt verschiedene Operationsverfahren/-zugänge, die u. a. abhängig von der Lage des Bandscheibenvorfalls[1], Voroperationen und auch weiteren degenerativen Veränderungen sind:
Konventionelles Verfahren
In Bauchlage wird bei einem lumbalen Bandscheibenvorfall über den Dornfortsätzen des betroffenen Bewegungssegmentes ein Hautschnitt angelegt, anschließend auf der betroffenen Seite die Muskulatur subperiostal von der Wirbelsäule abgeschoben. Die Wirbelbögen der angrenzenden Wirbel werden dargestellt, ebenso das dazwischen gelegene Ligamentum flavum („gelbes Band“). Vorsichtig wird das Ligamentum flavum eröffnet, bis sich eine Stanze einbringen und mit ihr der Raum zwischen den Wirbelbögen erweitern lässt. Wenn es erforderlich ist, muss auch noch ein Teil eines oder beider Wirbelbögen (Hemilaminektomie) abgetragen werden. Wenn man soweit vorgedrungen ist, stellt sich die unter Spannung stehende Wurzeltasche oder Duralschlauch dar, die mit einem Haken unterfahren und nach medial verlagert wird. Der Bandscheibenvorfall ist jetzt als pralle, weißliche derbe Vorwölbung zu sehen. Mit einer speziellen Hohlmeißelzange wird das Gewebe entfernt. Zur abschließenden Kontrolle wird die freie Beweglichkeit der Wurzeltasche und des Duralschlauches überprüft. Blutstillung, Spülung und schichtweiser Wundverschluss beenden die Operation.
Mikrochirurgisches Verfahren
Der notwendige Hautschnitt ist hierbei wesentlich kleiner, eine Art Rohr (Spekulumsperrer) wird eingeführt, das bis auf das gelbe Band und die Wirbelbögen reicht. Nun wird ein Operationsmikroskop über dieses Rohr gebracht, das weitere Vorgehen entspricht dem beim konventionellen Verfahren, allerdings eben mit den Methoden der Minimalinvasiven Chirurgie. Der Vorteil hierbei liegt in der wesentlich geringeren Traumatisierung, die Nachbehandlungszeit ist deutlich kürzer. Eingeschränkt ist bei diesem Verfahren der Überblick, den man sonst während der Operation gewinnen kann.
Minimalinvasives Verfahren
Hierbei wird eine optische Sonde, vergleichbar einem Arthroskop unter Röntgenkontrolle in den betroffenen Wurzelkanal geschoben und das Bandscheibengewebe mit einem durch diese Sonde geleiteten Laser verdampft.
-
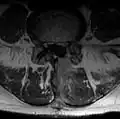
Hemilaminektomie
Bei dieser Operation wurde der gesamte Wirbelbogen auf der betroffenen Seite entfernt. Der Spinalkanal ist nicht mehr gut einsehbar, hier ist Blut eingedrungen -
Nukleotomie
Hier das gleiche Bild, zur besseren Übersicht ohne eingebauten Text. Sehr deutlich ist das Narbengewebe zu sehen, das sich neben dem Dornfortsatz bis an den Wirbelbogen bildet
Auch die endoskopische Bandscheibenoperation mit der Tessys-Methode gehört zu den minimalinvasiven Operationsverfahren.
Komplikationen
Neben allgemeinen Operationskomplikationen können insbesondere Verletzungen von Nerven, Gefäßen, der Rückenmarkshaut (Dura), Infektionen bis hin zur Spondylodiszitis und postoperative peridurale Vernarbungen auftreten. Bei intraoperativer Verletzung der Rückenmarkshaut mit Austritt von Hirnwasser (Liquor) ist postoperativ eine Bettruhe einzuhalten.
Nach einer Nukleotomie kann Bandscheibengewebe nachquellen und somit ähnliche Beschwerden wie vor dem Eingriff verursachen. Aus diesem Grund wird eine körperliche Schonung und ggf. das Tragen einer Orthese/Bandage nach dem Eingriff empfohlen.
Postnukleotomiesyndrom
Unter dem Begriff Postnukleotomiesyndrom (synonym „Postdiskektomiesyndrom“, englisch failed back surgery syndrom) werden anhaltende Beschwerden nach Bandscheibenoperationen verstanden. Es ist geprägt durch therapieresistente, manchmal diffuse und brennende Schmerzen. Diese entstehen wahrscheinlich durch Narbenbildung und Irritation des Nervengewebes nach erfolgter Operation. Mögliche Ursachen sind narbige Verklebungen zwischen dem Duralsack, der Wurzeltasche und dem umgebenden Knochen, postoperative Instabilität mit Verletzung einer Nervenwurzel, Arachnoiditis, somatische und psychosoziale Effekte. Wird das ohnehin degenerativ veränderte Bandscheibengewebe zwischen den Wirbeln entfernt, kann es zu einem Ineinanderrutschen der Wirbelgelenke kommen, man spricht dann vom „Telescoping“. Dies führt zu einem chronischen, schmerzhaften Verkeilen der Wirbelgelenke.
Literatur
- Joachim Grifka, Jürgen Krämer (Hrsg.): Orthopädie Unfallchirurgie. 9. Auflage. Springer Verlag, Berlin 2013, ISBN 978-3-642-28874-6.
Einzelnachweis
- ↑ Joachim Grifka, H. Witte, P. Faustmann, Guido Heers, E. Broll-Zeitvogel: Topographical principles and peculiarities of operative access in lumbar disc extrusion. In: Der Orthopäde. Band 28, Nr. 7, 1. Juli 1999, ISSN 1433-0431, S. 572–578, doi:10.1007/PL00003644.