Normaldruckhydrozephalus
| Klassifikation nach ICD-10 | |
|---|---|
| G91.2 | Normaldruckhydrozephalus |
| ICD-10 online (WHO-Version 2019) | |
Beim Normaldruckhydrozephalus oder Normaldruckhydrocephalus (auch Altershirndruck; Abkürzung NPH von englisch normal pressure hydrocephalus) handelt es sich um einen Hydrocephalus, bei dem der Hirndruck (der Druck innerhalb der Liquorräume, in denen der Liquor cerebrospinalis zirkuliert) nur kurzzeitig, insbesondere nachts, erhöht ist.
Es wird der primäre oder idiopathische Normaldruckhydrozephalus mit unbekannter Ursache von sekundären Formen unterschieden, die vor allem durch Resorptionsstörungen des Liquor cerebrospinalis verursacht werden. Bei einem Normaldruckhydrozephalus kommt es zu einer typischen Trias (Hakim-Trias) aus drei Symptomen: Gangstörung, Demenz und Harninkontinenz.
Ohne eine Behandlung führt die Erkrankung früher zu einer Pflegebedürftigkeit und Mortalität[1], die Patienten werden tendenziell gehunfähig, rollstuhlpflichtig und bettlägerig und schwer dement.[2] Laut Kiefer und Unterberg[3] wird bei 80 % der Patienten diese Krankheit nicht erkannt und diese nicht behandelt.
Historisches
Die Erstbeschreibung erfolgte 1964 durch den kolumbianischen Arzt Salomón Hakim (1922–2011). Der erste Fall war ein 16-jähriger kolumbianischer Junge, der 1957 einen Autounfall hatte. Nachdem ein irreversibler Hirnschaden diagnostiziert wurde, erkannte Salómon Hakim aber im Röntgenbild einen vergrößerten Ventrikel. Inzwischen war der Junge inkontinent und bewusstlos. Nach einer Liquorpunktion von Hakim wachte der Patient aber wieder auf, und nachdem Hakim eine ständige Hirnwasser-Ableitung gelang, konnte der Junge wieder in die Schule gehen.[4]
Damit wurde das erste Mal eine Demenzform beschrieben, die therapierbar war.
Ätiologie
Die genauen Ursachen der Erkrankung sind nicht bekannt; möglicherweise können verschiedene Veränderungen in einen Normaldruckhydrozephalus einmünden (Aquäduktstenosen, Hydrocephalus malresorptivus – siehe auch den Artikel Hydrozephalus). Beim Normaldruckhydrozephalus ist der Hirndruck (intracerebrale Druck) die meiste Zeit über normal, es kommt nur zu kurzzeitigen Hirndruckerhöhungen.[5]
Der Ausdruck „Normaldruck-Hydrocephalus“ ist historisch begründet. Er wurde in den 1960er Jahren von Salomon Hakim, der dieses Krankheitsbild erstmals beschrieb, geprägt.[6] Zu diesem Zeitpunkt war es noch nicht möglich, den Hirndruck über mehrere Tage kontinuierlich aufzuzeichnen. In der Zwischenzeit weiß man, dass es sich bei dem so genannten Normaldruck-Hydrocephalus nicht um einen Hydrocephalus mit stets normalem Hirndruck handelt.
Vielmehr kommt es insbesondere nachts zu einem stark schwankenden Hirndruckverlauf, und hierbei treten häufig dann eben doch Hirndruckspitzen in krankhafter Höhe auf. Korrekterweise müsste man daher diese Form des Hydrocephalus als intermittierenden Normaldruck-Hydrocephalus, beziehungsweise intermittierenden Hochdruck-Hydrocephalus bezeichnen. Es ist jedoch die Summe aller kurzfristigen nächtlichen Hirndruckerhöhungen, durch die auf lange Sicht das Hirn Schaden nimmt und daher Ausfallserscheinungen auftreten.[7]
Führt man eine Druckmessung durch (z. B. im Rahmen einer Liquorpunktion), so ist die Messung nur dann aussagekräftig, wenn man zufällig während der Zeit punktiert, innerhalb der eine Druckerhöhung vorliegt. Zum Nachweis einer krankhaft erhöhten Druckerhöhung im Schädel im Rahmen eines Normaldruckhydrozephalus ist daher eine mehrtägige Nervenwasserdruckmessung notwendig.
Epidemiologie
Am idiopathischen Normaldruckhydrozephalus erkranken meist Erwachsene um das 60. Lebensjahr. Der sekundäre Normaldruckhydrozephalus kommt dagegen in allen Altersklassen vor.[8] Die idiopathische und die sekundäre Form kommen insgesamt etwa gleich häufig vor. Es gibt keine Bevorzugung eines Geschlechts.[9] Für Prävalenz und Inzidenz gibt es keine zuverlässigen Daten. Die Angaben zur Inzidenz des NPH variieren stark und liegen in unterschiedlichen Studien zwischen 2 und 20 pro Million Einwohner pro Jahr.[10] Schätzungen gehen von einer wesentlich größeren Häufigkeit aus. Bei einer Tür-zu-Tür-Untersuchung in Starnberg Anfang der 1990er Jahre fand sich eine Prävalenz von 0,4 % bei über 65-jährigen Personen.[11]
Symptome
Die Krankheit äußert sich in einer klassischen Trias (Hakim-Trias)[12], bestehend aus
- Gangstörung (gewöhnlich erstes und häufigstes Symptom[13];> 85 %[14]/ bei ca. 88 % aller Patienten mit idiopathischem Normaldruckhydrozephalus[13]) mit langsamem, breit-basigem/-beinigem[15] (schulterbreit oder breiter[16]) kleinschrittigen Gang, mit charakteristischerweise am Boden klebenden Füßen, daher auch „magnetischer Gang“[12][14]/„Bügeleisengang“[14] genannt; Fußspitzen sind häufig nach außen gerichtet;[16] Fuß-vor-Fuß-Gehen(Seiltänzergang) ist unmöglich[14]. Hinzu treten Schwierigkeiten beim Aufstehen und Unsicherheit mit Stürzen. Das Gehen wirkt apraktisch, weshalb auch von „Gangapraxie“ gesprochen wird. Das Gangbild ähnelt teilweise einem Parkinson-Gangbild, wobei jedoch andere Symptome eines Parkinson-Syndroms fehlen, hieraus leitet sich die missverständliche Bezeichnung „Lower Body Parkinsonism“ ab. Pyramidenbahnzeichen können hinzutreten.
- oft subkortikale Demenz[12] (60–80 %[17]) mit Störungen von Aufmerksamkeit, Arbeitsgedächtnis, psychomotorischem Tempo, Konzentration, beim Rechnen, visuell-räumlicher Orientierung[17] oder „dysexekutives Syndrom“:Handlungen Schritt für Schritt zu planen[18].
- es können psychiatrische Symptome wie Apathie oder Depressivität hinzukommen[17]
- neurogene[13] Blasen-Funktions-/-Entleerungs-Störungen (30–60 %[19]/ bei ca. 50 % der Patienten im Verlauf der Erkrankung[13]), üblicherweise in Form einer Blasenautonomie mit Dranginkontinenz
Gangstörung und Inkontinenz werden durch Seitenventrikelerweiterung hervorgerufen, da dies frontale Marklagerbahnen dehnt.[20] Außerdem kommt es zur Gangstörung, weil Pyramidenbahnaxone für untere Extremitäten nahe an den Gehirnventrikeln verlaufen.[21]
Symptomkombinationen
Nur bei ca. 48 %[22][23] bzw. der Hälfte[24] der Patienten treten alle Symptome (gleichzeitig) auf.
Ansonsten, wenn die Symptom-Trias nicht erfüllt ist[22][23]:
- ausschließlich Gangstörung: 11 %
- ausschließlich Demenz: 2 %
- ausschließlich Inkontinenz: 0,3 %
- Gangstörung und Demenz: 29 %
- Gangstörung und Inkontinenz: 7 %
- Demenz und Inkontinenz: 3 %
Eine Gangstörung tritt also fast stets auf.[24]
Die Gangstörung wird (daher) von einigen Autoren obligat gefordert.[25]
Diagnose
Bildgebung
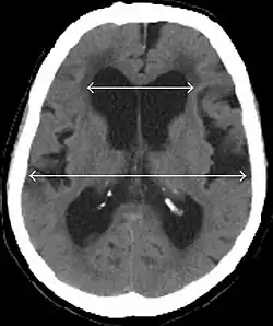
Diagnostisch sollte bei vorliegender klinischer Symptomatik ein CT oder alternativ MRT des Gehirns angefertigt werden. Eine (krankhafte[26]) Erweiterung der inneren[27][26](besonders der Vorder- und Temporalhörner[26]) und äußeren[26] (besonders der Sylvischen Fissur[26]) Liquorräume ist typisch.


Hinweise auf einen Normaldruckhydrozephalus sind:
- Evans-Index(maximaler Innendurchmesser der Frontalhörner der Seitenventrikel dividiert durch maximalen Innendurchmesser des Schädels) > 0,3[27] auf Höhe des Foramen Monroi[28] im axialen Schnitt[28], das heißt eine Erweiterung der Seitenventrikel
- disproportionale Erweiterung der äußeren Liquorräume(DESH--„disproportionately enlarged subarachnoid space hydrocephalus“): Weitstellung von Subarachnoidalräumen an lateraler Konvexität, besonders der Sylvischen Fissur und Engstellung der parasagittalen Subarachnoidalräume der oberen Konvexität und der medialen Hirnoberfläche[29]
- Corpus-Callosum-Winkel < 90°[27] / typischerweise 50–80°[30] im koronaren Schnitt[27] senkrecht zur Ac-pc-Ebene[31] auf Höhe der hinteren Kommissur[27]
Liquorablass
Vor und nach dem Liquor-Ablass sollten zum Vergleich der Wirkung Ganguntersuchungen (Schrittweite, Geschwindigkeit) und kognitive/neuropsychologische Tests durchgeführt werden.[32]
Probe-Liquor-Ablass
Zeigen sich bei der Bildgebung (weitere) Verdachtsmomente, wird zur Probe ca. 40 ml[33]/30–50 ml[34] von Liquor cerebrospinalis entnommen, nach der sich die Krankheitssymptome, besonders der Schrittweite und Geschwindigkeit der Gangstörung[34] bessern sollten (aber – auch bei Vorliegen eines NPH – nicht unbedingt müssen).
Die maximale Symptomminderung wird binnen 24–48 h erwartet.[35]
3-tägiger Liquor-Dauer-Ablass
Falls der Probe-Liquor-Ablass keine Besserung der Symptome bringt, können mittels Lumbaldrainage 150–300 ml/Tag abgelassen werden.[35]
Alternativen
Alternativ können hämodynamische Tests oder eine intrakranielle Druckmessung[32] durchgeführt werden.
Differenzialdiagnose
Differentialdiagnostisch muss ein sekundärer Normaldruckhydrocephalus (z. B. Zustand nach Meningitis oder Subarachnoidalblutung), ein chronischer Verschlusshydrocephalus, eine Alzheimererkrankung, eine Parkinsonerkrankung aber auch eine cervikale Myelopathie und eine Lumbalkanalstenose ausgeschlossen werden.[36]
Es gilt zu bedenken, dass auch mehrere Krankheiten gleichzeitig auftreten können.[37] Nicht wenige Patienten haben auch Alzheimer-Demenz oder Morbus Parkinson.[38] Laut[39] leiden sogar 75 % der therapiepflichtigen Patienten an einer weiteren neurodegenerativen Erkrankung.
Gangstörung
- Gangstörungen, die dem Normaldruckhydrozephalus ähneln, treten bei diversen vaskulären und neurodegenerativen Krankheiten auf[40], so z. B. bei Alzheimer-Krankheit, Morbus Binswanger, Parkinson-Krankheit(besonders vaskuläre Form, „lower body parkinsonism“)[41][42]
- Altersbedingter langsamer Gang mit kleinen Schritten[43]
- Medikamenteneinnahme[44]
Aufgeweitete Ventrikel in CT, MRT
Verschlusshydrozephalus, kompensierter Stauungshydrozephalus[45][46]
Therapie
Es gibt keine Medikamente gegen die Krankheit.[47] Der Normaldruckhydrozephalus ist oft gut behandelbar. Je frühzeitiger die Therapie eingeleitet wird, desto besser ist das Ergebnis. Problematisch ist es, dass die Diagnose zu selten gestellt wird und oft mit anderen Erkrankungen verwechselt wird. Therapeutischer Goldstandard ist die Anlage eines ventrikuloperitonealen Shunts. Nach frühzeitiger Therapie kann sich vor allem die Gangstörung, geringer auch die Kontinenz verbessern.[48] Alternativ kann eine konservative Therapie mit wiederholten Liquorpunktionen durchgeführt werden.[47]
Shunt
Der Operation wird als erfolgreich prognostiziert, wenn
- eine Gangstörung vordergründig vorliegt[49] bzw. schwerwiegender als die Demenz ist[50] und[49]/oder[50] vor der Demenz auftrat
- geringe Krankheitsdauer (besonders Demenz)[51]
- Patient ist nicht oder nur leicht dement[52]
- Corpus-Callosum-Winkel von 50°–80°[53]
- keine (wesentliche) kortikale Atrophie[54][55]
- B-Wellen (ca. 30 s bis 2 min 10–20 mmHg[56]) (nach Lundberg[57]) > 10 % der Meßdauer[58] in kontinuierlicher Messung des Drucks im Schädelinneren[59] über mind. 24 h, besser 48 h oder 72 h[60]
- Liquorausflußwiderstand gemessen mit lumbo-ventrikulärer steady-state-Infusionstechnik > 12,5 mmHg/ml/min[61]
- besserer klinischer Zustand nach Lumbalpunktion oder nur vorübergehend auftretender externer Liquordrainage[62]
Indikatoren für ein ungünstiges postoperatives Ergebnis[63]:
- schwere Demenz
- ausgeprägte Atrophie
- ausgeprägte subkortikale vaskuläre Enzephalopathie
Shunt-Typen
Es gibt verschiedene Shunt-Typen, bei denen unterschieden wird, woher und wohin sie ableiten. Ventrikulo-atrialer und ventrikulo-peritonealer Shunt leiten Liquor aus Gehirn-Ventrikeln ab, der lumboperitoneale Shunt aus dem Rückenmark.[64] Ventrikulo-peritonealer und lumboperitonealer Shunt leiten in die Bauchhöhle, ventrikulo-atrialer Shunt in den rechten Vorhof des Herzens.
Erfolgsrate
Die Erfolgsraten der Ventrikel-Shunt-Operation beträgt bis zu 90 %[65], wobei in der Fachliteratur weiter differenziert wird:
- idiopathischer NPH 54 %[66]
- NPH mit bekannter Ursache 74 %[66]
- nach Hirnverletzung 77 %[66]
- nach spontaner Subarachnoidalblutung 73 %[66]
- nach Meningitis 67 %[66]
- bei Gangstörung 63 %[67]
- ohne Gangstörung 23 %[67]
- Gangstörung ohne Demenz 70 %[67]
- Gangstörung mit Demenz 56 %[67]
- Demenz ohne Gangstörung 27 %[67]
Komplikationen
Mögliche Komplikationen einer Shunt-Operation siehe Hauptartikel zu Zerebralshunt.
Postoperativer Verlauf
- Gangstörung, Antriebsminderung, Gedächtnisstörung und Feinmotorik sprechen am besten an[68]
Literatur
- S1-Leitlinie Normaldruckhydrozephalus der Deutschen Gesellschaft für Neurologie. In: AWMF online (Stand 2008)
- M. Kiefer, A. Unterberg: The differential diagnosis and treatment of normal-pressure hydrocephalus. In: Deutsches Ärzteblatt international, Band 109, Nummer 1–2, Januar 2012, S. 15–25, ISSN 1866-0452. doi:10.3238/arztebl.2012.0015. PMID 22282714. PMC 3265984 (freier Volltext).
- Neurologie compact, 9. Auflage 2022, S. 523–525, ISBN 978-3-13-243035-8
- W. A. Dauch, R. Zimmermann: Der Normaldruck – Hydrozephalus Eine Bilanz 25 Jahre nach der Erstbeschreibung In: Fortschritte der Neurologie–Psychiatrie, Heft 6, Mai 1990, S. 178–190, ISSN 0720-4299.
- Uwe Kehler, Elke Hattingen: Normaldruckhydrozephalus In: Geriatrie up2date, 2023, Band 5, S. 189–208, ISSN 2627-0889. DOI:10.1055/a-2089-3997.
Weblinks
- Normaldruckhydrozephalus
- Über NPH
- Differenzialdiagnose und Therapie des Normaldruckhydrozephalus
- Normaldruckhydrozephalus
- Hydrozephalus (inkl. Normaldruckhydrozephalus)
- Michael Kiefer, Andreas Unterberg: Differenzialdiagnose und Therapie des Normaldruckhydrozephalus In: Deutsches Ärzteblatt, 2012, abgerufen am 3. Februar 2024.
Einzelnachweise
- ↑ Uwe Kehler, Elke Hattingen: Normaldruckhydrozephalus In: Geriatrie up2date, 2023, Band 5, S. 191, Abschnitt Grundlagen, Unterabschnitt Definition und Epidemiologie, letzter Satz, ISSN 2627-0889. DOI:10.1055/a-2089-3997.
- ↑ Uwe Kehler, Elke Hattingen: Normaldruckhydrozephalus In: Geriatrie up2date, 2023, Band 5, S. 192, Abschnitt Grundlagen, Unterabschnitt Klinik, ISSN 2627-0889. DOI:10.1055/a-2089-3997.
- ↑ Michael Kiefer, Andreas Unterberg: Differenzialdiagnose und Therapie des Normaldruckhydrozephalus Abschnitt „Hintergrund“. In: Deutsches Ärzteblatt, 2012, abgerufen am 3. Februar 2024.
- ↑ Sabine Schuchardt: Salomón Hakim, der Ingenieur-Doktor. Deutsches Ärzteblatt 2019, Jahrgang 116, Heft 31–32 vom 5. August 2019, Seite [96]; Link am 15. August 2019 abgerufen
- ↑ Klinische Neurophysiologie, Universitätsmedizin Göttingen: Normaldruckhydrozephalus ( des vom 15. Januar 2016 im Internet Archive) Info: Der Archivlink wurde automatisch eingesetzt und noch nicht geprüft. Bitte prüfe Original- und Archivlink gemäß Anleitung und entferne dann diesen Hinweis.. Abgerufen am 27. Februar 2013.
- ↑ S. Hakim, R. D. Adams: The special clinical problem of symptomatic hydrocephalus with normal cerebrospinal fluid pressure. Observations on cerebrospinal fluid hydrodynamics. In: Journal of the neurological sciences, Band 2, Nummer 4, 1965 Jul-Aug, S. 307–327, ISSN 0022-510X. PMID 5889177.
- ↑ Hydrocephalus – Fragen und Antworten. ( des vom 11. Oktober 2015 im Internet Archive) Info: Der Archivlink wurde automatisch eingesetzt und noch nicht geprüft. Bitte prüfe Original- und Archivlink gemäß Anleitung und entferne dann diesen Hinweis. Klinik für Neurochirurgie, Universitätsklinikum des Saarlandes; abgerufen am 27. Februar 2013.
- ↑ R. C. Petersen, B. Mokri, E. R. Laws: Surgical treatment of idiopathic hydrocephalus in elderly patients. In: Neurology, Band 35, Nummer 3, März 1985, S. 307–311, ISSN 0028-3878. PMID 3974888.
- ↑ A. Marmarou u. a.: Diagnosis and management of idiopathic normal-pressure hydrocephalus: a prospective study in 151 patients. In: Journal of Neurosurgery, Band 102, Nummer 6, Juni 2005, S. 987–997, ISSN 0022-3085. doi:10.3171/jns.2005.102.6.0987. PMID 16028756.
- ↑ J. K. Krauss, B. Halve: Normal pressure hydrocephalus: survey on contemporary diagnostic algorithms and therapeutic decision-making in clinical practice. In: Acta Neurochirurgica, Band 146, Nummer 4, April 2004, S. 379–388, ISSN 0001-6268. doi:10.1007/s00701-004-0234-3. PMID 15057532.
- ↑ C. Trenkwalder u. a.: Starnberg trial on epidemiology of Parkinsonism and hypertension in the elderly. Prevalence of Parkinson’s disease and related disorders assessed by a door-to-door survey of inhabitants older than 65 years. In: Archives of Neurology, Band 52, Nummer 10, Oktober 1995, S. 1017–1022, ISSN 0003-9942. PMID 7575219.
- ↑ a b c "Referenz Neurologie", 2019, ISBN 978-3-13-241387-0, "22 Normaldruckhydrozephalus", "22.7 Symptomatik" Seite 223
- ↑ a b c d https://neurochirurgie.insel.ch/erkrankungen-spezialgebiete/liquorstoerungen/normaldruckhydrozephalus, Abschnitt „Was sind die Symptome bei einem Normaldruckhydrozephalus?“
- ↑ a b c d Neurologie compact. 2022, ISBN 978-3-13-243035-8, S. 523 (2.15 Störungen der Liquordynamik, Normaldruck-Hydrozephalus (NPH), Abschnitt Klinisches Bild, Stichpunkt Gangstörung).
- ↑ Neurologie. 7. Auflage, ISBN 978-3-13-135947-6, Teil B Spezielle Neurologie, S. 194: 1 Hirn- und Rückenmarkerkrankungen, 1.2 Degenerative (atrophische) Prozesse des Gehirns und Rückenmarks, 1.2.1 Demenzen, Normaldruck-Hydrozephalus (NPH), Symptomatologie.
- ↑ a b Johannes Lemcke, Ullrich Meier: Diagnostik des Normaldruck-hydrocephalus https://www.nph-info.de/content/dam/nph-info/de/website/ASBH_Ratgeber_Diagnostik.pdf
- ↑ a b c Neurologie compact. 2022, ISBN 978-3-13-243035-8, S. 523 (2.15 Störungen der Liquordynamik, Normaldruck-Hydrozephalus (NPH), Abschnitt Klinisches Bild, Stichpunkt Demenz).
- ↑ Neurologie. 7. Auflage 2013, ISBN 978-3-13-135947-6, Normaldruck-Hydrozephalus (NPH), S. 194, Abschnitt Symptomatologie
- ↑ Neurologie compact. 2022, ISBN 978-3-13-243035-8, S. 523 2.15 Störungen der Liquordynamik, Normaldruck-Hydrozephalus (NPH), Abschnitt Klinisches Bild, Stichpunkt Blasenstörung.
- ↑ Lehrbuch Neurologie. 1. Auflage 2011, ISBN 978-3-437-41442-8, Kapitel 11 Erkrankungen des Liquorkreislaufs, 11.2.3. Normaldruck-Hydrozephalus, S. 292: Ätiopathogenese
- ↑ Neurologie. 7. Auflage 2013, ISBN 978-3-13-135947-6, Normaldruck-Hydrozephalus (NPH), S. 194, Abschnitt Ätiopathogenese
- ↑ a b W. A. Dauch, R. Zimmermann: Der Normaldruck - Hydrozephalus. In: Fortschritte der Neurologie · Psychiatrie. Band 58, S. 181., "Abb .3"
- ↑ a b Über NPH. Abgerufen am 9. Januar 2024.
- ↑ a b "Referenz Neurologie", 2019, ISBN 978-3-13-241387-0, "22 Normaldruckhydrozephalus", "22.4 Definition" Seite 222
- ↑ S1-Leitlinie Normaldruckhydrozephalus der Deutschen Gesellschaft für Neurologie. In: AWMF online (Stand 2008)
- ↑ a b c d e Uwe Kehler, Elke Hattingen: Normaldruckhydrozephalus In: Geriatrie up2date, 2023, Band 5, S. 192, Abschnitt Bildgebung, Absatz 2, ISSN 2627-0889. DOI:10.1055/a-2089-3997.
- ↑ a b c d e "Neurologie compact", 2022, ISBN 978-3-13-243035-8, "2.15 Störungen der Liquordynamik", "Normaldruck-Hydrozephalus (NPH)", "Zusatzdiagnostik", "Bildgebung (CT, MRT), Seite 523
- ↑ a b Uwe Kehler, Elke Hattingen: Normaldruckhydrozephalus In: Geriatrie up2date, 2023, Band 5, S. 193, Bildunterschrift zu Abb. 1, ISSN 2627-0889. DOI:10.1055/a-2089-3997.
- ↑ Uwe Kehler, Elke Hattingen: Normaldruckhydrozephalus In: Geriatrie up2date, Band 5, 2023, S. 193, Abschnitt Bildgebung, Unterabschnitt DESH, ISSN 2627-0889. DOI:10.1055/a-2089-3997.
- ↑ https://neurochirurgie.insel.ch/erkrankungen-spezialgebiete/liquorstoerungen/normaldruckhydrozephalus, Abschnitt „Wie wird ein Normaldruckhydrozephalus diagnostiziert?“, Unterabschnitt „Bildgebung“
- ↑ AC-PC Linie im neurochirurgischen Lexikon
- ↑ a b "Neurologie compact", 2022, ISBN 978-3-13-243035-8, "2.15 Störungen der Liquordynamik", "Normaldruck-Hydrozephalus (NPH)", "Zusatzdiagnostik", Seite 524
- ↑ Uwe Kehler, Elke Hattingen: Normaldruckhydrozephalus In: Geriatrie up2date, Band 5, 2023, S. 197, Abschnitt Differenzialdiagnostik und Komorbidität, Unterabschnitt Liquordynamische Untersuchungen, ISSN 2627-0889. DOI:10.1055/a-2089-3997.
- ↑ a b "Referenz Neurologie", 2019, ISBN 978-3-13-241387-0, "22 Normaldruckhydrozephalus", "22.8.5 Instrumentelle Diagnostik", Stichpunkt 2, Seite 224
- ↑ a b "Neurologie compact", 2022, ISBN 978-3-13-243035-8, "2.15 Störungen der Liquordynamik", "Normaldruck-Hydrozephalus (NPH)", "Zusatzdiagnostik", "Probe-Liquorentlastung", Seite 524
- ↑ U. Kehler: Normal Pressure Hydrocephalus – Clinical Characteristics and Differential Diagnosis. Hrsg.: M. Fritsch, U. Kehler, U. Meier. Georg Thieme Verlag, Stuttgart / New York / Delhi / Rio 2014, ISBN 978-3-13-164601-9, S. 16–22.
- ↑ "Referenz Neurologie", 2019, ISBN 978-3-13-241387-0, "22 Normaldruckhydrozephalus", "22.9 Differenzialdiagnosen", Stichpunkt 3, letzter Satz, Seite 224
- ↑ Uwe Kehler, Elke Hattingen: Normaldruckhydrozephalus In: Geriatrie up2date, Band 5, 2023, S. 196, Abschnitt Differenzialdiagnostik und Komorbidität, vorletzter SatzISSN 2627-0889. DOI:10.1055/a-2089-3997.
- ↑ Michael Kiefer, Andreas Unterberg: Differenzialdiagnose und Therapie des Normaldruckhydrozephalus Abschnitt „Ergebnisse“. In: Deutsches Ärzteblatt, 2012, abgerufen am 3. Februar 2024.
- ↑ "Referenz Neurologie", 2019, ISBN 978-3-13-241387-0, "22 Normaldruckhydrozephalus", "22.9 Differenzialdiagnosen", Stichpunkt 2, Seite 224
- ↑ "Referenz Neurologie", 2019, ISBN 978-3-13-241387-0, "22 Normaldruckhydrozephalus", "22.9 Differenzialdiagnosen", Stichpunkt 4, Seite 224
- ↑ "Neurologie compact" 9. Auflage 2022, ISBN 978-3-13-243035-8 "2.15 Störungen der Liquordynamik", "Normaldruck-Hydrozephalus (NPH)", "Differenzialdiagnose", "„Gangapraxie“" Seite 524
- ↑ "Neurologie compact" 9. Auflage 2022, ISBN 978-3-13-243035-8 "2.15 Störungen der Liquordynamik", "Normaldruck-Hydrozephalus (NPH)", "Differenzialdiagnose", "„Gangapraxie“", unterster Stichpunkt, Seite 524
- ↑ "Neurologie compact" 9. Auflage 2022, ISBN 978-3-13-243035-8 "2.15 Störungen der Liquordynamik", "Normaldruck-Hydrozephalus (NPH)", "Differenzialdiagnose", "„Gangapraxie“", Stichpunkt 4, Seite 524
- ↑ "Referenz Neurologie", 2019, ISBN 978-3-13-241387-0, "22 Normaldruckhydrozephalus", "22.9 Differenzialdiagnosen", unterster Stichpunkt Seite 224
- ↑ "Neurologie compact" 9. Auflage 2022, ISBN 978-3-13-243035-8 "2.15 Störungen der Liquordynamik", "Normaldruck-Hydrozephalus (NPH)", "Differenzialdiagnose", "aufgeweitete Ventrikel in der Bildgebung" Seite 524
- ↑ a b "Referenz Neurologie", 2019, ISBN 978-3-13-241387-0, "22 Normaldruckhydrozephalus", "22.10 Therapie" Seite 224
- ↑ M. Kiefer, A. Unterberg: The differential diagnosis and treatment of normal-pressure hydrocephalus. In: Deutsches Ärzteblatt international, Band 109, Nummer 1–2, Januar 2012, S. 15–25, ISSN 1866-0452. doi:10.3238/arztebl.2012.0015. PMID 22282714. PMC 3265984 (freier Volltext). (Review).
- ↑ a b "Referenz Neurologie", 2019, ISBN 978-3-13-241387-0, "22 Normaldruckhydrozephalus", "22.11 Verlauf und Prognose", Stichpunkt 2, Seite 224
- ↑ a b W. A. Dauch, R. Zimmermann: Der Normaldruck - Hydrozephalus. In: Fortschritte der Neurologie · Psychiatrie. Band 58, S. 185., "Stichpunkt 2 Absatz 2"
- ↑ "Referenz Neurologie", 2019, ISBN 978-3-13-241387-0, "22 Normaldruckhydrozephalus", "22.11 Verlauf und Prognose", Stichpunkt 2, Seite 224
- ↑ "Neurologie compact" 9. Auflage 2022, ISBN 978-3-13-243035-8 "2.15 Störungen der Liquordynamik", "Normaldruck-Hydrozephalus (NPH)", "Therapie (Leitlinie DGN 2018)", Stichpunkt "Operation", Unterstichpunkt "prognostische Faktoren für den Erfolg der Operation [2217], Leitlinie DGN 2018", Seite 525
- ↑ "Neurologie compact" 9. Auflage 2022, ISBN 978-3-13-243035-8 "2.15 Störungen der Liquordynamik", "Normaldruck-Hydrozephalus (NPH)", "Therapie (Leitlinie DGN 2018)", Stichpunkt "Operation", Unterstichpunkt "prognostische Faktoren für den Erfolg der Operation [2217], Leitlinie DGN 2018" Seite 525
- ↑ "Neurologie compact" 9. Auflage 2022, ISBN 978-3-13-243035-8 "2.15 Störungen der Liquordynamik", "Normaldruck-Hydrozephalus (NPH)", "Therapie (Leitlinie DGN 2018)", Stichpunkt "Operation", Unterstichpunkt "prognostische Faktoren für den Erfolg der Operation [2217], Leitlinie DGN 2018" Seite 525
- ↑ W. A. Dauch, R. Zimmermann: Der Normaldruck - Hydrozephalus. In: Fortschritte der Neurologie · Psychiatrie. Band 58, S. 185., Abschnitt Indikationsstellung und Behandlungsergebnisse, "Tab. 2"/ Stichpunkt 6
- ↑ https://www.ars-neurochirurgica.com/lexikon/intrakranieller-druck-icp
- ↑ W. A. Dauch, R. Zimmermann: Der Normaldruck - Hydrozephalus. In: Fortschritte der Neurologie · Psychiatrie. Band 58, S. 183., Abschnitt Liquordynamik, Absatz 1
- ↑ W. A. Dauch, R. Zimmermann: Der Normaldruck - Hydrozephalus. In: Fortschritte der Neurologie · Psychiatrie. Band 58, S. 185., Abschnitt Indikationsstellung und Behandlungsergebnisse, "Tab. 2"
- ↑ W. A. Dauch, R. Zimmermann: Der Normaldruck - Hydrozephalus. In: Fortschritte der Neurologie · Psychiatrie. Band 58, S. 185., Abschnitt Indikationsstellung und Behandlungsergebnisse Stichpunkt 7
- ↑ W. A. Dauch, R. Zimmermann: Der Normaldruck - Hydrozephalus. In: Fortschritte der Neurologie · Psychiatrie. Band 58, S. 183., Abschnitt Liquordynamik, Absatz 1
- ↑ W. A. Dauch, R. Zimmermann: Der Normaldruck - Hydrozephalus. In: Fortschritte der Neurologie · Psychiatrie. Band 58, S. 185., Abschnitt Indikationsstellung und Behandlungsergebnisse Stichpunkt 8
- ↑ W. A. Dauch, R. Zimmermann: Der Normaldruck - Hydrozephalus. In: Fortschritte der Neurologie · Psychiatrie. Band 58, S. 185., Abschnitt Indikationsstellung und Behandlungsergebnisse Stichpunkt 9
- ↑ "Referenz Neurologie", 2019, ISBN 978-3-13-241387-0, "22 Normaldruckhydrozephalus", "22.11 Verlauf und Prognose", Stichpunkt 3, Seite 225
- ↑ https://flexikon.doccheck.com/de/Lumboperitonealer_Shunt
- ↑ "Referenz Neurologie", 2019, ISBN 978-3-13-241387-0, "22 Normaldruckhydrozephalus", "22.10.1 Therapeutisches Vorgehen", Stichpunkt 3, Seite 224
- ↑ a b c d e W. A. Dauch, R. Zimmermann: Der Normaldruck - Hydrozephalus. In: Fortschritte der Neurologie · Psychiatrie. Band 58, S. 185., "Indikationsstellung und Behandlungsergebnisse" Stichpunkt 1
- ↑ a b c d e W. A. Dauch, R. Zimmermann: Der Normaldruck - Hydrozephalus. In: Fortschritte der Neurologie · Psychiatrie. Band 58, S. 185., "Indikationsstellung und Behandlungsergebnisse" Stichpunkt 2 Absatz 1
- ↑ W. A. Dauch, R. Zimmermann: Der Normaldruck - Hydrozephalus. In: Fortschritte der Neurologie · Psychiatrie. Band 58, S. 186., Postoperativer Verlauf Satz 3