Myotubuläre Myopathie

Klassifikation nach ICD-10
G71.2 Angeborene Myopathien
myotubuläre (zentronukleäre) Myopathie
{{{02-BEZEICHNUNG}}}
{{{03-BEZEICHNUNG}}}
{{{04-BEZEICHNUNG}}}
{{{05-BEZEICHNUNG}}}
{{{06-BEZEICHNUNG}}}
{{{07-BEZEICHNUNG}}}
{{{08-BEZEICHNUNG}}}
{{{09-BEZEICHNUNG}}}
{{{10-BEZEICHNUNG}}}
{{{11-BEZEICHNUNG}}}
{{{12-BEZEICHNUNG}}}
{{{13-BEZEICHNUNG}}}
{{{14-BEZEICHNUNG}}}
{{{15-BEZEICHNUNG}}}
{{{16-BEZEICHNUNG}}}
{{{17-BEZEICHNUNG}}}
{{{18-BEZEICHNUNG}}}
{{{19-BEZEICHNUNG}}}
{{{20-BEZEICHNUNG}}}
Vorlage:Infobox ICD/Wartung {{{21BEZEICHNUNG}}}
ICD-10 online (WHO-Version 2019)

Als Myotubuläre Myopathie oder zentronukleäre Myopathie wird eine Familie seltener Muskelerkrankungen aus der Gruppe der angeborenen Myopathien bezeichnet, die 1966 erstmals beschrieben wurde.[1]

Klinik

Klinisch lassen sich drei Verlaufsformen abgrenzen,[2] die sich auch durch einen unterschiedlichen Erbgang unterscheiden:

  • Die X-chromosomal-rezessive Form hat den schwersten Verlauf. Bei den betroffenen Jungen besteht bei der Geburt eine generalisierte Hypotonie der Muskulatur („floppy infant“); die motorische Entwicklung ist deutlich verzögert. Insbesondere durch die Schwäche der Atemmuskulatur entstehende Probleme führen zum Tod in den ersten Lebensmonaten. Die für den Gendefekt heterozygoten Mütter können als Konduktorin eine milde Schwäche der Gesichtsmuskulatur oder eine geringe Myotonie aufweisen.[3]
  • Die autosomal-dominante Form ist durch eine langsam fortschreitende Muskelschwäche charakterisiert, die während der Kindheit oder im jungen Erwachsenenalter auftritt. Typisch ist ein proximales Verteilungsmuster, wobei überwiegend die Muskulatur von Hals, Schultergürtel und Körperstamm betroffen sind. Häufig ist eine Beteiligung der Augenmuskulatur mit Ptose und externer Ophthalmoplegie.
  • Die seltene autosomal-rezessive Form hat einen heterogenen Verlauf. Der Erkrankungsbeginn liegt zwischen den beiden anderen Formen.[4]

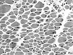
Histologie

Typische Histologie mit zentralisierten Kernen.

In der Muskelbiopsie sind bei allen Formen unreife Muskelfasern mit einer hohen Zahl zentraler Kerne auffällig, deren histologisches Bild an das fetale myotubuläre Entwicklungsstadium der Skelettmuskulatur erinnert. Es dominiert eine Typ-1-Muskelfaseratrophie.[5]

Genetik

Bei der X-chromosomal-rezessiven Form sind in der Mehrzahl der Familien Mutationen des für das die Phosphatase Myotubularin codierenden MTM1-Gens beschrieben worden.[6] Während bei der autosomal-dominanten Form in einzelnen Familien Mutationen des für die GTPase Dynamin-2 codierenden DNM2-Gens nachgewiesen worden sind, wurden bei der autosomal-rezessiven Form Mutationen des BIN1-Gens gefunden.[7] Interessanterweise scheint dieses Gen eine Schlüsselrolle bei der normalen Entwicklung der Skelettmuskulatur zu spielen.[8]

Einzelnachweise

  1. Spiro u. a.: Myotubular myopathy. In: Arch Neurol 1966;14, S. 1–14. PMID 4954227
  2. De Angelis u. a.: Centronuclear myopathy: clinical, morphological and genetic characters. A review of 288 cases. In: J Neurol Sci. 1991;103(1), S. 2–9. PMID 1865227
  3. Heckmatt u. a.: Congenital centronuclear (myotubular) myopathy: a clinical, pathological and genetic study in eight children. In: Brain. 1985;108, S. 941–964 PMID 4075080
  4. Wallgren-Pettersson u. a.: The myotubular myopathies: differential diagnosis of the X linked recessive, autosomal dominant, and autosomal recessive forms and present state of DNA studies. In: J Med Genet. 1995; 32, S. 673–679 PMID 8544184
  5. Tobias Müller, Stephan Zierz: Pathologie der Skelettmuskulatur. In: Stephan Zierz (Hrsg.): Referenz-Reihe Neurologie: Klinische Neurologie: Muskelerkrankungen. Thieme Stuttgart 2014, DOI:10.1055/b-0034-97105, S. 41.
  6. Laporte u. a.: A gene mutated in X-linked myotubular myopathy defines a new putative tyrosine phosphatase family conserved in yeast. In: Nature Genetics. 1996;13(2), S. 175–182. PMID 8640223
  7. Nicot u. a.: Mutations in amphiphysin 2 (BIN1) disrupt interaction with dynamin 2 and cause autosomal recessive centronuclear myopathy. In: Nature Genet. 200; 39, S. 1134–1139. PMID 17676042
  8. Wechsler-Reya u. a.: A role for the putative tumor suppressor Bin1 in muscle cell differentiation. In: Mol Cell Biol. 1998;18(1), S. 566–575. PMID 9418903

Literatur

  • H. Jungbluth, C. Wallgren-Pettersson, J. Laporte: Centronuclear (myotubular) myopathy. In: Orphanet J Rare Dis. 2008 Sep 25;3, S. 26. PMID 18817572, PMC 2572588 (freier Volltext)
  • ZNM - Zusammen Stark! e. V.: Dieser 2015 gegründete Verein vertritt Betroffene von myotubulärer und anderen zentronukleären Myopathien sowie deren Angehörige. Er organisiert jährliche Treffen in Deutschland für die betroffenen Familien und die an einer Heilung forschenden Wissenschaftler.
  • Unterseite bei orpha-selbsthilfe.de (Selbsthilfegruppe für Menschen mit seltenen Erkrankungen)
  • Eintrag zu Myopathie, zentronukleäre, X-chromosomale. In: Orphanet (Datenbank für seltene Krankheiten)