Mott-Zelle

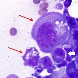
Als Mott-Zelle, nach dem britischen Internisten Frederick Walker Mott (1853–1926), bezeichnet man atypische Plasmazellen, die eine Vielzahl eosinophiler Einschlüsse (Russell-Körperchen, nach William Russell) im Zellplasma aufweisen.[1] Sie heißen auch Maulbeerzellen oder Morulazellen.[2]
Mott konnte diese Zellen im Gehirn von Affen nachweisen, die mit Trypanosomen infiziert waren. Darüber hinaus können solche Zellen bei chronisch-entzündlichen und neoplastischen Erkrankungen auftreten, unter anderem beim Multiplen Myelom, beim Morbus Waldenström, beim Follikulären Lymphom, bei der Hashimoto-Thyreoiditis, beim Denguefieber, bei der Russel-Body-Gastritis, beim Barrett-Ösophagus und beim Epstein-Barr-Virus-assoziierten Magenkarzinom.[1] Bei Katzen kommen Mott-Zellen bei der chronischen Gingivostomatitis vor.[3]
Einzelnachweise
- ↑ a b Flexikon: Mott-Zelle
- ↑ Reallexikon der Medizin und ihrer Grenzgebiete, Verlag Urban & Schwarzenberg, Loseblattsammlung, München / Berlin / Wien 1973, Band 5 (Mem–Rz), ISBN 3-541-84005-6, S. M 197. Hier heißt der Namensgeber Sir Frederik Walter Mott.
- ↑ Da Bin Lee, Frank J. Verstraete und Boaz Arzi: An Update on Feline Chronic Gingivostomatitis. In: The Veterinary clinics of North America. Small animal practice. Band 50, Nummer 5, September 2020, S. 973–982, doi:10.1016/j.cvsm.2020.04.002, PMID 32360016, PMC 7194110 (freier Volltext) (Review).