Morbus Trevor
| Klassifikation nach ICD-10 | |
|---|---|
| Q74.8 | Sonstige näher bezeichnete angeborene Fehlbildungen der Extremität(en) |
| ICD-10 online (WHO-Version 2019) | |
Morbus Trevor (Dysplasia epiphysealis hemimelica, engl. Trevor disease oder Fairbank's disease) ist eine angeborene Störung der Knochenentwicklung, die durch umschriebenen Überwuchs der knorpeligen Anlage mit Deformierung und Vergrößerung eines oder mehrerer Knochen im Zuge der Ossifikation charakterisiert ist. Die Krankheit ist nach David Trevor benannt.[1] Die Erstbeschreibung wurde von Albert Mouchet und J. Bélot 1926 erbracht. Die Bezeichnung „dysplasia epiphysealis hemimelica“ wurde von Fairbank vorgeschlagen.[1]

Epidemiologie
Die Erkrankung ist selten, das Auftreten wird auf 1 zu 1 Million angegeben, deutlich häufiger bei Jungen als bei Mädchen. Der Erbgang ist autosomal-dominant.[2]
Klinik
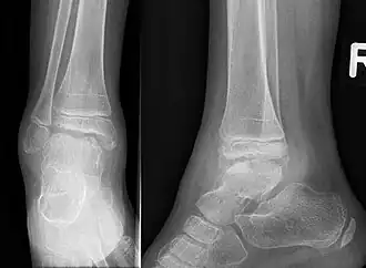
M. Trevor tritt einseitig zumeist an der unteren Extremität auf und führt im Laufe des Wachstums zur Fehlstellung und Deformierung des Gelenkes. Assoziation mit Enchondromatose ist beschrieben[3]. Der schmerzlose Überwuchs fällt im Kleinkindesalter auf, häufig an den Fußknochen, am Kniegelenk oder Sprunggelenk.
Diagnostik
Die Diagnose kann im Röntgenbild gestellt werden aufgrund der typischen Lokalisation, des unregelmäßigen Überwuchses und des Auftretens von mehreren nicht miteinander verbundenen Knochenkernen, die an Epiphysen angelagert sind.[4] Eine Diagnosesicherung ist im MRT möglich.
Differentialdiagnose
Histologisch sind die Veränderungen von einem Osteochondrom nicht zu differenzieren, letztere treten aber immer metaphysär und nicht epiphysär auf.
Abzugrenzen sind knöcherne Absprengungen durch vorausgegangene Traumata, eine Synoviale Chondromatose aufgrund der Altersgruppe.
Behandlung
Eine ursächliche Behandlung existiert nicht, erheblich störende Veränderungen können operativ entfernt werden, wachsen jedoch bis zum Abschluss der Skelettreifung wieder nach.
Einzelnachweise
- ↑ a b www.whonamedit.com
- ↑ Eintrag zu Dysplasia epiphysealis hemimelica. In: Orphanet (Datenbank für seltene Krankheiten)
- ↑ A. Oestreich, C. Mitchell, J. Akeson: Both Trevor and Ollier disease limited to one upper extremity. 2002, Skeletal Radiology 31, Seite 230
- ↑ T. J. FAIRBANK: Dysplasia epiphysialis hemimelica (tarso-ephiphysial aclasis). In: The Journal of bone and joint surgery. British volume. Band 38-B, Nummer 1, Februar 1956, S. 237–257, ISSN 0301-620X. PMID 13295331.
Weblinks
- emedicine Übersichtsartikel
- J. Bürgler, F. Fernandez, T. Wirth: Dysplasia epiphysealis hemimelica (Morbus Trevor). Fälle und ihre Verläufe
- Radiopaedia Dysplasia-epiphysealis-hemimelica
Literatur
- F. Hefti: Kinderorthopädie in der Praxis. Springer 1998, ISBN 3-540-61480-X, Seite 675 f
- A. Greenspan: Orthopedic Radiology. A practical Approach. 3. Auflage, Lippincott Williams & Wilkins, 2000, ISBN 0-7817-1589-X, Seite 878 f