Morbus Krabbe
| Klassifikation nach ICD-10 | |
|---|---|
| E75.2 | Sonstige Sphingolipidosen Krabbe-Krankheit |
| ICD-10 online (WHO-Version 2019) | |
Der Morbus Krabbe ist eine seltene angeborene Stoffwechselstörung auf der Basis eines einzelnen veränderten (mutierten) Gens (Monogenetische Erkrankung). Synonyme sind globoidzellige Leukodystrophie und Globoidzell-Leukodystrophie. Die Erkrankung ist nach dem dänischen Neurologen Knud Krabbe benannt, der mehrere Fälle beschrieb. Die Erkrankung gehört zu den lysosomalen Speicherkrankheiten und hier in die Untergruppe der Sphingolipidosen.
Die Erkrankung wird autosomal rezessiv vererbt. Ursache ist ein Defekt im β-Galactocerebrosidase-Gen (GALC), das den genetischen Code für das Enzym Galactocerebrosidase liefert. Dem Defekt können über 200 verschiedene Mutationen zugrunde liegen. Der Mangel an dem Enzym Galactocerebrosidase führt zur Anreicherung des Cerebrosids Galactosylceramid in Fresszellen (Makrophagen), wodurch sogenannte „Globoidzellen“ entstehen. Die Anreicherung des Zwischenprodukts Psychosin führt zur Schädigung der zu den Gliazellen gehörenden Oligodendrozyten. Die Fortsätze der Oligodendrozyten bilden die Markscheiden, welche wie Isolatoren die Fortsätze (Axone) der Nervenzellen umgeben. Durch die Schädigung der Oligodendrozyten kommt es zur Entmarkung (Demyelinisierung) der Nervenzellfortsätze, zu einer Entzündungsreaktion und zum bindegewebigen Umbau der weißen Substanz (Leukodystrophie).
Der Großteil der Fälle tritt im ersten Lebensjahr (infantile Verlaufsform) auf. Daneben gibt es eine Spätform (late-onset), die im späteren Kleinkindalter und anderen Lebensaltern auftritt. Es existiert keine kurative (heilende) Therapie. Die infantile Verlaufsform führt zum Tod im Kleinkindalter, die Prognose später auftretender Erkrankungen ist individuell unterschiedlich.
Epidemiologie
Der Morbus Krabbe ist eine seltene Krankheit. Die Erkrankung tritt weltweit auf, wobei die Häufigkeit des Auftretens regional unterschiedlich ist.[1] Auf 100.000 Lebendgeburten kommen durchschnittlich 1–2 von der infantilen Verlaufsform betroffene Kleinkinder (Inzidenz). Die anderen Verlaufsformen des Morbus Krabbe treten seltener auf,[2] möglicherweise wird deren Inzidenz aber auch unterschätzt.[3]
Genetik

Morbus Krabbe ist eine Erkrankung, die auf einem Gendefekt im β-Galactocerebrosidase-Gen (GALC) beruht.[4] Das Gen liegt auf dem Chromosom 14 im Abschnitt q3.1. Das Genprodukt ist das Enzym Galactocerebrosidase, das Bestandteile der Myelinscheide von Nervenzellen abbaut.
Die durch Mutationen hervorgerufenen Defekte im GALC-Gen sind sehr heterogen. Bisher wurden über 200 verschiedene pathologische Genvarianten nachgewiesen, darunter große und kleine Deletionen, Frameshift-Mutationen und verschiedene weitere Punktmutationen. Die am häufigsten vorkommende pathologische Genvariante resultiert aus einer großen Deletion von 30 kb.[5]
Die Erkrankung wird autosomal-rezessiv vererbt. Beide Eltern eines Betroffenen sind heterozygote Träger einer pathologischen GALC-Genvariante. Die Erkrankungswahrscheinlichkeit für ein Kind des Paares liegt bei 25 %.[5]
Pathologie

Das Enzym Galactocerebrosidase spaltet in den Lysosomen den Einfachzucker Galactose von Galactocerebrosiden ab. Infolge von Defekten im β-Galactocerebrosidase-Gen ist beim Morbus Krabbe die Aktivität des Enzyms stark vermindert oder fehlend.
Der Mangel an dem Enzym Galactocerebrosidase führt zur Anreicherung des Cerebrosids Galactosylceramid in Makrophagen (Ausbildung von „Globoidzellen“). Weiterhin führt die Anreicherung von Psychosin zur Schädigung der Oligodendrozyten. Die Fortsätze dieser Zellen bilden die Myelin-Markscheiden, welche die Axone der Nervenzellen umgeben. Durch die Schädigung der Oligodendrozyten kommt es zur Demyelinisierung der Nervenzell-Fortsätze, zu einer Entzündungsreaktion und dem bindegewebigen Umbau der weißen Substanz (Leukodystrophie).
Symptome
Die Symptomatik beginnt meist im Alter von drei bis sechs Monaten. Die Kinder sind leicht irritierbar und neigen zu schwer beeinflussbaren Schreiattacken. Die kognitiv-motorische Entwicklung kommt zum Stillstand. Auf äußere Reize hin kann es zu tonischer Streckung der Beine kommen. Reflexe sind nicht mehr auslösbar. Bei Optikusatrophie kommt es zu Blindheit.
Im weiteren Verlauf entwickeln sich Taubheit, ein permanenter Opisthotonus mit gebeugten Armen und gestreckten Beinen sowie Hypersalivation und Fieber. Bei den spät beginnenden Sonderformen kommt es zu denselben Symptomen, nur beginnt die Krankheit später und verläuft auch langsamer.
Diagnose

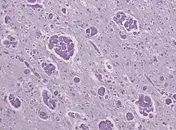
Im Hirnwasser (Liquor cerebrospinalis) findet sich typischerweise eine erhöhte Eiweißkonzentration. Die Nervenleitgeschwindigkeit ist vermindert. In bildgebenden Verfahren zeigt sich die Demyelinisation. In Autopsiepräparaten zeigen sich Monozyten und mehrkernige Makrophagenansammlungen (globoid cells) mit PAS-positiven, aber nicht metachromatischen Einschlüssen in gliotisch verändertem Hirngewebe.
Um die Diagnose zu sichern, kann man die Aktivität des Enzyms Galaktocerebrosidase in Leukozyten oder Fibroblastenkulturen bestimmen oder eine Genanalyse durchführen. Bei letzterer findet sich eine Mutation im Chromosom 14 (Abschnitt q3.1).
Da es sich um eine rezessiv vererbte Krankheit handelt, beträgt das Risiko für Geschwister ebenfalls zu erkranken 25 %. Durch pränatale Diagnostik kann man einen Morbus Krabbe schon in utero (in der Gebärmutter) diagnostizieren bzw. ausschließen. Ebenso kann man Verwandte untersuchen, ob sie Überträger der Erkrankung sind.
Therapie
Die Erkrankung ist nicht heilbar. Entsprechend beschränken sich die Behandlungsmöglichkeiten von an der infantilen Verlaufsform erkrankten Kindern, die bereits Zeichen der Erkrankung zeigen, auf die symptomatische Therapie bzw. palliativmedizinische Versorgung. Die nachfolgend beschriebenen Maßnahmen können auch bei der Late-onset-Verlaufsform notwendig sein.
Mit physiotherapeutischen Maßnahmen kann die Spastik der Muskulatur günstig beeinflusst werden.[6] Eine Verbesserung der Spastik kann weiterhin durch die Gabe von Clonazepam oder des Muskelrelaxans Baclofen erreicht werden. Auch die therapeutische Anwendung von Botulinumtoxin an ausgewählten Muskelgruppen wurde beschrieben.[6]
Es muss auf ausreichende Energie- und Flüssigkeitszufuhr geachtet werden. Bei und nach dem Füttern sollte eine aufrechte Körperposition beibehalten werden, um Reflux und Erbrechen vorzubeugen. Im weiteren Verlauf müssen Flüssigkeiten häufig angedickt werden, weiterhin kann die Anlage eines Gastrostomas notwendig werden. Bei Verstopfung (Obstipation) sind Abführmittel (Laxanzien) indiziert. Die Darmmotilität kann durch Erythromycin unterstützt werden.[6]
Zur Behandlung von neuropathischen Schmerzen und dem Schutz vor Krampfanfällen wird Gabapentin angewendet. Zum Durchbrechen von Krampfanfällen ist die rektale Gabe von Diazepam sinnvoll.[6]
Bei den Betroffen sollte die Ansammlung von Restharn vermieden werden, um Harnwegsinfekte zu vermeiden. Zur vollständigen Harnblasenentleerung kann eine vorübergehende Katheterisierung notwendig sein. Die dauerhafte Anlage von Kathetern ist aufgrund des Infektionsrisikos nicht empfohlen.[6]
Wird die infantile Verlaufsform der Erkrankung vor dem Auftreten von Symptomen diagnostiziert, so kann eine Stammzelltransplantation versucht werden.[7] Eine frühzeitige Therapie innerhalb der ersten Lebenswochen kann die Lebenserwartung verlängern und die funktionelle Entwicklung verbessern.[8]
Prognose
Kinder mit der infantilen Verlaufsform des Morbus Krabbe versterben nach Symptombeginn meist in den ersten zwei Lebensjahren.[2] Eine Stammzelltransplantation vor Auftreten von Erkrankungszeichen kann sowohl die Lebenserwartung verlängern als auch die funktionelle Entwicklung verbessern.[8]
Die Prognose der Late-onset-Verlaufsform ist sehr variabel.
Früherkennung
Mehrere US-Bundesstaaten führen ein Neugeborenenscreening auf die Erkrankung durch.[9] Ziel ist dabei, betroffene Neugeborene schnellstmöglich zu identifizieren und einer Stammzelltransplantation innerhalb des ersten Lebensmonats zuzuführen. Aus den gewonnenen Erfahrungen wurden mittlerweile Leitlinien-Empfehlungen zusammengefasst.[10]
Forschungsgeschichte
Der dänische Neurologe Knud Krabbe beschrieb 1916 in der Zeitschrift Brain fünf Fälle einer fortschreitenden, tödlich verlaufenden Erkrankung bei Säuglingen, die durch eine Erhöhung des Muskeltonus, Entwicklungsrückstände, Fieberschübe und Opisthotonus gekennzeichnet ist.[11] Dabei handelte es sich um die infantile Form der Globoidzellleukodystrophie, die ab den 1940er Jahren nach ihrem Erstbeschreiber benannt wurde.[12]
Die verminderte Aktivität des Enzyms β-Galaktozerebrosidase bei der Erkrankung wurde Anfang der 1970er Jahre entdeckt.[13][14] Ab 1980 war ein Mausmodell für die Erkrankung verfügbar (twitcher mouse).[15][16] Die die β-Galaktozerebrosidase kodierende cDNA wurde 1993/1994 kloniert,[17][18] in einer der Veröffentlichungen wurde zudem eine zum Morbus Krabbe führende Nonsense-Mutation beschrieben.[18] Die Struktur des Gens wurde 1995 dargestellt.[19] In diesem Jahr wurde auch die 30kb-Deletion, die bei vielen Patienten vorliegt, identifiziert.[20]
Literatur
- Orsini et al.: Krabbe Disease. In: GeneReviews, 2018.
- David A. Wenger, Mohammad A. Rafi, Paola Luzi: Krabbe disease: One Hundred years from the bedside to the bench to the bedside. In: Journal of Neuroscience Research. Band 94, Nr. 11, 2016, S. 982–989, doi:10.1002/jnr.23743, PMID 27638583.
- Alfried Kohlschütter: Lysosomal leukodystrophies: Krabbe disease and metachromatic leukodystrophy. In: Handbook of Clinical Neurology. Band 113, 2013, S. 1611–1618, doi:10.1016/b978-0-444-59565-2.00029-0, PMID 23622382.
- Maria L. Escolar et al.: Clinical management of Krabbe disease. In: Journal of Neuroscience Research. Band 94, Nr. 11, 2016, S. 1118–1125, doi:10.1002/jnr.23891, PMID 27638597.
Weblinks
- Eintrag zu Krabbe-Syndrom. In: Orphanet (Datenbank für seltene Krankheiten)
- Morbus Krabbe. In: Online Mendelian Inheritance in Man. (englisch)
- Morbus Krabbe bei der Europäischen Vereinigung gegen Leukodystrophien (ELA)
Einzelnachweise
- ↑ Barbara Tappino et al.: Identification and characterization of 15 novel GALC gene mutations causing Krabbe disease. In: Human Mutation. Band 31, Nr. 12, 2010, S. E1894–E1914, doi:10.1002/humu.21367, PMID 20886637, PMC 3052420 (freier Volltext).
- ↑ a b Alfried Kohlschütter: Lysosomal leukodystrophies: Krabbe disease and metachromatic leukodystrophy. In: Handbook of Clinical Neurology. Band 113, 2013, S. 1611–1618, doi:10.1016/b978-0-444-59565-2.00029-0, PMID 23622382.
- ↑ Melissa P. Wasserstein et al.: Clinical outcomes of children with abnormal newborn screening results for Krabbe disease in New York State. In: Genetics in Medicine. Band 18, Nr. 12, 2016, S. 1235–1243, doi:10.1038/gim.2016.35, PMID 27171547.
- ↑ Morbus Krabbe. In: Online Mendelian Inheritance in Man. (englisch)
- ↑ a b Orsini et al.: Krabbe Disease. In: GeneReviews, 2018, abgerufen am 27. November 2019.
- ↑ a b c d e Maria L. Escolar et al.: Clinical management of Krabbe disease. In: Journal of Neuroscience Research. Band 94, Nr. 11, 2016, S. 1118–1125, doi:10.1002/jnr.23891, PMID 27638597.
- ↑ Maria L. Escolar et al.: Transplantation of Umbilical-Cord Blood in Babies with Infantile Krabbe's Disease. In: The New England Journal of Medicine. Band 352, Nr. 20, 2005, S. 2069–2081, doi:10.1056/nejmoa042604, PMID 15901860.
- ↑ a b Matthew D. Wright et al.: Developmental outcomes of cord blood transplantation for Krabbe disease. In: Neurology. Band 89, Nr. 13, 2017, S. 1365–1372, doi:10.1212/wnl.0000000000004418, PMID 28855403, PMC 5649761 (freier Volltext).
- ↑ Joseph J. Orsini et al.: Newborn screening for Krabbe's disease. In: Journal of Neuroscience Research. Band 94, Nr. 11, 2016, S. 1063–1075, doi:10.1002/jnr.23781, PMID 27638592, PMC 5328187 (freier Volltext).
- ↑ Jennifer M. Kwon et al.: Consensus guidelines for newborn screening, diagnosis and treatment of infantile Krabbe disease. In: Orphanet Journal of Rare Diseases. Band 13, Nr. 1, 2018, doi:10.1186/s13023-018-0766-x, PMID 29391017, PMC 5796396 (freier Volltext).
- ↑ Knud H. Krabbe: A new familial, infantile form of diffuse brain-sclerosis. In: Brain. Band 39, Nr. 1–2, 1916, S. 74–114, doi:10.1093/brain/39.1-2.74.
- ↑ David A. Wenger, Mohammad A. Rafi, Paola Luzi: Krabbe disease: One Hundred years from the bedside to the bench to the bedside. In: Journal of Neuroscience Research. Band 94, Nr. 11, 2016, S. 982–989, doi:10.1002/jnr.23743, PMID 27638583.
- ↑ Kunihiko Suzuki, Yoshiyuki Suzuki: Globoid Cell Leucodystrophy (Krabbe's Disease): Deficiency of Galactocerebroside β-Galactosidase. In: Proceedings of the National Academy of Sciences of the United States of America. Band 66, Nr. 2, 1970, S. 302–309, doi:10.1073/pnas.66.2.302, PMID 5271165, PMC 283044 (freier Volltext).
- ↑ Yoshiyuki Suzuki, Kunihiko Suzuki: Krabbe's Globoid Cell Leukodystrophy: Deficiency of Galactocerebrosidase in Serum, Leukocytes, and Fibroblasts. In: Science. Band 171, Nr. 3966, 1971, S. 73–75, doi:10.1126/science.171.3966.73, PMID 5538703.
- ↑ L. W. Duchen et al.: Hereditary leucodystrophy in the mouse: the new mutant twitcher. In: Brain. Band 103, Nr. 3, 1980, S. 695–710, doi:10.1093/brain/103.3.695, PMID 7417782.
- ↑ Takuro Kobayashi et al.: The twitcher mouse: an enzymatically authentic model of human globoid cell leukodystrophy (Krabbe disease). In: Brain Research. Band 202, Nr. 2, 1980, S. 479–483, doi:10.1016/0006-8993(80)90159-6, PMID 7437911.
- ↑ Yue Qun Chen et al.: Cloning and expression cDNA encoding human galactocerebrosidase, the enzyme deficient in globoid cell leukodystrophy. In: Human Molecular Genetics. Band 2, Nr. 11, 1993, S. 1841–1846, doi:10.1093/hmg/2.11.1841, PMID 8281145.
- ↑ a b Norio Sakai et al.: Krabbe Disease: Isolation and Characterization of a Full-Length cDNA for Human Galactocerebrosidase. In: Biochemical and Biophysical Research Communications. Band 198, Nr. 2, 1994, S. 485–491, doi:10.1006/bbrc.1994.1071, PMID 8297359.
- ↑ Paola Luzi, Mohammad A. Rafi, David A. Wenger: Structure and organization of the human galactocerebrosidase (GALC) gene. In: Genomics. Band 26, Nr. 2, 1995, S. 407–409, doi:10.1016/0888-7543(95)80230-j, PMID 7601472.
- ↑ Mohammad A. Rafi et al.: A large deletion together with a point mutation in the GALC gene is a common mutant allele in patients with infantile Krabbe disease. In: Human Molecular Genetics. Band 4, Nr. 8, 1995, S. 1285–1289, doi:10.1093/hmg/4.8.1285, PMID 7581365.