Monteggia-Fraktur
| Klassifikation nach ICD-10 | |
|---|---|
| S52.21 | Fraktur des proximalen Ulnaschaftes mit Luxation des Radiuskopfes Monteggia-Fraktur |
| ICD-10 online (WHO-Version 2019) | |
Die Monteggia-Fraktur ist ein 1813 zuerst von Giovanni Battista Monteggia beschriebener Kombinationsbruch des Unterarmes. Es bricht der körpernahe (proximale) Anteil der Elle. Gleichzeitig wird der Speichenkopf ausgerenkt, meist nach vorne und vom Körper weg – also nach ventral und lateral, selten nach hinten luxiert.

Ursachen
Die Monteggia-Fraktur ist meistens Folge eines Unfalls, bei dem hohe Energien wirken. Die meisten solcher Verletzungen entstehen bei Verkehrsunfällen. Außerdem kann die Fraktur bei einem Sturz auf den Unterarm während der Beugung des Ellbogens oder beim Parieren von Schlägen mit dem Unterarm entstehen.
Bei Kindern ist der Verletzungsmechanismus der Sturz auf den im Ellenbogen gestreckt pronierten Arm.
Diagnose
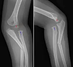
Die Diagnose einer Monteggia-Fraktur wird im konventionellen Röntgenbild gestellt. Dabei wird der Unterarm mit dem Ellenbogen von vorne und von der Seite geröntgt. Insbesondere in der seitlichen Betrachtung kann man beurteilen, inwieweit der Speichenkopf ausgerenkt ist. Der Radiuskopf muss in beiden Ebenen (!) auf das Capitulum humeri zentrieren.
Häufige Ursache des Nicht-Erkennens ist, dass der Ellenbogen nicht oder nicht beurteilbar mit abgebildet ist.
Ist der Radiuskopf bei Kleinkindern noch nicht knöchern angelegt, kann die korrekte Zentrierung im Ultraschall nachgewiesen werden.
Einteilung
Die Monteggia-Fraktur wird nach der AO-Klassifikation bzw. nach Bado[1] eingeteilt. Bado unterscheidet vier Typen:
| Typ | Frakturstelle | Abknickung der Fraktur | Luxation |
|---|---|---|---|
| I | proximales Drittel der Ulna | nach ventral | ventral |
| II | proximales Drittel der Ulna | nach dorsal | dorsal |
| III | Metaphyse der Ulna | lateral oder anterolateral | |
| IV | proximales Drittel von Radius und Ulna | ventrale Luxation des Radiusfragments |
Die Typ-I-Fraktur macht etwa 60–80 % aller Monteggia-Frakturen aus.
Komplikationen
Bei einer Monteggia-Fraktur können der Nervus radialis (→ Radialislähmung) und die Gefäße der Ellenbeuge geschädigt werden. In der Folge kann es zum Kompartmentsyndrom kommen. Weiterhin können der Speichenkopf gebrochen und die Bänder des Ellenbogengelenkes ausgerissen sein.
Therapie
In der Regel wird nach exakter Reposition der Bruch der Elle operativ durch Metallplatten, bei Kindern durch intramedulläre Schienung, stabilisiert. Eventuell müssen die Bänder der Speiche genäht werden. Eine Ruhigstellung im Gips für drei bis vier Wochen folgt der chirurgischen Therapie.
Übersehene Radiuskopfluxation
Wird die Fehlstellung des Radiuskopfes nicht entdeckt, kommt es zur Ausheilung in Fehlstellung mit Bewegungseinschränkung. Eine Therapie ist dann deutlich aufwendiger, die Prognose hängt u. a. vom Alter des Kindes und der Dauer der Luxationsstellung ab.[2]
Siehe auch
Literatur
- Gustav H. Engelhardt, Heinz G. Engelhardt: Unfallheilkunde: Ein Leitfaden für Klinik und Praxis. Walter de Gruyter, 1998, ISBN 3-11-015096-4.
- Jacques Duparc, Norbert Gschwend, Roger Lemaire: Chirurgische Techniken in Orthopädie und Traumatologie. Urban & Fischer, 2005, ISBN 3-437-22536-7.
- S1-Leitlinie Unterarmschaftfrakturen im Kindesalter der Deutschen Gesellschaft für Kinderchirurgie (DGKCH). In: AWMF online (Stand 2013)
Weblinks
Einzelnachweise
- ↑ J. L. Bado: The Monteggia lesion. In: Clin Orthop. 1962, 50, S. 71–86.
- ↑ T. Slongo, F. F. Fernandez: Die fehlverheilte Monteggia-Verletzung im Kindes- und Jugendalter. In: Der Unfallchirurg. 2011. doi:10.1007/s00113-011-1961-6